سرطانة خلية مركل
سرطان خلايا ميركل (بالإنجليزية: Merkel-cell carcinoma) هو نوع من سرطان الجلد وهو نادر وشديدة العدوانية، والذي، في معظم الحالات، يكون سببه فيروس خلية ميركل التورامي الذي اكتشفه العلماء في جامعة بيتسبرغ في عام 2008.[1] كما يعرف أيضا باسم ورم جهاز الغدد الصماء وسرطان الغدد الصم العصبية الأولية من الجلد، وسرطان الخلايا الصغيرة الأساسي من الجلد، وتربيقية سرطان الجلد.[2]
| سرطان خلايا ميركل | |
|---|---|
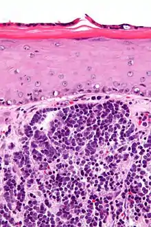
![]() صورة مجهرية لسرطان خلايا ميركل. صبغة الهيماتوكسيلين والأيوزين. صورة مجهرية لسرطان خلايا ميركل. صبغة الهيماتوكسيلين والأيوزين. | |
| معلومات عامة | |
| الاختصاص | علم الأورام |
| من أنواع | فيروس ورمي |
| الإدارة | |
| أدوية | |
سبب ما يقرب من 80٪ من سرطان خلايا ميركل هو فيروس خلية ميركل التورامي. تم دمج الفيروس متطابق بسلالة إلى خلايا سرطانية ميركل. وبالإضافة إلى ذلك، فإن الفيروس لديه طفرة معينة تظهر فقط في خلايا المصابة السرطان، لكن لم يتم ايجاده في خلايا الجلد صحي.[3] دليل مباشر على نمو الورم يأتي من البحوث التي تبين أن تثبيط إنتاج بروتينات فيروس خلية ميركل التورامي يسبب موت خلايا فيروس خلية ميركل التورامي المصابة ولكن ليس له تأثير على المرضى المصابين بسرطان خلية ميركل عن طريق الفيروس.[4][5] تظهر أورام فيروس خلية ميركل التورامي غير المصابة، التي تشكل حوالي 20٪ من سرطان خلايا ميركل، على شكل منفصل والسبب غير معروف حتى الآن.[6] لم يتم تأكيد كون أي من السرطانات الأخرى سبب هذا الفيروس. البحوث المناعية هي وسيلة واعدة لعلاج سرطان خلايا ميركل بشكل إيجابي بسبب المنشأ فيروسي لهذا السرطان. يعتبر هذا النوع من السرطان شكلا من أشكال ورم الغدد الصم العصبية. بينما المرضى الذين يعانون من ورم صغير (أقل من 2 سم) ولم يصل بعد إلى الغدد الليمفاوية لديهم معدل بقاء على قيد الحياة لمدة 5 سنوات أكثر من 80 في المئة، وبمجرد أن انتشار السرطان في الغدد الليمفاوية، تنخفض النسبة إلى نحو 50 في المئة. ما يصل إلى نصف المرضى الذين تم علاجهم على ما يبدو بنجاح (أي التي تظهر في البداية خالية من السرطان) ولكنهم عانوا بعد ذلك من تكرار المرض.[7] المراجعات الأخيرة تشهد على معدل إجمالي للبقاء على قيد الحياة لمدة 5 سنوات من حوالي 60٪ لجميع أنواع سرطان خلايا ميركل.[6]
يحدث سرطان خلايا ميركل في معظم الأحيان في الأجزاء المعرضة للشمس الوجه والرأس، والرقبة.[8]
العلامات والأعراض

سرطان خلايا ميركل يظهر عادة كشيء صلب، غير مؤلم، عقيدات (تصل إلى قطر 2 سم) أو كتلة (قطرها أقل من 2 سم). تختلف هذه الأورام ذات الألوان، الأحمر، أو الأزرق عادة في حجمها من 0.5 سم (أقل من ربع بوصة) إلى أكثر من 5 سم (2 بوصة) في قطر، وعادة تتضخم بسرعة. على الرغم من أن سرطان خلايا ميركل قد ينشأ في أي مكان تقريبا على الجسم، ينشأ نحو نصفه على المناطق المعرضة للشمس من الرأس والرقبة، وثلث على الساقين، وحوالي سدس على الذراعين. في حوالي 12٪ من الحالات، لا يمكن تحديد موقعه تشريحيا أوعضويا ("الموقع الأساسي").[9]
سرطان خلايا ميركل يميل للانتشار محليا، اختراق نسيج الدهون الكامن أسفل الجلد، مَجموعة مِن النَسيج الضام، والعضلات، وعادة تنتشر الخلايا السرطانية في التاريخ الطبيعي في وقت مبكر، في معظم الأحيان إلى الغدد الليمفاوية الإقليمية. ينتشر سرطان خلايا ميركل بقوة من خلال الأوعية الدموية، وخاصة في الكبد والرئة والدماغ، والعظام.
الأسباب

يساهم فيروس اكتشف حديثا يطلق عليه فيروس خلية ميركل التورامي بشكل مرجح في تطوير غالبية سرطان خلايا ميركل .[1][10] ما يقرب من 80٪ من سرطان خلايا ميركل وهذا الفيروس متكاملين في نمط وحيد النسل، [11][12] مشيرة إلى أن العدوى كانت موجودة في الخلية قبل أن تصبح سرطانية. لا يصاب 20٪ على الأقل من مرضى خلايا ميركل بفيروس خلية ميركل التورامي، مما يوحي بأن سرطان خلايا ميركل قد يكون له أسباب أخرى أيضا. ومن غير المعروف ما إذا كانت هذه الطفرات معينة ناتجة عن التعرض للشمس. يحدث سرطان خلايا ميركل أيضا بشكل متكرر أكثر في المرضى الذين يعانون كبت المناعة، مثل مرضى زراعة الأعضاء، مرضى الإيدز، وكبار السن، مما يشير إلى أن بدء وتطور هذا المرض هو منظم من قبل الجهاز المناعي.[13]
من المعروف أن فيروس تورامي أن تكون مسبب للسرطان في الحيوانات منذ الخمسينيات، [14] ولكن فيروس خلية ميركل التورامي هو الفيروس التورامي الأول الذي يشتبه فيه بقوة أنه يسبب الأورام في البشر. مثل فيروسات الورم أخرى، فإن معظم الناس الذين يصابون بفيروس خلية ميركل التورامي ربما لا يتطور سرطان خلايا ميركل. غير معروف حاليا ما هي الخطوات أو العوامل المشتركة الأخر المطلوبة من أجل نمو الخلايا السرطانية في سرطان خلايا ميركل.[15] التعرض للأشعة فوق البنفسجية، والذي تم العثور عليه في ضوء الشمس الطبيعي، وفي ضوء الاصطناعي الناتجة عن دباغة سرير، وربما يساهم في تطور سرطان خلايا ميركل في نسبة عالية من الحالات. يمكن أيضا أن يحدث سرطان خلايا ميركل جنبا إلى جنب مع غيره من السرطانات المرتبطة بتعرض الجلد للشمس إذا لم يكن المرضى مصابين فيروس خلية ميركل التورامي (سرطان الخلية القاعدية، سرطان الخلية الحرشفية، سرطان الخلايا الصبغية). ومن المثير للاهتمام أن معظم فيروسات فيروس خلية ميركل التورامي الذي تم الحصول عليها حتى الآن من الأورام لديهم طفرات محددة من شأنها أن تجعل الفيروس غير معدي.[16][17]
بينما الإصابة بفيروس خلية ميركل التورامي شائع في البشر، [18] مرضى سرطان خلايا ميركل الذين تحتوي أورامهم على فيروس خلية ميركل التورامي لديهم مستويات الأجسام المضادة ضد الفيروس أعلى من المصابين بالمثل البالغين الأصحاء.[19] وتشير دراسة أجريت مؤخرا على عدد كبير من المرضى من فنلندا أن الأفراد المصابين بفيروس خلية ميركل التورامي- وسرطان خلايا ميركل لديهم فرصة أفضل من المرضى المصابين بسرطان خلايا ميركل دون الإصابة فيروس خلية ميركل التورامي.[20] حين يكون فيروس خلية ميركل التورامي إيجابي قد يكون سرطان خلايا ميركل أقل عدوانية، قد تكون نتائج الدراسة المذكورة أعلاه مختلفة بشكل كبير بسبب عوامل خارجية أخرى، بما في ذلك مرحلة الورم في وقت التشخيص، وعمر المريض، أو موقع الورم وليس أي اختلاف جوهري في العدوانية المرض أو الاستجابة للعلاج.
العلاج
حيث أن سرطان خلايا ميركل غير شائع [6] ويصعب تشخيصه فإن المرضى قد يرغبوا في رأي ثان حول خطة التشخيص والعلاج قبل بدء العلاج. مع ذلك، فإن التشخيص المبكر وعلاج سرطان خلايا ميركل هي عوامل مهمة في تقليل فرصة حدوث ورم خبيث، وبعد ذلك فإنه من الصعب للغاية العلاج. عدد الدراسات التي تركز على تطوير علاج مضاد للسرطان الجديدة في تزايد مستمر، وبالتالي هناك أمل في اختراع وتواجد دواء جديد لمرضى سرطان خلايا ميركل بعيد في المستقبل القريب. على وجه الخصوص، العديد من مجموعات الدراسة يبحثون عن استراتيجيات جديدة لاستهداف فيروس خلية ميركل التورامي إما لمنع العدوى أو لمنع التسرطن الفيروسي الذي يسببه.[21]
التدخل الجراحي
الجراحة هي عادة العلاج الأول الذي يخضع له مريض سرطان خلايا ميركل. وعادة ما يظهر السرطان (الكتلة) باللون الأرجواني والأحمر، وهناك القليل ايضا للتمييز بين هذا النوع من سرطان الجلد والأنواع أخرى. هويتها عادة ما تظهر كمفاجأة بعد الجراحة والفحص الباثولوجي.
كما هو الحال في العمليات الجراحية لمعظم الأشكال الأخرى من السرطان، فمن الطبيعي للجراح إزالة جزء من الأنسجة السليمة المحيطة للورم. في حين يُعتقد أن ترك هذا الجزء قد لا تكون حاسم بقدر الإستئصال الجراحي لسرطان الجلد، تكشف الدراسات أن تكرار الإصابة بسرطان خلايا ميركل شائع إلى حد ما بالقرب من موقع الجراحة.
تتم إزالة الغدد الليمفاوية المحلية عادة إذا كان الورم أكبر من 1 سم في القطر، وذلك بسبب المخاطر العالية حيث من الممكن أن تحتوي على خلايا السرطان (نقيلة مجهرية) التي يمكن أن تتطور إلى ورم جديد أو تنتشر بشكل أكبر. في بعض الأحيان، مع ذلك، سيقوم الطبيب بأداء "خزعة للغدة الليمفاوية الأولى المتأثرة بالنقيلة" اولا. في هذا الإجراء، يقوم الطبيب بحقن صبغة أو مادة مشعة بالقرب من الورم. تدفق هذه المواد إلى الغدد الليمفاوية المجاورة، التي يتم تحديدها، وإزالتها، والتحقق من الخلايا السرطانية، مما يدل على المواقع التي هي الأكثر احتمالا لنشر السرطان. ظهر أن هذا الإجراء قد يكون مؤشرا مهم. تساعد النتائج على استخدام العلاجات المساعدة المناسبة. مع ذلك عادة فإن الجراحة وحدها غير كافية لعلاج سرطان خلايا ميركل.
العلاج الإشعاعي والعلاج الكيميائي
العلاج الإشعاعي شائع لعلاج سرطان خلايا ميركل. تستخدم مجالات كبيرة جدا من العلاج الإشعاعي وذلك لتغطية مناطق كافية من الجلد. وهذا أمر ضروري بسبب السلوك العدواني المنتشر على المستوى المحيط بالورم ومستوى الجسد ككل.
تبين أن العلاج الإشعاعي المساعد فعال في الحد من معدلات تكرار وزيادة المرضى الذين يعانون من سرطان خلايا ميركل.[8] المرضى الذين لا يعانون من الانتشار البعيد وخزعة العقدة الليمفاوية لديهم سلبية لديهم فرصة جيدة جدا عندما يتم التعمل مع المرض بكل من الجراحة والعلاج الإشعاعي (ما يقرب من 90٪ معدل البقاء على قيد الحياة لمدة خمس سنوات).
قد يستجيب نقيلي سرطان خلايا ميركل للعلاج الكيميائي وحده أو مع العلاج الإشعاعي، ولكن العلاجات الحالية المتعددة الوسائط عادة ما تكون غير علاجية. العلاج المكثف يمكن أن يكون فعالا في تقليص الورم وتحسين الفعالية عندما تكون الأورام كبيرة جدا بحيث لا يمكن إزالتها أو التي تقع في مكان إزالة ستكون صعبة أو خطرة، أو في التخفيف من العلامات والأعراض الناجمة عن الورم.
المراجع
- Feng, H.; Shuda, M.; Chang, Y.; Moore, P. S. (2008). "Clonal Integration of a Polyomavirus in Human Merkel Cell Carcinoma". Science. 319 (5866): 1096–100. doi:10.1126/science.1152586. PMC 2740911. PMID 18202256. الوسيط
|CitationClass=تم تجاهله (مساعدة) - Rapini, Ronald P.; Bolognia, Jean L.; Jorizzo, Joseph L. (2007). Dermatology: 2-Volume Set. St. Louis: Mosby. ISBN 1-4160-2999-0. الوسيط
|CitationClass=تم تجاهله (مساعدة)صيانة CS1: أسماء متعددة: قائمة المؤلفون (link) - "T antigen mutations are a human tumor-specific signature for Merkel cell polyomavirus". Proc Natl Acad Sci U S A. 105 (42): 16272–7. 2008. doi:10.1073/pnas.0806526105. PMC 2551627. PMID 18812503. الوسيط
|CitationClass=تم تجاهله (مساعدة) - "Merkel cell polyomavirus infected Merkel cell carcinoma cells require expression of viral T antigens". J Virol. 84 (14): 7064–72. 2010. doi:10.1128/jvi.02400-09. مؤرشف من الأصل في 15 يوليو 2017. الوسيط
|CitationClass=تم تجاهله (مساعدة) - Shuda M, Kwun HJ, Feng H, Chang Y, Moore PS (2011). "Human Merkel cell polyomavirus small T antigen is an oncoprotein targeting the 4E-BP1 translation regulator". J Clin Invest. 121 (9): 3623–34. doi:10.1172/jci46323. مؤرشف من الأصل في 04 يوليو 2018. الوسيط
|CitationClass=تم تجاهله (مساعدة)صيانة CS1: أسماء متعددة: قائمة المؤلفون (link) - Schrama, D.; Ugurel, S.; Becker, J. R. C. (2012). "Merkel cell carcinoma". Current Opinion in Oncology. 24 (2): 141–149. doi:10.1097/CCO.0b013e32834fc9fe. PMID 22234254. الوسيط
|CitationClass=تم تجاهله (مساعدة) - Allen PJ, Bowne WB, Jaques DP, Brennan MF, Busam K, Coit DG (2005). "Merkel cell carcinoma: prognosis and treatment of patients from a single institution". J. Clin. Oncol. 23 (10): 2300–9. doi:10.1200/JCO.2005.02.329. PMID 15800320. الوسيط
|CitationClass=تم تجاهله (مساعدة)صيانة CS1: أسماء متعددة: قائمة المؤلفون (link) - "The Role of Postoperative Radiation and Chemoradiation in Merkel Cell Carcinoma: A Systematic Review of the Literature". Front Oncol. 3: 276. November 2013. doi:10.3389/fonc.2013.00276. PMC 3827544. PMID 24294591. مؤرشف من الأصل في 08 ديسمبر 2019. الوسيط
|CitationClass=تم تجاهله (مساعدة) - Deneve JL, Messina JL, Marzban SS et al. Merkel Cell Carcinoma of Unknown Primary Origin. Ann Surg Oncol 2012 Jan 21.
- Our Viruses - MCV نسخة محفوظة 29 يناير 2017 على موقع واي باك مشين.
- Clonal Integration of a Polyomavirus in Human Merkel Cell Carcinoma | Science نسخة محفوظة 27 يوليو 2010 على موقع واي باك مشين.
- Research Links New Virus to Rare Form of Skin Cancer - The New York Times نسخة محفوظة 01 يوليو 2017 على موقع واي باك مشين.
- http://www3.interscience.wiley.com/cgi-bin/fulltext/114266344/HTMLSTART%5Bوصلة+مكسورة%5D] نسخة محفوظة 12 مايو 2020 على موقع واي باك مشين.
- Medicine: Cornering the Killer - TIME نسخة محفوظة 21 مايو 2013 على موقع واي باك مشين.
- "New virus linked to rare but lethal skin cancer". The Age. مؤرشف من الأصل في 19 يناير 2008. اطلع عليه بتاريخ 26 فبراير 2008. الوسيط
|CitationClass=تم تجاهله (مساعدة) - T antigen mutations are a human tumor-specific signature for Merkel cell polyomavirus نسخة محفوظة 22 فبراير 2016 على موقع واي باك مشين.
- Merkel cell carcinoma of the skin: pathological and molecular evidence for a causative role of MCV in oncogenesis - Sastre-Garau - 2009 - The Journal of Pathology - Wiley Onli...[وصلة مكسورة]
- PLOS Pathogens: Seroepidemiology of Human Polyomaviruses نسخة محفوظة 15 سبتمبر 2014 على موقع واي باك مشين.
- Human Merkel cell polyomavirus infection II. MCV is a common human infection that can be detected by conformational capsid epitope immunoassays - Tolstov - 2009 - Internationa...[وصلة مكسورة]
- Clinical Factors Associated With Merkel Cell Polyomavirus Infection in Merkel Cell Carcinoma نسخة محفوظة 30 يوليو 2010 على موقع واي باك مشين.
- Munde, Prashant (17 Jan 2014). "Pathophysiology of merkel cell". Journal of Oral and Maxillofacial Pathology. 17 (3): 408–412. doi:10.4103/0973-029x.125208. الوسيط
|CitationClass=تم تجاهله (مساعدة);|access-date=بحاجة لـ|url=(مساعدة)
- بوابة طب
