ساركومة نقوية
الساركومة النقوية أو الورم الأخضر أو ساركومة الخلايا الحبيبية هو ورم صلب مؤلف من الأرومات النقوية.[1][2][3] الورم الأخضر هو تظاهرة خارج نقوية لابيضاض الدم النقوي الحاد؛ بعبارة أخرى هو تجمع صلب للخلايا الابيضاضية يحدث خارج نقي العظم.
| Myeloid sarcoma | |
|---|---|
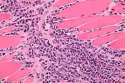
![]() صورة مجهرية للساركومة النخاعية ضمن العضلة. صبغة H&E. صورة مجهرية للساركومة النخاعية ضمن العضلة. صبغة H&E. | |
| معلومات عامة | |
| الاختصاص | علم الأورام |
| من أنواع | سرطان دموي |
مراجع
- Byrd JC, Weiss RB (April 1994). "Recurrent granulocytic sarcoma. An unusual variation of acute myelogenous leukemia associated with 8;21 chromosomal translocation and blast expression of the neural cell adhesion molecule". Cancer. 73 (8): 2107–12. doi:10.1002/1097-0142(19940415)73:8<2107::AID-CNCR2820730815>3.0.CO;2-W. PMID 7512442. الوسيط
|CitationClass=تم تجاهله (مساعدة) - Karlin L, Itti E, Pautas C, et al. (December 2006). "PET-imaging as a useful tool for early detection of the relapse site in the management of primary myeloid sarcoma". Haematologica. 91 (12 Suppl): ECR54. PMID 17194660. مؤرشف من الأصل في 07 ديسمبر 2019. الوسيط
|CitationClass=تم تجاهله (مساعدة) - Traweek ST, Arber DA, Rappaport H, Brynes RK (October 1993). "Extramedullary myeloid cell tumors. An immunohistochemical and morphologic study of 28 cases". Am. J. Surg. Pathol. 17 (10): 1011–9. doi:10.1097/00000478-199310000-00006. PMID 8372941. الوسيط
|CitationClass=تم تجاهله (مساعدة)
- بوابة طب
- بوابة علم الأحياء
في كومنز صور وملفات عن: ساركومة نقوية
This article is issued from Wikipedia. The text is licensed under Creative Commons - Attribution - Sharealike. Additional terms may apply for the media files.
