سرطانة عنق الرحم ذات الخلايا الزجاجية
سرطانة عنق الرحم ذات الخلايا الزجاجية هو ورم خبيث نادر يصيب عنق الرحم[1]، يسمى بهذا الاسم إذ يبدو سيتوبلازم خلاياه تحت الميكروسكوب وكأنه من الزجاج.[2]
| سرطانة عنق الرحم ذات الخلايا الزجاجية | |
|---|---|
![]() سرطانة عنق الرحم ذات الخلايا الزجاجية | |
| معلومات عامة | |
| الاختصاص | علم الأورام |
| من أنواع | سرطان عنق الرحم |
أول من وصفه جلوكسمان وشيري في 1956.[3]
الانتشار
يمثل 1-2% من سرطان عنق الرحم بأنواعه.[2]
عوامل الخطر
- يصيب النساء في سن صغيرة (متوسط العمر 41 عاماً).
- الحمل.
- فيروس الورم الحليمي البشري 16 و 18.[2]
الأعراض والعلامات
تشبه الأنواع الأخرى لسرطان عنق الرحم؛ كنزيف بعد الاتصال الجنسي وألم أثنائه فيما يعرف بعسر الجماع، وقد يكون الورم في مراحله المبكرة بلا أية أعراض.
التشخيص
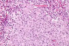
عن طريق فحص نسيج الورم باستخدام عينة، تظهر تحت الميكروسكوب بسيتوبلازم يشبه الزجاج مليء برشيح لمفي من الخلايا الحمضية (خلية حمضية) وكثيرة الانقسام الميتوزي، وباستخدام صبغة شيفحمض البيروديك [الإنجليزية] يظهر الغشاء الخلوي.[4]
العلاج
يعتمد العلاج على مرحلة الورم، في المراحل المتقدمة يتم استئصال الرحم جذرياً والمبايض وقناتي فالوب، ثم العلاج بالأشعة والعلاج الكيميائي.[2][4]، وقد وجد أن استخدام سيسبلاتين وإبيروبيسين وميتوميسين سي [الإنجليزية] فعال جداً.[5]
توقع سير المرض
كان يعتقد قديماً أنه أكثر عدوانية وأسوأ توقعاً من السرطانات الغدية والغدية الحرشفية الأخرى، لكن الدراسات الحديثة أظهرت أنه لا فرق بينهما، والعوامل التي قد تؤدي إلى توقع سيء هي كبر حجم الورم واختراقه لالستروما وانتشاره عن طريق الدم أو اللمف.[2]
التشخيص التفريقي
أنواع سرطانات عنق الرحم منخفضة التميز كالسرطانة الحرشفية غير المتقرنة كبيرة الخلايا، والسرطانة الغدية الحرشفية منخفضة التميز والسرطانة ذات الخلايا الصافية والساركوما ذات الخلايا الصافية.[6]
صور إضافية
صورة مجهرية سرطانة زجاجية الخلايا (منخفضة الوضوح)
صورة مجهرية سرطانة زجاجية الخلايا (عالية الوضوح)
المراجع
- Nasu, K.; Takai, N.; Narahara, H. (Jun 2009). "Multimodal treatment for glassy cell carcinoma of the uterine cervix". J Obstet Gynaecol Res. 35 (3): 584–7. doi:10.1111/j.1447-0756.2008.00968.x. PMID 19527406. الوسيط
|CitationClass=تم تجاهله (مساعدة) - Pathology Outlines - Cervix - Glassy cell carcinoma نسخة محفوظة 26 ديسمبر 2017 على موقع واي باك مشين.
- Glassy cell carcinoma of the cervix – a case report with review of the literature | Marczewska | Ginekologia Polska نسخة محفوظة 31 مايو 2016 على موقع واي باك مشين.
- Deshpande, AH.; Kotwal, MN.; Bobhate, SK. "Glassy cell carcinoma of the uterine cervix a rare histology. Report of three cases with a review of the literature". Indian J Cancer. 41 (2): 92–5. PMID 15318016. مؤرشف من الأصل في 21 سبتمبر 2018. الوسيط
|CitationClass=تم تجاهله (مساعدة) - Response of glassy-cell carcinoma of the cervix to cisplatin, epirubicin, and mitomycin C - The Lancet نسخة محفوظة 17 ديسمبر 2019 على موقع واي باك مشين.
- Final Diagnosis - Case 100 نسخة محفوظة 22 يوليو 2017 على موقع واي باك مشين.
- بوابة طب
- بوابة المرأة
