زغابة معوية
الزُغَابَة المعوية (باللاتينية: Intestinal villus) هي نتوء مجهري في بطانة الأمعاء وهي مخملية الشكل شبه اصابع اليد ويتم من خلالها امتصاص المغذيات .
| زغابة معوية | |
|---|---|
| الاسم اللاتيني Intestinal villus | |
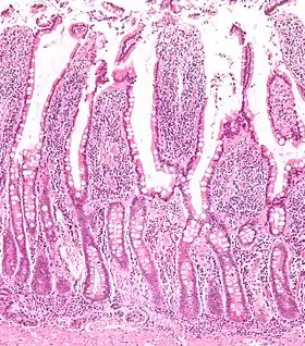
![]() صورة مجهرية of the أمعاء دقيقة غشاء مخاطي showing intestinal villi - top half of image.[1][1] صبغة الهيماتوكسيلين واليوزين | |
![]() Section of duodenum of cat. X 60
صورة مجهرية للزغابات المعوية. Section of duodenum of cat. X 60
صورة مجهرية للزغابات المعوية. | |
| تفاصيل | |
| نوع من | ليف |
| جزء من | أمعاء دقيقة |
| معرفات | |
| غرايز | ص |
| ترمينولوجيا أناتوميكا | 05.6.01.011 |
| FMA | 76464 |
| UBERON ID | 0001213 |
| دورلاند/إلزيفير | 12857047 |
عملها
بعد وصول الغذاء إلى الأمعاء الدقيقة حيث يكون الجدار الداخلي للامعاء الدقيقة مغطى بطبقة من الزغابات المعوية وتقوم الزغابات بامتصاص المواد العذائية مثل السكر وفيتامينات وتنتقل إليها عبر أ الأوعية الدموية الشعرية من ثم إلى جسم الإنسان وتتطرح الزائد منها الخارج جسم الإنسان.
مراجع
- "Digestion: Digestive System, Enzymes, Absorption in the Small Intestine". مؤرشف من الأصل في 18 نوفمبر 2016. الوسيط
|CitationClass=تم تجاهله (مساعدة)
- بوابة طب
- بوابة علم الأحياء
- بوابة تشريح
This article is issued from Wikipedia. The text is licensed under Creative Commons - Attribution - Sharealike. Additional terms may apply for the media files.

