رشف الجسم الغريب
يحدث رشف الجسم الغريب عندما يدخل جسم غريب إلى الشعب الهوائية ويسبب الاختناق.[1] ويمكن أن تدخل الأجسام المريء عبر الفم، أو تدخل القصبة الهوائية عبر الفم أو الأنف.[2]
| Foreign body aspiration | |
|---|---|
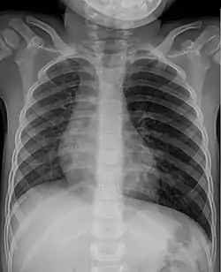
![]() تصوير الصدر بالأشعة السينية للطفل بعد رشف الفول السوداني: تضخم شديد في الرئة اليسرى بسبب آلية سد الفول السوداني في الشعب الهوائية تصوير الصدر بالأشعة السينية للطفل بعد رشف الفول السوداني: تضخم شديد في الرئة اليسرى بسبب آلية سد الفول السوداني في الشعب الهوائية | |
| معلومات عامة | |
| الاختصاص | طب الرئة |
| من أنواع | شرقة ، وشفط رئوي |
العلامات والأعراض
تختلف علامات وأعراض رشف الجسم الغريب بناءً على موقع الانسداد، وحجم الجسم الغريب، وشدة الانسداد.[2] 20٪ من الأجسام الغريبة يتم إيداعها في مجرى الهواء العلوي، في حين أن 80٪ من الجثث توضع في القصبة الهوائية الرئيسية أو القصبة الهوائية.[3] و عادة ما تكون علامات رشف الجسم الغريب مفاجئة في البداية تكون بالسعال والاختناق و / أو الصفير. ومع ذلك، يمكن أن تكون الأعراض أبطأ في البداية إذا كان الجسم الغريب لا يسبب درجة كبيرة من انسداد مجرى الهواء.[2]
المراجع
- "Foreign Body Aspiration: Overview - eMedicine". مؤرشف من الأصل في 23 مارس 2019. اطلع عليه بتاريخ 16 ديسمبر 2008. الوسيط
|CitationClass=تم تجاهله (مساعدة) - Federico, Monica (2018). Current Diagnosis & Treatment: Pediatrics, 24e, "Respiratory Tract & Mediastinum". New York, NY: McGraw-Hill. ISBN 1259862909. الوسيط
|CitationClass=تم تجاهله (مساعدة) - Lucia, Dominic (2017). Current Diagnosis & Treatment: Emergency Medicine, 8e, "Respiratory Distress". New York, NY: McGraw-Hill. ISBN 0071840613. الوسيط
|CitationClass=تم تجاهله (مساعدة)
This article is issued from Wikipedia. The text is licensed under Creative Commons - Attribution - Sharealike. Additional terms may apply for the media files.
