داء كلوي بفرط ضغط الدم
اعتلال الكلية بفرط ضغط الدم أو الداء الكلوي بفرط ضغط الدم (بالإنجليزية: Hypertensive nephropathy أو Hypertensive nephrosclerosis أو Hypertensive kidney disease أو Hypertensive renal disease) هو حالة طبية تشير إلى خلل الكلية الناتج عن ارتفاع ضغط الدم المزمن.
| Hypertensive nephropathy | |
|---|---|
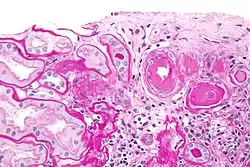
![]() صورة مجهرية تظهر التزجج الشرياني [الإنجليزية] الكلوي (الحلقة الوردية يمين الوسط). الصورة محضرة بصبغة باس. صورة مجهرية تظهر التزجج الشرياني [الإنجليزية] الكلوي (الحلقة الوردية يمين الوسط). الصورة محضرة بصبغة باس. | |
| معلومات عامة | |
| الاختصاص | طب الكلى |
يجب تمييز الداء الكلوي بفرط ضغط الدم عن فرط الضغط الناجم عن الأوعية الدموية، وهو أحد أنواع فرط ضغط الدم الثانوي.[1]
الأعراض والعلامات
تشمل أعراض الداء الكلوي المزمن: فقد الشهية، والغثيان، والإقياء، والحكة، والنعاس أو التخليط الذهني، وفقد الوزن، وطعم غير مستساغ في الفم.[2]
الأسباب
يشير «فرط الضغط» إلى ضغط الدم العالي، ويعني «الاعتلال الكلوي» وجود أذية في الكلية، وبالتالي فهي حالة مرضية يسبب فيها ضغط الدم العالي بشكل مزمن حدوث أذية في النسيج الكلوي الذي يشمل: الأوعية الدموية الصغيرة، والكبيبات، والنبيبات الكلوية، والأنسجة الخلالية. يتصلب النسيج وتزداد ثخانته وهذا ما يُعرَف بالتصلب الكلوي.[1] يؤدي حدوث تضيق في الأوعية الدموية إلى نقص الدم المتجه إلى هذا النسيج وبالتالي ستصله كمية أقل من الأكسجين ما يؤدي إلى موت هذا النسيج (نقص التروية).[3]
تشمل عوامل الخطر لحدوث اعتلال الكلية بفرط ضغط الدم وجود ضغط دم متوسط إلى مرتفع غير مضبوط بصورة جيدة، وتقدم العمر، واضطرابات الكلية الأخرى، وذوي الخلفية الأفريقية الكاريبية وسبب ذلك غير واضح، لكنه قد يكون ناجمًا إما عن تأهب جيني أو عن إدارة صحية سيئة لدى الأشخاص المنحدرين من أصول أفريقية كاريبية.[1]
الآلية
في الكليتين، كنتيجة لفرط ضغط الدم الشرياني الحميد، يتراكم الهيالين (مادة وردية اللون متجانسة عديمة الشكل) في جدران الشرينات والشرايين الصغيرة ما يؤدي إلى زيادة ثخانة جدرانها وتضيق لمعات الشرايين، وهي عملية تدعى بالتصلب الشريني. يؤدي نقص تدفق الدم الناتج عن ذلك إلى حدوث ضمور نبيبي، وتليف خلالي، وتبدلات كبيبية (كبيبات أصغر فيها درجات مختلفة من توضع الهيالين- من الخفيف وحتى تصلب الكبيبات)، وتندّب في المنطقة المحيطة بالكبيبات (تليف حول كبيبي). في المراحل المتقدمة، سيحدث القصور الكلوي. تكون الوحدات الكلوية (الكليونات) الوظيفية ذات نبيبات متوسعة،[4] وغالبًا ما توجد أسطوانات هيالينية في لمعة النبيبات. تشمل الاختلاطات الإضافية التي غالبًا ما تكون مرتبطة بحدوث الاعتلال الكلوي بفرط الضغط الأذية الكبيبية التي تؤدي إلى ضياع البروتين والدم مع البول.
يشير اعتلال الكلية بفرط الضغط إلى حدوث قصور كلوي يمكن أن يُعزا لوجود قصة من ارتفاع ضغط الدم.[5] إنها حالة مزمنة وعامل خطر مهم لحدوث المرحلة النهائية من الداء الكلوي. على أي حال، رغم الارتباط المعروف جيدًا بين ارتفاع ضغط الدم والداء الكلوي المزمن إلا أن الآلية الكامنة وراء هذه العلاقة لا تزال غير واضحة.[6] إن الآليتين المقترحتان لحدوث الاعتلال بفرط الضغط كلتاهما تركزان على كيفية إصابة الكبيبة، وهي شبكة من الشعيرات الدموية الكثيفة التي تقوم بعملية الترشيح الكلوي، وتحدد إحدى النظريتين أن نقص التروية الكبيبية هي المسبب الرئيسي لحدوث ارتفاع ضغط الدم، بينما تحدد الأخرى أن كل من ارتفاع ضغط الدم الكبيبي وفرط الترشيح الكلوي في مركز الآلية المرضية لارتفاع ضغط الدم.[5]
نقص التروية الكبيبة
قد يؤدي ارتفاع ضغط الدم على المدى الطويل إلى أذية البطانة، التي تُعرَف بالطبقة المبطنة للأوعية الدموية. يؤدي ذلك إلى تشكل لويحات قد تترسب في الشريانين الكلويين محدثة تضيقًا وداء كلويًا بنقص التروية. في هذه الحالة، تعاني الكلية ذات الشريان الكلوي المتضيق من نقص تدفق الدم إليها، الأمر الذي يسبب بدوره نقصًا في حجم الكليتين. تشمل التبعات الأخرى التصلب الشرياني الذي ينطوي على حدوث تفكك جزئي في الألياف المرنة وثخانة الطبقة الداخلية للوعاء الدموي.
فرط ضغط الدم الكبيبي وفرط الرشح الكبيبي
أحد الآليات البديلة لحدوث الاعتلال الكلوري بفرط الضغط هو فرط الضغط الكبيبي وبالتالي فرط الترشيح الكبيبي. قد يحدث ذلك بالتزامن، ولكن وليس بالضرورة. الفكرة أن فرط الضغط يؤدي إلى حدوث تصلب في الكبيبات ما يؤدي في النهاية إلى نقص الوظيفة الكلوية. كآلية معاوضة، يحدث توسع وعائي في الوحدا الكلوية (الكليونات) غير المتأذية (خاصة، الشرينات قبل الكبيبية) لزيادة تدفق الدم إلى الكلية وزيادة الترشيح الكبيبي في الكبيبات غير المتأذية.
انظر أيضًا
مراجع
- Zhang, Zhiwei. "Benign Hypertensive Arteriolar Nephrosclerosis". Merck Manuals Consumer Version. مؤرشف من الأصل في 03 ديسمبر 2019. اطلع عليه بتاريخ 12 نوفمبر 2016. الوسيط
|CitationClass=تم تجاهله (مساعدة) - "Benign Hypertensive Arteriolar Nephrosclerosis". MSD Manual Consumer Version. مؤرشف من الأصل في 03 ديسمبر 2019. اطلع عليه بتاريخ 12 نوفمبر 2016. الوسيط
|CitationClass=تم تجاهله (مساعدة) - "Hypertensive Nephropathy, Symptoms, Treatment, Diet and Causes – Kidney Disease Symptoms and Treatment". www.kidney-symptom.com. مؤرشف من الأصل في 07 يونيو 2019. اطلع عليه بتاريخ 12 نوفمبر 2016. الوسيط
|CitationClass=تم تجاهله (مساعدة) - "nephron: definition of nephron in Oxford dictionary (American English) (US)". www.oxforddictionaries.com. مؤرشف من الأصل في 27 أبريل 2016. اطلع عليه بتاريخ 15 أبريل 2016. الوسيط
|CitationClass=تم تجاهله (مساعدة) - "Nephrosclerosis: Background, Pathophysiology, Epidemiology". 2016-09-08. مؤرشف من الأصل في 28 ديسمبر 2019. الوسيط
|CitationClass=تم تجاهله (مساعدة) - Suneel Udani, MD; Ivana Lazich, MD; George L. Bakris, MD. "Epidemiology of Hypertensive Kidney Disease". مؤرشف من الأصل في 24 سبتمبر 2017. الوسيط
|CitationClass=تم تجاهله (مساعدة)
- بوابة طب
