ساركوما كابوزي
ساركوما كابوسي هو الورم الناجم عن الإصابة بفيروس هربس الإنسان 8. المعروف أيضاً باسم المرتبطة كابوزي ساركوما هربس، وقد وصفت في الأصل من قبل موريتز كابوزيس، وهو طبيب أمراض جلدية ممارس في جامعة فيينا في 1872.[1] أصبح من واحدة من الأمراض المصاحبة للإيدز 1980. وعرف أن السبب فيروسي لهذا النوع من السرطان في عام 1994.[2] على الرغم من أن كابوسي ساركوما معروف إلا أنه ناجم عن عدوى فيروسية، هناك نقص كبير في الوعي بهذا المرض حتى بين الأشخاص المعرضين لخطر الإصابة بكابوسي سلركوما / هربس الإنسان 8 النوعHV / HHV-8 .[3]
| ساركوما كابوزي | |
|---|---|
![]() ساركوما كابوسي. تظهر اللويحات بنفسجية اللون المميزة على جناح الأنف وعند قمة الأنف لدى مريضة مصابة بفيروس الإيدز. ساركوما كابوسي. تظهر اللويحات بنفسجية اللون المميزة على جناح الأنف وعند قمة الأنف لدى مريضة مصابة بفيروس الإيدز. | |
| معلومات عامة | |
| الاختصاص | علم الأورام |
| من أنواع | ورم النسيج الضام ، ومرض فيروسي |
| الأسباب | |
| الأسباب | فيروس الهربس المرتبط بساركوما كابوزي ، ونمو الورم |
| المظهر السريري | |
| الأعراض | ورم متكتل ، وتضخم العقد اللمفية ، وانبثاث ، وحمى ، وتسمم ، ومتلازمة الهزال |
| الإدارة | |
| أدوية | |
| التاريخ | |
| المكتشف | موريتز كابوزيس |
| سُمي باسم | موريتز كابوزيس |

كابوزي ساركوما هو مرض جهازي مصاحب لآفات جلدية معاً وبدون أية إصابات للأجهزة الداخلية. وقد صنف لأربعة أنواع فرعية: النوع الكلاسيكي الذي يؤثر على الرجال في منتصف العمر من أصل البحر الأبيض المتوسط، نوع المستوطنة الأفريقية، النوع في المرضى الذين يعانون كبت المناعة نتيجة لعلاج معين، والنوع المرتبط بالإيدز. إن الآفات الجلدية في النوع الواحد تتنوع في لونها الأحمر الميال إلى البنفسجي، ولها عدة أشكال: البقعي، الرقعي، لويحيّ، عقدية، وخارجي التنبت. يمكن للآفات الجلدية أن تكون انفرادية، محلية أو منتشرة. يمكن للنوع أن يشمل تجويف الفم، والعقد اللمفاوية، والأحشاء. النوع الكلاسيكي يميل إلى أن يكون كسلاناً، مع ظهور حمامية أو بقع بنفسجية على الأطراف السفلية. نوع المستوطنة الأفريقية والنوع المتعلق بالإيدز يميلان إلى أن يكونا أكثر عدوانية. آفات النوع المرتبط بالإيدز في كثير من الأحيان تتطور بسرعة للويحات وعقديات التي تؤثر على الجذع العلوي والوجه والغشاء المخاطي للفم. ويمكن إجراء التشخيص مع خزعة للأنسجة، وإذا أُجريَ الفحص سريرياً ينبغي أن يتم فحص وتصوير الأجهزة الداخلية. عنما يتم التشخيص، تستند المعالجة على النوع الفرعي للمرض وإذا ما كان مرض موضعي أم منتشر للأجهزة النظامية. ويمكن علاج المرض الجلدي الموضعي عن طريق العلاج بالتبريد، والحقن داخل الآفة باستخدام فينبلاستين، هلام alitretinoin، العلاج الإشعاعي، العلاج المناعي الموضعي (Imiquimod)، أو الاستئصال الجراحي. المرض الجلدي واسع النطاق و/ أو المرض الداخلي قد يتطلب العلاج الكيميائي عن طريق الوريد والعلاج المناعي. ويوصى وقف أو الحد من العلاج مناعي عندما ينشأ النوع في تحديد وتضعيف المناعة نتيجة العلاج. ومع ذلك، مع النوع المتعلق بالإيدز، وقد تبين العلاج المضاد للفيروسات نشطة للغاية (HAART) لمنعها، أو حثها على التراجع. بعض مرضى الإيدز لها حل كامل للآفات ومعالجة لفترات طويلة مع الاستمرار في العلاج. ولذلك، ينبغي اعتبار علاج HAART الخط الأول لهؤلاء المرضى، على الرغم من أنها قد تتطلب علاجات أخرى في نفس الوقت.[4][5][6][7][8]
التصنيف
HHV-8هو المسؤول عن جميع أنواع هذه الحالة. منذ وصف موريتز كابوزي لأول مرة هذا الورم الخبيث، تم الكشف عنه المرض في خمس حالات سريرية منفصلة، مع أعراض مختلفة. HV يسبب المرض لجميع المصابين، ولكن هناك خلافات في المقاومة السريرية والتشخيص والعلاج. - كابوزي ساركوما الكلاسيكي يبدو الأكثر شيوعاً في وقت مبكر على أصابع القدمين وباطنها بلون محمر، بنفسجي، أو بقع زرقاء مسودة تنتشر وتتجمع لتشكل عقيدات أو لويحات [9]:599، قد يصاحب نسبة صغيرة من هؤلاء المرضى الآفات الحشوية. في معظم الحالات يتضمن العلاج الاستئصال الجراحي للآفة. الحالة تميل إلى أن تكون مزمنة وخاملة، وتؤثر على كبار السن من الرجال من منطقة البحر الأبيض المتوسط، أو من أصل أوروبي شرقي. الدول المطلة على حوض البحر الأبيض المتوسط لديهم معدلات أعلى من عدوى HV / HHV-8 من باقي أوروبا.[10][11]
كابوزي ساركوما المتوطنة، التي لديها نوعان. على الرغم من انتشاره في جميع أنحاء العالم، فقد تم وصفه في وقت لاحق لدى شباب الشعوب الإفريقية، ومعظمهم من افريقيا جنوب الصحراء الكبرى. لايرتبط هذا النوع من الإصابة بفيروس نقص المناعة البشرية وهو مرض أكثر عدوانية ينتشر في الجلد على نطاق واسع.[12][13]
- أفريقيا lymphadenopathic كابوسي ساركوما العدوانية: والتي تحدث عند الأطفال دون سن 10 سنوات، وتقوم بإصابة العقدة الليمفاوية، معاً وبدون آفات الجلد.[9] لا ترتبط هذه الآفات بالإصابة بفيروس نقص المناعة البشرية.[9]:599 These lesions are not related to فيروس العوز المناعي البشري infection.[14][15]
- كابوزي ساركوما الأفريقية الجلدية: عقيدية، اختراقية، وجود كتل في أطراف الأوعية الدموية، ومعظم المصابين من الرجال الذين تتراوح أعمارهم بين 20 و50 عاماً، وتنتشر بشكل وبائي في أفريقيا الاستوائية.[9]:599 لا ترتبط هذه الآفات بالإصابة بفيروس نقص المناعة البشرية.[14][15]
- كابوسي ساركوما المرتبطة بالمناعة، ولكن نادراً ما كان يلاحظ حتى ظهور مثبطات الكالسينيورين (مثل ciclosporines، والتي هي مثبطات وظيفة الخلايا التائية) لمرضى الزراعة في 1980، عندما نما حدوثه بسرعة. الورم ينشأ إما عند زرع عضو مصاب بـ HHV 8 إلى شخص لم يتعرض للفيروس أو عندما يكون متلقي الزراعة مصاب مسبقاً بالفيروس، [16][17] وعلى عكس كابوسي ساركوما الكلاسيكية، فإن موقع الإصابة هو أكثر متغير وليس محدداً.[9]

- كابوسي ساركوما المرتبطة بالإيدز تحدث عادة مع آفات جلدية تكون بقعة واحدة أو عدة بقع أرجوانية تميل إلى الأحمر، تتقدم بسرعة إلى حطاطات، عقيدات، واللوحات، التي تتواجد في الرأس والظهر والرقبة والجذع، والأغشية المخاطية. في الحالات الأكثر تقدماً، يمكن العثور عليها في المعدة والأمعاء، الغدد الليمفاوية، والرئتين [9]:599 النوع-AIDS { حاز بأكبر قدر من الاهتمام باعتبارها واحدة من الأمراض الأولى المرتبطة بالإيدز، وكان أول وصف في 1981.[9]:599 KS-AIDS stimulated the greatest interest as one of the first illnesses associated with إيدز, and was first described in 1981.[18][19][20] وأكثر شيوعاً بـ 300 مرة في مرضى الإيدز المتلقين زراعة الكلى. في هذه الحالة،HHV 8 تنتقل عن طريق الاتصال الجنسي بين الناس ومعرضين أيضا لخطر الإصابة بفيروس نقص المناعة البشرية الذي ينتقل عن طريق الاتصال الجنسي.[21]
العلامات والأعراض
الآفات النوع هي عقيدات أو بقع قد تكون باللون الأحمرالأرجواني، البني، أوسوداء، وعادةً ما تكون حطاطية (وبعبارة أخرى، واضحة أو بارزة). وعادة ما يتم العثور عليها على الجلد، ولكن تنتشر في أماكن أخرى، خصوصاً الفم والجهاز الهضمي والجهاز التنفسي. درجة النمو يمكن أن تتراوح بين بطيئة جداً وسريعة جداً، ويترافق معها معدلات كبيرة من الوفيات والاعتلال.[22]
الجلد
وتشمل المناطق المتأثرة عادةً الأطراف السفلية والظهر والوجه والفم والأعضاء التناسلية. الآفات قد تكون في بعض الأحيان لوحية الشكل (في كثيرمن الأحيان على باطن القدمين) مع تشقق الجلد وما يترتب معها على الآفات الطحلبية. قد يكون التورم مصاحباً لالتهاب محلي أوالوذمة اللمفية (انسداد الأوعية اللمفاوية المحيطة بالآفة). الآفات الجلدية قد تكون مشوهة وتسبب الكثير من الأمراض النفسية.
الفم
يشارك الفم في حوالي 30٪ من الحالات، وهو موقع الإصابة الأولي في 15٪ من النوع المرتبط بالإيدز. وغالباً يؤثر على الحنك الصلب، تليه اللثة.[23] الآفات في الفم قد تجرح وتنزف بسهولة عن طريق المضغ أو يمكن أن يعاني المرضى من العدوى الثانوية، مما يعيق الأكل أو الكلام.
الجهاز الهضمي
يمكن أن تكون مشتركة في تلك كابوسي ساركوما المصاحبة للزرع أو النوع المرتبط بالإيدز، وأنه قد يحدث في غياب تورط الجلد. قد تكون الآفات المعدية المعوية (الهضمية) صامتة أو تسبب فقدان الوزن، والألم، والغثيان / القيء، والإسهال، والنزف (إما يتقيأ دماً أو تمريرها مع حركات الأمعاء)، سوء الامتصاص، أو انسداد معوي.[24]
الجهاز التنفسي
عندما يكون كابوسي ساركوما معيقاً لمجرى الهواء يمكن أن يحدث ضيقاً في التنفس، وحمى، وسعال، ونفثاً للدم (يسعل دماً)، أو ألماً في الصدر، أو باعتبارها نتيجة عرضية تكتشف بإجراء أشعة سينية للصدر.[25] والتشخيص يتم عن طريق تنظيرالقصبات ويؤكد عندما ينظر للآفة مباشرة، وغالباً ما يحتاج إلى خزعة.
الانتقال
ينتقل فيروس كابوسي ساركوما عن طريق اللعاب. وهكذا، التقبيل هو أحد عوامل الخطر. وقد نسب ارتفاع معدلات انتقال الفيروس بين الرجال المثليين والمخنثين إلى "التقبيل العميق" بين الشريكين الجنسيين[26]، وتشير نظرية بديلة أخرى أن استخدام اللعاب ومواد التشحيم الجنسي قد يكون الوسيلة الرئيسية لانتقال العدوى. المشورة الحكيمة هي استخدام مواد التشحيم التجارية عند الحاجة، وتجنب التقبيل العميق مع الشريك المصاب بعدوى فيروس HV أو الذين يكون وضعهم غير معروفاً. النوع HV يمكن أيضاً أن ينتقل عبر زراعة الأعضاء [27] ونقل الدم.[7] كما يحد الفحص والكشف عن الفيروس قبل هذه الإجراءات من فعالية نقل الفيروس.
علم الأمراض والتشخيص

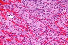
على الرغم من اسمه، بشكل عام لا ينظر إليه على أنه ساركوما حقيقية، [28][29] وهو ورم ينشأ من الأنسجة الوسيطة. وتكون الأنسجة لا زال موضع جدل.[30] ووفقاً للبعض، هذا المرض يتطور كسرطان بطانة اللمفاوية [بحاجة لمصدر] ويشكل أوعية دموية مليئة بخلايا الدم، ويعطي الورم مظهره الأشبه بكدمة. تم الكشف عن بروتينات الـ HV في الخلايا السرطانية لكابوسي ساركوما.
الخلايا السرطانية ذات شكل ممدود مميز، وتسمى خلايا المغزل. الميزة الأكثر شيوعاً في كابوسي ساركوما هو وجود خلايا المغزل التي تكون الشقوق التي تحتوي على خلايا الدم الحمراء. سرعة النشاط الانقسامي الاختزالي معتدل وتعدد الأشكال عادة ما يكون غائباً.[31] والورم يحتوي على الأوعية الدموية الكثيفة بشكل غير طبيعي وغير نظامي، وبها تسير خلايا الدم الحمراء إلى الأنسجة المحيطة، مما يعطي الورم لونها لداكن. قد ينتج التهاب حول الورم مما يسبب الانتفاخ والألم. أجسام Hyaline الايجابية متنوعة الأحجام يمكن رؤيتها في السايتوبلازم وأحياناً خارج الخلية. خلايا المغزل من كابوسي ساركوما تتطور نحو الخلايا البطانية، وفي الغالب من الأوعية اللمفاوية بدلاًمن الأوعية الدموية.[32] والمناعية الدفاعية الثابتة لpodoplanin يدعم الطبيعة اللمفاوية للآفة.
فيروس HHV8 موجود فيما يقارب 100٪ من آفات كابوزي ساركوما، سواء كانت تتعلق بفيروس نقص المناعة البشرية، والكلاسيكية والمتوطنة، أوعلاجي المنشأ.[33]
على الرغم من أن النوع قد يشتبه من ظهور آفات وعوامل الخطر للمريض، لكن لا يمكن إجراء تشخيص واضح إلا عن طريق الخزعة والفحص المجهري. الكشف عن بروتينLANA الخاص بفيروس HV في الخلايا السرطانية يؤكد التشخيص.
في التشخيص التفريقي، يمكن الخلط بين الحالة مجهرياً مع التشوهات الشريانية الوريدية arteriovenous malformations ، الحبيبي القيحي، pyogenic granuloma وانتشار الأوعية الوعائية الأخرى .[34]
الوقاية
يمكن استخدام اختبارات الدم لكشف الأجسام المضادة ضد النوع HV لتحديد ما إذا كان الشخص عرضة لنقل العدوى إلى الشريك الجنسي، أو ما إذا كان مصاب بأحد الأجهزة قبل عملية الزراعة. ومع ذلك، هذه الاختبارات ليست متاحة إلا كأدوات بحثية، وبالتالي، هناك القليل من الفحوصات للأشخاص المعرضين لخطر الإصابة بفيروس HV؛ مثلا لأشخاص بعد عملية الزراعة.
العلاج
كابوسي ساركوما ليس قابلاً للعلاج النهائي (بالمعنى المعتاد للكلمة)، ولكن يمكن في كثير من الأحيان أن يستمر علاجه لسنوات عديدة. في النوع المرتبط بنقص المناعة أو كبت المناعة، علاج سبب ضعف الجهاز المناعي يمكن أن يبطئ أو يوقف تطور المرض. في 40٪ من المصابين بكابوزي ساركوما المرتبط بالإيدز، فإن آفات كابوزي تتقلص عند بدء أول العلاج وهو المضاد للفيروسات النشطة للغاية (HAART). ومع ذلك، في نسبة معينة من مثل هؤلاء الناس، كابوسي ساركوما قد ينمو مرة أخرى بعد عدة سنوات من المعالجة بخليط العقاقير(HAART)، خاصة إذا لم يتم قمع فيروس فيروس العوز المناعي البشري (فيروس نقص المناعة البشرية) تماماً.
المرضى مع عدد قليل من الآفات الموضعية يمكن التعامل مع آفاتهم المحلية بالعلاج الإشعاعي أو الجراحة بالتبريد.[35][36] هناك دليل ضعيف على أن العلاج الثائي المضاد للفيروسات الرجعية مع العلاج الكيميائي أكثر فعالية من أي من تلك العلاجات الاثنين على حدة.[37] بشكل عام، لاينصح بالعمليات الجراحية، لأن كابوسي ساركوما يمكن أن يظهر في حواف الجرح. أما عندما يكون المرض أكثر انتشاراً، أو في حالات الأمراض التي تؤثر على الأعضاء الداخلية، فتلك يتم علاجها منهجياً عن طريق ألفا انترفيرون، anthracyclines liposomal (مثلDoxil) أو paclitaxel باكليتاكسيل.
علم الأوبئة
انخفاض في معدل الوفيات بين المصابين بفيروس نقص المناعة البشرية / الإيدزللذين يتلقون علاجات جديدة في 1990، كما انخفضت معدلات وشدة الوباء. ومع ذلك، فإن عدد الأشخاص الذين يعيشون مع فيروس نقص المناعة البشرية / الإيدز يتزايد في الولايات المتحدة، وأنه من الممكن أن عدد المصابين بكابوسي ساركوما المرتبطة بالإيدز سوف يرتفع مرة أخرى كما أن هؤلاء الناس يعيشون حياة أطول مع الإصابة بفيروس نقص المناعة البشرية.
التوعية
وقد أفيد أن 6٪ فقط من الرجال الذين يمارسون الجنس مع الرجال هم من يدركون أن هذا المرض يسببه فيروس مختلف عن فيروس نقص المناعة البشرية.[3] وهكذا، فإن هناك القليل من الجهود المجتمعية للتوعية ولمنع الإصابة بفيروس HV. وبالإضافة إلى ذلك، ليس هناك فحص منتظم يجرى قبل التبرع بالأعضاء.
في الأشخاص المصابين بمرض الإيدز، يعتبر كابوسي ساركوما ذو عدوى الانتهازية، وذلك لأنه مرض قادر على الحصول على موطئ قدم في الجسم لأنه قد تم إضعاف الجهاز المناعي. مع ارتفاع الإصابة بفيروس نقص المناعة البشرية / الإيدز في إفريقيا، أصبح النوع HV أكثر انتشاراً، وأصبح نوع السرطان الأكثر تكراراً في بعض البلدان.
ولأن علامات هذا المرض واضحة للغاية، فإن الآفات الخارجية في بعض الأحيان أعراض لمرض الإيدز. دخلت كابوسي ساركوما وعي الناس خصوصاً مع عرض فيلم فيلادلفيا: حيث طرد الشخصية الرئيسية من عمله بعدما عرف أنه مصاب بفيروس الإيدز بسبب الآفات الخارجية الواضحة. بحلول الوقت الذي تظهر فيه الآفات الخارجية، فإنه من المرجح أن نظام المناعة بالفعل ضَعُفَ بشدة.
معرض صور
المراجع
- Kaposi, M (1872). "Idiopathisches multiples Pigmentsarkom der Haut". Arch. Dermatol. Syph. 4 (2): 265–273. doi:10.1007/BF01830024. الوسيط
|CitationClass=تم تجاهله (مساعدة) - Chang, Y.; Cesarman, E.; Pessin, M. S.; Lee, F.; Culpepper, J.; Knowles, D. M.; Moore, P. S. (1994). "Identification of herpesvirus-like DNA sequences in AIDS-associated Kaposi's sarcoma". Science. 266 (5192): 1865–1869. Bibcode:1994Sci...266.1865C. doi:10.1126/science.7997879. PMID 7997879. الوسيط
|CitationClass=تم تجاهله (مساعدة) - Phillips AM, Jones AG, Osmond DH, Pollack LM, Catania JA, Martin JN; Jones; Osmond; Pollack; Catania; Martin (July 2008). "Awareness of Kaposi Sarcoma-associated Herpesvirus among Men who Have Sex with Men". Sex Transm Dis. 35 (12): 1011–4. doi:10.1097/OLQ.0b013e318182c91f (غير نشط 2015-02-02). PMC 2593118. PMID 18665016. الوسيط
|CitationClass=تم تجاهله (مساعدة)صيانة CS1: أسماء متعددة: قائمة المؤلفون (link) - Antman, K.; Chang, Y. (2000). "Kaposi's Sarcoma". New England Journal of Medicine. 342 (14): 1027–1038. doi:10.1056/NEJM200004063421407. PMID 10749966. الوسيط
|CitationClass=تم تجاهله (مساعدة) - Cattelan, A. M.; Calabrò, M. L.; De Rossi, A.; Aversa, S. M.; Barbierato, M.; Trevenzoli, M.; Gasperini, P.; Zanchetta, M.; Cadrobbi, P.; Monfardini, S.; Chieco-Bianchi, L. (2005). "Long-term clinical outcome of AIDS-related Kaposi's sarcoma during highly active antiretroviral therapy". International journal of oncology. 27 (3): 779–785. PMID 16077928. الوسيط
|CitationClass=تم تجاهله (مساعدة) - Cáceres, W.; Cruz-Amy, M.; Díaz-Meléndez, V. (2010). "AIDS-related malignancies: Revisited". Puerto Rico health sciences journal. 29 (1): 70–75. PMID 20222338. الوسيط
|CitationClass=تم تجاهله (مساعدة) - Hladik, W.; Dollard, S. C.; Mermin, J.; Fowlkes, A. L.; Downing, R.; Amin, M. M.; Banage, F.; Nzaro, E.; Kataaha, P.; Dondero, T. J.; Pellett, P. E.; Lackritz, E. M. (2006). "Transmission of Human Herpesvirus 8 by Blood Transfusion". New England Journal of Medicine. 355 (13): 1331–1338. doi:10.1056/NEJMoa055009. PMID 17005950. الوسيط
|CitationClass=تم تجاهله (مساعدة) - Schwartz, R.; Micali, G.; Nasca, M.; Scuderi, L. (2008). "Kaposi sarcoma: A continuing conundrum". Journal of the American Academy of Dermatology. 59 (2): 179–206, quiz 207–8. doi:10.1016/j.jaad.2008.05.001. PMID 18638627. الوسيط
|CitationClass=تم تجاهله (مساعدة) - James, William; Berger, Timothy; Elston, Dirk (2005). Andrews' Diseases of the Skin: Clinical Dermatology. (10th ed.). Saunders. ISBN 0-7216-2921-0.
- Iscovich, J; Boffetta, P; Winkelmann, R; Brennan, P; Azizi, E (Oct 22, 1998). "Classic Kaposi's sarcoma in Jews living in Israel, 1961-1989: a population-based incidence study". AIDS. 12 (15): 2067–72. doi:10.1097/00002030-199815000-00019. PMID 9814876. مؤرشف من الأصل في 28 مارس 2020. الوسيط
|CitationClass=تم تجاهله (مساعدة) - Fenig, E; Brenner, B; Rakowsky, E; Lapidoth, M; Katz, A; Sulkes, A (October 1998). "Classic Kaposi sarcoma: experience at Rabin Medical Center in Israel". Am J Clin Oncol. 21 (5): 498–500. doi:10.1097/00000421-199810000-00016. PMID 9781608. مؤرشف من الأصل في 28 مارس 2020. الوسيط
|CitationClass=تم تجاهله (مساعدة) - Cook-Mozaffari, P; Newton, R; Beral, V; Burkitt, DP (December 1998). "The geographical distribution of Kaposi sarcoma and of lymphomas in Africa before the AIDS epidemic". Br J Cancer. 78 (11): 1521–8. doi:10.1038/bjc.1998.717. PMC 2063225. PMID 9836488. الوسيط
|CitationClass=تم تجاهله (مساعدة) - Olsen, SJ; Chang, Y; Moore, PS; Biggar, RJ; Melbye, M (October 1998). "Increasing Kaposi sarcoma-associated herpesvirus seroprevalence with age in a highly Kaposi sarcoma endemic region, Zambia in 1985" (PDF). AIDS. 12 (14): 1921–5. doi:10.1097/00002030-199814000-00024. PMID 9792393. مؤرشف من الأصل (PDF) في 27 فبراير 2008. اطلع عليه بتاريخ أكتوبر 2020. الوسيط
|CitationClass=تم تجاهله (مساعدة); تحقق من التاريخ في:|تاريخ الوصول=(مساعدة) - Cook-Mozaffari, P; Newton, R; Beral, V; Burkitt, DP (December 1998). "The geographical distribution of Kaposi's sarcoma and of lymphomas in Africa before the AIDS epidemic". Br J Cancer. 78 (11): 1521–8. doi:10.1038/bjc.1998.717. PMC 2063225. PMID 9836488. الوسيط
|CitationClass=تم تجاهله (مساعدة) - Olsen, SJ; Chang, Y; Moore, PS; Biggar, RJ; Melbye, M (October 1998). "Increasing Kaposi's sarcoma-associated herpesvirus seroprevalence with age in a highly Kaposi's sarcoma endemic region, Zambia in 1985" (PDF). AIDS. 12 (14): 1921–5. doi:10.1097/00002030-199814000-00024. PMID 9792393. مؤرشف من الأصل (PDF) في 27 فبراير 2008. اطلع عليه بتاريخ أكتوبر 2020. الوسيط
|CitationClass=تم تجاهله (مساعدة); تحقق من التاريخ في:|تاريخ الوصول=(مساعدة) - Qunibi, W; Al-Furayh, O; Almeshari, K; Lin, SF; Sun, R; Heston, L; Ross, D; Rigsby, M; Miller, G (Feb 27, 1998). "Serologic association of human herpesvirus eight with posttransplant Kaposi sarcoma in Saudi Arabia". Transplantation. 65 (4): 583–5. doi:10.1097/00007890-199802270-00024. PMID 9500639. مؤرشف من الأصل في 28 مارس 2020. الوسيط
|CitationClass=تم تجاهله (مساعدة) - Luppi, Mario; Barozzi, P; Schulz, TF; Setti, G; Staskus, K; Trovato, R; Narni, F; Donelli, A; Maiorana, A; et al. (Nov 9, 2000). "Bone marrow failure associated with human herpesvirus 8 infection after transplantation". N Engl J Med. 343 (19): 1378–85. doi:10.1056/NEJM200011093431905. PMID 11070102. الوسيط
|CitationClass=تم تجاهله (مساعدة) - Schwartz, Robert A.; SP Borkovic (1994). "Kaposi's sarcoma presenting in a homosexual man — a new and striking phenomenon". Ariz Med. 38 (12): 902–4. PMID 7332494. الوسيط
|CitationClass=تم تجاهله (مساعدة) - Hausen, Harald Zur (2006). "Rhadinoviruses". Infections Causing Human Cancer. Weinheim: Wiley-VCH. الوسيط
|CitationClass=تم تجاهله (مساعدة) - Drabell, Fredrick G (2006). "Kaposi's Sarcoma and Renal Diseases". New Topics in Cancer Research. New York: Nova Biomedical Books. الوسيط
|CitationClass=تم تجاهله (مساعدة) - Beral V, Peterman TA, Berkelman RL, Jaffe HW; Peterman; Berkelman; Jaffe (January 1990). "Kaposi sarcoma among persons with AIDS: a sexually transmitted infection?". Lancet. 335 (8682): 123–8. doi:10.1016/0140-6736(90)90001-L. PMID 1967430. مؤرشف من الأصل في 9 يناير 2020. الوسيط
|CitationClass=تم تجاهله (مساعدة)صيانة CS1: أسماء متعددة: قائمة المؤلفون (link) - Dezube, BJ (October 1996). "Clinical presentation and natural history of AIDS--related Kaposi sarcoma". Hematol Oncol Clin North Am. 10 (5): 1023–9. doi:10.1016/S0889-8588(05)70382-8. PMID 8880194. الوسيط
|CitationClass=تم تجاهله (مساعدة) - Nichols, CM; F; H (1 November 1993). "Treating Kaposi lesions in the HIV-infected patient". J Am Dent Assoc. 124 (11): 78–84. PMID 8227776. مؤرشف من الأصل في 4 مايو 2009. اطلع عليه بتاريخ 11 يونيو 2007. الوسيط
|CitationClass=تم تجاهله (مساعدة) - Danzig, JB; Brandt, LJ; Reinus, JF; Klein, RS (June 1991). "Gastrointestinal malignancy in patients with AIDS". Am J Gastroenterology. 86 (6): 715–8. PMID 2038993. الوسيط
|CitationClass=تم تجاهله (مساعدة) - Garay, SM; Belenko, M; Fazzini, E; Schinella, R (January 1987). "Pulmonary manifestations of Kaposi sarcoma". Chest. 91 (1): 39–43. doi:10.1378/chest.91.1.39. PMID 3792084. مؤرشف من الأصل في 17 سبتمبر 2008. اطلع عليه بتاريخ 11 يونيو 2007. الوسيط
|CitationClass=تم تجاهله (مساعدة) - Pauk, J.; Huang, M. L.; Brodie, S. J.; Wald, A.; Koelle, D. M.; Schacker, T.; Celum, C.; Selke, S.; Corey, L. (2000). "Mucosal Shedding of Human Herpesvirus 8 in Men". New England Journal of Medicine. 343 (19): 1369–1377. doi:10.1056/NEJM200011093431904. PMID 11070101. الوسيط
|CitationClass=تم تجاهله (مساعدة) - Parravicini, C.; Olsen, S. J.; Capra, M.; Poli, F.; Sirchia, G.; Gao, S. J.; Berti, E.; Nocera, A.; Rossi, E.; Bestetti, G.; Pizzuto, M.; Galli, M.; Moroni, M.; Moore, P. S.; Corbellino, M. (1997). "Risk of Kaposi's sarcoma-associated herpes virus transmission from donor allografts among Italian posttransplant Kaposi's sarcoma patients". Blood. 90 (7): 2826–2829. PMID 9326251. الوسيط
|CitationClass=تم تجاهله (مساعدة) - Coffin, JM; Hughes, SH; Varmus, HE (1997). Retroviruses. Cold Spring Harbor, NY: Cold Spring Harbor Laboratory Press. ISBN 0-87969-571-4. مؤرشف من الأصل في 9 يناير 2020. الوسيط
|CitationClass=تم تجاهله (مساعدة) - Ensoli, B; Sirianni, MC (1998). "Kaposi's sarcoma pathogenesis: a link between immunology and tumor biology". Critical reviews in oncogenesis. Begell House. 9 (2): 107–124. doi:10.1615/CritRevOncog.v9.i2.20. مؤرشف من الأصل في 10 فبراير 2015. الوسيط
|CitationClass=تم تجاهله (مساعدة) - Gurzu, Simona; Ciortea, Diana; Munteanu, Teodora; Kezdi-Zaharia, Iringo; Jung, Ioan (2008). "Mesenchymal-to-Endothelial Transition in Kaposi Sarcoma: A Histogenetic Hypothesis Based on a Case Series and Literature Review". PLOS One. 8 (8): e71530. Bibcode:2013PLoSO...871530G. doi:10.1371/journal.pone.0071530. الوسيط
|CitationClass=تم تجاهله (مساعدة) - Rosai J., Rosai and Ackerman's Surgical Pathology, Mosby, 2011, 10th edition, ISPN-13: 9780808924333
- Weninger W et al. Expression of vascular endothelial growth factor receptor-3 and podoplanin suggest a lymphatic endothelial origin of Kaposi's sarcoma tumor cells. Lab Invest 1999, 79: 243-251
- Ablashi DV et al. Spectrum of Kaposi's sarcoma-associated herpesvirus, or human herpes virus 8, diseases. Clin Microbiol Rev 2002, 15: 439-464
- Blumenfeld W et al, Differential diagnosis of Kaposi's Sarcoma. Arch Pathol Lab Med 1985, 109: 123-127.
- Tappero, W; Berger, TG; Kaplan, LG (1991). "Cryotherapy for cutaneous Kaposi's sarcoma (KS) associated with acquired immune deficiency syndrome (AIDS): a phase II trial". Journal of Acquired Immune Deficiency Syndromes. Lippencott Williams and Wilkins. 4 (9): 839–46. PMID 1895204. الوسيط
|CitationClass=تم تجاهله (مساعدة) - Zimmerman, Ethan; Crawford, Paul (15 December 2012). "Cutaneous Cryosurgery". American Family Physician. American Academy of Family Physicians. 86 (12): 1118–24. PMID 23316984. الوسيط
|CitationClass=تم تجاهله (مساعدة) - Anglemyer, A.; Agrawal, AK.; Rutherford, GW. (2014). "Treatment of Kaposi sarcoma in children with HIV-1 infection". Cochrane Database Syst Rev. 1: CD009826. doi:10.1002/14651858.CD009826.pub2. PMID 24464843. الوسيط
|CitationClass=تم تجاهله (مساعدة)
وصلات خارجية
- Kaposi sarcoma photo library at Dermnet
- Kaposi Sarcoma information
- Office of HIV and AIDS Malignancy in the National Cancer Institute
- 3D macromolecular structures of Kaposi Sarcoma viruses from the EM Data Bank(EMDB)
- Cancer.Net Sarcoma - Kaposi
- سرطان كابوزيس من سماه
- Kaposi's sarcoma
- بوابة علم الفيروسات
- بوابة طب



