سل دخني
السل الدخني[2] (بالإنجليزية: Miliary tuberculosis) هو شكل من أشكال مرض السل، والذي يتميز بانتشار واسع للآفات ذات الحجم الصغير (1-5 ملم) في جسم الإنسان.
| سل دخني | |
|---|---|
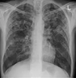
![]() تصوير الصدر بالأشعة السينية يوضح السل الدخني تصوير الصدر بالأشعة السينية يوضح السل الدخني | |
| تسميات أخرى | disseminated tuberculosis, tuberculosis cutis acuta generalisata, tuberculosis cutis disseminata[1] |
| معلومات عامة | |
| الاختصاص | أمراض معدية |
| من أنواع | سل خارج رئوي |
| الإدارة | |
| أدوية | |
معرض صور
مراجع
- Rapini, Ronald P.; Bolognia, Jean L.; Jorizzo, Joseph L. (2007). Dermatology: 2-Volume Set. St. Louis: Mosby. صفحات Chapter 74. ISBN 1-4160-2999-0. الوسيط
|CitationClass=تم تجاهله (مساعدة) - الدُخْنيّ؛ أو الجاوَرْسيّ: نسبة إلى حَبَّ الدُّخْن أو الجاوَرْس.
- بوابة طب
سل دخني في المشاريع الشقيقة
صور وملفات صوتية من كومنز
This article is issued from Wikipedia. The text is licensed under Creative Commons - Attribution - Sharealike. Additional terms may apply for the media files.




