ساركومة ليفية جلدية حدبية
الساركومة الليفية الجلدية الحدبية[1](English: DFSP) هو ورم سرطانى نادر جدًّا ينشأ في طبقة الأدمة في الجلد،[2] ويُصنَّف ضمن أنواع الساركومة؛ ساركومة ليفية بالتحديد.[3] يصيب واحدًا من كل مليون شخص كل عام. ينتشر الورم بشكل بطئ جدا في الجسم ولذلك فرصه النجاة من المرض عالية وبنسبة كبيرة لا ينتشر السرطان في جميع أنحاء الجسم ولكنه ينتشر في مكانه، موضعي، ومع ذلك فانه يدمر الأنسجة الرخوة تحت الجلد بشكل كبير وقد يتحول إلى نوع شرس جدا يسمى بالانجليزية FS-DFSP و هذا النوع الأخير ينتشر بسرعة كبيرة وله القدر على الانتشار في جميع أنحاء الجسم ولكن هذا النوع نادر الحدوث.
| ساركومة ليفية جلدية حدبية | |
|---|---|
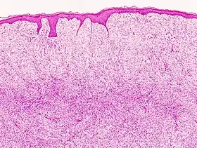
![]() صورة مجهرية للساركومة الليفية الجلدية الحدبية صورة مجهرية للساركومة الليفية الجلدية الحدبية | |
| معلومات عامة | |
| الاختصاص | علم الأورام |
| من أنواع | ساركومة ليفية |
التشخيص

غالبا في كثير من الحالات يتم التشخيص الخاطئ للمرض على انه كيس دهن أو ما شابه وعلى انه ورم حميد وذلك التشخيص الخاطئ يجعل المريض يتجاهل الورم لسنوات عديده مما يزيد من حجم الورم. يمكن عن طريق التصوير بالرنين المغناطيسى (MRI) الكشف عن وجود الأورام، وللتأكد من التشخيص يمكن أخذ عينة من الورم عن طريق إبرة أو شق جراحي وفحصها تحت الميكروسكوب.[4]
فسيولوجيا المرضية
أكثر من 90% من الحالات تكون بسبب انتقال كروموسومي بين الجين 7 و22.
العلاج
العلاج جراحي بالدرجة الأولى يتبعه علاج بالأشعة وعلاج كيميائي أحيانًا. يتم استئصال الورم مع حواف سليمة قدرها 2-4 سم.
يُستخدم الإيماتينب في العلاج، وهو مثبِّط لإنزيم كاينيز التايروسين ذو وزن جزيئي صغير.
الجراحة
يوجد نوعين من الجراحة لهذا المرض:
- جراحة موس (بالإنجليزية: Mohs surgery) تُعد جراحة موس طريقةً جراحيةً دقيقة تُستخدم لعلاج سرطان الجلد. في أثناء جراحة موس، تُزال طبقات الجلد التي تحتوي على السرطان بالتدريج ويتم فحصها، حتى تبقى فقط الأنسجة الخالية من السرطان. تُعرف جراحة موس أيضًا بجراحة موس بالتصوير المجهري. يُعد الهدف من جراحة موس هو إزالة أكبر قدر ممكن من سرطان الجلد، مع عدم إلحاق سوى الحد الأدنى من الضرر للأنسجة السليمة المحيطة.[7]
- جراحة استئصالية (بالإنجليزية: Wide local excision) يتم فيها استئصال السرطان وبعض الأنسجة السليمة المحيطة به (جراحة استئصالية مع إزالة هامش طبيعي من النسيج) وهذا يزيد من احتمال إزالة جميع الخلايا السرطانية أثناء الجراحة وتتم الجراحة في غرفة العمليات تحت تخدير كلى.
معرض الصور
غزو الورم للنسيج تحت الجلد على هيئة خلية نحل
البنية الضفيرية للورم
يتكون الورم من خلايا ليفية يافعة ومنسجات.
ترسب الهيموسيديرين أسفل الورم
صبغة مناعية إيجابية لCD34
روابط خارجية
- الساركومة الليفية الجلدية الحدبية على موقع إي ميديسن
- humpath #346 (Pathology images)
- Dermatofibrosarcoma Protuberans in the Sarcoma Learning Center
- Dermatofibrosarcoma protuberans in NIH Genetic and Rare Diseases Information Center
المراجع
- Mendenhall WM, Zlotecki RA, Scarborough MT (December 2004). "Dermatofibrosarcoma protuberans". Cancer. 101 (11): 2503–8. doi:10.1002/cncr.20678. PMID 15503305. مؤرشف من الأصل في 28 مارس 2020. الوسيط
|CitationClass=تم تجاهله (مساعدة) Review. - "Dorlands Medical Dictionary:dermatofibrosarcoma". مؤرشف من الأصل في 21 أغسطس 2010. الوسيط
|CitationClass=تم تجاهله (مساعدة) - "dermatofibrosarcoma" في معجم دورلاند الطبي
- "What is Dermatofibrosarcoma Protuberans?". مؤرشف من الأصل في 06 سبتمبر 2018. الوسيط
|CitationClass=تم تجاهله (مساعدة) - Sirvent N, Maire G, Pedeutour F (May 2003). "Genetics of dermatofibrosarcoma protuberans family of tumors: from ring chromosomes to tyrosine kinase inhibitor treatment". Genes Chromosomes Cancer. 37 (1): 1–19. doi:10.1002/gcc.10202. PMID 12661001. الوسيط
|CitationClass=تم تجاهله (مساعدة) - Patel KU, Szabo SS, Hernandez VS, et al. (February 2008). "Dermatofibrosarcoma protuberans COL1A1-PDGFB fusion is identified in virtually all dermatofibrosarcoma protuberans cases when investigated by newly developed multiplex reverse transcription polymerase chain reaction and fluorescence in situ hybridization assays". Hum. Pathol. 39 (2): 184–93. doi:10.1016/j.humpath.2007.06.009. PMID 17950782. مؤرشف من الأصل في 07 ديسمبر 2019. الوسيط
|CitationClass=تم تجاهله (مساعدة) - "جراحة موس - Mayo Clinic (مايو كلينك)". www.mayoclinic.org. مؤرشف من الأصل في 28 أبريل 2018. اطلع عليه بتاريخ 09 يونيو 2020. الوسيط
|CitationClass=تم تجاهله (مساعدة)
- بوابة طب
- بوابة علم الأحياء
_recurrence.JPG.webp)