داء كاسلمان
داء كاسلمان (بالإنجليزية: Castleman's disease) هو اضطراب نادر جدا يتميز بنمو خلايا غير سرطانية (أورام) يمكن أن تتطور في نسيج عقد ليمفاوية في موقع وحيد أو عبر الجسم.[1] يتطلب حدوث هذا الداء فرط تكاثر خلايا بائية معينة التي عادة ما تنتج السايتوكينات. وبرغم أن هذا المرض لا يصنف رسميا على أنه سرطان، إلا أن فرط نمو الليمفاويات فيه جعله مشابها لسرطان الغدد الليمفاوية.[2] أخذ هذا المرض اسمه من بنجامين كاسلمان.[3][4]
| داء كاسلمان | |
|---|---|
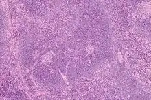
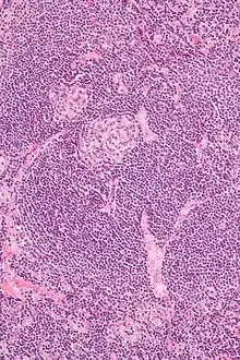
![]() صورة مجهرية لداء كاسلمان حيث يظهر متغير الزجاجي الوعائي المنطقة الردائية الموسعة ووعاء دمويا مخترقا شعاعيا (علامة المصاصة). صبغة الهيماتوكسيلين واليوزين صورة مجهرية لداء كاسلمان حيث يظهر متغير الزجاجي الوعائي المنطقة الردائية الموسعة ووعاء دمويا مخترقا شعاعيا (علامة المصاصة). صبغة الهيماتوكسيلين واليوزين | |
| معلومات عامة | |
| الاختصاص | علم المناعة ، وعلم الأوعية |
| من أنواع | اضطرابات تكاثرية لمفية |
| الإدارة | |
| أدوية | |
أنواع المرض

.]]
توجد أنواع عدة من مرض كاسلمان وغالبا ما يحدث مرض كاسلمان عموما بسبب فرط إنتاج سايتوكين إنترلوكين 6.[5]
- في الأورام التي تكون موجبة لفيروس الهربس المصاحب لسرطان كابوزي (KSHV)، ويدعى أيضا بفيروس الهربس البشري 8 (HHV-8)، وغالبا ما يحدث هذا تبعا لتعبير السايتوكين المشفر فيروسيا vIL-6.[6]
- يبدو أن الأورام السالبة لـ KSHV تبدو نتيجة للإفراز الزائد لانتركولين 6 البشري.
وحيد المركز مقابل عديد المراكز
يقتضي مرض كاسلمان وحيد المركز نمو الخلايا في موقع واحد فقط. عادة ما يكون له أعراض قليلة أو لا توجد أعراض أصلا بعكس تلك التي ترتبط مباشرة بالتكبير الفيزيائي للعقدة الليمفاوية. في 90% أو أكثر من الحالات، غالبا ما تكون إزالة العقدة المتضخمة كافية للشفاء دون حدوث مضاعفات أخرى.
أما مرض كاسلمان متعدد المراكز (MCD) فيقتضي نمو الخلايا في مواقع متعددة.[7] ويحدث 50% منها بسبب KSHV، الذي يسمى أيضا HHV-8، وهو فيروس من نوع هربس جاما يعتبر سببا في سرطان كابوزيس وانصباب الورم الليمفاوي الأولي بينما باقي حالات المرض متعددة المراكز مجهولة السبب. إن شكل MCD الأكثر ارتباطا مع KSHV هو الشكل البلازمي من مرض كاسلمان بينما يكون الشكل الممرض الآخر وهو المعروف بالزجاجي-الوعائي سالبا عموما لهذا الفيروس.
أعراض داء كاسلمان عديد المراكز
تتلخص معظم أعراض ب لهذا الداء عديد المراكز في الحميات المرتفعة وفقر الدم وفقدان الوزن وفقدان الوزن عند الأطفال وانخفاض عدد خلايا الدم البيضاء والذي يحتمل حدوثه بسبب فرط إنتاج إنترليوكين 6. ولذا؛ يمكن اعتبار MCD مرضا يصعب تشخيصه وحتى في حالة أخذ خزعة من العقدة الليمفاوية فإن التشخيص النهائي يبقى معضلة.
يمكن مشاهدة داء كاسلمان في متلازمة POEMS وهي مسؤولة عن 10% من حالات الفقاع نظير السرطاني أو ما يسمى بالفقاع المرافق للخباثات.
العلاج
الداء وحيد المركز
في الشكل وحيد المركز من المرض؛ غالبا ما يكون الاستئصال الجزئي عن طريق الجراحة شافيا[8] ويمكن تشخيص المرض مستقبليا بشكل ممتاز.
الداء عديد المراكز
لا يوجد علاج قياسي للداء عديد المراكز في الوقت الحالي. من المهم تمييز داء كاسلمان عديد المراكز المرتبط بالإيدز عن طريق الأشكال الأخرى من عديد المراكز. يمكن علاج المرض السابق عن طريق التركيز على نفس البروتوكولات المستخدمة لعلاج الإيدز المتضمن في المرض.[9]
حملت السنوات التي سبقت عام 1996م تشخيصا ضعيفا لعديد المراكز بسبب خلطه مع اللِمْفُومةٌ لَاهودجكينيَّة وفقر الدم الانحلالي بالمناعة الذاتية وهي أمراض قد تنتج بسبب تكاثر الخلايا المصابة. توقيت التشخيص مع اهتمام خاص يولى لصعوبة تحديد سبب أعراض ب بدون مسح CT وأخذ خزعة من العقدة الليمفاوية وذلك لأنه قد يؤثر على التشخيص المستقبلي وخطر الموت أيضا. إن ترك الداء بلا علاج، فغالبا ما سيسوء وضعه ليؤدي إلى أن يصبح أكثر صعوبة وأقل استجابة ونظم المعالجة الحالية.
تقترح الأبحاث الحديثة التي أجريت مع مرضى الإيدز مع عديد المراكز المتعلق بـ KSHV أن العلاج باستخدام عقاقير غانسيكلوفر مضادة لفيروسات الهيربس أو خلية antiCD20 B الأضداد وحيدة النسيلة، يمكن أن يحسن عقار رايتوكسيماب من النتيجة بشكل ملحوظ. تستهدف هذه العقاقير وتقتل الخلايا البائية باستخدام معلمة CD20 للجسم المضاد في بدن المريض. بما أن خلايا ب تلزم لإنتاج الأجسام المضادة، تضعف استجابة الجسم المناعية خلال العلاج ويزيد خطر العدوى الفيروسية أو البكتيرية. تبعا للطبيعة غير الشائعة لهذه الحالة لا توجد دراسة واسعة النطاق بحيث يمكن استقاء طرق قياسية للعلاج منها، كما ويجب قراءة دراسات الحالات المتوافرة الخاصة بالأفراد أو الجماعات الصغيرة بحذر. كما في حالة أمراض عديدة فإن عمر المريض وحالته الفيزيائية والتاريخ المرضي السابق له مع أخذ العدوى بالاعتبار قد يؤثر على تطور وناتج المرض. تم اقتراح استخدام عقار طوسيليزوماب في العلاج؛ [10] أما علاجات داء كاسلمان متعدد المراكز الأخرى فتشمل التالي:
انظر أيضا
- جهاز لمفي
- متلازمة العوز المناعي المكتسب
- فيروس نقص المناعة البشرية
- ورم لمفي
- سرطان كابوزيس
مراجع
- Bucher P, Chassot G, Zufferey G, Ris F, Huber O, Morel P (2005). "Surgical management of abdominal and retroperitoneal Castleman's disease". World J Surg Oncol. 3: 33. doi:10.1186/1477-7819-3-33. PMC 1166581. PMID 15941478. مؤرشف من الأصل في 18 ديسمبر 2019. الوسيط
|CitationClass=تم تجاهله (مساعدة)صيانة CS1: أسماء متعددة: قائمة المؤلفون (link) - "Castleman disease". عيادة مايو. مؤرشف من الأصل في 2 يناير 2014. اطلع عليه بتاريخ 03 فبراير 2010. الوسيط
|CitationClass=تم تجاهله (مساعدة) - synd/3017 على قاموس من سمى هذا؟
- Castleman B, Iverson L, Menendez VP (1956). "Localized mediastinal lymphnode hyperplasia resembling thymoma". Cancer. 9 (4): 822–30. doi:10.1002/1097-0142(195607/08)9:4<822::AID-CNCR2820090430>3.0.CO;2-4. PMID 13356266. الوسيط
|CitationClass=تم تجاهله (مساعدة)صيانة CS1: أسماء متعددة: قائمة المؤلفون (link) - Ahmed B, Tschen JA, Cohen PR; et al. (2007). "Cutaneous castleman's disease responds to anti interleukin-6 treatment". Mol. Cancer Ther. 6 (9): 2386–90. doi:10.1158/1535-7163.MCT-07-0256. PMID 17766835. مؤرشف من الأصل في 18 ديسمبر 2019. الوسيط
|CitationClass=تم تجاهله (مساعدة); Explicit use of et al. in:|مؤلف=(مساعدة)صيانة CS1: أسماء متعددة: قائمة المؤلفون (link) - Aoki Y, Yarchoan R, Wyvill K, Okamoto S, Little RF, Tosato G (2001). "Detection of viral interleukin-6 in Kaposi sarcoma-associated herpesvirus-linked disorders". Blood. 97 (7): 2173–6. doi:10.1182/blood.V97.7.2173. PMID 11264189. مؤرشف من الأصل في 26 يناير 2020. اطلع عليه بتاريخ أكتوبر 2020. الوسيط
|CitationClass=تم تجاهله (مساعدة); تحقق من التاريخ في:|تاريخ الوصول=(مساعدة)صيانة CS1: أسماء متعددة: قائمة المؤلفون (link) - Menezes BF, Morgan R, Azad M (2007). "Multicentric Castleman's disease: a case report". J Med Case Reports. 1: 78. doi:10.1186/1752-1947-1-78. PMC 2014764. PMID 17803812. مؤرشف من الأصل في 06 مارس 2016. الوسيط
|CitationClass=تم تجاهله (مساعدة)صيانة CS1: أسماء متعددة: قائمة المؤلفون (link) - Talarico F, Negri L, Iusco D, Corazza GG (2008). "Unicentric Castleman's disease in peripancreatic tissue: case report and review of the literature". G Chir. 29 (4): 141–4. PMID 18419976. مؤرشف من الأصل في 18 ديسمبر 2019. الوسيط
|CitationClass=تم تجاهله (مساعدة)صيانة CS1: أسماء متعددة: قائمة المؤلفون (link) - Sprinz E, Jeffman M, Liedke P, Putten A, Schwartsmann G (2004). "Successful treatment of AIDS-related Castleman's disease following the administration of highly active antiretroviral therapy (HAART)". Ann. Oncol. 15 (2): 356–8. doi:10.1093/annonc/mdh066. PMID 14760135. مؤرشف من الأصل في 26 مايو 2020. الوسيط
|CitationClass=تم تجاهله (مساعدة)صيانة CS1: أسماء متعددة: قائمة المؤلفون (link) - Matsuyama M, Suzuki T, Tsuboi H; et al. (2007). "Anti-interleukin-6 receptor antibody (tocilizumab) treatment of multicentric Castleman's disease". Intern. Med. 46 (11): 771–4. doi:10.2169/internalmedicine.46.6262. PMID 17541233. مؤرشف من الأصل (– Scholar search) في 18 ديسمبر 2019. الوسيط
|CitationClass=تم تجاهله (مساعدة); Explicit use of et al. in:|مؤلف=(مساعدة)صيانة CS1: أسماء متعددة: قائمة المؤلفون (link) - Castleman disease - Mayo Clinic نسخة محفوظة 08 أكتوبر 2013 على موقع واي باك مشين.
