داء غروفر
الجلاد الحال للأشواك العابر (بالإنجليزية: Transient acantholytic dermatosis) أو داء غروفر (بالإنجليزية: Grover's disease) هو جلاد حكة حطاطي حويصلي متعدد الأشكال يمتاز نسيجيا بانحلال الأشواك[2]:529، ويكون مع أو بدون عسر تقرن.[3]
| الجلاد الحال للأشواك العابر داء غروفر | |
|---|---|
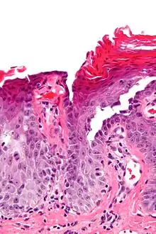
![]() صورة مجهرية للجلاد الحال للأشواك العابر, تظهر انفصال تحت القرنية وانحلال الأشواك. صورة مجهرية للجلاد الحال للأشواك العابر, تظهر انفصال تحت القرنية وانحلال الأشواك. | |
| تسميات أخرى | benign papular acantholytic dermatosis,[1] transient acantholytic dermatosis,[1] persistent acantholytic dermatosis[1] |
| معلومات عامة | |
| الاختصاص | طب الجلد |
| من أنواع | انحلال الأشواك |
عندما يشخص داء غروفر فإنه يستمر من ستة أشهر إلى سنة، لذلك يوصف بأنه "عابر". وفي حالات معينة، قد يستمر فترة أطول، لكن يجب تمييزه عن جلاد انحلال الأشواك الخطي الناكس.
المصادر
- Rapini, Ronald P.; Bolognia, Jean L.; Jorizzo, Joseph L. (2007). Dermatology: 2-Volume Set. St. Louis: Mosby. ISBN 1-4160-2999-0. الوسيط
|CitationClass=تم تجاهله (مساعدة) - Freedberg, et al. (2003). Fitzpatrick's Dermatology in General Medicine. (6th ed.). McGraw-Hill. ISBN 0-07-138076-0.
- Scheinfeld NS, Mones J. Seasonal variation of transient acantholytic dyskeratosis (Grover’s disease). J Am Acad Dermatol. 2006;55:263-8. ببمد 16844509
- بوابة طب
This article is issued from Wikipedia. The text is licensed under Creative Commons - Attribution - Sharealike. Additional terms may apply for the media files.
