دبيلة جنبية
الدبيلة الجنبية (بالإنجليزية: Pleural empyema) أو تقيح الصدر (بالإنجليزية: Pyothorax) أو التهاب الجنبة القيحي (بالإنجليزية: Purulent pleuritis) أو الدبيلة الصدرية (بالإنجليزية: Thoracic empyema) هي إحدى أنواع الدبيلة التي تصيب تجويف الجنبة وقد تتكون نتيجة لعدوى بكتيرية تصيبها، خاصة في حالة ذات الرئة.[1][2][3] كما أنها واحدة من أنواع الانصباب الجنبي.
| الدبيلة الجنبية Pleural empyema | |
|---|---|
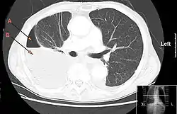
![]() صورة مقطعية للصدر يظهر فيها استرواح الصدر الموهي من الدبيلة الجنبية. السهم (A) يشير إلى هواء والسهم (B) يشير إلى سائل صورة مقطعية للصدر يظهر فيها استرواح الصدر الموهي من الدبيلة الجنبية. السهم (A) يشير إلى هواء والسهم (B) يشير إلى سائل | |
| معلومات عامة | |
| الاختصاص | طب الرئة ، وجراحة القلب والصدر |
| من أنواع | مرض غشاء الجنب ، ودبيلة ، وانصباب جنبي ، ومرض رئوي |
| التاريخ | |
| وصفها المصدر | موسوعة ناتال |
هنالك ثلاثة مراحل للدبيلة الجنبية:
- المرحلة النضحية، عندما يكون هنالك زيادة في السائل الجنبي مع وجود أو غياب القيح.
- المرحلة الفبرينية القيحية: عندما تكون الحواجز الليفية جيوب قيح موضعية.
- المرحلة الأخيرة: حدوث تندب في الأغشية الجنبية مع احتمال عدم قدرة الرئة على التوسع.
تحدث حالات الدبيلة الجنبية البسيطة في حوالي 40٪ من حالات ذات الرئة البكتيري، وفي أكثر الحالات يمكن علاجها بواسطة المضادات الحيوية المناسبة، وعندما تحدث يجب التدخل لعلاجها.
العلامات والأعراض
تعتمد الشكايات التي تدفع المرضى إلى مراكز الرعاية الصحية على عدة عوامل، بما في ذلك الكائن الحي الدقيق المسبب. تُكتَشَف معظم الحالات في سياق أعراض ذات رئة، ولكن لا يُظهِر نحو ثلث المرضى علامات سريرية تشير إلى ذات الرئة، وترتبط نحو 25٪ من الحالات بالرض (الجراحة مثلًا). تشمل الأعراض النموذجية السعال والآلام الصدرية وضيق التنفس والحمى.
التشخيص
يبقى الاستقصاء الأولي الذي يمكن إجراؤه عند الاشتباه بالدبيلة هو تصوير الصدر بالأشعة السينية، لكنه لا يميز الدبيلة عن الانصباب نظير ذات الرئة غير المصاب بالإنتان. يجب استخدام الموجات فوق الصوتية لتأكيد وجود السائل الجنبي ويمكن استخدامها لتقدير حجم الانصباب والتمييز بين السائل الجنبي الحر والموضعي وتوجيه بزل الصدر إذا لزم الأمر. لا يقدم التصوير المقطعي المحوسب والتصوير بالرنين المغناطيسي للصدر أية معلومات إضافية في معظم الحالات، وبالتالي لا ينبغي إجراءها بشكل روتيني.[4] يملك سائل الدبيلة في التصوير المقطعي المحوسب كثافة إشعاعية تبلغ نحو 0-20 وحدة هاوسفيلد، ولكنها تزيد عن 30 وحدة هاسفيلد عندما يصبح السائل أكثر كثافة مع مرور الوقت.[5]
تشمل المعايير الذهبية الأشيع لتشخيص الدبيلة ما يلي:
- انصباب جنبي قيحي عياني.
- تلوين غرام إيجابي للسائل.
- زرع إيجابي للسائل.
- سائل جنبي ذو أس هيدروجيني أقل من 7.2 مع دم محيطي ذو أس هيدروجيني طبيعي.
وعلى ذلك، تدعو المبادئ التوجيهية السريرية إلى إجراء رشف السائل الجنبي التشخيصي لدى المرضى البالغين الذين يعانون من الانصباب الجنبي المترافق مع خمج الدم (إنتان) أو داء رئوي التهابي. يكون الانصباب الجنبي لدى الأطفال دائمًا انصباب نظير ذات رئة، ويمكن تصريف السائل عبر أنبوب صدري بناءً على الأسس السريرية فقط، ولا تنصح المبادئ التوجيهية البريطانية لتدبير إنتان سائل الجنب لدى الأطفال بأخذ عينات تشخيصية للسوائل الجنبية.[6][7]
يلجأ الأطباء في معظم الأحيان إلى زراعة الدم والبلغم عند وجود التهاب رئوي مكتسب من المجتمع يحتاج إلى القبول في المستشفى. ومع ذلك، تجدر الإشارة إلى أن الكائنات الحية الدقيقة المسؤولة عن تطور الدبيلة ليست بالضرورة هي نفسها التي تسبب الالتهاب الرئوي وخاصةً عند البالغين. تكون حساسية السائل الجنبي منخفضة عمومًا، ويعزى ذلك جزئيًا إلى الإعطاء المسبق للمضادات الحيوية. وقد أثبتت الدراسات ارتفاع حساسية الزرع من 44٪ إلى 69٪ إذا حُقِنَ السائل الجنبي في زجاجات زرع الدم (الهوائيات واللاهوائيات) مباشرةً بعد الرشف. إضافةً إلى ذلك، يمكن تحسين معدل تحديد العوامل المسببة للالتهاب باستخدام تفاعل سلسلة البلمرة أو الكشف عن المستضد، وخاصةً بالنسبة للمكورات العقدية الرئوية والمكورات العقدية المقيحة والمكورات العنقودية الذهبية.[7] في دراسة شملت 78 طفل مصاب بالدبيلة الجنبية، تمكن مقدمي الرعاية الصحية من تحديد العوامل المسببة باستخدام الزرع المباشر للسائل الجنبي في 45٪ من المرضى، وتمكنّوا من تحديد المسببات في 28٪ من الحالات باستخدام تفاعل سلسلة البلمرة على السائل الجنبي الذي أعطى زرعًا سلبيًا.[8] وقد يكون اكتشاف مستضد المكورات العقدية الرئوية في عينات السائل الجنبي عن طريق اختبار تثبيت لاتكس مفيدًا أيضًا في التشخيص السريع للإصابة بالدبيلة الناجمة عن المكورات العقدية الرئوية. كانت القيمة التنبؤية الإيجابية والسلبية للكشف عن مستضد المكورات الرئوية في الدراسة السابقة 95٪ و90٪ على التوالي. على الرغم القيمة التشخيصية الإضافية التي يقدمها لنا تفاعل سلسلة البلمرة في الكشف عن المستضدات الجرثومية، ولكن تبقى قيمته محدودة فيما يخص الخيار العلاجي الأنسب بسبب عدم توفيره أي معلومات حول مقاومة هذه الجراثيم للمضادات الحيوية المختلفة.
معرض صور
مراجع
- Le Monnier A, Carbonnelle E, Zahar JR, Le Bourgeois M, Abachin E, Quesne G, Varon E, Descamps P, De Blic J, Scheinmann P, Berche P, Ferroni A (2006). "Microbiological diagnosis of empyema in children: comparative evaluations by culture, polymerase chain reaction, and pneumococcal antigen detection in pleural fluids". Clinical Infectious Diseases. 42 (8): 1135–40. doi:10.1086/502680. PMID 16575731. الوسيط
|CitationClass=تم تجاهله (مساعدة) - Ahmed R, Marri T, Huang J (2006). "Thoracic empyema in patients with community-acquired pneumonia". American Journal of Medicine. 119 (10): 877–83. doi:10.1016/j.amjmed.2006.03.042. الوسيط
|CitationClass=تم تجاهله (مساعدة) - Davies CW, Kearney SE, Gleeson FV, Davies RJ (1999). "Predictors of outcome and long-term survival in patients with pleural infection". American Journal of Respiratory and Critical Care Medicine. 160 (5–1): 1682–7. doi:10.1164/ajrccm.160.5.9903002. الوسيط
|CitationClass=تم تجاهله (مساعدة) - Balfour-Lynn IM, Abrahamson E, Cohen G, Hartley J, King S, Parikh D, Spencer D, Thomson AH, Urquhart D (2005). "BTS guidelines for the management of pleural infection in children". Thorax. 60 (Suppl 1): 1–21. doi:10.1136/thx.2004.030676. PMC 1766040. PMID 15681514. الوسيط
|CitationClass=تم تجاهله (مساعدة) - Moshe Schein, John C. Marshall (2013). Source Control: A Guide to the Management of Surgical Infections. Springer Science & Business Media. ISBN 9783642559143. الوسيط
|CitationClass=تم تجاهله (مساعدة) - Ahmed R, Marri T, Huang J (2006). "Thoracic empyema in patients with community-acquired pneumonia". American Journal of Medicine. 119 (10): 877–83. doi:10.1016/j.amjmed.2006.03.042. PMID 17000220. الوسيط
|CitationClass=تم تجاهله (مساعدة) - Ferrer A, Osset J, Alegre J, Suriñach JM, Crespo E, Fernández de Sevilla T, Fernández F (April 1999). "Prospective clinical and microbiological study of pleural effusions". Eur. J. Clin. Microbiol. Infect. Dis. 18 (4): 237–41. doi:10.1007/s100960050270. PMID 10385010. الوسيط
|CitationClass=تم تجاهله (مساعدة) - Le Monnier A, Carbonnelle E, Zahar JR, Le Bourgeois M, Abachin E, Quesne G, Varon E, Descamps P, De Blic J, Scheinmann P, Berche P, Ferroni A (2006). "Microbiological diagnosis of empyema in children: comparative evaluations by culture, polymerase chain reaction, and pneumococcal antigen detection in pleural fluids". Clinical Infectious Diseases. 42 (8): 1135–40. doi:10.1086/502680. PMID 16575731. الوسيط
|CitationClass=تم تجاهله (مساعدة)
- بوابة طب

