سرطانة الغدة المفترزة
سرطانة الغدة المفترزة (بالإنجليزية: Apocrine gland carcinoma) هي حالة جلدية تتميز بوجود آفة جلدية تتكون في منطقة الإبط والمنطقة الشرجية التناسلية.[1]:670

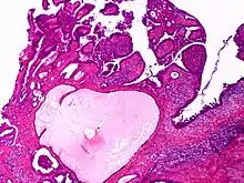
النوع الحليمي من سرطانة الغدة المفترزة
المراجع
- James, William D.; Berger, Timothy G.; et al. (2006). Andrews' Diseases of the Skin: Clinical Dermatology. Saunders Elsevier. ISBN 0-7216-2921-0. الوسيط
|CitationClass=تم تجاهله (مساعدة)
- بوابة طب
This article is issued from Wikipedia. The text is licensed under Creative Commons - Attribution - Sharealike. Additional terms may apply for the media files.