داء المبيضات
داء المبيضات أو السفاد (باللاتينية: Candidiasis) هو عدوى فطرية يسببها فطر المبيضة البيضاء بشكل خاص أو أي من فطور عائلة جنس المبيضات السفيديات، تسبب هذه الفطور عدوى مختلفة تتراوح ما بين عدوى سطحية مقتصرة على الجلد إلى عدوى مجموعية تهدد حياة المصاب. فقد يحدث وجود المبيضات في الدم (باللاتينية: Candidemia) لدى المرضى ممن لديهم عوز مناعي كمرضى الإيدز والسرطان ومن خضعوا لعمليات نقل أعضاء.
| داء المبيضات | |
|---|---|
![]() داء المبيضات الفموي (القلاع) داء المبيضات الفموي (القلاع) | |
| معلومات عامة | |
| الاختصاص | أمراض معدية ، وطب الجلد |
| من أنواع | فطار انتهازي |
| الإدارة | |
| أدوية | |
| التاريخ | |
| وصفها المصدر | قاموس الموسوعة الحديثة |

توجد خمائر المبيضات على سطح الجلد والأغشية المخاطية بشكل طبيعي ويحد جهاز المناعة من نموها غير المنظم الذي قد يسبب الداء، كما أن بكتيريا النبيت الموجودة على سطح الجسم تمنع انتشار مبيضة البيضاء، تسبب العدوى السطحية للمبيضات الالتهاب في الجلد والأغشية المخاطية المصابة، وهي عدوى شائعة لدى البشر [1][2] خاصة لدى النساء حيث تصيب المهبل على وجه الخصوص. تصنف عدوى المبيضات بشكل عام على أنها عدوى انتهازية إلا أنها قد تحدث كجزء من متلأزمات مختلفة في أسبابها ومآلها.
الأعراض والصورة السريرية
معظم حالات عدوى المبيضات محصورة حيث تصيب الجلد والأغشية المخاطية، وتنحصر أعراضها على الحكة والاحمرار، بالرغم من أن الأعرض قد تكون شديدة وقاتلة لدى فئة معينة من المرضى (المصابين بالعوز المناعي)، تصيب العدوى لدى المعوزين مناعيا كلاً من التجويف الفموي والبلعوم والمريء والجهاز الهضمي والمجاري البولية بالإضافة للأعضاء التناسلية، كما يمكن أن تتفاقم إلى حد وجود المبيضات في الدم أو القلب أو الدماغ.
يمكن أن يظهر داء المبيضات لدى النساء في المهبل بعد التداوي (الخاطئ أو المستمر لفترة طويلة) بالمضادات الحيوية. وعادة مايزول بعد وقف التداوي بفترة قصيرة.
يظهر عادةً مرض القلاع عند الأطفال الرضع. لا تعتبر هذه الحالة غير طبيعية عند الرضع ما لم تستمر لفترة أطول من بضعة أسابيع.[3]
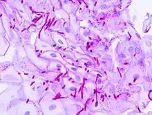
التشخيص
_PAS_stain.jpg.webp)
يعتمد المختصون أحد الطريقتين الآتيتين في تشخيص داء المبيضات، الطريقتان هما:
- الزرع.
- الفحص الميكروسكوبي للعينة.
الفحص الميكروسكوبي للعينة
يتم فحص المسحة المأخوذة (العينة) تحت الميكروسكوب البؤري بعد معالجتها بمحلول هيدروكسيد البوتاسيوم 10% وتثبيتها على الشريحة. يقوم محلول هيدروكسيد البوتاسيوم بتحليل خلايا الجلد تاركا خلايا المبيضة مما يسمح برؤية الخيطان الكاذبة النامية من خلايا الخميرة بوضوح، وهو المشهد المميز للمبيضة.
الزراعة
يتم أخذ مسحة من المنطقة المصابة بداء المبيضات، ويتم دهنها على طبق الزرع ويحضن على حرارة 37 درجة مئوية لعدة أيام، ويكن من لون وشكل طريقة نمو المستعمرات أن تساعد على التعرف على الكائن الحي الموجود في المنطقة المصابة. هذه الطريقة أقل استعمالاً من الفحص الميكروسكوبي نظراً إلى أنها تستغرق وقتاً طويلاً كما أنها حساسة جداً ويمكن للعينة أن تتلوث مما يجعلها غير مفيدة في التشخيص.
العلاج بالأدوية
يمكن للتداوي (الخاطئ أو المستمر لفترة طويلة) بالمضادات الحيوية أن يساهم في حدوث داء المبيضات لدى الأشخاص الأصحاء. وعادة مايزول المرض تلقائياً بعد وقف التداوي بفترة قصيرة. وتستخدم عادة الأدوية المضادة للفطور في علاج داء المبيضات. وأهم الأدوية المضادة للفطور المستخدمة:
- الكلوتريمازول الموضعي clotrimazole
- نيستاتين موضعي nystatin
- فلوكونازول موضعي fluconazole
- كيتوكونازول ketoconazole
ورد أن التداوي بجرعة واحدة من الفلوكونازول 150 ملغ كانت شافيه لـ90 % من الحالات.[4]
العلاج بالأعشاب الطبيعية
يفضل بعض الاطباء علاج داء المبيضات الغير حاد أو البسيط بالنباتات التي اثبتت فاعليتها وكذلك عن طريق حميه تسمى حمية الكانديدا حيث ويعتبر الفطر المعروف باسم "كانديدا البيكانس" Candida Albicans أشهر أنواع الفطريات التي تصيب جسم الإنسان بكثير من المشكلات الصحية.
اختبار كشف الإصابة بالمنزل
عند الاستيقاظ من النوم في الصباح قم مباشره بالبصق داخل كأس ماء واتركه لمدة 10 دقائق بعدها يلاحظ ترسب طبقه سحابيه في القاع ونزول مثل الأسلاك من قمه الكاس
نظام غذائي
يشمل النظام الغذائي قائمة بالأغذية الممنوعة والأخرى المسموح بها.
الاغذيه الممنوعه
السكر الأبيض والبني - العصائر المحلاة بالسكر - العسل الأسود - عسل النحل - شراب الذرة - شراب الأرز - دبس التمر - الفاكهة المجففة (المجمدة والمعبأة) - عصائر الفاكهة (المعلبة) - الكحوليات والمشروبات المخمرة - خميرة الخباز وخميرة البيرة - الخبز والمعجنات والبسكويت والكيك والحلوى والـ"دونتس" - الخل الأحمر والأبيض - الأطعمة المحتوية على الخل مثل المخللات، الخضراوات المخللة، المايونيز، الكاتشاب، متبلات السلاطة المعدة تجاريا، صلصة الصويا، صلصة الباربكيو، الخردل، الخردل المحتوي على الخل - الحليب المركز (مسحوق الحليب) - الفطر (فطر عيش الغراب) - الفول السوداني - زبد الفول السوداني - الفستق الأخضر - الجبن المعتق والمعفن والمعالج مثل جبن الروكفورت والجبنة الزرقاء وجبن الشيدر - الأطعمة المصنعة والمعلبة - الوجبات الجاهزة المحتوية على السكر والدقيق المكرر - اللحوم المعالجة صناعيا والمدخنة مثل السجق (النقانق) والسلامى - المحليات الصناعية - .
الأغذية المسموح بها
- شاي الأعشاب، خاصة شاي القرنفل.
- العصائر الطازجة.
- الخضراوات الورقية الخضراء مثل السبانخ والجرجير (لاحتوائها على "بيتا كاروتين" وفيتامين "سي").
- الكرنب، البروكلي، القرنبيط، اللفت، ملفوف بروكسل (لاحتوائها على مواد كبريتية).
- حساء الخضراوات الطازج المعد في المنزل.
- الفاكهة الطازجة.
- الأرز البني/ الدقيق البني (الخالي من الغلوتين).
- الكيك المصنوع من الأرز (كيك الأرز).
- الكيك المصنوع من الشوفان (كيك الشوفان) - نخالة الشوفان.
- الخبز والمعجنات المعدة في المنزل باستخدام دقيق الحبوب الكاملة مع البيكنغ باودر أو الصودا.
- البقول (المجففة) مثل العدس والفول والبازلاء والحمص.
- لبن الصويا.
- الزبادي المدعم بالخمائر الطبيعية.
- الزبادي المحتوي على البكتريا الحية، المحفوظ في الثلاجة بعيدا عن الضوء.
- الجبن قليل اللاكتوز مثل جبن الموتزاريلا.
- المكسرات الطازجة والبذور النيئة (لاحتوائها على فيتامين إي E).
- زيت بذر الكتان أو زيت الزيتون (عصرة البكر الباردة) Extravirgin oils.
- البصل والثوم (لاحتوائها على مواد مضادة للفطريات).
- اللحوم والأسماك الطازجة.
- الأطعمة العضوية، الطبيعية، غير المصنعة.
ويضاف إلى هذه الأغذية ما يلي
- الأغذية الغنية بعنصر الزنك مثل اللحوم الحمراء والمحار البحري والمكسرات والبذور (يلعب الزنك دورا مهما في زيادة مناعة الجسم والوقاية من الالتهابات الفطرية).
- الأغذية الغنية بفيتامين "سي" C مثل الحمضيات والتوت والفراولة والفلفل الأحمر والأخضر (يلعب فيتامين "سي" دورا مهما في رفع كفاءة الجهاز المناعي والوقاية من الالتهابات).
- الأغذية الغنية بعنصر الحديد مثل اللحوم الحمراء والأسماك والبيض والمكسرات والخضراوات الورقية الخضراء (يساعد الحديد على التئام الالتهابات الفطرية ومنع تكرارها).
- الأغذية المعززة بالخمائر الطبيعية مثل الزبادي وبعض عصائر الفاكهة (إعادة التوازن الطبيعي بين البكتريا النافعة والفطريات مما يؤدى إلى منع نشاط وتكاثر الفطريات)
المكملات الغذائية
أما المكملات الغذائية المسموح بها، فتشمل:
- مستخلص بذور "غروب فروت" Grapefruit Seeds Extract (مضاد للفطريات، يساعد على استعادة التوازن الطبيعي بين البكتريا النافعة والفطريات، يستخدم على هيئة نقط بالفم أو غرغرة لعلاج فطريات الفم والحلق).
- حمض الكابريليك (مادة حمضية تستخرج من جوز الهند، مضادة للفطريات، تستخدم تحت الإشراف الطبي الدقيق).
- مكملات زيت الثوم Garlic Oil (مضاد للفطريات، ينصح بتناوله بصفة منتظمة لرفع مناعة الجسم والتغلب على الالتهابات الفطرية والفيروسية والبكتيرية).
- مكملات بروبيوتيك Probiotics المحتوية على بكتريا لاكتوباسيلس أو بفيدوبكتريوم.
- المكملات الغذائية المحتوية على الحديد والزنك وفيتامين "سي".
- المكملات الغذائية المحتوية على مستخلص عشب (اشينيشيا Echinicea) الذي يساعد على رفع كفاءة الجهاز المناعي الخليوي المضاد للفطريات.
مراجع
- Fidel PL (2002). "Immunity to Candida". Oral Dis. 8: 69–75. doi:10.1034/j.1601-0825.2002.00015.x. PMID 12164664. الوسيط
|CitationClass=تم تجاهله (مساعدة) - Pappas PG (2006). "Invasive candidiasis". Infect. Dis. Clin. North Am. 20 (3): 485–506. doi:10.1016/j.idc.2006.07.004. PMID 16984866. الوسيط
|CitationClass=تم تجاهله (مساعدة) - NCBI - WWW Error Blocked Diagnostic نسخة محفوظة 24 مارس 2014 على موقع واي باك مشين.
- Moosa MY, Sobel JD, Elhalis H, Du W, Akins RA (2004). "Fungicidal activity of fluconazole against Candida albicans in a synthetic vagina-simulative medium". Antimicrob. Agents Chemother. 48 (1): 161–7. doi:10.1128/AAC.48.1.161-167.2004. PMID 14693534. الوسيط
|CitationClass=تم تجاهله (مساعدة)صيانة CS1: أسماء متعددة: قائمة المؤلفون (link)
- بوابة طب
- بوابة فطريات

