زائفة زنجارية
الزائفة الزنجارية هي بكتيريا سالبة غرام منتشرة بكثرة، يمكن أن تسبب امراض عند الحيوانات، بما فيها البشر. وانها تعتبر ايجابية السترات، وتحوي انزيم الكاتالاز (Catalase)، و كانت نتيجة اختبار الاوكسيداز لها ايجابي. تتواجد هذه البكتيريا في التربة، والمياه، والنباتات، والجلد، ومعظم البيئات سواء الطبعية، أو التي هي من صنع الإنسان وتتواجد في جميع أنحاء العالم. تزدهر هذه البكتيريا في الأجواء طبيعية، بل أيضا في الأجواء قليلة الاكسجين، ومن ثم توسعة لتشمل العديد من البيئات الطبيعية والاصطناعية. في البيئة الحيوانية تتغذى على مجموعة واسعة من المواد العضوية، و ايضا لديها إمكانيات متعددة، فعند اصابتها للكائن الحي تدمر انسجته وتصيب الكائنات التي تعاني من نقص في المناعة. أعراض امراضها هي التهاب المعمم وتعفن الدم. إذا كان انتشارها يحدث في أجهزة الجسم الحيوية، مثل الرئتين اوالمسالك البولية اوالكليتين، يمكن أن تكون قاتلة.[1] نظراً لأنها تتغذى على السطوح الرطبة، من الممكن ان تتواجد هذه البكتيريا في المعدات الطبية، مثل انبوب القسطرة، ولذلك فهي ايضا من الاخماج المشفوية. وهي ايضا من مسببات طفح الحمام الحار الجلدي. وهي أيضا قادرة على تحليل المواد الهيدروكربونية وقد استخدمت لتكسير القطران والنفط عند حدوث تسرب في النفط .[2][3] في 29أبريل 2013، العلماء في معهد الفنون التطبيقية رينسيلار(RPI)، التي تموله ناسا، أفادوا بانه أثناء رحلات الفضاء داخل "محطة الفضاء الدولية"، البكتيريا الزائفة الزّنجاريّة قد تكيفت مع الجاذبية، وشكلت أغشية حيوية أثناء الرحلات الفضائية وقد أظهرت بنية (العمود والمظلة) التي "لم تلاحظ على الأرض"
اضغط هنا للاطلاع على كيفية قراءة التصنيف زائفة زنجارية | |
|---|---|
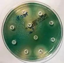
![]() مستعمرة زائفة زنجارية (يمين) في آجار تربتيكيز الصويا | |
| المرتبة التصنيفية | نوع |
| التصنيف العلمي | |
| المملكة: | بكتيريا |
| الشعبة: | متقلبات |
| الطائفة: | متقلبات غاما |
| الرتبة: | زوافات |
| الفصيلة: | زوائف |
| الجنس: | زائفة |
| النوع: | P. aeruginosa |
| الاسم العلمي | |
| Pseudomonas aeruginosa (Schröter 1872) والتر ميغولا 1900 | |
| نوع السلالة | |
| ATCC 10145 CCUG 551 | |
| مرادفات | |
| Bacterium aeruginosum Schroeter 1872 Bacterium aeruginosum Cohn 1872 Micrococcus pyocyaneus Zopf 1884 Bacillus aeruginosus (Schroeter 1872) Trevisan 1885 Bacillus pyocyaneus (Zopf 1884) Flügge 1886 Pseudomonas pyocyanea (Zopf 1884) Migula 1895 Bacterium pyocyaneum (Zopf 1884) Lehmann and Neumann 1896 Pseudomonas polycolor Clara 1930 Pseudomonas vendrelli اسم مكشوف 1938 | |

تحديد الهوية
هي بكتيريا سالبة الغرام، هوائية، عصية، متحركة (تمتلك هدب قطبي وحيد ).[4] ومن العوامل المسببة للأمراض البشرية الانتهازية، الزائفة الزّنجاريّة هي أيضا من المسببات لأمراض انتهازية عند النباتات.[5] و هي نواع من انوع جنس الزوائف (ميغولا) [6] الزائفة الزّنجاريّة تفرز مجموعة متنوعة من الأصباغ، بما في ذلك صبغة البيوسيانين (الأزرق-الأخضر) وصبغة البيوفيرديني (الأصفر-الأخضر والفلوري) و البيروبين (الأحمر-البني).



King، Ward، and Raney طوروا اغاز الزائفة King A medium) p) لتعزيز إنتاج بيربين و بيوسيانين، واغار الزائفة King B medium)F) لتعزيز إنتاج الفلوروسين.[7] الزائفة الزّنجاريّة يتم التعرف عليها غالباً ومبدئياً بالنسبة لظهور تقزح اللالوان و ظهور رائحة تشبة رائحة العنب أو التورتيلا في المختبر، اما الكشف السريري النهائي لهذه البكتيريا غالباً ما يتضمن تحديد إنتاج بيوسيانين وفلوريسسين على حد سواء، فضلا عن قدرتها على النمو في درجة حرارة 42 مئوية، الزائفة الزنجارية غير قادرة على النمو في وقود الديزل ووقود الطائرات، حيث كما هو معروف الكائنات الدقيقة التي تستخدم المواد الهيدروكربونية، تسبب التآكل الميكروبي.[3] هذه البكتيريا تخلق ماده هلامية مظلمة، gellish mats التي في بعض الأحيان وبشكل خاطئ تسمى "طحالب" بسبب مظهرها. على الرغم من أنها تصنف ككائن حي هوائي، الزائفة الزّنجاريّة يعتبرها الكثيرون هوائية اختيارية، كما أنها تتكيف جيدا و تتكاثر في ظروف استنفاذ الأوكسجين الجزئي أو الكلي. هذه البكتيريا يمكن ان تحقق نمو لاهوائي باستخدام النترات بمثابة مستقبل للإلكترونات، وفي حال غيابها ايضا، كما أنها قادرة على تخمير الارجينين بمستوى ركازة الفسفرة.[8][9]
التكيف مع البيئات الهوائية أو اللاهوائية متناهية الصغر أمر ضروري لأنماط معينة من الزائفة الزّنجاريّة، وعلى سبيل المثال، أثناء التهاب الرئتين في مرضى التليف الكييسي، حيث تتشكل طبقات سميكة من مخاط الرئة والالجينات المحيطة بالخلايا البكتيرية المخاطية بامكانها أن تحد من انتشار الأكسجين.[10][11][12][13]
التسمية
- كلمة Pseudomonas (الزائفة) تعني "وحدة كاذبة"، من Pseudo اليونانية (باليونانية: ψευδο، كاذبة) و (اللاتينية: monas، من اليونانية: μονος، وحدة واحدة). واستخدمت جذر الكلمة (Mon) في تاريخ علم الأحياء المجهرية في وقت مبكر للإشارة إلى الجراثيم، على سبيل المثال، kingdom Monera.
- اسم النواع aeruginosa (الزنجارية) هي كلمة لاتينية تعني زنجار ("صدأ النحاس")، كما رأينا مع صدى النحاس المؤكسد على تمثال الحرية. هذا يصف ايضا الصبغة البكتيريه الخضراء المزرقة التي تظهر في مختبر زراعة الانواع. الصبغة الخضار المزرقه هي عباره عن مزيج من عمليتي ايض في الزائفة الزنجارية وهما بايوسيانين (الأزرق) وبايروفيردين (الأخضر)، و التي تعطي اللون الأخضر المزرق المميز في الزراعة. و البايوسيانين الحيوي ينظم من خلال إستشعار النصاب، كما هو الحال في الأغشية الحيوية المرتبطة باستعمار الرئتين في مرضى التليف الكيسي. تأكيد آخر هو أن كلمة قد تكون مستمدة من البادئة اليونانية ae- وتعنى "كبار السن أو المسنين"، و الاحقة ruginosa وتعني التجاعيد أو وعرة.
- الاشتقاقات بايوسيانين والبايروفيردين "هي من اليونانية، مع كلمةpyo- ، تعني" القيح "، cyan- ، و تعني" الأزرق "، و-verdine، و تعني" الأخضر ". البايروفيردين في غياب البايوسيانين هو اللون الفلورسنت والأصفر.[14]
الجينوم
جينوم P. الزنجارية كبير نسبيا (6-7 ميغابايت) وبترميز حول 6000 (توقع) إطارات القراءة المفتوحة، اعتمادا على سلالة. 5,021 جين يتم حفظها جميعها عبر خمس جينمات حللت، مع لا يقل عن %70 من هوية التسلسل. هذه المجموعة من الجينات هي الجينوم الأساسية للزائفة الزنجارية.[15]
| السلاله: | PA2192 | C3719 | PAO1 | PA14 | PACS2 |
|---|---|---|---|---|---|
| (bp)حجم الجينوم | 6,905،121 | 6,222،097 | 6,264،404 | 6,537،648 | 6,492،423 |
| ORFs | 6,191 | 5,578 | 5,571 | 5,905 | 5,676 |
كروموسوم الزائفة الزنجارية (الغني بG+C-) يحتوي على جزء اساسي مثبت وجزء ملحق متغير. الجينومات الأساسية من سلالات الزائفة الزنجارية هي على خط واحد إلى حد كبير، تحمل معدل منخفض من تسلسل تعدد الأشكال، وتحتوي على مواضع قليلة لتسلسل عالي التنوع، أكثر شيء جدير بالذكر هو موضع البايوفردين، موضع السوط flagellar regulon، pilA ومولد الضد-O. شرائح متعددة منتشرة في جميع أنحاء الجينوم، حول الثلث منها متاخم لجينات tRNA أوtmRNA. النقاط الساخنة المعروفة ثلاثية التنوع الجينومي ناجمة عن دمج الجينوم جزر pKLC102/PAGI-2 family في الجينات tRNALys أو tRNAGly.الجزر الفردية تختلف في احطياطها من جينات الأيض، ولكن تشترك في مجموعة من جينات سينتينيك التي تمنح انتشار افقي للاستنساخ و لأنواع اخرى. تتميز عائلة الزائفة الزنجارية بعدد قليل من الحيوانات المستنسخة السائدة على نطاق واسع في الموائل البيئية والامراض. الجينوم يتكون من شرائح استنساخ نموذجية في الجينوم الأساسي والملحق وكتل في الجينوم الأساسي مع تدفق الجينات غير المقيد لسكان.[16]
السكريات المتعددة على سطح الخلية
السكريات المتعدده على سطح الخلية تلعب أدوارا متنوعة في "نمط الحياة" البكتيرية. أنها بمثابة حاجز بين جدار الخلية والبيئة الخارجيه، و تتوسط تفاعلات العائل والمسبب المرض، وتشكل المكونات الهيكلية من الأغشية الحيوية. يتم توليف هذه السكريات من تنشيط النوكليوتيدات السلائف، وفي معظم الحالات، يتم ترميز كل الانزيمات اللازمة لتصنيع الحيوي، والتجميع، ونقل المبلمر المكتمل الذي يرمز عن طريق تنظيم الجينات في مجموعات متخصصة داخل جينوم الكائن الحي. Lipopolysaccharide هي واحدة من أهم السكريات على سطح الخلية، كما أنها تلعب دور هيكلي رئيسي في سلامة الغشاء الخارجي، فضلا عن كونه وسيطا هاما من تفاعلات المضيف الممرض.
علم الوراثة للتركيب الحيوي قد حددت بشكل واضح ما يسمى بالفرقة، -homopolymeric) A-)الفرقة-heteropolymeric)B) مستضدات-،O ولقد تم إحراز تقدم كبير نحو فهم المسارات البيوكيميائية من الحيوي الخاصة بهم. والجينات exopolysaccharide هي بوليمرات خطية مرتبطة β-1، اربع روابط لحمض D-mannuronicو بقايا حامض L-glucuronic،وهي المسؤولة عن النمط ظاهرة المخاط في المراحل المتأخرة من مرض التليف الكيسي.pelوpsl loci مجموعتين من الجينات المكتشفة حديثا، التي ترمز لسكريات السطحية ووجدت انها مهمة لتشكيل الشريط الحيوي. الامنوليبد هو سطح حيوي الذي ينظم الإنتاج باحكام على المستوى النسخي، ولكن الدور الذي يلعبه في المرضى ليس مفهوم جيدا في الوقت الحاضر. الغلايكوسايلاشن البروتوني، وخصوصا شعيرات pilin البكتيرية والاسواط البكتيرية flagellin، مؤخرا يتم التركيز في البحث عنه من قبل العديد من المجموعات، ولقد ثبت مؤخرا اهميتها في الالتصاق والغزو خلال العدوى البكتيرية.[17]
الأمراض
هو مرض انتهازي، يسبب للفرد بامراض نقص المناعة داخل المستشفيات، الزائفه الزنجارية عادة ما تصيب الشعب الهوائية والمسالك البولية، والحروق، والجروح، ويسبب التهابات الدم الاخرى.[17]
| الالتهابات | تفاصيل والجمعيات المشتركة | الفئات المعرضة للخطر |
|---|---|---|
| الالتهاب الرئوي | التهاب شعبي رئوي منتشر | مرض التليف الكيسي |
| الصدمة النتانيه | يرتبط مع افة الجلد الاسود-البنفسجي غرغريتنا الاكثيما | المرضى الذين يعانون قلة العدلات |
| عدوى المسالك البولية | قسطرة المسالك البولية | |
| التهاب المعدة والامعاء | الالتهاب المعوي القولوني الناخر (NEC) | الأطفال الخدج ومرضى سرطان العدلات |
| التهاب الجلد والانسجة اللينة | نزف ونخر | ضحايا الحروق والمرضى الذين يعانون من التهابات الجروح |
هي السبب الأكثر شيوعا لالتهابات جروح الحروق للاذن الخارجة (التهاب الاذن الخاجية)، وهي المستعمرة الأكثر جذبا في الاجهزة الطبية (مثلا.، القسطرات). يمكن لزافئه ان تتنتشرعن طريق المعدات الطبية الملوثة والتي لم تحصل على تنظيف صحيح أو عن طريق ايدي العاملين في مجال الرعاية الصحية.[18] يمكن لزافئة، في حالات نادرة، التسبب في الالتهابات الرئوية المكتسبة من المجتمع [19]، فضلا عن الاتهابات الرئوية المرتبطة بالتنفس الصناعي، حيث انها واحدة مناكثر العوامل المسببة المعزولة في العديد من الدراسات.[20]
المضاد الحيوي بايوسيانين هو عامل الفوعة من البكتيريا ومع ذلك، البحوث تشير إلى ان حمض الساليسيليك يمكنه منع انتاج البايوسيانين.[21] واحدة من كل عشر حالات عدوى مكتسبه من المستشفيات هي من الزائفة.
مرضى التليف الكيسي مهيئون للإصابة بالزائفة الزنجارية من الرئتين.
وبما ان هذه البكتيريا تحب البيئات الرطبة، مثل احواض المياه الساخنه وحمامات السباحة، الزائفة الزنجارية، قد تكون سبب شائع ل " طفح الحمام الساخن " (التهاب الجلد) و التهاب الادن الخارجية "ادن السباح"، الناتج عن قلة الاهتمام المناسب والدوري لنوعية المياه.[18] السبب الأكثر شيوعا لالتهابات الحروق هي الزائفة الزانجارية. الزائفة هي ايضا سبب شائع لعدوى ما بعد الجراحة عند المرضى الذين يخضعون لعملية بضع القنية الشعاعي. هذا الكائن يرتبط مع تشخيص الافه الجلدية الاكشيمه الغرغرينيه. الزائفه الزنجاريه كثيرا ترتبط مع التهاب العظم والنقي التي تنطوي على الجروح في القدم، المعتقد انها تنتج عن التلقيح المباشر مع الزائفه الزنجارية عن طريق حشو الرغوة في احذية التنس، و مرضى السكري هم الأكثر عرضة لدلك.
السموم
تستخدم الزائفه الزنجارية عامل الضراوة الذيقان الخارجي A لتعطيل عامل الاستطالة الثاني لحقيقات النواة عن طريق عملية إضافة انصاف الايندينوسين ثنائي الفوسفات الريبوزي للخلية المضيفة، بقدر ما يفعل ذيقان الخناق. من دون عامل الاستطالة الثاني، لا يمكن لحقيقات النواة ان يصنعن البروتين و ينتخرن. اخراج المحتويات داخل الخلوية يؤدي لاستجابة مناعية عند الاشخاص المرضى مناعيا. بالإضافة لذالك تستخدم الزائفة الزنجارية انزيم باني،ExoV، الذي يؤدي إلى تدهور الغشاء البلازمي للخلايا حقيقه النواة، ويؤدي إلى تحلله.
الفينازين
الفينازين هي اصباغ الاكسدة الفعاله التي تنتجها الزائفة الزنجارية. هذه الصبغات تشارك في ادراك النصاب، الفوعه، واكتساب الحديد.[22] الزائفه الزنجارية تنتج عدة اصباغ تنتج عن طريق الترتيب الحيوي. البايوسيانين،Hydroxyphenazine-1، Phenazine-1-Carboxamide ، 5-methylphenacine-1-carboxylic acidletaine، Aeruginosin. اثنين اوبريون يشتركوا في التركيب الحيوي للفينازين: phzA1B1C1D1E1F1G1 و [23] phzA2B2C2D2E2F2G2. هذه الاوبريون يحول حمض التشوريسيمك إلى فينازين المذكور اعلاه.
الجينات الرئيسة الثلاث، phzH، phzM، phzS، تحول الحمض الكربوكسيلي-1-فينازين إلى الفينازين المذكور اعلاه. على الرغم من ان التركيب الحيوي للفينازينيدرس جيد، الا انه لا يزال هناك تساؤلات بشان الهيكل النهائي للبوميلانين فينازين براون. في الاونه الاخيره، وجدت الدراسات ان توقف صنع البايوسيانين حيويا ادى إلى انخفاض في القدرة الامراضية لزافئة الزنجارية كما لوحظ في المختبر.[24] هذا يشير إلى ان البايوسيانين هو المسؤول الأول عن الاستعمار الاولي لزائفة الزنجارية في الجسم الحي.
المحفزات
مع مستويات فوسفات منخفضة، وجدان الزائفة الزنجارية تنتقل من التعايش الحميد لإطلاق السموم القاتلة داخل الأمعاء وإلحاق ضرر شديد أو قتل المضيف، ويمكن التخفيض من إنتاج هده خلال توفير فوسفات زائدة بدلا من المضادات الحيوية.[25]
النباتات واللافقاريات
في النباتات العليا، الزائفه الزنجارية تسبب اعراض التعفن اللينة، على سبيل المثال في نباتات الالبيدوبسيس ثاليانا (ثيل الرشاد)[26] وخس الساتيفا (الخس).[27][28] كما انها المسبب لامراض الحيوانات اللافقارية، بما في ذلك الديدان الخيطيةc.elegans، [29] ذبابة الفاكهه (دروسفيلا) أو ذبابة الفاكهه سوداء البطن [30] والعثة غاليريا ميلونيلا.[31] والترابطات بين عوامل الضراوة هي نفسها في التهابات النباتات والحيوانات.[32][33]
استشعار النصاب
تنظيم التعبير الجيني يمكن ان يحدث من خلال تواصل خلية بخلية أو استشعار النصاب (QS) عن طريق انتاج جزيئات صغيرة تسمى اوتوبندوسيرس. ومن المعروف ان استشعار النصاب يتحكم في التعبير عن عدد عوامل الفوعه، وشكل اخر من اشكال تنظيم الجينات التي تسمح للبكتيريا على التكيف بسرعه مع التغيرات المحيطه بها من خلال الاشارات البيئية. اكتشفت الدراسات الحديثة ان اللاهوائية يمكن ان تؤثر بشكل كبير على الدائرة التنظيمية الرئيسية لاستشعار النصاب. هذا الرابط المهم بين استشعار النصاب واللاهوائية له تاثير كبير على انتاج عوامل الفوعة من هذا الكائن الحي.[34] الثوم، تجريبيا، يمنع استشعار النصاب في الزائفة الزنجارية.
الأغشية الحيوية ومقاومة العلاج
الاغشية الحيوية لزائفة الزنجارية يمكن ان تسبب عدوى انتهازية مزمنه، وهي مشكلة خطيرة للرعاية الطبية في المجتمعات الصناعية، وخاصة لمرضى نقص المناعه وكبار السن. انها في كثير من الاحيان لا يمكن علاجها على نحو فعال بالمضادات الحيوية التقليدية. ويبدو ان هده الاغشية الحيوية هي لحماية هذه البكتيريا من العوامل البئية الضارة. الزائفة الزنجارية يمكن ان تسبب الخمج المشفوي، ويعتبر كائن نموذجي لدراسة البكتيريا المقاومة للمضادات الحيوية. الباحثين يعتبرون ان من المهم معرفة المزيد عن الاليات الجزيئية التي تسبب في التحول من نمو العوالق إلى النمط الظاهري للغشاء الحيوي، وحول دور استشعار النصاب في البكتيريا المقاومة للعلاج مثل الزائفة الزنجارية. وهذا ينبغي ان يسهم في تدبير علاجي أفضل للمرضى المصابيين بشكل مزمن، وينبغي ان تؤدي إلى تطوير عقاقير جديدة.[34] هناك العديد من الجينات والعوامل التي تؤثر على الغشاء الحيوي للزائفة الجنزارية. واحدة من اوبيرون الجينات الرئيسية المسؤولة عن البدء والمحافظة على الغشاء الحيوي هو(PSL operon).[35] وهذا الاوبيرون، المكون من الخمسة عشر جين، هي المسؤولة عن التفاعلات خلية-خلية وخلية-سطح خارجي المطلوبة للاتصال الخلوي. كما انها المسؤولة عن عزل مادة البوليمر النسيجية الغشائية (EPS) الخارج خلوية. هذه المادة النسيجية الغشائية هي واحدة من اليات المقاومة الرئيسة في الاغشية الحيوية لزافئة الزنجارية.
CPI-GMP هو المساهم الرئيسي في خاصية اللاتصاق في الغشاء الحيوي. هذا الجزيء يرسل رسائل حيوية بكميات كبيرة ليجعل الاغشية الحيوية فائقة الالتصاق. عندما يثبط، الاغشية الحيوية تصبح اقل التصاقا وأسهل علاجا. JPSL (موضع تصنيع عديد السكريات) و CPI-GMP يشكلان ردود سلبية. PSL يحفز انتاج CPI-GMP، في حين يتحول CP-GMP المكثف على الاوبرون ويزيد من نشاط الاوبرون.
وقد اظهرت الدراسات الحديثة ان الخلايا المتفرقة من الاغشية الحيوية لزائفة الزنجارية لديها مستويات اقل CPI-GMP ودرايق فيزيولوجيه مختلفة عن خلايا العوالق والاغشية الحيوية.[36][37] بعض هذه الخلايا المشتته وجدت لتكون شديدة الخطورة ضد البالعات الكبيرة وضد C.elegans، ولكنها حساسة للغاية تجاه الإجهاد الشديد، بالمقارنة مع العوالق.[37]
في الاونه الاخيره، دأب العلماء على دراسة الاساس الجيني الدي يمكن الزائفة الزنجارية من مقاومة المضادات الحيوية مثل التوبراميسين. أحد المواضع التي حددت باعتبارها أحد العوامل الوراثية المهمة في مقاومة هذا النواع هو موضع ndvb، الذي يشفر الجلوكان المحيط بالجبلة التي قد تتفاعل مع المضادات الحيوية وتؤدي لان يصبحوا معزولين في الجبلة المحيطيه. وتشير هذه النتائج إلى ان هناك، في الواقع، اساس وراثي وراء المقاومة للمضادات الحيوية البكتيرية، عوضا عن الغشاء الحيوي ببساطه تعمل كحاجز نشر للمضادات الحيوية.[38]
التشخيص
اعتمادا على طبيعة الإصابة، يتم جمع عينة مناسبة وارسلها إلى مختبر الجراثيم لتحديد الهوية. كما هو الحال مع معظم العينات البكتيرية، يتم تنفيذ صبغة غرام، والتي قد تظهر اشكال قضبان سلبية الغرام و/أو خلايا الدم البيضاء. الزائفة الزنجارية تنتج مستعمرات مع سمه مميزة "شكل العنب" أو " خبز تورتيلا طازج " ورائحة على الوسائط الجرثومية. في زراعات مختلفة، يمكن ان تكون معزولة كمستعمرات واضحه على اغار ماكونكي (لانها لا تخمر اللاكتوز) التي ستختبر ايجابيا للاوكسيديز. وتشمل اختبارات انتاج صبغة البايوسيانين الزرقاء المخضرة على اغار السيتريميد والنمو في درجة حرارة 42C. وغالبا ما يستخدم مائل TSI لتمييز انواع الزائفة الزنجارية الغير متخمرة من مسببات الامراض المعوية في عينات البراز.
العلاج
الزائفة الزنجارية غالبا ما تكون معزولة من المواقع غير المعقمة (ممسحة الفم، البلغم، وغيرها)، وفي ظل الظروف، فانه غالبا ما يمثل الاستعمار وليس العدوى. عزل الزائفة الزنجارية من العينات غير المعقمة يجب ان يتم بحذر، ويجب التماس المشاورة من خبير في الاحياء الدقيقة أو الامراض المعدية طبيب / صيدلي قبل بدء العلاج وفي كثير من الاحيان ليس هناك حاجه للعلاج. عندما يتم عزل الزائفة الزنجارية من موقع معقم (الدم، العظام، والمجموعات العميقة)، ينبغي ان تاخذ الامر على محمل الجد، وغالبا العلاج دائما مطلوب. الزائفة الزنجارية هي مقاومه طبيعية لمجموعة كبيرة من المضادات الحيوية ويمكن ان تظهر مقاومة اضافية بعد معالجه غير ناجحه، على وجه الخصوص، من خلال تعديل البورين، يجب عادة توجيه العلاج وفقا لحساسية المختبر، بدلا من اختبار المضاد الحيوي تجريبيا. إذا بدات المضادات الحيوية تجريبيا، بعدها يجب بذل كل جهد ممكن للحصول على زراعات (قبل إدارة الجرعة الاولى من المضادات الحيوية)، وينبغي اعادة النظر في اختيار المضادات الحيوية المستخدمة عندما تكون نتائج الزرع متاحة. المضادات الحيوية التي لها نشاط ضد الزائفة الزنجارية قد تشمل ما يلي:
الامينوغليكوسايدز (gentamicin، amikacin، tobramycin، but not kanamycin)
كوينولونز (ciprofloxacin، levofloxacin، but not moxifloxacin)
سيفالوسبورينز (ceftazidime، cefepime، cefoperazone، cefpirome، ceftobiprole، but not cefuroxime، cefotaxime)
البنسيلينات المضادة للزائفة (carboxypenicillins (carbenicillin and ticarcillin: الزائفة الزنجارية لديها مقاومه ذاتية لباقي (and ureidopenicillins (mezlocillin، azlocillin، and piperacillin البينسليات
كاربابنمز (meropenem، imipenem، doripenem، but not ertapenem)
بوليمكسين[39](polymyxin B and colistin)
(aztreonamمونوباكتام)
هذه المضادات الحيوية يجب اعطائها كلها عن طريق الحقن، مع استثناءات fluoroquinolones، aerosolized tobramycin and aerosolized aztreonam لهذا السبب ، في بعض المستشفيات يتم التشديد على ان يكون استخدام الغلوروكوينولون بصورة محدودة جدا لتجنب تطوير سلالات مقاومة من الزائفة الزنجارية. وفي حالات نادرة حيث الإصابة سطحية ومحدودة على (سبيل المثال التهابات الاذن، والتهابات الاضافر)، يمكن استخدام الجنتاميسين الموضعي أو الكلوليستسن.
المقاومة للمضادات الحيوية
واحدة من خصائص الزائفة الزنجارية المثيرة للقلق هي الحساسية المنخفضة للمضادات الحيوية والتي تعزى إلى اتخاذ اجراءات متظافرة من مضخات متعددة الادوية مع الجينات المقاومة للمضادات الحيوية مشفرة الصبغة (مثل، mexAB، mexXY وغيرها [40]) والزائفة الزنجارية منخفضة النفاذية للغلاف الخلوي للبكتيريا. بالإضافة إلى هذه المقاومة الذاتية، الزائفة الزنجارية تطور المقاومة المكتسبة اما عن طريق الطفرات في الجينات المشفرة صبغويا أو عن طريق نقل الجينات الافقي للعوامل المحددة المقاومة للمضادات الحيوية.
وتطوير المقاومة للادوية المتعددة، التي تعزل الزائفة الزنجارية و تتطلب العديد من الاجرائات الجينية المختلفة. التحور يفضل اختيار طفرات – قائمة على مقاومة المضادات الحيوية في سلالات الزائفة الزنجارية و تنتج التهابات مزمنة، في حين ان تجميع العديد من الجينات المختلفة المقاومة للمضادات الحيوية ويفضل الانتجرون للحصول على مجمل من العوامل المقاومة للمضادات الحيوية. وقد اظهرت بعض الدراسات الحديثة ظواهر مراقبة مرتبطه بتشكيل الغشاء الحيوي أو إلى ظهور انواع مستعمرات صغيرة قد تكون مهمة في استجابة الزائفة الزنجارية للعلاج بالمضادات الحيوية.[34]
مقاومة المضادات الحيوية والعلاج
الزائفة الزنجارية لديها امكانيات هائلة لتطوير مقاومة ضد المضادات الحيوية كما هو واضح من حقيقة ان الجينوم البشري يحتوي على أكبر ارضية مقاومة مع أكثر من 50 جين مقاومة. تم العثور على اليات لمقاومة المضادات الحيوية الكامنة لتشمل انتاج المضادات الحيوية المهينة أو المضادات المعطله للانزيمات، وبروتينات الغشاء الخارجي لطرد المضادات الحيوية والطفرات لتغيير هدف المضادات الحيوية. وجود انزيمات المضادات الحيوية المهينه مثل موسعة الطيف مثل PER-1، PER-2، VEB-1، AmpCcephalosporinases، carbapenemases like serine oxacillinases، metallo-b-lactamases، OXA-type carbapenemases، aminoglycoside-modifying enzymes، وقد تم الإبلاغ عن غيرها. الزائفة الزانجارية يمكنها تعيل هدف المضادات الحيوية مثل methylation f16s RRNA لمنع الامينوغليكزيد من ربط وتعديل topoisomerase DNA وحمايته من تاثير الكينولون.
كما تم الإبلاغ عن زائفة زنجارية تمتلك مضخة ادوية متعددة مثل AdeABC ونظام الهروب AdeDEالتي تمنح المقاومة ضد عدد من فئات المضادات الحيوية. ووجد عامل مهم ليكون مرتبط مع مقاومة المضادات الحيوية وهو انخفاض قدرات الفوعه من سلالة المقاومة، تم الإبلاغ عن مثل هذه النتائج في حالة مقاومة الريفامبسين ومقاومة الكوليستين، التي تشهد انخفاض في القدرة المعدية، وقد تم توثيق استشعار النصاب والحركة فيها. ويبدو ان هذا يشير إلى انه نظرا لعدم وجود منافسة بعد العلاج بالمضادات الحيوية، لهذهالسلالات الزائفة الزنجارية، اصبح لدينا عدد من خيارات العلاج المحدودة Polymyxine، Carbapenems وحديثا Tigecyeline اعتبرات خيارا دوائي، ولكن للاسف، كما تم الإبلاغ عن مقاومة ضد هذه الادوية. ومع ذلك لا يزال استخدامها في المناطق التي لم يتم التبليغ عن مقاومه فيها.
استخدام المثبطات blactamase مثل sulbactam يتم النصح به بالاشتراك مع مضادات حيوية لتعزيز عمل مضادات الميكروبات حتى في وجود مستوى معين من المقاومة. الجمع بين العلاج بعد اختبار حساسية مضادات الميكروبات الصارم قد وجد انه أفضل مسار للعمل في علاج المقاومة للادوية المتعددة في الزائفة الزنجارية بعض المضادات الحيوية من الجيل الثاني لانها نشطة ضد الزائفة الزنجارية بما في ذلك ceftaroline، .ceftobiprole، doripenem ومع ذلك، هذه تحتاج إلى مزيد من التجارب السريرية. ولذلك، الابحاث لتجد مضادات حيوية واجسام مضادة لزائفة الزنجارية تحتاج للكثير.
ترتبط الطفرات في الحمض النووي gyrase عادة مع المقاومة للمضادات الحيوية في الزائفة الزنجارية له. هذه الطفرات، وعند ما تقترن مع الاخريات، تمنح مقاومه عالية دون اعاقة الباقي على الحياة. بالإضافة إلى ذلك، الجينات المسؤولة في دورة di-gmp قد تسهم في المقاومة. عندما نمت في ظروف مختبر مصممة لتقليد رئتي مريض مصاب بالتليف الكيسي، وهذه الجينات يحدث لها طفرة بشكل متكرر.[41]

الوقاية
العلاج الوقائي probiotic prophylaxis قد يمنع الاستعمار ويؤخر ظهور عدوى الزائفة الزنجارية في بيئات وحدة العناية المركزية.[42] ويجري حاليا البحث عن أساليب للوقاية المناعية ضد الزائفة الزنجارية.[43] تجنب احواض الاستحمام الساخنة بسبب ان الزائفة الزنجارية يمكن ان تعيش في الحرارة العالية. تجنب الحمامات التي تكون سيئة الصيانة، ويجب المحافظة على معدات العدسات الأصقة والحرص على ان لا تصبح ملوثة. غسل اليدين يمكن في كثير من الاحيان ان يفيد في منع الإصابة وكذلك من الوصول إلى العديد من الاصابات الممرضة الاخرى. ولكن هناك طريقة أفضل لمنع الزائفة الزنجارية وهي تقليل التعرض لها.[44]
العلاجات التجريبية
وقد تم التحقيق من علاج بالعاثيات ضد الزائفة الزنجارية كعلاجات فعاله محتملة والتي يمكن دمجها مع المضادات الحيوية، لا يوجد لديها موانع استعمال والآثار السلبية لديها بحدها الأدنى. ويتم إنتاج العاثيات كسائل معقم، ومناسبة لتناول والتطبيقات وما إلى ذلك.[45] العلاج بالعاثيات ضد التهابات الأذن التي تسببها الزائفة الزنجارية تم التقرير عنه في دورية طب الأذن والحنجرة السريرية في أغسطس 2009.[46]
مراجع
- Balcht، Aldona; Smith، Raymond (1994). Pseudomonas aeruginosa: Infections and Treatment. Informa Health Care. pp. 83–84. ISBN 0-8247-9210-6.
- Itah، A.Y.; Essien، J.P. (2005). "Growth Profile and Hydrocarbonoclastic Potential of Microorganisms Isolated from Tarballs in the Bight of Bonny، Nigeria". World Journal of Microbiology and Biotechnology 21 (6–7): 1317–22. doi:10.1007/s11274-004-6694-z.
- a b AVI Biopharma (2007-01-18). "Antisense antibacterial method and compound".World Intellectual Property Organization. Retrieved 2008-10-18.
- Ryan، KJ; Ray، CG، eds. (2004). Sherris Medical Microbiology (4th ed.). McGraw Hill.ISBN 0-8385-8529-9.
- Iglewski BH (1996). "Pseudomonas". In Baron، S et al. Baron's Medical Microbiology (4th ed.). University of Texas Medical Branch. ISBN 0-9631172-1-1.
- Anzai Y، Kim H، Park JY، Wakabayashi H، Oyaizu H (Jul 2000). "Phylogenetic affiliation of the pseudomonads based on 16S rRNA sequence". Int J Syst Evol Microbiol 50 (4): 1563–89. doi:10.1099/00207713-50-4-1563. ببمد 10939664.
- King EO، Ward MK، Raney DE (1954). "Two simple media for the demonstration of pyocyanin and fluorescein". J Lab Clin Med 44 (2): 301–7. ببمد 13184240.
- Palmer KL، Brown SA، Whiteley M (2007). "Membrane-bound nitrate reductase is required for anaerobic growth in cystic fibrosis sputum". J. Bacteriol. 189 (12): 4449–55.doi:10.1128/JB.00162-07. PMC 1913347. ببمد 17400735.
- Vander Wauven C، Piérard A، Kley-Raymann M، Haas D (1984). "Pseudomonas aeruginosa mutants affected in anaerobic growth on arginine: evidence for a four-gene cluster encoding the arginine deiminase pathway". J. Bacteriol. 160 (3): 928–34.PMC 215798. ببمد 6438064.
- Hassett DJ (1996). "Anaerobic production of alginate by Pseudomonas aeruginosa: alginate restricts diffusion of oxygen". J. Bacteriol. 178 (24): 7322–5. PMC 178651.ببمد 8955420.
- Worlitzsch D، Tarran R، Ulrich M، Schwab U، Cekici A، Meyer KC، Birrer P، Bellon G، Berger J، Weiss T، Botzenhart K، Yankaskas JR، Randell S، Boucher RC، Döring G (2002)."Effects of reduced mucus oxygen concentration in airway Pseudomonas infections of cystic fibrosis patients". J. Clin. Invest. 109 (3): 317–325. doi:10.1172/JCI13870.PMC 150856. ببمد 11827991.
- Cooper M، Tavankar GR، Williams HD (2003). "Regulation of expression of the cyanide-insensitive terminal oxidase in Pseudomonas aeruginosa". Microbiology 149 (Pt 5): 1275–84. doi:10.1099/mic.0.26017-0. ببمد 12724389.
- Williams HD، Zlosnik JE، Ryall B (2007). "Oxygen، cyanide and energy generation in the cystic fibrosis pathogen Pseudomonas aeruginosa". Adv. Microb. Physiol. Advances in Microbial Physiology 52: 1–71. doi:10.1016/S0065-2911(06)52001-6.(ردمك 978-0-12-027752-0). ببمد 17027370.
- 1 Brown، RW (1956). Composition of Scientific Words. Smithsonian Institutional Press.ISBN 0-87474-286-2.
- Mathee K، Narasimhan G، Valdes C، Qiu X، Matewish JM، Koehrsen M، Rokas A، Yandava CN، Engels R، Zeng E، Olavarietta R، Doud M، Smith RS، Montgomery P، White JR، Godfrey PA، Kodira C، Birren B، Galagan JE، Lory S (2008). "Dynamics ofPseudomonas aeruginosa genome evolution". Proc. Natl. Acad. Sci. U.S.A. 105 (8): 3100–5. doi:10.1073/pnas.0711982105. PMC 2268591. ببمد 18287045.
- a b c d e Cornelis P (editor). (2008). Pseudomonas: Genomics and Molecular Biology(1st ed.). Caister Academic Press. ISBN 1-904455-19-0.
- Todar's Online Textbook of Bacteriology. Textbookofbacteriology.net (2004-06-04). Retrieved on 2011-10-09.
- CDC - Pseudomonas aeruginosa in Healthcare Settings - HAI نسخة محفوظة 29 ديسمبر 2017 على موقع واي باك مشين.
- Fine MJ، Smith MA، Carson CA، Mutha SS، Sankey SS، Weissfeld LA، Kapoor WN (1996). "Prognosis and outcomes of patients with community-acquired pneumonia. A meta-analysis". JAMA 275 (2): 134–141. doi:10.1001/jama.275.2.134. ببمد 8531309.
- Diekema DJ، Pfaller MA، Jones RN، Doern GV، Winokur PL، Gales AC، Sader HS، Kugler K، Beach M (1999). "Survey of bloodstream infections due to Gram-negative bacilli: frequency of occurrence and antimicrobial susceptibility of isolates collected in the United States، Canada، and Latin America for the SENTRY Antimicrobial Surveillance Program، 1997". Clin. Infect. Dis. 29 (3): 595–607. doi:10.1086/598640. ببمد 10530454.
- Prithiviraj B، Bais HP، Weir T، Suresh B، Najarro EH، Dayakar BV، Schweizer HP، Vivanco JM (2005). "Down regulation of virulence factors of Pseudomonas aeruginosa by salicylic acid attenuates its virulence on Arabidopsis thaliana and Caenorhabditis elegans". Infect Immun 73 (9): 5319–28. doi:10.1128/IAI.73.9.5319-5328.2005. PMC 1231131.ببمد 16113247.
- Dietrich، Price-Whelan، Petersen، Whiteley، & Newman، 2006
- Abu et al.، 2013; Ho Sui et al.، 2012; Mavrodi et al.، 2001
- Ho Sui et al.، 2012
- "Research could lead to new non-antibiotic drugs to counter hospital infections" (Press release). University of Chicago Medical Center. 2009-04-14. Retrieved 2010-01-18.
- Walker TS، Bais HP، Déziel E، Schweizer HP، Rahme LG، Fall R، Vivanco JM (2004)."Pseudomonas aeruginosa-plant root interactions. Pathogenicity، biofilm formation، and root exudation". Plant Physiol. 134 (1): 320–331. doi:10.1104/pp.103.027888.PMC 316311. ببمد 14701912.
- Rahme LG، Tan MW، Le L، Wong SM، Tompkins RG، Calderwood SB، Ausubel FM (1997). "Use of model plant hosts to identify Pseudomonas aeruginosa virulence factors".Proc. Natl. Acad. Sci. U.S.A. 94 (24): 13245–50. doi:10.1073/pnas.94.24.13245.PMC 24294. ببمد 9371831.
- Mahajan-Miklos S، Tan MW، Rahme LG، Ausubel FM (1999). "Molecular mechanisms of bacterial virulence elucidated using a Pseudomonas aeruginosa-Caenorhabditis eleganspathogenesis model". Cell 96 (1): 47–56. doi:10.1016/S0092-8674(00)80958-7.ببمد 9989496.
- 3Martínez C، Pons E، Prats G، León J (2004). "Salicylic acid regulates flowering time and links defence responses and reproductive development". Plant J. 37 (2): 209–17.doi:10.1046/j.1365-313X.2003.01954.x. ببمد 14690505.
- D'Argenio DA، Gallagher LA، Berg CA، Manoil C (2001). "Drosophila as a model host forPseudomonas aeruginosa infection". J. Bacteriol. 183 (4): 1466–71.doi:10.1128/JB.183.4.1466-1471.2001. PMC 95024. ببمد 11157963.
- Miyata S، Casey M، Frank DW، Ausubel FM، Drenkard E (2003). "Use of the Galleria mellonella caterpillar as a model host to study the role of the type III secretion system inPseudomonas aeruginosa pathogenesis". Infect. Immun. 71 (5): 2404–13.doi:10.1128/IAI.71.5.2404-2413.2003. PMC 153283. ببمد 12704110.
- Rahme LG، Ausubel FM، Cao H، Drenkard E، Goumnerov BC، Lau GW، Mahajan-Miklos S، Plotnikova J، Tan MW، Tsongalis J، Walendziewicz CL، Tompkins RG (2000). "Plants and animals share functionally common bacterial virulence factors". Proc. Natl. Acad. Sci. U.S.A. 97 (16): 8815–21. doi:10.1073/pnas.97.16.8815. PMC 34017.ببمد 10922040.
- a b Rahme LG، Stevens EJ، Wolfort SF، Shao J، Tompkins RG، Ausubel FM (1995). "Common virulence factors for bacterial pathogenicity in plants and animals". Science 268(5219): 1899–1902. doi:10.1126/science.7604262. ببمد 7604262
- a b c d e Cornelis P (editor). (2008). Pseudomonas: Genomics and Molecular Biology(1st ed.). Caister Academic Press. ISBN 1-904455-19-0
- Colvin et al.، 2013
- S L Chua، L D Hultqvist، M Yuan، M Rybtke، T E Nielsen، M Givskov، T Tolker-Nielsen & L Yang (2015). "In vitro and in vivo generation and characterization of Pseudomonas aeruginosa biofilm–dispersed cells via c-di-GMP manipulation". Nature Protcols 10.doi:10.1038/nprot.2015.067.
- Chua SL، Liu Y، Yam JKH، Tolker-Nielsen T، Kjelleberg S، Givskov M، Yang L (2014). "Dispersed cells represent a distinct stage in the transition from bacterial biofilm to planktonic lifestyles". Nature Communications 5. doi:10.1038/ncomms5462.
- Mah، T. F.، Pitts، B.، Pellock، B.، Walker، G. C.، Stewart، P. S.، & O'Toole، G. A. (2003). A genetic basis for Pseudomonas aeruginosa biofilm antibiotic resistance. Nature، 426(6964)، 306-310.
- Hachem RY، Chemaly RF، Ahmar CA، Jiang Y، Boktour MR، Rjaili GA، Bodey GP، Raad II (2007). "Colistin is effective in treatment of infections caused by multidrug-resistantPseudomonas aeruginosa in cancer patients". Antimicrob. Agents Chemother. 51 (6): 1905–11. doi:10.1128/AAC.01015-06. PMC 1891378. ببمد 17387153.
- Poole K (2004). "Efflux-mediated multiresistance in Gram-negative bacteria". Clinical microbiology and infection : the official publication of the European Society of Clinical Microbiology and Infectious Diseases 10 (1): 12–26. doi:10.1111/j.1469-0691.2004.00763.x. ببمد 14706082.
- Wong، Alex; Rodrigue، Nicolas; Kassen، Rees (September 13، 2012). "Genomics of Adaptation during Experimental Evolution of the Opportunistic Pathogen Pseudomonas aeruginosa". PLoS Genetics 8 (9): e1002928. doi:10.1371/journal.pgen.1002928.PMC 3441735. Retrieved 24 March 2015.
- Forestier C، Guelon D، Cluytens V، Gillart T، Sirot J، De Champs C (2008). "Oral probiotic and prevention of Pseudomonas aeruginosa infections: a randomized، double-blind، placebo-controlled pilot study in ICU-patients". Crit Care 12 (3): R69.doi:10.1186/cc6907. PMC 2481460. ببمد 18489775.
- Döring G، Pier GB (2008). "Vaccines and immunotherapy against Pseudomonas aeruginosa". Vaccine 26 (8): 1011–24. doi:10.1016/j.vaccine.2007.12.007.ببمد 18242792.
- OSF Children's Hospital of Illinois | OSF Children's Hospital نسخة محفوظة 09 مايو 2016 على موقع واي باك مشين.
- Sulakvelidze A، Alavidze Z، Morris JG (2001). "Bacteriophage therapy". Antimicrobial Agents and Chemotherapy 45 (3): 649–659. doi:10.1128/AAC.45.3.649-659.2001.PMC 90351. ببمد 11181338.
- Wright A، Hawkins CH، Anggård EE، Harper DR (2009). "A controlled clinical trial of a therapeutic bacteriophage preparation in chronic otitis due to antibiotic-resistantPseudomonas aeruginosa; a preliminary report of efficacy". Clinical Otolaryngology 34 (4): 349–357. doi:10.1111/j.1749-4486.2009.01973.x. ببمد 19673983.
- بوابة طب
- بوابة علم الأحياء
- بوابة علم الأحياء الدقيقة
صور وملفات صوتية من كومنز
أنواع من ويكي أنواع.
