ساركومة شبيهة بالظهارة
الساركومة الشبيهة بالظهارة أو الساركومة الظهارانية (بالإنجليزية: Epithelioid sarcoma) هي نوع نادر من ساركومة الأنسجة الرخوة تنشأ من نسج اللحمة المتوسطة وتتميز بصفات شبيهة بالظهارة. أول من وصفها هو ف. م. إنزينغر في عام 1970.[1] تتظاهر بشكل شائع عند الشباب في الأطراف البعيدة (الأصابع، واليدين، والساعدين، والقدمين) على شكل كتلة طرية وصغيرة أو سلسلة من التحاديب. وُصفت أيضًا نماذج قريبة (دانية)، يشيع حدوثها في الطرفين العلويين. ذُكرت حالات نادرة في الحوض، والفرج، والقضيب، والعمود الفقري.[2]
| ساركومة شبيهة بالظهارة | |
|---|---|
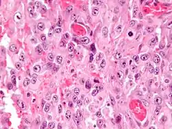
![]() صورة ميكروسكوبية للساركومة الشبيهة بالظهارة صورة ميكروسكوبية للساركومة الشبيهة بالظهارة | |
| معلومات عامة | |
| الاختصاص | علم الأورام |
| من أنواع | ساركومة الأنسجة الرخوة ، وورم النسيج الضام ، وساركومة |
نسيجيًا، تشكل الساركومة الشبيهة بالظهارة عقيدات ذات مركز متنخر، ومحاطة بخلايا حميدة مضلعة الشكل ذات هيولى (سايتوبلازما) يوزينية وانغزال محيطي. تعبّر الساركومة الشبيهة بالظهارة عادةً عن الفيمنتين، والكيراتين الخلوي، ومستضد الغشاء الظهاري، وسي دي 34، بينما تكون سلبية عادة لبروتين إس 100، والديسمين، وإف إل آي 1،[3] وتكون نموذجيًا إيجابية للمستضد السرطاني 125 (سي إيه 125).[4]
تصيب الساركومة الشبيهة بالظهارة عادة الشباب، ولكن لا توجد فئة عمرية محصنة من الإصابة بها. يميل المرض إلى التطور بشكلٍ ناكسٍ موضعيًا، ثم يشكل نقائل (انبثاث) إلى العقد اللمفية الناحية، والرئتين، والعظام، والدماغ، وأماكن أخرى، بما فيها الفروة. تملك الساركومة الشبيهة بالظهارة عمومًا معدلات نكس عالية بعد المعالجة الأولية وتميل للنكس موضعيًا (بنفس موقع الورم الأصلي أو بالقرب منه). يسيطر فيها أيضًا الانتشار اللمفاوي (في 22-48% من الحالات)، والانبثاث (في 21-63% من الحالات). يُنذر حدوث هذه الأمور، بالإضافة إلى المرحلة (التقدم) والدرجة (العدائية)، بنتيجة أسوأ عمومًا. تكون نسبة البقيا لخمسة أعوام في الساركومة الشبيهة بالظهارة بين 25% و78%.[5] تنخفض نسبة البقيا لمدة 10 و15 سنة بوضوح.[6] تكون النتائج الأكثر إيجابية مرتبطةً بالأعمار الصغيرة، وعند الإناث مقارنة بالذكور، وفي المواقع البعيدة مقارنة بالقريبة، وصغر حجم الورم، والحواف السلبية بعد استئصال الورم.[7][8]
العلامات والأعراض
تعد الساركومة الشبيهة بالظهارة عمومًا ورمًا بطيء النمو وغير مؤلم نسبيًا، ولذلك تكون الفترة طويلة غالبًا بين التظاهر والتشخيص، فغالبًا ما تُشخص خطأً على أنها كيسة أو ثؤلول مستمر بسبب هذا الغموض. تتظاهر غالبًا في الأطراف البعيدة (الأصابع، أو اليدين، أو الساعدين، أو القدمين) ككتلة صغيرة وطرية أو سلسلة من التحاديب. تُوصف غالبًا على أنها كتلة مجسوسة صلبة إلى قاسية، سواء في الأنسجة الرخوة العميقة أو في الأدمة. تتقرح الآفة السطحية عادة في ما بعد متسببة بتشخيص خاطئ على أنها جرح رضي سيئ الاندمال أو ثؤلول. يتظاهر نحو 13% من المرضى بأورام متعددة البؤر، ويتظاهر نحو 13% من المرضى بداء نقائلي (انبثاثي).[9]
علم الوراثة
الطفرة الجينية الأكثر شيوعًا (وُجدت عند 80-90% من حالات الساركومة الشبيهة بالظهارة) هي تعطيل الجين SMARCB1، أو فقدان وظيفة INI-1،[10][11] والتي يُعتقد أنها المساهم الأساسي في تقدم المرض. يوجد في الساركومة الشبيهة بالظهارة عادةً طفرات في الصبغي 22q11.2 أو حذف فيه وكسب في 8q، وخاصة في i(8) (>q10)، ولوحظ أيضًا زيغ في 18q و8q، وكسب متكرر في 11q13.[12][13][14]
يقع جين SMARCB1 (الذي يُسمى أيضًا BAF47، أو INI1، أو hSNF5) على الصبغي 22q11.2، ويرمز غشاء معقد الكروماتين المعاد نمذجته SWI/SNF. يُعد فقدان وظيفة SMARCB1 أكثر طفرة جينية شائعة مشاهدة في الساركومة الشبيهة بالظهارة، ومن المحتمل أن يكون الخلل الوظيفي هذا هو المحرك الرئيسي لتقدم المرض. SMARCB1 هو وحيدة بروتينية فرعية من 15 وحيدة للمعقد SWI/SNF (أو BAF) تشارك في تنظيم بنية الجسيم النووي لمجموعنا الوراثي (المجين أو الجينوم). تبين أنه جين فعال كابح للورم، أي أن دوره الأساسي هو ضبط الانقسام الخلوي أو حتى إيقافه في الظروف الملائمة (أي عنند وجود إشارات تضاعف زائدة). نظرًا إلى تعطل الجين الكابح للورم في الساركومة الشبيهة بالظهارة،[15] يمكن للانقسام الخلوي أن يفشل في التوقف المناسب، ما يتسبب بنمو خلوي غير منظم وتشكيل الأورام السرطانية. يطور العديد من الفرق البحثية تقنيات لاستعادة هذه الخسارة في الخاصية الوظيفية الجينية للساركومة الشبيهة بالظهارة.
علم الأحياء الجزيئي
عامل النمو البطاني الوعائي
يكون عامل النمو البطاني الوعائي (في إي جي إف) زائد التعبير في الساركومة الشبيهة بالظهارة.[16] وهو سبيل بالغ الأهمية في توليد الأوعية، العملية التي تستخدمها الخلايا السرطانية لتشكيل أوعية دموية جديدة، تؤمن العناصر الضرورية لبقاء الورم. أظهرت العوامل المضادة لـ«في إي جي إف» مثل بازوبانيب وعودًا في العديد من الكارسينومات وساركومات النسج الرخوة المختلفة.[17] في إحدى دراسات الحالة، أظهر مريض مصاب بالساركومة الشبيهة بالظهارة الفرجية النقائلية المتقدمة حلًا جزئيًا للنقائل الرئوية والجنبية عندما أُعطي البازوبانيب، في حين فشلت جميع العلاجات الأخرى.[18]
التشخيص
تعد الخزعة النسيجية الوسيلة التشخيصية المختارة. نظرًا إلى المعدل العالي لإصابة العقد اللمفاوية، تُجرى عادة خزعة للعقدة اللمفاوية الخافرة (الحارسة). من الخصائص الشائعة للساركومة الشبيهة بالظهارة (المشاهدة عند 80% من الحالات) فقدان وظيفة جين SMARCB1 (المسمى أيضًا BAF47، أو INI1، أو hSNF5).
يكون التلوين الكيميائي النسيجي المناعي لـ INI1 متاحًا، ويمكن استخدامه لتشخيص الساركومة الشبيهة بالظهارة. يُعد التصوير بالرنين المغناطيسي الوسيلة التشخيصية المختارة للتصوير قبل للخزعة والتشخيص التشريحي المرضي (الباثولوجي)، وله دور رئيسي في تحديد الحدود الجراحية.
التصنيف المرحلي
يهتم التصنيف المرحلي الساركومة الشبيهة بالظهارة بحجم الورم البدئي وموقعه، والعقد اللمفية المصابة، ووجود النقائل وموقعها، والدرجة النسيجية (مقياس لعدائية المرض).[21]
العلاج
يبقى الاستئصال الجراحي للورم مع حواف واسعة الوسيلة العلاجية المفضلة، وقد أبدى نجاحًا كبيرًا في مواجهة المرض. مؤخرًا، استُكشفت الجراحة الإنقاذية للطرف وأبدت نجاحًا متوسطًا.[22]
يُعد العلاج الكيميائي أو العلاج بالأشعة معيار العناية في حالات المرض المتقدمة، أو المعاودة، أو النقائلية، أو في حالات تعذر إجراء الجراحة، على الرغم من انخفاض معدلات نجاحها بالمجمل.[23]
الإنذار
يبلغ معدل البقيا مدة خمس سنوات عند مرضى الساركومة الشبيهة بالظهارة ما يقارب 50-70%، ويبلغ معدل البقيا مدة عشر سنوات 42-55%. تميل النتائج لأن تكون أفضل قليلًا عند الأطفال المصابين بالساركومة الشبيهة بالظهارة مقارنة بالبالغين، إذ تصل نسبة البقيا عندهم لخمس سنوات 65%. يُظهر الأطفال المرضى عادةً انتشارًا لمفاويًا ونقائل أقل. بالإضافة إلى مرحلة الورم ودرجته، والجنس، والموقع، والعمر عند التشخيص، أظهر حجم الورم والتشريح المرضي المجهري تأثيرًا في الإنذار. تترافق الدرجة والمرحلة المتقدمتان عادة بنتائج أسوأ. تميل النتائج لأن تكون أفضل عند النساء من الرجال، وتبدي الحالات القريبة نتائج أسوأ من البعيدة، ويرتبط العمر الأصغر بنتائج أكثر إيجابية. ترتبط الأورام التي تتجاوز أبعادها 2 سم مع نخر وغزو وعائي بنتائج أسوأ عادةً. المعيار الذهبي للعلاج الكيميائي هو المزج بين دوكسوروبيسين وإيفوسفامايد. على أي حال، تقترح دراسات حديثة أن إضافة إيفوسفامايد إلى الدوكسوروبيسين لا يؤدي بالضرورة إلى زيادة في مجمل البقيا. يُعطى عادةً إيتوبوسيد، وفينكريستين، وداكتينومايسين، وسيكلوفوسفاميد، وتُختبر حاليًا علاجات أحدث، مثل جيمسيتابين وبازوبانيب، في التجارب السريرية.[24]
يُعد العلاج بالأشعة خيارًا عندما يكون الورم غير قابل للاستئصال أو عند عدم القدرة على أخذ حواف جراحية واسعة. لم يُبدِ العلاج بالأشعة المترافق مع العلاج الكيميائي إلى الآن سوى تحسن صغير في معدلات الاستجابة. أعطت تجارب تطبيق المعالجة القريبة نتائج إيجابية (وهي معالجة إشعاعية داخلية توصل جرعات إشعاعية عالية مباشرة إلى الورم، ويُعتقد أن تأثيراتها الجانبية طويلة الأمد أقل).[25]
المراجع
- Enzinger, F. M. (1970). "Epithelioid sarcoma.A sarcoma simulating a granuloma or a carcinoma". Cancer. 26 (5): 1029–41. doi:10.1002/1097-0142(197011)26:5<1029::AID-CNCR2820260510>3.0.CO;2-R. PMID 5476785. الوسيط
|CitationClass=تم تجاهله (مساعدة) - Guillou, L; Wadden, C; Coindre, JM; Krausz, T; Fletcher, CD (1997). "'Proximal-type' epithelioid sarcoma, a distinctive aggressive neoplasm showing rhabdoid features. Clinicopathologic, immunohistochemical, and ultrastructural study of a series". The American Journal of Surgical Pathology. 21 (2): 130–46. doi:10.1097/00000478-199702000-00002. PMID 9042279. الوسيط
|CitationClass=تم تجاهله (مساعدة) - Armah, Henry B. Armah; Parwani, Anil V. (2009). "Epithelioid sarcoma". Archives of Pathology & Laboratory Medicine. 133 (5): 814–9. doi:10.1043/1543-2165-133.5.814 (غير نشط 2020-01-22). PMID 19415960. مؤرشف من الأصل في 28 يناير 2020. الوسيط
|CitationClass=تم تجاهله (مساعدة) - Kato, Hiroshi; Hatori, Masahito; Kokubun, Shoichi; Watanabe, Mika; Smith, Richard A; Hotta, Tetsuo; Ogose, Akira; Morita, Tetsuro; Murakami, Takashi; Aiba, Setsuya (2004). "CA125 expression in epithelioid sarcoma". Japanese Journal of Clinical Oncology. 34 (3): 149–54. doi:10.1093/jjco/hyh027. PMID 15078911. الوسيط
|CitationClass=تم تجاهله (مساعدة) - Levy, Antonin; Le Péchoux, Cécile; Terrier, Philippe; Bouaita, Ryan; Domont, Julien; Mir, Olivier; Coppola, Sarah; Honoré, Charles; Le Cesne, Axel; Bonvalot, Sylvie (2014). "Epithelioid Sarcoma: Need for a Multimodal Approach to Maximize the Chances of Curative Conservative Treatment". Annals of Surgical Oncology. 21 (1): 269–76. doi:10.1245/s10434-013-3247-4. PMID 24046109. الوسيط
|CitationClass=تم تجاهله (مساعدة) - Lev, Dina. "Epigenetic reprogramming of epitheliold sarcoma: a role for INI1-HDAC crosstalk". مؤرشف من الأصل في 22 أبريل 2015. الوسيط
|CitationClass=تم تجاهله (مساعدة) - Casanova, Michela; Ferrari, Andrea; Collini, Paola; Bisogno, Gianni; Alaggio, Rita; Cecchetto, Giovanni; Gronchi, Alessandro; Meazza, Cristina; Garaventa, Alberto; Di Cataldo, Andrea; Carli, Modesto (2006). "Epithelioid sarcoma in children and adolescents". Cancer. 106 (3): 708–17. doi:10.1002/cncr.21630. PMID 16353216. الوسيط
|CitationClass=تم تجاهله (مساعدة) - Jawad, Muhammad Umar; Extein, Jason; Min, Elijah S.; Scully, Sean P. (2009). "Prognostic Factors for Survival in Patients with Epithelioid Sarcoma: 441 Cases from the SEER Database". Clinical Orthopaedics and Related Research. 467 (11): 2939–48. doi:10.1007/s11999-009-0749-2. PMC 2758965. PMID 19224301. الوسيط
|CitationClass=تم تجاهله (مساعدة) - Bos, GD; Pritchard, DJ; Reiman, HM; Dobyns, JH; lstrup, DM; Landon, GC (1988). "Epithelioid sarcoma. An analysis of fifty-one cases". The Journal of Bone and Joint Surgery. American Volume. 70 (6): 862–70. doi:10.2106/00004623-198870060-00011. PMID 3392084. مؤرشف من الأصل في 28 مارس 2020. الوسيط
|CitationClass=تم تجاهله (مساعدة) - Hornick, Jason L.; Dal Cin, Paola; Fletcher, Christopher D.M. (2009). "Loss of INI1 Expression is Characteristic of Both Conventional and Proximal-type Epithelioid Sarcoma". The American Journal of Surgical Pathology. 33 (4): 542–50. doi:10.1097/PAS.0b013e3181882c54. PMID 19033866. الوسيط
|CitationClass=تم تجاهله (مساعدة) - Modena, Piergiorgio; Lualdi, Elena; Facchinetti, Federica; Galli, Lisa; Teixeira, Manuel R.; Pilotti, Silvana; Sozzi, Gabriella (2005). "SMARCB1/INI1 Tumor Suppressor Gene Is Frequently Inactivated in Epithelioid Sarcomas". Cancer Research. 65 (10): 4012–9. doi:10.1158/0008-5472.CAN-04-3050. PMID 15899790. الوسيط
|CitationClass=تم تجاهله (مساعدة) - Lushnikova, Tamara; Knuutila, Sakari; Miettinen, Markku (2000). "DNA Copy Number Changes in Epithelioid Sarcoma and Its Variants: A Comparative Genomic Hybridization Study". Modern Pathology. 13 (10): 1092–6. doi:10.1038/modpathol.3880203. PMID 11048803. الوسيط
|CitationClass=تم تجاهله (مساعدة) - Nishio, Jun; Iwasaki, Hiroshi; Nabeshima, Kazuki; Ishiguro, Masako; Naumann, Sabine; Isayama, Teruto; Naito, Masatoshi; Kaneko, Yasuhiko; Kikuchi, Masahiro; Bridge, Julia (2005). "Establishment of a new human epithelioid sarcoma cell line, FU-EPS-1: Molecular cytogenetic characterization by use of spectral karyotyping and comparative genomic hybridization". International Journal of Oncology. 27 (2): 361–9. doi:10.3892/ijo.27.2.361. PMID 16010416. الوسيط
|CitationClass=تم تجاهله (مساعدة) - Lin, Lin; Hicks, David; Xu, Bo; Sigel, Jessica E; Bergfeld, Wilma F; Montgomery, Elizabeth; Fisher, Cyril; Hartke, Marybeth; Tubbs, Raymond; Goldblum, John R (2005). "Expression profile and molecular genetic regulation of cyclin D1 expression in epithelioid sarcoma". Modern Pathology. 18 (5): 705–9. doi:10.1038/modpathol.3800349. PMID 15578074. الوسيط
|CitationClass=تم تجاهله (مساعدة) - Kahali, Bhaskar; Yu, Jinlong; Marquez, Stefanie B.; Thompson, Kenneth W.; Liang, Shermi Y.; Lu, Li; Reisman, David (2014). "The silencing of the SWI/SNF subunit and anticancer gene BRM in Rhabdoid tumors". Oncotarget. 5 (10): 3316–32. doi:10.18632/oncotarget.1945. PMC 4102812. PMID 24913006. الوسيط
|CitationClass=تم تجاهله (مساعدة) - Kuhnen, Cornelius; Lehnhardt, Marcus; Tolnay, Edina; Muehlberger, Thomas; Vogt, Peter M.; Müller, Klaus-Michael (2000). "Patterns of expression and secretion of vascular endothelial growth factor in malignant soft-tissue tumours". Journal of Cancer Research and Clinical Oncology. 126 (4): 219–25. doi:10.1007/s004320050036. PMID 10782895. الوسيط
|CitationClass=تم تجاهله (مساعدة) - Martín Liberal, Juan; Lagares-Tena, Laura; Sáinz-Jaspeado, Miguel; Mateo-Lozano, Silvia; García del Muro, Xavier; Tirado, Oscar M. (2012). "Targeted Therapies in Sarcomas: Challenging the Challenge". Sarcoma. 2012: 1–13. doi:10.1155/2012/626094. PMC 3372278. PMID 22701332. الوسيط
|CitationClass=تم تجاهله (مساعدة) - Chung, Hye Won (2014). "The treatment of pazopanib on vulvar epithelioid sarcoma: A case report and review of literature". 대한산부인과학회 학술발표논문집. 100: 373. مؤرشف من الأصل في 22 يناير 2016. الوسيط
|CitationClass=تم تجاهله (مساعدة)[مصدر طبي غير موثوق به؟] - Kuhnen, C.; Tolnay, Edina; Steinau, Hans Ulrich; Voss, Bruno; Müller, Klaus-Michael (1998). "Expression of c-Met receptor and hepatocyte growth factor/scatter factor in synovial sarcoma and epithelioid sarcoma". Virchows Archiv. 432 (4): 337–42. doi:10.1007/s004280050175. PMID 9565343. الوسيط
|CitationClass=تم تجاهله (مساعدة) - Imura, Yoshinori; Yasui, Hirohiko; Outani, Hidetatsu; Wakamatsu, Toru; Hamada, Kenichiro; Nakai, Takaaki; Yamada, Shutaro; Myoui, Akira; Araki, Nobuhito; Ueda, Takafumi; Itoh, Kazuyuki; Yoshikawa, Hideki; Naka, Norifumi (2014). "Combined targeting of mTOR and c-MET signaling pathways for effective management of epithelioid sarcoma". Molecular Cancer. 13: 185. doi:10.1186/1476-4598-13-185. PMC 4249599. PMID 25098767. الوسيط
|CitationClass=تم تجاهله (مساعدة) - Soft Tissue Sarcoma Staging في موقع إي ميديسين
- DeGroot, Henry; Ellison, Bruce. "Limb Salvage Surgery for Extremity Sarcomas". مؤرشف من الأصل في 08 فبراير 2015. اطلع عليه بتاريخ 23 أبريل 2015. الوسيط
|CitationClass=تم تجاهله (مساعدة)[مصدر طبي غير موثوق به؟] - Wolf, Patrick S.; Flum, David R.; Tanas, Munir R.; Rubin, Brian P.; Mann, Gary N. (2008). "Epithelioid sarcoma: the University of Washington experience". The American Journal of Surgery. 196 (3): 407–12. doi:10.1016/j.amjsurg.2007.07.029. PMID 18436180. الوسيط
|CitationClass=تم تجاهله (مساعدة) - Chase, DR; Enzinger, FM (1985). "Epithelioid sarcoma. Diagnosis, prognostic indicators, and treatment". The American Journal of Surgical Pathology. 9 (4): 241–63. doi:10.1097/00000478-198504000-00001. PMID 4014539. مؤرشف من الأصل في 28 يناير 2020. الوسيط
|CitationClass=تم تجاهله (مساعدة) - Judson, Ian; Verweij, Jaap; Gelderblom, Hans; Hartmann, Jörg T; Schöffski, Patrick; Blay, Jean-Yves; Kerst, J Martijn; Sufliarsky, Josef; Whelan, Jeremy; Hohenberger, Peter; Krarup-Hansen, Anders; Alcindor, Thierry; Marreaud, Sandrine; Litière, Saskia; Hermans, Catherine; Fisher, Cyril; Hogendoorn, Pancras C W; dei Tos, A Paolo; van der Graaf, Winette T A (2014). "Doxorubicin alone versus intensified doxorubicin plus ifosfamide for first-line treatment of advanced or metastatic soft-tissue sarcoma: a randomised controlled phase 3 trial". The Lancet Oncology. 15 (4): 415–23. doi:10.1016/S1470-2045(14)70063-4. PMID 24618336. الوسيط
|CitationClass=تم تجاهله (مساعدة)
صور وملفات صوتية من كومنز
- بوابة طب
