سرطان الرئة
سرطان الرئة أحد أمراض الرئة التي تتميز بحدوث انقسامات خلوية غير مضبوطة للخلايا الحية، وقدرة هذه الخلايا المنقسمة على غزو النسج الأخرى للرئة والانتشار فيها، إما عن طريق نمو مباشر باتجاه نسيج مجاور أو الانتقال وغزو أنسجة بعيدة في عملية يطلق عليها اسم النقيلة.[5] معظم أنواع السرطان التي تبدأ في الرئة والمعروفه باسم سرطان الرئة الأولي هي التي تستمد من سرطان الخلايا الظهارية وتسمى أيضاً سرطان خلية الشوفان، والسبب الرئيسي هو التعرض لدخان التبغ وهو السبب الرئيسي في 90% من حالات سرطان الرئة وهذه الحالات تنتسب غالبا إلى العوامل الوراثية أو غاز الرادون أو الاسبستوس (Asbestos).[6][7][8]
| سرطان الرئة | |
|---|---|
![]() سرطان الرئة | |
| معلومات عامة | |
| الاختصاص | علم الأورام |
| من أنواع | مرض رئوي |
| الأسباب | |
| الأسباب | داء الأسبست [1]، وتدخين سلبي ، ورادون ، وتلوث الهواء ، وتدخين |
| عوامل الخطر | تدخين [2] |
| المظهر السريري | |
| الأعراض | ألم الصدر [3]، وسعال [4]، ونفث الدم [4]، وإعياء [4]، وفقدان الوزن [4]، وفقدان الشهية [4]، وضيق النفس [4]، وأزيز [4] |
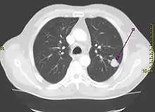
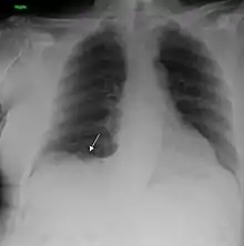
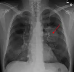
يعدّ التدخين هو السبب الأول لحالات سرطان الرئة حيث يشكل حوالي 85% كسبب رئيسي للإصابة بذلك السرطان وفقط حوالي 10-15٪ من حالات السرطان تحدث عند الأشخاص الذين لم يدخنوا أبدًا.[9][10][11][12] غالبًا ما تنتج هذه الحالات عن مجموعة من العوامل الوراثية مثل التعرض لغاز الرادون، أو الأسبستوس، أو التدخين غير المباشر، أو أشكال أخرى من تلوث الهواء. يمكن رؤية سرطان الرئة على الصور الشعاعية للصدر والتصوير المقطعي المحوسب (CT). يتم تأكيد التشخيص عن طريق الخزعة.[13]
يعدّ تجنب عوامل الخطر بما في ذلك التدخين وتلوث الهواء، هو الطريقة الأساسية للوقاية. يعتمد العلاج والنتائج طويلة المدى على نوع السرطان وعلى مرحلة السرطان (درجة الانتشار)، والصحة العامة للشخص. معظم الحالات للأسف غير قابلة للعلاج. تشمل العلاجات الشائعة: الجراحة والعلاج الكيميائي والعلاج الإشعاعي.[14][15][16]
في عام 2012 كان تعداد المصابين بسرطان الرئة حوالي 1.8 مليون شخص وأسفر عن 1.6 مليون حالة وفاة. وهذا يجعله السبب الأكثر شيوعًا للوفاة المرتبطة بالسرطان لدى الرجال والثاني الأكثر شيوعًا بين النساء بعد سرطان الثدي. يعدّ السن الأكثر شيوعًا عند التشخيص هو سن السبعين عامًا. وعموما، فإن 17.4 ٪ من الأشخاص في الولايات المتحدة الذين تم تشخيص إصابتهم بسرطان الرئة يبقون على قيد الحياة بعد خمس سنوات من تشخيصهم بالسرطان ولكن هذه النتائج مختلفة في العالم النامي.[17][18]

سرطان الرئة هو من أكثر السرطانات شيوعاً في العالم بعد سرطان الجلد، وسرطان الثدي عند النساء، وسرطان البروستات عند الرجال[19] وهو المسبّب الأكثر للوفاة بأمراض السرطان[20] الشهر العالمي لسرطان الرئة هو نوفمبر وقد وضع هذا الشهر للتوعية بمدى خطورة المرض وضرورة علاجه عند المصابين وضرورة تجنب التدخين للحفاظ على سلامة الرئتين[21]
الأسباب


يقوم السرطان بإحداث تغيير وراثي على الحمض النووي وهذه التغييرات تؤثر على وظائف الخلية الطبيعية، بما في ذلك تكاثر الخلايا، وموت الخلايا المبرمج وفشل إصلاح الحمض النووي الريبوزي منقوص الأكسجين.[22] أهم أسباب الإصابة بسرطان الرئة (والسرطان عموما) تشمل المسرطنات (مثل تلك الموجودة في دخان التبغ)، تلوث الهواء، الاشعاعات المؤينة، والعدوى الفيروسية. وهذا التعرض التراكمي لأسباب التغيرات إلى الحامض النووي في أنسجه بطانة القصبات من الرئتين (الظهارة الشعب الهوائية). كما يصبح أكثر الأنسجة التّالفة، في نهاية المطاف يتطور سرطان الرئة.[5]
من أهم تلك الاسباب ما يلي:
التدخين
يعدّ التّدخين، وخاصّة السّجائر، المساهم الرّئيسي في الإصابة بسرطان الرئة إلى حدّ بعيد. في الولايات المتحدة، تشير التقديرات إلى أنّ التّدخين يتسبّب في 87 ٪ من حالات سرطان الرئة (90 ٪ عند الرجال و 85 ٪ عند النساء). خطر الإصابة بسرطان الرئة عند الذّكور المدخّنين يمثّل 17,2 ٪، أمّا عند الإناث المدخّنات، فالخطر هو 11,6 ٪.[23][24]
هذا الخطر أقلّ من ذلك بكثير عند غير المدخّنين : 1,3 ٪ عند الرجال و1،4 ٪ عند النساء.[9][25]
دخان السّجائر يحتوى على أكثر من 60 مسرطنات معروفة مثل النظائر المشعّة من الرادون سلسلة الاضمحلال، والبنزوبيرين.. بالإضافة إلى ذلك، يبدو أن النّيكوتين يؤدّي إلى كساد الاستجابة المناعيّة للتطوّرات الخبيثة في النسيج. طول وقت تدخين الشّخص وكذلك الكمّيّة المدخّنة تزيد من فرص الإصابة بسرطان الرئة. إذا توقّف الشّخص عن التّدخين، هذه الفرص تتناقص باطراد إذ أنّ الضّرر بالرّئتين يتصلّح كما أنّ الجسيمات الملوّثة تبدأ بالزّوال تدريجيا.[26][27][28]
في العالم المتقدّم، ما يقرب من 90 ٪ من الوفيات بسرطان الرئة تنجم عن التّدخين. إضافة إلى ذلك، هناك دلائل على أنّه يمكن توقّع أسهل وأدقّ للإصابة بسرطان الرّئة عند غير المدخّنين ممّا هو عليه عند المدخنين كما أنّ المرضى الّذين يدخّنون في وقت التّشخيص يكون لديهم فرص أقلّ للبقاء على قيد الحياة من الّذين يقلعون عن التّدخين.[29][30][31]
التدخين السلبي هو استنشاق الدخان من شخص آخر بالتدخين هو سبب للإصابة بسرطان الرئة لدى غير المدخنين. ويمكن تصنيف المدخن السلبي كالأشخاص الذين يعيشون أو يعملون مع المدخن. الدراسات من الولايات المتحدة، أوروبا، المملكة المتحدة، وأستراليا قد أظهرت باستمرار خطر زيادة كبيرة بين أولئك الذين يتعرضون للتدخين السلبي.[32][33] أولئك الذين يعيشون مع شخص يدخن لديهم زيادة في الخطر 20-30٪ في حين أن أولئك الذين يعملون في بيئة مع دخان من جهة ثانية يكون 16-19٪ زيادة في الخطر.التحقيقات تشير إلى أن الدخان الجانبي أكثر خطورة من التدخين المباشر. التدخين السلبي يسبب حوالي 3,400 حالة وفاة كل عام في الولايات المتحدة.[34][35][36]
غاز الرادون
غاز الرادون هو هو غاز خامل عديم اللون والطعم والرائحة، كما أنه من العناصر المشعة. الرادون خامل كيميائيا وغير قابل للاشتعال وسام جدا وهو ثاني أكثر أسباب سرطان الرئة بعد التدخين. وهو منتج طبيعى من اليورانيوم، وهو سبب معروف لسرطان الرئة، مع ما يقدر بنحو 12٪ من وفيات سرطان الرئة التعرض إلى غاز الرادون.[37][38][39][40]
الأسبست
خطورة الأسبست تكمن في نوع المواد المعدنية الموجودة فيه وتعتمد تأثيراته الصحية على المدة الزمنية التي يتعرض لها الإنسان عن طريق الإشعاع وكذلك على عدد الألياف وطولها ومتانتها، وتبين وجود علاقة وثيقة بين المدة الزمنية للتعرض لألياف الأسبست وشدة التعرض وبين التأثيرات السلبية على صحة الإنسان، إذ تظهر أعراض المرض بعد التعرض المزمن لألياف الأسبست الذي قد يصل إلى أكثر من 20 سنة. أما بالنسبة للتعرض الحاد توجد دراسات تظهر تأثيراته على الإنسان.
وداء الأسبست مرض رئوي مزمن يصيب الرئتين نتيجة استنشاق ألياف الأسبست التي تتميز بدقتها الشديدة، والتي تعمل على خفض كفاءة الرئتين والجهاز التنفسي بشكل عام حيث يحدث اتصال مباشر بين الألياف والخلايا في الرئة ما يؤدي إلى تحول خبيث لهذه الخلايا، وبالتالي ينتج عن ذلك سرطان الرئة، ولوحظ أن المدخنين أكثر عرضة للإصابة بهذا المرض الذي تكمن خطورته في أن أعراضه تظهر بعد مرور 15 إلى 20 سنة.
وقد أصدرت منظمة العمل الدولية الاتفاقية رقم 162 لسنة 1986 في دورتها رقم 92 التي تعرف باسم «الحرير الصخري» وتضمنت حظر استخدام هذه المادة بجميع أشكالها والاستعاضة عنها بمواد أخرى ومنتجات أخرى عديمة الضرر أو أقل ضررا كما وضعت هذه الاتفاقية استثناءات من الحظر في حالات معينة حددتها بشروط اتخاذ إجراءات وتدابير صارمة تضمن عدم تعرض العمال للخطر.[11][41][42]
تلوث الهواء
يُعَرّف ملوث الهواء بأنه أي مادة في الهواء يمكن أن تسبب الضرر للإنسان والبيئة وخاصة الجسيمات المادية والتي يُشار إليها باسم الدقائق المادية Particulate Matter (PM) أو الجسيمات المادية الناعمة. وهذه المواد عبارة عن جسيمات بالغة الصغر قد تكون صلبة أو سائلة أو عالقة في الغاز. وفي المقابل، نجد أن مصطلح الأيروسول (دقائق فوق مجهرية من سائل أو صلب معلقة في الغاز) يشير إلى الجسيمات المادية والغاز معًا. ومصادر هذه الجسيمات قد تكون ناتجة عن النشاط البشري أو طبيعية. فبعض الجسيمات المادية توجد بشكل طبيعي، حيث تنشأ من البراكين أو العواصف الترابية أو حرائق الغابات والمراعي أو الحياة النباتية أو رذاذ البحر. أما الأنشطة البشرية مثل حرق الوقود الحفري في السيارات ومحطات توليد الطاقة الكهربائية والعمليات الصناعية المختلفة، فقد تساعد أيضًا في تكوين كميات كبيرة من الرذاذ المحتوي على الجسيمات المادية. وعلى مستوى الكرة الأرضية، نجد أن كميات الأيروسول الناتج عن الأنشطة البشرية يمثل حاليًا ما يقرب من 10 في المائة من الكمية الكلية للأيروسول الموجود في غلافنا الجوي. وجدير بالذكر، أن زيادة نسبة الجسيمات المادية الناعمة العالقة في الهواء عادة ما تكون مصحوبة بمخاطر صحية مثل الإصابة بأمراض القلب وتعطيل وظائف الرئة، بالإضافة إلى سرطان الرئة.[9][43][44][45][46]
أسباب أخرى
- الإصابة بالتليّف الرئوي.[47]
- الخضوع للعلاج بالإشعاعات.
- الإصابة بأنواع أخرى من السرطان، مثل: سرطان الغدد الليمفاوية، وانتقاله للرئتين.
- وجود عامل وراثي، يكون فيه تاريخ عائلي للإصابة بسرطان الرئة.
- تناول المشروبات الكحولية.
- التعرّض المستمر للمواد المسرطنة، مثل: دخان الفحم، والغازات الناتجة عن احتراق الأخشاب، وغازات الأفران، وغازات التدفئة.
- الإصابة بمرض متلازمة نقص المناعة المكتسبة " الإيدز".
الأعراض
تشمل أعراض سرطان الرئة أعراض تنفسية كالسعال، نفث الدم، الأزيز، و ضيق النفس. كما أنه قد يسبب أعراض عامة كنقص الوزن، الضعف، الحمى، و تعجر الأصابع. وإذا ما ضغط الورم على عضو أو جسم مجاور له فإنه من الممكن أن يسبب ألم في الصدر، آلام العظم، متلازمة الوريد الأجوف العلوي، أو عسر البلع. سرطان الرئة في بدايته ليس بالضرورة أن يسبب ألماً أو غيره من الأعراض، وهذا ما يجعل تشخيصه متأخراً في معظم الحالات.
ما يقرب من 40٪ من حالات سرطان الرئة من النوع الغدي، التي تنشأ عادة في أنسجة الرئة المحيطية وترتبط معظم حالاتها بالتدخين. سرطان الرئة الغدي هو الشكل الأكثر شيوعاً من سرطان الرئة. نوع فرعي من غدية، bronchioloalveolar، هو أكثر شيوعاً في الإناث المدخنات وربما الاستجابات مختلفة للعلاج.
يشكل سرطان حرشفي الخلايا حوالي 30٪ من سرطانات الرئة. تشير الدراسات إلى أنها عادة ما تحدث بالقرب من الشعب الهوائية الرئيسية. عادة ما يتم العثور على تجاويف في منتصف الأورام الكبيرة بعد موت الخلايا فيها.
سرطان الخلايا الصغيرة يشكل نوع آخر من سرطان الرئة. يتفرد هذا النوع بإفراز عدد من الهرمونات مما يؤدي إلى متلازمة مصاحبة للورم.
حوالي 9٪ من سرطانات الرئة سرطان الخلايا الكبيرة. وسميت بهذا الاسم لأن هذه الخلايا السرطانية كبيرة، مع السيتوبلازم الزائدة، ونوى كبيرة الأنوية.
التشخيص

يعتمد تشخيص الإصابة بسرطان الرئة على قيام الطبيب المختص بمجموعة من الفحوصات، ومن هذه الفحوصات والاختبارات ما يأتي:
- الأشعة السينية[7]
- مسح مقطعي (الأشعة المقطعية)[48]
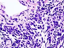
- التشخيص المختبري بعد أخذ عينة من الورم[49]
- الفحص الجسدي الذي يقوم على سماع صوت الرئتين والصدر.
- فحص الدم[50]
- التصوير بالموجات فوق الصوتية
- اختبار وظائف الرئة (Pulmonary Function Tests).[51]

التصنيف

يقسم سرطان الرئة إلى قسمين وهما:
- سرطان الرئة ذو الخلايا الغير صغيرة (Non Small Cell Lung Cancer - NSCLC).[48][53][54]
- سرطان الرئة ذو الخلايا الصغيرة (Small Cell Lung Cancer).[55]
يقسم سرطان الرئة ذو الخلايا الغير صغيرة إلى أربعة مراحل وهم:
- المرحلة الأولى - عندما يكون متواجد ومحدود فقط داخل الرئة أو الرئتين وغير منتشر إلى غدد ليمفاوية أو إلى أعضاء أخرى، وتعتبر هذه المرحلة ذات أفضل نسبة شفاء من بين المراحل.
- المرحلة الثانية - عندما ينتشر الورم عبر النقائل (metastasis) إلى غدد لمفاوية مجاورة.
- المرحلة الثالثة - عند انتشار الورم إلى غدد لمفاوية بعيدة.
- المرحلة الرابعة والأخيرة - تعتبر أخطر مرحلة وهي عند انتشار الورم إلى أعضاء اخرى مثل الدماغ، العظام، والكبد.
يتم تصنيف سرطان الرئة ذو الخلايا الصغيرة إلى مرحلتين:
- سرطان الرئة ذو الخلايا الصغيرة المحدود (Limited): المحدود في جانب واحد من الصدر.
- سرطان الرئة ذو الخلايا الصغيرة الواسع (Extensive): حيث ينتشر سرطان الرئة إلى جانبي الصدر أو إلى أعضاء بعيدة بالنقائل.
| النوع النسيجي | النسبة |
|---|---|
| جميع الأنواع | 66.9 |
| سرطان الخلايا الغدية | 22.1 |
| سرطان الخلايا الحرشفية | 14.4 |
| سرطان الخلايا الصغيرة | 9.8 |

_by_core_needle_biopsy.jpg.webp)
التصنيف المرحلي الدولي لسرطان الرئة (TNM)
تصنيف الورم والعقد والنقائل TNM (بالإنجليزية: TNM Classification) نظام طبي يصنف الورم أو السرطان على حسب حجمه وانتشاره في أعضاء الجسم. يعتمد النظام على قياس حجم الورم والبحث عن الطريق الفحوصات المختبرية والتصويرية على انتشار المرض في العقد الليمفاوية وأعضاء الجسم.
والاحرف TNM ترمز للتالي
- T: الورم بالأنكليزية.و يعبر عن حجم الورم ويختلف تقسيم القياس حسب نوع ومكان الورم.
- N: يشمل التقسيم عدد وانتشار الورم في العقد الليمفاوية
- M: انبثاث الورم في أعضاء الجسم
- ويضع الحرف x عندما يصعب وضع الورم في أي من التقسيمات السابقة.
يصنف سرطان الرئة في أربع مراحل سريرة وفقاً لحالة الورم البدئي primary tumor - T وحالة العقد اللمفاوية regional lymphnodes - N وحالة الأجهزة المختلفة distant metastasis، كما يعدّ هذا التصنيف أساساً ضرورياً لاختيار الطريقة العلاجية المناسبة والإنذار المستقبلي:
|
|
| |||||||||||||||||||||||||||||||||||||||||||||||||||||||||||||||||||||||||||||||||||||||||||||||||
| TNM | المجموعة |
|---|---|
| T1a–T1b N0 M0 | IA |
| T2a N0 M0 | IB |
| T1a–T2a N1 M0 | IIA |
| T2b N0 M0 | |
| T2b N1 M0 | IIB |
| T3 N0 M0 | |
| T1a–T3 N2 M0 | IIIA |
| T3 N1 M0 | |
| T4 N0–N1 M0 | |
| N3 M0 | IIIB |
| T4 N2 M0 | |
| M1 | IV |
- المراحل المختلفه لسرطان الرئة
مرحلة IA و IB من سرطان الرئة
المرحلة AII من سرطان الرئة
المرحلة IIB من سرطان الرئة
المرحلة AIII من سرطان الرئة
المرحلة IIIA من سرطان الرئة
المرحلة IIIA من سرطان الرئة
المرحلة IIIB من سرطان الرئة
المرحلة IIIB من سرطان الرئة
المرحلة الرابعة من سرطان الرئة
معدلات البقاء على قيد الحياة بعد الإصابة بالسرطان
من بين جميع المصابين بسرطان الرئة في الولايات المتحدة يعيش حوالي 16.8 ٪ لمدة لا تقل عن خمس سنوات بعد التشخيص.[58] في إنجلترا وويلز، بين عامي 2010 و 2011، قدر معدل البقاء على قيد الحياة بعد الإصابة بسرطان الرئة لمدة خمس سنوات بنسبة 9.5 ٪. ولكن النتائج تعتبر أسوأ بشكل عام في العالم النامي.[59] غالباً ما يكون السرطان في مرحلة متأخرة عند التشخيص. حوالي 30-40 ٪ من حالات سرطان الرئة ذو الخلايا الغير صغيرة - NSCLC تكون في المرحلة الرابعة، و 60 ٪ من سرطان الرئة ذو الخلايا الصغيرة - SCLC تكون في المرحلة الرابعة.[60] تشير البيانات الإنجليزية إلى أن حوالي 70٪ من المرضى يبقون على قيد الحياة في السنة الأولى عند تشخيصهم في المرحلة الأولى من السرطان، لكن هذا لا يتعدى 14٪ فقط بالنسبة للمصابين في المراحل المتأخرة من السرطان.[61][62]
تشمل الأعراض بالنسبة لحالات سرطان الرئة ذو الخلايا الغير صغيرة NSCLC وجود أعراض رئوية، وحجم الورم يكون كبيراً (> 3 سم)، ودرجة الانتشار (المرحلة) والانبثاث إلى عدة الغدد الليمفاوية تكون أكبر من النوع الأخر. كما يحدث انخفاض الوزن بنسبة تزيد عن 10٪. بينما تشمل الأعراض بالنسبة لحالات سرطان الرئة ذو الخلايا الصغيرة - SCLC ضعف الأداء والجنس ومشاكل الجهاز العصبي المركزي ومشاكل الكبد في وقت التشخيص.[63][64]
| المرحلة السريرية | البقاء على قيد الحياة لمدة خمس سنوات بعد التشخيص (٪) | |
|---|---|---|
| سرطان الرئة ذو الخلايا الغير صغيرة | سرطان الرئة ذو الخلايا الصغيرة | |
| IA | 50 | 38 |
| IB | 47 | 21 |
| IIA | 36 | 38 |
| IIB | 26 | 18 |
| IIIA | 19 | 13 |
| IIIB | 7 | 9 |
| IV | 2 | 1 |
بالنسبة لحالات سرطان الرئة ذو الخلايا الغير صغيرة NSCLC، يتم تحقيق أفضل تشخيص بالاستئصال الجراحي الكامل للمرحلة IA، وتصل نسبة البقاء على قيد الحياة إلى 70٪ لمدة خمس سنوات. أما بالنسبة للأشخاص الذين يعانون من سرطان الرئة ذو الخلايا الصغيرة SCLC لديهم معدل بقاء 1% لمدة خمس سنوات.[65][66]
وبائيات

يعدّ سرطان الرئة في جميع أنحاء العالم هو السرطان الأكثر شيوعاً بين الرجال من حيث الإصابة والوفيات على حد سواء، وبين النساء يعدّ هو ثالث أعلى نسبة وهو الثاني بعد سرطان الثدي في معدل الوفيات. في عام 2012، كان هناك 1.82 مليون حالة جديدة في جميع أنحاء العالم، و 1.56 مليون حالة وفاة بسبب سرطان الرئة وهو ما يمثل 19.4 ٪ من جميع الوفيات الناجمة عن السرطان. أعلى المعدلات كانت في أمريكا الشمالية وأوروبا وشرق آسيا، مع أكثر من ثلث الحالات الجديدة في الصين في ذلك العام. بينما كانت معدلات أفريقيا وجنوب آسيا أقل بكثير.[67]
الشريحة السكانية الأكثر عرضة للإصابة بسرطان الرئة هي الأشخاص الذين تزيد أعمارهم عن 50 عامًا والذين لديهم تاريخ من التدخين.[68] على عكس معدل وفيات الرجال - الذي بدأ يتراجع منذ أكثر من 20 عامًا، ارتفعت معدلات وفيات سرطان الرئة للنساء خلال العقود الماضية. في الولايات المتحدة، يبلغ خطر الإصابة بسرطان الرئة على مدار العمر 8٪ لدى الرجال و 6٪ عند النساء.[69]
لكل 3 إلى 4 ملايين سيجارة مدخنة يمكن أن تسبب الوفاة بسبب سرطان الرئة.[70] يتزايد دور التدخين السلبي كعامل خطر لسرطان الرئة مما أدى إلى تدخلات سياسية لتقليل التعرض غير المرغوب فيه لغير المدخنين لدخان التبغ لدى الآخرين.[71][72]
في الولايات المتحدة، تعتبر نسبة الإصابة بسرطان الرئة أعلى لدى كل من الرجال السود والنساء السود. معدلات سرطان الرئة هي حاليا أقل في البلدان النامية. ولكن مع زيادة التدخين في البلدان النامية، من المتوقع أن ترتفع المعدلات في السنوات القليلة المقبلة، لا سيما في الصين والهند.[73][74]
في الولايات المتحدة، تعتبر نسبة قدامى المحاربين العسكريين هي أعلى نسبة لسرطان الرئة بحوالي 25-50 ٪ في المقام الأول بسبب ارتفاع معدلات التدخين. خلال الحرب العالمية الثانية والحرب الكورية، لعب الأسبستوس دورًا هاماً أيضًا في زيادة نسبة الإصابة بالسرطان.[75][76][77]
سرطان الرئة هو ثالث أكثر السرطانات شيوعا في المملكة المتحدة[78] (حوالي 46,400 شخص تم تشخيص إصابتهم بالمرض في عام 2014)[79] وهو السبب الأكثر شيوعًا للوفاة المرتبطة بالسرطان (حوالي 35,900 ماتوا في عام 2014).[80][81][82]


تاريخ المرض
كان سرطان الرئة غير شائع قبل ظهور تدخين السجائر.[83] لم يعترف حتى كمرض متميز حتى عام 1761.[83][84] تم وصف الجوانب المختلفة لسرطان الرئة أكثر في عام 1810 حيث شكلت أورام الرئة الخبيثة فقط 1 ٪ من جميع السرطانات التي شوهدت في تشريح الجثة في عام 1878، لكنها ارتفعت إلى 10-15 ٪ بحلول أوائل 1900. بلغ عدد الحالات في الأدبيات الطبية حوالي 374 حالة فقط في جميع أنحاء العالم في عام 1912 ولكن عند مراجعة عمليات التشريح أظهرت أن الإصابة بسرطان الرئة قد ارتفعت من 0.3٪ في عام 1852 إلى 5.66٪ في عام 1952.[85][86] في ألمانيا في عام 1929، أدرك الطبيب فريتز ليكيت العلاقة بين التدخين وسرطان الرئة.[87] كانت دراسة الأطباء البريطانيين، التي نُشرت في الخمسينات من القرن العشرين أول دليل وبائي صلب للصلة بين سرطان الرئة والتدخين.[88] ونتيجة لذلك، في عام 1964، أوصى الجراحين في الولايات المتحدة المدخنين بإيقاف التدخين.[89][90]
تم التعرف على أخطار غاز الرادون لأول مرة بين عمال المناجم في الجبال في ساكسونيا.[91][92] كانت هذه المناجم غنية باليورانيوم مع الراديوم. أُصيب عمال المناجم بأمراض الرئة، وتم التعرف عليها في نهاية المطاف على أنها سرطان الرئة في سبعينيات القرن التاسع عشر. على الرغم من هذا الاكتشاف، استمر التعدين في الخمسينيات، بسبب طلب اتحاد الجمهوريات الاشتراكية السوفياتية على اليورانيوم. تم تأكيد الرادون كسبب لسرطان الرئة في الستينات.[91][93]
تم إجراء أول استئصال رئوي ناجح لسرطان الرئة في عام 1933. تم استخدام العلاج الإشعاعي منذ أربعينيات القرن العشرين.[94][95] كان العلاج الإشعاعي الجذري، المستخدم في البداية في الخمسينات من القرن العشرين، محاولة لاستخدام جرعات إشعاعية أكبر لدى المرضى المصابين بسرطان الرئة في مرحلة مبكرة نسبيا، ولكنهم كانوا غير مؤهلين لإجراء الجراحة.[96] في عام 1997، شوهد العلاج الإشعاعي المتسارع المستمر كشئ أكثر فعالية مقارنة بالعلاج الإشعاعي الراديكالي التقليدي.[97] مع سرطان الرئة ذو الخلايا الصغيرة، كانت المحاولات الأولية في الستينيات عند الاستئصال الجراحي والعلاج الإشعاعي الراديكالي غير ناجحة. في السبعينات، تم تطوير أنظمة العلاج الكيميائي الناجحة.[98][99][100]
وفيات بسبب هذا المرض
العلاج
علاج سرطان الرئة يعتمد على نوع الخلية السرطانية، مدى انتشاره وآداء المريض. العلاجات الشائعة تتضمّن الرعاية لتخفيف الألم، الجراحة، العلاج الكيميائي والعلاج الإشعاعي.[101]
ليس كل سرطانات الرئة مناسبة للجراحة. حيث تعتبر ( مرحلة السرطان وموقعه ونوع الخلية ) من العوامل الهامة المحددة.[102][103][104]
انظر أيضًا
مصادر
- http://www.asbestos.com/asbestosis/
- https://pubmed.ncbi.nlm.nih.gov/27543155
- الصحة في بوبمد: https://www.ncbi.nlm.nih.gov/pubmedhealth/PMH0004529
- الصحة في بوبمد: https://www.ncbi.nlm.nih.gov/pubmedhealth/0004529
- "Lung Carcinoma: Tumors of the Lungs". Merck Manual Professional Edition, Online edition. مؤرشف من الأصل في 16 أغسطس 2007. اطلع عليه بتاريخ 15 أغسطس 2007. الوسيط
|CitationClass=تم تجاهله (مساعدة) - Lu C, Onn A, Vaporciyan AA, et al. (2010). "Chapter 78: Cancer of the Lung". Holland-Frei Cancer Medicine (الطبعة 8th). People's Medical Publishing House. ISBN 978-1-60795-014-1. الوسيط
|CitationClass=تم تجاهله (مساعدة) - Collins LG, Haines C, Perkel R, Enck RE (يناير 2007). "Lung cancer: diagnosis and management". American Family Physician. 75 (1): 56–63. PMID 17225705. مؤرشف من الأصل في 29 سبتمبر 2007. الوسيط
|CitationClass=تم تجاهله (مساعدة) - Falk S, Williams C (2010). "Chapter 1". Lung Cancer—the facts (الطبعة 3rd). Oxford University Press. صفحات 3–4. ISBN 978-0-19-956933-5. مؤرشف من الأصل في 31 يناير 2020. الوسيط
|CitationClass=تم تجاهله (مساعدة) - Alberg AJ, Brock MV, Samet JM (2016). "Chapter 52: Epidemiology of lung cancer". Murray & Nadel's Textbook of Respiratory Medicine (الطبعة 6th). Saunders Elsevier. ISBN 978-1-4557-3383-5. الوسيط
|CitationClass=تم تجاهله (مساعدة) - Carmona, RH (27 يونيو 2006). "The Health Consequences of Involuntary Exposure to Tobacco Smoke: A Report of the Surgeon General". U.S. Department of Health and Human Services. مؤرشف من الأصل في 15 فبراير 2017.
Secondhand smoke exposure causes disease and premature death in children and adults who do not smoke.
الوسيط|CitationClass=تم تجاهله (مساعدة) Retrieved 2014-06-16 - O'Reilly KM, Mclaughlin AM, Beckett WS, Sime PJ (مارس 2007). "Asbestos-related lung disease". American Family Physician. 75 (5): 683–8. PMID 17375514. مؤرشف من الأصل في 29 سبتمبر 2007. الوسيط
|CitationClass=تم تجاهله (مساعدة) - "Tobacco Smoke and Involuntary Smoking" (PDF). IARC Monographs on the Evaluation of Carcinogenic Risks to Humans. WHO International Agency for Research on Cancer. 83. 2004. مؤرشف من الأصل (PDF) في 13 أغسطس 2015.
There is sufficient evidence that involuntary smoking (exposure to secondhand or 'environmental' tobacco smoke) causes lung cancer in humans. ... Involuntary smoking (exposure to secondhand or 'environmental' tobacco smoke) is carcinogenic to humans (Group 1).
الوسيط|CitationClass=تم تجاهله (مساعدة) - "Non-Small Cell Lung Cancer Treatment –Patient Version (PDQ®)". NCI. 12 مايو 2015. مؤرشف من الأصل في 29 فبراير 2016. اطلع عليه بتاريخ 5 مارس 2016. الوسيط
|CitationClass=تم تجاهله (مساعدة) - "Surveillance, Epidemiology and End Results Program". National Cancer Institute. مؤرشف من الأصل في 4 مارس 2016. اطلع عليه بتاريخ 5 مارس 2016. الوسيط
|CitationClass=تم تجاهله (مساعدة) - World Cancer Report 2014. World Health Organization. 2014. صفحات Chapter 1.1. ISBN 92-832-0429-8. الوسيط
|CitationClass=تم تجاهله (مساعدة) - World Cancer Report 2014. World Health Organization. 2014. صفحات Chapter 5.1. ISBN 92-832-0429-8. الوسيط
|CitationClass=تم تجاهله (مساعدة) - Chapman S, Robinson G, Stradling J, West S, Wrightson J (2014). "Chapter 31". Oxford Handbook of Respiratory Medicine (الطبعة 3rd). Oxford University Press. صفحة 284. ISBN 978-0-19-870386-0. الوسيط
|CitationClass=تم تجاهله (مساعدة) - Majumder S (2009). Stem cells and cancer (الطبعة Online-Ausg.). New York: Springer. صفحة 193. ISBN 978-0-387-89611-3. مؤرشف من الأصل في 18 أكتوبر 2015. الوسيط
|CitationClass=تم تجاهله (مساعدة) - سرطان الرئة - أحسن اونكولوجيست نسخة محفوظة 23 يوليو 2017 على موقع واي باك مشين.
- tabib نسخة محفوظة 10 يوليو 2011 على موقع واي باك مشين.
- "الأيام الصحية لعام 2019 - الشهر العالمي لسرطان الرئة". www.moh.gov.sa. مؤرشف من الأصل في 22 أكتوبر 2019. اطلع عليه بتاريخ 22 أكتوبر 2019. الوسيط
|CitationClass=تم تجاهله (مساعدة) - Brown KM, Keats JJ, Sekulic A, et al. (2010). "Chapter 8". Holland-Frei Cancer Medicine (الطبعة 8th). People's Medical Publishing House USA. ISBN 978-1-60795-014-1. الوسيط
|CitationClass=تم تجاهله (مساعدة) - Kumar V, Abbas AK, Aster JC (2013). "Chapter 5". Robbins Basic Pathology (الطبعة 9th). Elsevier Saunders. صفحة 199. ISBN 978-1-4377-1781-5. الوسيط
|CitationClass=تم تجاهله (مساعدة) - Hecht SS (2012). "Lung carcinogenesis by tobacco smoke". International Journal of Cancer. 131 (12): 2724–2732. doi:10.1002/ijc.27816. PMC 3479369. PMID 22945513. الوسيط
|CitationClass=تم تجاهله (مساعدة) - Peto R, Lopez AD, Boreham J, et al. (2006). Mortality from smoking in developed countries 1950–2000: Indirect estimates from National Vital Statistics. Oxford University Press. ISBN 0-19-262535-7. مؤرشف من الأصل في 5 سبتمبر 2007. الوسيط
|CitationClass=تم تجاهله (مساعدة) - "Health effects of exposure to environmental tobacco smoke. California Environmental Protection Agency". Tobacco Control. 6 (4): 346–53. 1997. doi:10.1136/tc.6.4.346. PMC 1759599. PMID 9583639. مؤرشف من الأصل في 8 أغسطس 2007. الوسيط
|CitationClass=تم تجاهله (مساعدة) - "State-specific prevalence of current cigarette smoking among adults, and policies and attitudes about secondhand smoke--United States, 2000". MMWR. Morbidity and Mortality Weekly Report. CDC. 50 (49): 1101–6. ديسمبر 2001. PMID 11794619. مؤرشف من الأصل في 25 يونيو 2017. الوسيط
|CitationClass=تم تجاهله (مساعدة) - Alberg AJ, Ford JG, Samet JM (September 2007). "Epidemiology of lung cancer: ACCP evidence-based clinical practice guidelines (2nd edition)". Chest. American College of Chest Physicians. 132 (3 Suppl): 29S–55S. doi:10.1378/chest.07-1347. PMID 17873159. مؤرشف من الأصل في 29 مارس 2020. اطلع عليه بتاريخ أكتوبر 2020. الوسيط
|CitationClass=تم تجاهله (مساعدة); تحقق من التاريخ في:|تاريخ الوصول=(مساعدة) - Jaakkola MS, Jaakkola JJ (أغسطس 2006). "Impact of smoke-free workplace legislation on exposures and health: possibilities for prevention". The European Respiratory Journal. 28 (2): 397–408. doi:10.1183/09031936.06.00001306. PMID 16880370. مؤرشف من الأصل في 29 يناير 2013. الوسيط
|CitationClass=تم تجاهله (مساعدة) - Parkin DM (December 2011). "2. Tobacco-attributable cancer burden in the UK in 2010". British Journal of Cancer. 105 Suppl 2 (Suppl. 2): S6–S13. doi:10.1038/bjc.2011.475. PMC 3252064. PMID 22158323. الوسيط
|CitationClass=تم تجاهله (مساعدة) - Taylor R, Najafi F, Dobson A (أكتوبر 2007). "Meta-analysis of studies of passive smoking and lung cancer: effects of study type and continent". International Journal of Epidemiology. 36 (5): 1048–59. doi:10.1093/ije/dym158. PMID 17690135. مؤرشف من الأصل في 5 أغسطس 2011. الوسيط
|CitationClass=تم تجاهله (مساعدة) - Owen KP, Sutter ME, Albertson TE (February 2014). "Marijuana: respiratory tract effects". Clinical Reviews in Allergy & Immunology. 46 (1): 65–81. doi:10.1007/s12016-013-8374-y. PMID 23715638. الوسيط
|CitationClass=تم تجاهله (مساعدة) - Joshi M, Joshi A, Bartter T (March 2014). "Marijuana and lung diseases". Current Opinion in Pulmonary Medicine. 20 (2): 173–9. doi:10.1097/mcp.0000000000000026. PMID 24384575. الوسيط
|CitationClass=تم تجاهله (مساعدة) - Schick S, Glantz S (December 2005). "Philip Morris toxicological experiments with fresh sidestream smoke: more toxic than mainstream smoke". Tobacco Control. 14 (6): 396–404. doi:10.1136/tc.2005.011288. PMC 1748121. PMID 16319363. الوسيط
|CitationClass=تم تجاهله (مساعدة) - Greydanus DE, Hawver EK, Greydanus MM, Merrick J (October 2013). "Marijuana: current concepts(†)". Frontiers in Public Health. 1 (42): 42. doi:10.3389/fpubh.2013.00042. PMC 3859982. PMID 24350211. الوسيط
|CitationClass=تم تجاهله (مساعدة) - Tashkin DP (June 2013). "Effects of marijuana smoking on the lung". Annals of the American Thoracic Society. 10 (3): 239–47. doi:10.1513/annalsats.201212-127fr. PMID 23802821. الوسيط
|CitationClass=تم تجاهله (مساعدة) - Choi H, Mazzone P (September 2014). "Radon and lung cancer: assessing and mitigating the risk". Cleveland Clinic Journal of Medicine. 81 (9): 567–75. doi:10.3949/ccjm.81a.14046. PMID 25183848. مؤرشف من الأصل في 19 فبراير 2020. الوسيط
|CitationClass=تم تجاهله (مساعدة) - Schmid K, Kuwert T, Drexler H (March 2010). "Radon in Indoor Spaces: An Underestimated Risk Factor for Lung Cancer in Environmental Medicine". Dtsch Arztebl Int. 107 (11): 181–6. doi:10.3238/arztebl.2010.0181. PMC 2853156. PMID 20386676. الوسيط
|CitationClass=تم تجاهله (مساعدة) - "Radon (Rn) Health Risks". EPA. مؤرشف من الأصل في 20 أكتوبر 2008. الوسيط
|CitationClass=تم تجاهله (مساعدة) - EPA (فبراير 2013). "Radiation information: radon". EPA. مؤرشف من الأصل في 29 أبريل 2009. الوسيط
|CitationClass=تم تجاهله (مساعدة) - Davies RJ, Lee YC (2010). "18.19.3". Oxford Textbook Medicine (الطبعة 5th). OUP Oxford. ISBN 978-0-19-920485-4. الوسيط
|CitationClass=تم تجاهله (مساعدة) - Tobias J, Hochhauser D (2010). "Chapter 12". Cancer and its Management (الطبعة 6th). Wiley-Blackwell. صفحة 199. ISBN 978-1-4051-7015-4. الوسيط
|CitationClass=تم تجاهله (مساعدة) - Clapp RW, Jacobs MM, Loechler EL (Jan–Mar 2008). "Environmental and occupational causes of cancer: new evidence 2005-2007". Reviews on Environmental Health. 23 (1): 1–37. doi:10.1515/REVEH.2008.23.1.1. PMC 2791455. PMID 18557596. الوسيط
|CitationClass=تم تجاهله (مساعدة) - Chen H, Goldberg MS, Villeneuve PJ (Oct–Dec 2008). "A systematic review of the relation between long-term exposure to ambient air pollution and chronic diseases". Reviews on Environmental Health. 23 (4): 243–97. doi:10.1515/reveh.2008.23.4.243. PMID 19235364. الوسيط
|CitationClass=تم تجاهله (مساعدة) - Lim WY, Seow A (January 2012). "Biomass fuels and lung cancer". Respirology. 17 (1): 20–31. doi:10.1111/j.1440-1843.2011.02088.x. PMID 22008241. مؤرشف من الأصل في 22 سبتمبر 2017. الوسيط
|CitationClass=تم تجاهله (مساعدة) - Sood A (December 2012). "Indoor fuel exposure and the lung in both developing and developed countries: an update". Clinics in Chest Medicine. 33 (4): 649–65. doi:10.1016/j.ccm.2012.08.003. PMC 3500516. PMID 23153607. الوسيط
|CitationClass=تم تجاهله (مساعدة) - Cogliano VJ, Baan R, Straif K, Grosse Y, Lauby-Secretan B, El Ghissassi F, et al. (ديسمبر 2011). "Preventable exposures associated with human cancers" (PDF). Journal of the National Cancer Institute. 103 (24): 1827–39. doi:10.1093/jnci/djr483. PMC 3243677. PMID 22158127. مؤرشف من الأصل (PDF) في 20 سبتمبر 2012. الوسيط
|CitationClass=تم تجاهله (مساعدة) - Horn L, Lovly CM, Johnson DH (2015). "Chapter 107: Neoplasms of the lung". In Kasper DL, Hauser SL, Jameson JL, Fauci AS, Longo DL, Loscalzo J (المحررون). Harrison's Principles of Internal Medicine (الطبعة 19th). McGraw-Hill. ISBN 978-0-07-180216-1. الوسيط
|CitationClass=تم تجاهله (مساعدة) - Arabic Oncology نسخة محفوظة 4 مارس 2010 على موقع واي باك مشين.
- Ost D (2015). "Chapter 110: Approach to the patient with pulmonary nodules". In Grippi MA, Elias JA, Fishman JA, Kotloff RM, Pack AI, Senior RM (المحررون). Fishman's Pulmonary Diseases and Disorders (الطبعة 5th). McGraw-Hill. صفحة 1685. ISBN 978-0-07-179672-9. الوسيط
|CitationClass=تم تجاهله (مساعدة) - American College of Chest Physicians; American Thoracic Society (سبتمبر 2013). "Five Things Physicians and Patients Should Question". اختر بحكمة: an initiative of the اختر بحكمة. American College of Chest Physicians and American Thoracic Society. مؤرشف من الأصل في 3 نوفمبر 2013. اطلع عليه بتاريخ 6 يناير 2013. الوسيط
|CitationClass=تم تجاهله (مساعدة) - Smokers defined as current or former smoker of more than 1 year of duration. See image page in Commons for percentages in numbers. Reference: Table 2 نسخة محفوظة 10 September 2017 على موقع واي باك مشين. in: Kenfield SA, Wei EK, Stampfer MJ, Rosner BA, Colditz GA (June 2008). "Comparison of aspects of smoking among the four histological types of lung cancer". Tobacco Control. 17 (3): 198–204. doi:10.1136/tc.2007.022582. PMC 3044470. PMID 18390646. الوسيط
|CitationClass=تم تجاهله (مساعدة) - Raz DJ, He B, Rosell R, Jablons DM (March 2006). "Bronchioloalveolar carcinoma: a review". Clinical Lung Cancer. 7 (5): 313–22. doi:10.3816/CLC.2006.n.012. PMID 16640802. الوسيط
|CitationClass=تم تجاهله (مساعدة) - Subramanian J, Govindan R (February 2007). "Lung cancer in never smokers: a review". Journal of Clinical Oncology. American Society of Clinical Oncology. 25 (5): 561–70. doi:10.1200/JCO.2006.06.8015. PMID 17290066. الوسيط
|CitationClass=تم تجاهله (مساعدة) - Rosti G, Bevilacqua G, Bidoli P, Portalone L, Santo A, Genestreti G (March 2006). "Small cell lung cancer". Annals of Oncology. 17 Suppl 2 (Suppl. 2): ii5-10. doi:10.1093/annonc/mdj910. PMID 16608983. الوسيط
|CitationClass=تم تجاهله (مساعدة) - "8th edition lung cancer TNM staging summary" (PDF). International Association for the Study of Lung Cancer. مؤرشف من الأصل (PDF) في 12 أبريل 2019. اطلع عليه بتاريخ أكتوبر 2020. الوسيط
|CitationClass=تم تجاهله (مساعدة); تحقق من التاريخ في:|تاريخ الوصول=(مساعدة) - Van Schil, PE; Rami-Porta, R; Asamura, H (March 2018). "The 8th TNM edition for lung cancer: a critical analysis". Annals of Translational Medicine. 6 (5): 87. doi:10.21037/atm.2017.06.45. PMC 5890051. PMID 29666810. الوسيط
|CitationClass=تم تجاهله (مساعدة) - "Lung cancer survival statistics". Cancer Research UK. مؤرشف من الأصل في 7 أكتوبر 2014. الوسيط
|CitationClass=تم تجاهله (مساعدة) - Ridge CA, McErlean AM, Ginsberg MS (June 2013). "Epidemiology of lung cancer". Seminars in Interventional Radiology. 30 (2): 93–8. doi:10.1055/s-0033-1342949. PMC 3709917. PMID 24436524. الوسيط
|CitationClass=تم تجاهله (مساعدة) - Slatore CG, Au DH, Gould MK (November 2010). "An official American Thoracic Society systematic review: insurance status and disparities in lung cancer practices and outcomes". American Journal of Respiratory and Critical Care Medicine. 182 (9): 1195–205. doi:10.1164/rccm.2009-038ST. PMID 21041563. مؤرشف من الأصل في 01 مارس 2020. الوسيط
|CitationClass=تم تجاهله (مساعدة) - "Lung cancer survival statistics". مؤرشف من الأصل في 9 أكتوبر 2014. اطلع عليه بتاريخ 28 أكتوبر 2014. الوسيط
|CitationClass=تم تجاهله (مساعدة) - SEER data (SEER.cancer.gov) Median Age of Cancer Patients at Death 2002–2006 نسخة محفوظة 22 July 2011 على موقع واي باك مشين.
- "Small Cell Lung Cancer Treatment". PDQ for Health Professionals. National Cancer Institute. 2012. مؤرشف من الأصل في 13 مايو 2012. اطلع عليه بتاريخ 16 مايو 2012. الوسيط
|CitationClass=تم تجاهله (مساعدة) - "Non-Small Cell Lung Cancer Treatment". PDQ for Health Professionals. National Cancer Institute. PMID 26389304. مؤرشف من الأصل في 11 مارس 2020. اطلع عليه بتاريخ 17 نوفمبر 2015. الوسيط
|CitationClass=تم تجاهله (مساعدة) - Spiro SG (2010). "18.19.1". Oxford Textbook Medicine (الطبعة 5th). OUP Oxford. ISBN 978-0-19-920485-4. الوسيط
|CitationClass=تم تجاهله (مساعدة) - SEER data (SEER.cancer.gov) Median Age of Cancer Patients at Diagnosis 2002–2003 نسخة محفوظة 16 May 2011 على موقع واي باك مشين.
- Stewart BW, Wild CP (2014). World cancer report 2014. Lyon: IARC Press. صفحات 350–352. ISBN 978-92-832-0429-9. الوسيط
|CitationClass=تم تجاهله (مساعدة) - Kemp FB (Jul–Sep 2009). "Smoke free policies in Europe. An overview". Pneumologia. 58 (3): 155–8. PMID 19817310. الوسيط
|CitationClass=تم تجاهله (مساعدة) - Jemal A, Tiwari RC, Murray T, Ghafoor A, Samuels A, Ward E, Feuer EJ, Thun MJ (2004). "Cancer statistics, 2004". Ca. 54 (1): 8–29. doi:10.3322/canjclin.54.1.8. PMID 14974761. الوسيط
|CitationClass=تم تجاهله (مساعدة) - "Lung cancer statistics". Cancer Research UK. مؤرشف من الأصل في 12 مايو 2015. اطلع عليه بتاريخ 20 ديسمبر 2016. الوسيط
|CitationClass=تم تجاهله (مساعدة) - Lum KL, Polansky JR, Jackler RK, Glantz SA (أكتوبر 2008). "Signed, sealed and delivered: "big tobacco" in Hollywood, 1927-1951". Tobacco Control. 17 (5): 313–23. doi:10.1136/tc.2008.025445. PMC 2602591. PMID 18818225. مؤرشف من الأصل في 4 أبريل 2009. الوسيط
|CitationClass=تم تجاهله (مساعدة) - Proctor RN (March 2012). "The history of the discovery of the cigarette-lung cancer link: evidentiary traditions, corporate denial, global toll". Tobacco Control. 21 (2): 87–91. doi:10.1136/tobaccocontrol-2011-050338. PMID 22345227. الوسيط
|CitationClass=تم تجاهله (مساعدة) - Lovato C, Watts A, Stead LF (October 2011). "Impact of tobacco advertising and promotion on increasing adolescent smoking behaviours". The Cochrane Database of Systematic Reviews (10): CD003439. doi:10.1002/14651858.CD003439.pub2. PMID 21975739. الوسيط
|CitationClass=تم تجاهله (مساعدة) - National Cancer Institute; SEER stat fact sheets: Lung and Bronchus. Surveillance Epidemiology and End Results. 2010 نسخة محفوظة 6 July 2014 على موقع واي باك مشين.
- Zhang J, Ou JX, Bai CX (November 2011). "Tobacco smoking in China: prevalence, disease burden, challenges and future strategies". Respirology. 16 (8): 1165–72. doi:10.1111/j.1440-1843.2011.02062.x. PMID 21910781. الوسيط
|CitationClass=تم تجاهله (مساعدة) - "Gender in lung cancer and smoking research" (PDF). منظمة الصحة العالمية. 2004. مؤرشف من الأصل (PDF) في 14 يونيو 2007. اطلع عليه بتاريخ 26 مايو 2007. الوسيط
|CitationClass=تم تجاهله (مساعدة) - Behera D, Balamugesh T (2004). "Lung cancer in India" (PDF). The Indian Journal of Chest Diseases & Allied Sciences. 46 (4): 269–81. PMID 15515828. مؤرشف من الأصل (PDF) في 17 ديسمبر 2008. الوسيط
|CitationClass=تم تجاهله (مساعدة) - Charloux A, Quoix E, Wolkove N, Small D, Pauli G, Kreisman H (فبراير 1997). "The increasing incidence of lung adenocarcinoma: reality or artefact? A review of the epidemiology of lung adenocarcinoma". International Journal of Epidemiology. 26 (1): 14–23. doi:10.1093/ije/26.1.14. PMID 9126499. مؤرشف من الأصل في 5 ديسمبر 2008. الوسيط
|CitationClass=تم تجاهله (مساعدة) - "Cancer incidence statistics". Cancer Research UK. مؤرشف من الأصل في 2 يناير 2017. اطلع عليه بتاريخ 20 ديسمبر 2016. الوسيط
|CitationClass=تم تجاهله (مساعدة) - "HONORING VETERANS WITH GOOD HEALTH". 7 نوفمبر 2014. مؤرشف من الأصل في 28 نوفمبر 2015. اطلع عليه بتاريخ 1 ديسمبر 2015. الوسيط
|CitationClass=تم تجاهله (مساعدة) - "Lung Cancer As It Affects Veterans And Military". مؤرشف من الأصل في 8 ديسمبر 2015. اطلع عليه بتاريخ 1 ديسمبر 2015. الوسيط
|CitationClass=تم تجاهله (مساعدة) - Kadara H, Kabbout M, Wistuba II (January 2012). "Pulmonary adenocarcinoma: a renewed entity in 2011". Respirology. 17 (1): 50–65. doi:10.1111/j.1440-1843.2011.02095.x. PMC 3911779. PMID 22040022. الوسيط
|CitationClass=تم تجاهله (مساعدة) - Witschi H (نوفمبر 2001). "A short history of lung cancer". Toxicological Sciences. 64 (1): 4–6. doi:10.1093/toxsci/64.1.4. PMID 11606795. مؤرشف من الأصل في 9 مارس 2007. الوسيط
|CitationClass=تم تجاهله (مساعدة) - Grannis FW. "History of cigarette smoking and lung cancer". smokinglungs.com. مؤرشف من الأصل في 18 يوليو 2007. اطلع عليه بتاريخ 06 أغسطس 2007. الوسيط
|CitationClass=تم تجاهله (مساعدة) - US Department of Health Education and Welfare (1964). "Smoking and health: report of the advisory committee to the Surgeon General of the Public Health Service" (PDF). Washington, DC: US Government Printing Office. مؤرشف من الأصل (PDF) في 17 ديسمبر 2008. الوسيط
|CitationClass=تم تجاهله (مساعدة) - Doll R, Hill AB (November 1956). "Lung cancer and other causes of death in relation to smoking; a second report on the mortality of British doctors". British Medical Journal. 2 (5001): 1071–81. doi:10.1136/bmj.2.5001.1071. PMC 2035864. PMID 13364389. الوسيط
|CitationClass=تم تجاهله (مساعدة) - Adler, I (1912). Primary Malignant Growths of the Lungs and Bronchi. New York: Longmans, Green, and Company. OCLC 14783544. OL 24396062M. الوسيط
|CitationClass=تم تجاهله (مساعدة), cited in Spiro SG, Silvestri GA (September 2005). "One hundred years of lung cancer". American Journal of Respiratory and Critical Care Medicine. 172 (5): 523–9. doi:10.1164/rccm.200504-531OE. PMID 15961694. الوسيط|CitationClass=تم تجاهله (مساعدة) - Proctor R (2000). The Nazi War on Cancer. Princeton University Press. صفحات 173–246. ISBN 0-691-00196-0. مؤرشف من الأصل في 11 يناير 2020. الوسيط
|CitationClass=تم تجاهله (مساعدة) - Morgagni GB (1761). De sedibus et causis morborum per anatomen indagatis. OL 24830495M. الوسيط
|CitationClass=تم تجاهله (مساعدة) - Bayle G (1810). Recherches sur la phthisie pulmonaire (باللغة الفرنسية). Paris. OL 15355651W. الوسيط
|CitationClass=تم تجاهله (مساعدة) - Greaves M (2000). Cancer: the Evolutionary Legacy. Oxford University Press. صفحات 196–197. ISBN 0-19-262835-6. مؤرشف من الأصل في 11 يناير 2020. الوسيط
|CitationClass=تم تجاهله (مساعدة) - Samet JM (April 2011). "Radiation and cancer risk: a continuing challenge for epidemiologists". Environmental Health. 10 (Suppl. 1): S4. doi:10.1186/1476-069X-10-S1-S4. PMC 3073196. PMID 21489214. الوسيط
|CitationClass=تم تجاهله (مساعدة) - Greenberg M, Selikoff IJ (February 1993). "Lung cancer in the Schneeberg mines: a reappraisal of the data reported by Harting and Hesse in 1879". The Annals of Occupational Hygiene. 37 (1): 5–14. doi:10.1093/annhyg/37.1.5. PMID 8460878. الوسيط
|CitationClass=تم تجاهله (مساعدة) - Miller AB, Fox W, Tall R (September 1969). "Five-year follow-up of the Medical Research Council comparative trial of surgery and radiotherapy for the primary treatment of small-celled or oat-celled carcinoma of the bronchus". Lancet. Elsevier. 2 (7619): 501–5. doi:10.1016/S0140-6736(69)90212-8. PMID 4184834. الوسيط
|CitationClass=تم تجاهله (مساعدة) - Cohen MH, Creaven PJ, Fossieck BE, Broder LE, Selawry OS, Johnston AV, Williams CL, Minna JD (1977). "Intensive chemotherapy of small cell bronchogenic carcinoma". Cancer Treatment Reports. 61 (3): 349–54. PMID 194691. الوسيط
|CitationClass=تم تجاهله (مساعدة) - Edwards AT (March 1946). "Carcinoma of the bronchus". Thorax. 1 (1): 1–25. doi:10.1136/thx.1.1.1. PMC 1018207. PMID 20986395. الوسيط
|CitationClass=تم تجاهله (مساعدة) - Lennox SC, Flavell G, Pollock DJ, Thompson VC, Wilkins JL (November 1968). "Results of resection for oat-cell carcinoma of the lung". Lancet. Elsevier. 2 (7575): 925–7. doi:10.1016/S0140-6736(68)91163-X. PMID 4176258. الوسيط
|CitationClass=تم تجاهله (مساعدة) - Horn L, Johnson DH (July 2008). "Evarts A. Graham and the first pneumonectomy for lung cancer". Journal of Clinical Oncology. 26 (19): 3268–75. doi:10.1200/JCO.2008.16.8260. PMID 18591561. مؤرشف من الأصل في 25 مايو 2020. الوسيط
|CitationClass=تم تجاهله (مساعدة) - Kabela M (1956). "[Experience with radical irradiation of bronchial cancer]" [Experience with radical irradiation of bronchial cancer]. Ceskoslovenska Onkologia (باللغة الألمانية). 3 (2): 109–15. PMID 13383622. الوسيط
|CitationClass=تم تجاهله (مساعدة) - Saunders M, Dische S, Barrett A, Harvey A, Gibson D, Parmar M (July 1997). "Continuous hyperfractionated accelerated radiotherapy (CHART) versus conventional radiotherapy in non-small-cell lung cancer: a randomised multicentre trial. CHART Steering Committee". Lancet. Elsevier. 350 (9072): 161–5. doi:10.1016/S0140-6736(97)06305-8. PMID 9250182. الوسيط
|CitationClass=تم تجاهله (مساعدة) - Lung cancer - Wikipedia, the free encyclopedia
- Colice, GL; Shafazand S; Griffin JP; et al. (September 2007). "Physiologic evaluation of the patient with lung cancer being considered for resectional surgery: ACCP evidenced-based clinical practice guidelines (2nd edition)". Chest. 132 (Suppl. 3): 161S–177S. doi:10.1378/chest.07-1359. PMID 17873167. مؤرشف من الأصل في 29 مارس 2020. الوسيط
|CitationClass=تم تجاهله (مساعدة) - Mountain, CF (1997). "Revisions in the international system for staging lung cancer". Chest. American College of Chest Physicians. 111 (6): 1710–1717. doi:10.1378/chest.111.6.1710. PMID 9187198. مؤرشف من الأصل في 6 ديسمبر 2008. الوسيط
|CitationClass=تم تجاهله (مساعدة) - Strand, TE; Rostad H; Damhuis RA; Norstein J (Jun 2007). "Risk factors for 30-day mortality after resection of lung cancer and prediction of their magnitude". Thorax. BMJ Publishing Group Ltd. 62 (11): 991–7. doi:10.1136/thx.2007.079145. PMC 2117132. PMID 17573442. الوسيط
|CitationClass=تم تجاهله (مساعدة) - Nicastri DG, Wisnivesky JP, Litle VR, et al. (March 2008). "Thoracoscopic lobectomy: report on safety, discharge independence, pain, and chemotherapy tolerance". J Thorac Cardiovasc Surg. 135 (3): 642–7. doi:10.1016/j.jtcvs.2007.09.014. PMID 18329487. الوسيط
|CitationClass=تم تجاهله (مساعدة) - Casali G, Walker WS (March 2009). "Video-assisted thoracic surgery lobectomy: can we afford it?". Eur J Cardiothorac Surg. 35 (3): 423–8. doi:10.1016/j.ejcts.2008.11.008. PMID 19136272. الوسيط
|CitationClass=تم تجاهله (مساعدة) - Fell, SC; TJ Kirby (2005). General Thoracic Surgery (الطبعة sixth). Lippincott Williams & Wilkins. صفحات 433–457. ISBN 0-7817-3889-X. الوسيط
|CitationClass=تم تجاهله (مساعدة)
- بوابة طب
- بوابة علم الأحياء الخلوي والجزيئي
