سليلة بطانة الرحم
سليلة بطانة الرحم أو سليلة رحمية، هي كتلة في البطانه الداخليه للرحم.[1][2][3]قد يكون لديها قاعدة كبيرة مسطحه (لاطئه) من قبل عنيق ممدود، أو تتصل بالرحم (مسوق).سلائل المعنقة أشهر من نظريتها اللاطئه.وهي تختلف في حجمها من بضعة ملليمترات إلى عدة سنتيميترات في حالة أنها معنقه، فإنها يمكن أن تبرز من خلال عنق الرحم إلى المهبل.الأوعية الدمويه الصغيره قد تكون حاضره، وبخاصة السلائل الكبيرة.


| سليلة بطانة الرحم | |
|---|---|
| معلومات عامة | |
| الاختصاص | طب الجهاز البولي ، وطب النساء |
| من أنواع | سليلة ، وسرطان بطانة الرحم |
العلامات والأعراض
في كثير من الأحيان لا تسبب ظهور أعراض. حيثما تحدث، الأعراض تشمل عدم انتظام الحيض، ونزيف بين الحيض، الحيض الثقيل المفرط ( غزارة الطمث ) ، و النزيف المهبلي بعد سن اليأس.نزيف من الأوعية الدموية للسليلة يساهم في زيادة فقدان الدم أثناء الحيض و " تبقيع " الدموي بين الحيض، أو بعد سن اليأس .إذا ظهرت السليله من خلال عنق الرحم إلى المهبل، قد تؤدي الي ألم ( عسر الطمث ).
السبب
ليس هنالك سبب واضح لسلائل بطانة الرحم، ولكت تبدوا أنها تتأثر بمستويات الهرمون وتنمو في استجابه لتعميم الإستروجين .وتشمل عوامل الخطر سمنة ، ارتفاع ضغط الدم، وتاريخ من سلائل عنق الرحم.عقار تاموكسيفين أو العلاج بالهرمونات البديلة يمكن أن تزيد أيضا من مخاطر سلائل الرحم . استخدام نظام داخل الرحم يحتوي على الليفونورغيستريل في النساء اللواتي يتناولن عقار تاموكسيفين قد يقلل من حدوث سلائل الرحم .
التشخيص
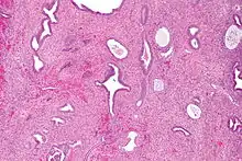
سلائل بطانة الرحم يمكن الكشف عنها بواسطة الموجات فوق الصوتية المهبلي ( sonohysterography ) ، و تمدد و كحت الرحم.كشفها بواسطة الموجات فوق الصوتية يمكن أن يكون صعبا، وبخاصة عندما يكون هناك تضخم بطانة الرحم ( سمك زائد لبطانة الرحم ) .السلائل الكبيرة قد تكون غائبه عند الكشط .سلائل بطانة الرحم يمكن أن تكون فراديه أو تحدث مع الآخرين .فهي مستديرة أو بيضاوية و قياسها بين بضعة مليمترات و عدة سنتيمترات في القطر.وهي عادة ما تكون على نفس اللون الأحمر / البني من بطانة الرحم المحيطة و الكبيرة يمكن أن تبدو أحمر قاتم.السلائل تتكون من نسيج ليفي كثيف (سدي)والأوعية الدمويه والغدد تبدو كمساحات مبطنة بظهارة بطانة الرحم.في حالة المعنقة، تكون متصله بساق رقيق (عنيق).في حالة الاطئه، تكون مرتبطه بقاعدة مسطحه لجدار الرحم.السلائل المعنقة هي أكثر شيوعا من تلك اللاطئه.
العلاج
يمكن إزالة السلائل جراحيا عن طريق كحت الرحم مع أو بدون منظار رحم.عندما يتم الكحت بدون منظار الرحم، من الممكن فقد بعض السلائل. للحد من هذه المخاطر، يمكن أن يكون أول استكشاف للرحم باستخدام ملقط استيعاب في بداية إجراء الكشط. يتضمن منظار الرحم تصوير بطانة الرحمة(الطبقة الداخليه المبطنة للرحم)والسليلة مع الكاميرا يتم ادخالها عن طريق عنق الرحم.إذا كانت سليله كبيرة، يمكن تقطيعها إلى أجزاء قبل أن يتم إزالة كل قسم . وإذا اكتشفت الخلايا السرطانية، يمكن اداء استئصال الرحم ( الاستئصال الجراحي للرحم ) . استئصال الرحم عادة لا يتم في حالة إذا تم استبعد السرطان خارجا. أيا كانت الطريقة المستخدمة، السلائل يتم علاجهاتحت تأثير التخدير العام.ومن غير الواضح أثر إزالة السلائل علي الخصوبة لأنها لم تدرس بعد.
الإنذار
سلائل بطانة الرحم عادة ما تكون حميدة على الرغم من أن البعض قد يكون ماقبل سرطانية أو سرطانية. 0.5 ٪ من سلائل بطانة الرحم تحتوي علي خلايا غدية سرطانيه. يمكن للسلائل ان تؤدي إلي زيادة مخاطر الإجهاض عند النساء ممن يخضعون للعلاج التلقيح الاصطناعي. إذا كان نموهم بالقرب من قناة فالوب ، فإنها قد تؤدي إلى صعوبة في أن تصبح حامل.علي الرغم من هذه العلاجات ك منظار الرحم، حيث تعالج السلائل، الي ان الخوف من تكرارها، يكون متعددا. السلائل الصغيره والغير مُعالجه، تتراجع تلقائيا.
علم الأوبئه
سلائل بطانة الرحم تحدث عادة في النساء في سن 40s و 50s منها .سلائل بطانة الرحم تحدث في ما يصل إلى 10 ٪ من النساء . وتشير التقديرات إلى أنهم موجودون في 25٪ من النساء ممن يعانون من نزيف مهبلي غير طبيعي
انظر أيضا
المراجع
- "معلومات عن سليلة بطانة الرحم على موقع apps.who.int". apps.who.int. مؤرشف من الأصل في 5 نوفمبر 2018. الوسيط
|CitationClass=تم تجاهله (مساعدة) - 621
- "معلومات عن سليلة بطانة الرحم على موقع wikiskripta.eu". wikiskripta.eu. مؤرشف من الأصل في 08 ديسمبر 2019. الوسيط
|CitationClass=تم تجاهله (مساعدة)
- Jane A. Bates (1997). Practical Gynaecological Ultrasound. Cambridge, UK: Cambridge University Press. ISBN 1-900151-51-0.
- "Uterine polyps". MayoClinic.com. 2006-04-27.
- 3Sternberg, Stephen S.; Stacey E. Mills; Darryl Carter (2004). Sternberg's Diagnostic Surgical Pathology. Lippincott Williams & Wilkins. p. 2460. ISBN 0-7817-4051-7.
- Dysmenorrhea: Menstrual abnormalities at Merck Manual of Diagnosis and Therapy Professional Edition
- "Endometrial Polyp". GPnotebook. Retrieved 2007-10-20.
- بوابة طب
- بوابة المرأة