ساركومة شحمية
ساركومةٌ شَحْمِيَّةٌ[1] أو غرن شحمي[1] (بالإنجليزية: Liposarcoma) هي سرطان ينشأ من الخلايا الدهنية الموجودة في الأنسجة الرخوة العميقة مثل تلك الموجودة في الفخذ والتجويف خلف الصفاق.[2] الساركومة الشحمية هي من السرطانات النادرة والتي تشبه إلى حد كبير الخلايا الدهنية أثناء فحصها تحت المجهر.[3] تكون في الغالب سرطانات كبيرة وتميل لإرسال خلايا ساتلة صغيرة والتي تمتد خارج حدود الورم.
| ساركومة شحمية | |
|---|---|
![]() صورة بالمجهر الالكتروني لساركومة شحمية مخططة صورة بالمجهر الالكتروني لساركومة شحمية مخططة | |
| معلومات عامة | |
| الاختصاص | علم الأورام |
| من أنواع | ساركومة |
العلامات والأعراض
غالباً ما يلاحظ المرضى وجود كتلة عميقة في الأنسجة الرخوة. وتظهر أعراض مثل الألم والاضطرابات الوظيفية فقط عندما يصل الورم لحجم كبير.
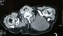
الأورام خلق الصفاق قد تتجلى علاماتها في وجود فقدان للوزن، هُزال وآلام بالبطن. قد تضغط تلك الأورام على الكليتين أو الحالبين مما قد يسبب الفشل الكلوي.
التشخيص

يتم تشخيص المرض بعد الفحص المجهري للأنسجة من خلال الخزعة أو الاستئصال. في الغالب توجد أرومة الشحمية "lipolaste" وهي عبارة عن خلايا تحتوي على سيتوبلازم ذو فجوات مفرطة العدد ونواة لامتمركزة منبعجة بسبب الفجوات.
الأنواع الفرعية
- الساركومة الشحمية جيدة التمايز
- الساركومة الشحمية المخاطية
- الساركومة الشحمية متعددة الأشكال
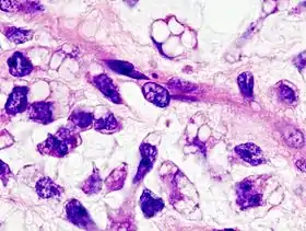
صورة مجهرية للساركومة الشحمية المخاظية. صبغة هيماتوكسيلين واليوزين.
الوبائيات
يشيع حدوث الورم في منتصف العمر وكبار السن، وتعد ثاني أنواع ساركوما الأنسجة الرخوة شيوعاً بعد ورم المنسجات الليفي الخبيث. وتحدث 2.5 حالة لكل مليون نسمة كل عام.
المجتمع والثقافة
أبرز الحالات
- تشاد براون (1961-2014)، لاعب البوكر
- ريتشارد فينمان (1918-1988)، توفي عالم الفيزياء النظرية بعد جراحة لمعالجة هذا المرض.
- روب فورد (1969-2016)، عمدة تورونتو السابق الذي توفي من الساركومة متعددة الأشكال
- هوكي جاجان (1959-2016)، لاعب كرة القدم الأمريكية السابق ومعلق الراديو للفريق
- تشارلي ديفيز، لاعب كرة القدم في فريق فيلادلفيا يونيون.
- مارك ستراند (1934-2014)، الحائز على جائزة الشاعر الأمريكي السابق والفائز بجائزة بوليتزر
انظر أيضاً
المراجع
- "Al-Qamoos القاموس - English Arabic dictionary / قاموس إنجليزي عربي". www.alqamoos.org. مؤرشف من الأصل في 01 ديسمبر 2017. اطلع عليه بتاريخ 28 نوفمبر 2017. الوسيط
|CitationClass=تم تجاهله (مساعدة); تحقق من التاريخ في:|تاريخ أرشيف=(مساعدة) - Dei Tos AP (August 2000). "Liposarcoma: new entities and evolving concepts". Ann Diagn Pathol. 4 (4): 252–66. doi:10.1053/adpa.2000.8133. PMID 10982304. مؤرشف من الأصل في 01 سبتمبر 2018. الوسيط
|CitationClass=تم تجاهله (مساعدة) - Bell, Teresa (October 2012). "What is Liposarcoma?". The Liddy Shriver Sarcoma Initiative. مؤرشف من الأصل في 09 يوليو 2018. اطلع عليه بتاريخ 22 أبريل 2015. الوسيط
|CitationClass=تم تجاهله (مساعدة); تحقق من التاريخ في:|تاريخ أرشيف=(مساعدة) - Goldstein-Rice, E (2008). "The Importance of Treatment at a Specialty Center for Sarcomas". ESUN. مؤرشف من الأصل في 10 ديسمبر 2017. الوسيط
|CitationClass=تم تجاهله (مساعدة)
- بوابة طب
.JPG.webp)