زغابات مشيمية
الزغابات المشيمية (بالإنجليزية: Chorionic villi) (الزغب هو صغير الريش) وهي الزُغب التي تَنبُت من المشيماء مِن أجل إعطاء المساحة القصوى للجنَين للاتصال بدم الأُم.[1][2][3]
| زغابات مشيمية | |
|---|---|
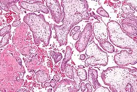
![]() صورة مجهرية تظهر الزغابات المشيمية. تكبير متوسط. صبغة الهيماتوكسيلين والأيوزين. | |
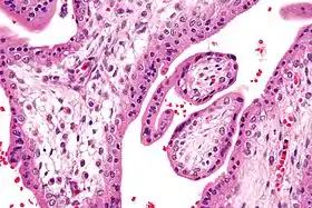
![]() صورة مجهرية تظهر الزغابات المشيمية. تكبير عالي جداً. صبغة الهيماتوكسيلين والأيوزين. صورة مجهرية تظهر الزغابات المشيمية. تكبير عالي جداً. صبغة الهيماتوكسيلين والأيوزين. | |
| تفاصيل | |
| ن.ف.م.ط. | |
| ن.ف.م.ط. | D002824 |
صور إضافية
مقطع لجنين.
قطاع مستعرض لزغابة مشيمية.
زغابات مشيمية بدائية. رسم شبه بياني.
رسم توضيحي للزغابات المشيمية الثانوية
جنين في عمر 28 يوماً، ويتصل به كيس محي.
مراجع
- "معلومات عن زغابات مشيمية على موقع thes.bncf.firenze.sbn.it". thes.bncf.firenze.sbn.it. مؤرشف من الأصل في 16 ديسمبر 2019. الوسيط
|CitationClass=تم تجاهله (مساعدة) - "معلومات عن زغابات مشيمية على موقع britannica.com". britannica.com. مؤرشف من الأصل في 20 سبتمبر 2015. الوسيط
|CitationClass=تم تجاهله (مساعدة) - "معلومات عن زغابات مشيمية على موقع meshb.nlm.nih.gov". meshb.nlm.nih.gov. مؤرشف من الأصل في 18 سبتمبر 2019. الوسيط
|CitationClass=تم تجاهله (مساعدة)
مصادر خارجية
هذه المقالة تعتمد على مواد ومعلومات ذات ملكية عامة، من الصفحة رقم 60 الطبعة العشرين لكتاب تشريح جرايز لعام 1918.
- بوابة تشريح
- بوابة طب
This article is issued from Wikipedia. The text is licensed under Creative Commons - Attribution - Sharealike. Additional terms may apply for the media files.

