داء المستخفيات
داء المستخفيات (بالإنجليزية: Cryptococcosis) تسببه فطر المستخفيات، وهو عالمي الانتشار. ويحدث أوراماً شبه صمغية وآفات حبيبومية في الرئة والعظام والمخ والسحايا والمفاصل والجلد.[1] وكثيراً ما يشاهد الفطر في السائل الدماغي الشوكي عندما يصيب الجملة العصبية. يجب إعطاء الأمفوتريسين عن طريق الفم، ويمكن استئصال الآفات الرئوية المتوضعة جراحياً.[2] Blood cultures may be positive in heavy infections. حبر هندي of the CSF is a traditional microscopic method of diagnosis,[3]
| داء المستخفيات | |
|---|---|
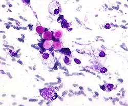
![]() صورة مجهرية من المستخفيات تبين كبسولة سميكة مميز من المستخفية.. صورة مجهرية من المستخفيات تبين كبسولة سميكة مميز من المستخفية.. | |
| معلومات عامة | |
| الاختصاص | أمراض معدية، طب الصدر |
| من أنواع | فطار انتهازي ، وعدوى فطرية ، واضطراب مناعي |
| الأسباب | |
| الأسباب | مستخفية مورمة |
| الإدارة | |
| أدوية | |
| حالات مشابهة | داء خفيات الأبواغ |
المرضية
لم يتم توضيح انتقال المرض، عندما قطرات الحصانة، يمكن مسببات الأمراض غزو والسبب المباشر في خط الاتصال الدم، لذلك الاستخدام طويل الأمد للعوامل المثبطة للمناعة أو القشرية في المرضى الذين يعانون من الإيدز ومرضى سرطان الدم عرضة للإصابة بالمرض. تقريبا كل من المستخفية المورمة عدوى رئوية مع غزو الإنسان، 90٪ من الآفات يقتصر على الرئتين، و10٪ يمكن أن ينتشر من خلال انتشار الدم إلى الأعضاء الأخرى.[4] الجهاز العصبي المركزي والجلد هو الموقع الأكثر شيوعا من العدوى الثانوية، والبكتيريا تميل إلى غزو قد يكون الجهاز العصبي المركزي موجودة في السائل المخي الشوكي ومصل الكرياتينين أسباراجين يساعد البكتيريا .
العلاج
تتمثل المعالجة المفضلة في هذه الحالة بالتسريب الوريدي للأمفوتريسين amphotericin بمفرده أو بالمشاركة مع الفلوسيتوزين flucytosine، ويمكن إعطاء الفلوكونازول fluconazole الوريدي بمفرده كعلاج بديل خاصةً لدى مرضى الإيدز، ويمكن استخدام الفلوكونازول الفموي للوقاية من النكس حتى عودة المناعة إلى وضعها الطبيعي.
معرض صور
المراجع
- "Meningitis: cryptococcal: Overview". Medical Reference: Encyclopedia. University of Maryland Medical Center. September 2010. مؤرشف من الأصل في 23 مايو 2013. الوسيط
|CitationClass=تم تجاهله (مساعدة) - Rhein, J; Boulware DR (2012). "Prognosis and management of cryptococcal meningitis in patients with HIV infection". Neurobehavioral HIV Medicine. 4: 45. doi:10.2147/NBHIV.S24748. مؤرشف من الأصل في 18 ديسمبر 2019. الوسيط
|CitationClass=تم تجاهله (مساعدة) - Zerpa, R; Huicho, L; Guillén, A (September 1996). "Modified India ink preparation for Cryptococcus neoformans in cerebrospinal fluid specimens" (PDF). Journal of clinical microbiology. 34 (9): 2290–1. PMID 8862601. مؤرشف من الأصل (PDF) في 6 يناير 2016. الوسيط
|CitationClass=تم تجاهله (مساعدة) - Boulware, DR; Rolfes, MA; Rajasingham, R; von Hohenberg, M; Qin, Z; Taseera, K; Schutz, C; Kwizera, R; Butler, EK; Meintjes, G; Muzoora, C; Bischof, JC; Meya, DB (Jan 2014). "Multisite validation of cryptococcal antigen lateral flow assay and quantification by laser thermal contrast". Emerging Infectious Diseases. 20 (1): 45–53. doi:10.3201/eid2001.130906. PMC 3884728. PMID 24378231. الوسيط
|CitationClass=تم تجاهله (مساعدة)
وصلات إضافية
- "Cryptococcosis (European Blastomycosis; Torulosis)". Merck Manual: Health Care Professionals: Infectious Diseases: Fungi. April 2009. مؤرشف من الأصل في 12 أبريل 2015. الوسيط
|CitationClass=تم تجاهله (مساعدة) - PreventCrypto.org is a clearinghouse for information as an international collaboration between government and non-governmental organizations, academic institutions, and private industry partners—who are dedicated to reducing the global burden of cryptococcal disease.
- Health AtoZ
- Busse-Buschke disease على قاموس من سمى هذا؟
- See pathology video with commentary of brain tissue infested by Cryptoccocus neoformans
- Medscape entry on cryptococcosis
- بوابة فطريات
- بوابة طب


_Alcian_blue-PAS.jpg.webp)



_histiocytic_penumonia.jpg.webp)