شرين
الشرينات (بالإنجليزية: Arterioles) هي عبارة عن شرايين صغيرة، متفرعة من الشرايين الكبيرة، وهي تقوم بنقل الدم من الشرايين الكبيرة artery إلى الشعيرات الدموية Capillary ومنها تتجمع وتصب في وريد. لها دور كبير في تنظيم ضغط الدم عن طريق انكماش وتمدد العضلات الملساء الموجودة في جدارنها.[1]
| شرين | |
|---|---|
| الاسم اللاتيني arteriola | |
![]() أنواع الأوعية الدموية. | |
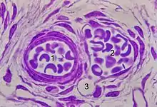
![]() شرين أرنب مكبر 100X شرين أرنب مكبر 100X | |
| تفاصيل | |
| ترمينولوجيا أناتوميكا | 12.0.00.005 |
| FMA | 63182 |
| UBERON ID | 0001980 |
| ن.ف.م.ط. | A07.015.114.060، وA07.015.461.080 |
| ن.ف.م.ط. | D001160 |

للشرينات طبقة أو طبقين من العضلات الملساء. يحدث أكبر تغير في سرعة تدفق الدم وضغط الدم عند مرور الدم من الشرينات إلى الشعيرات الدموية. زيادة سرعة التدفق في الشعيرات الدموية يصاحبه هبوط في ضغط الواقع على جدرانها مما يسرع من عملية تبادل الغازات والمواد المغذية.
أجزاء شرين ووظيفته
.jpg.webp)
يتكون جدار الشرين مثل بنية شريان حيث نفرق بين غلالة باطنة وغلالة وسطانية وطبقة خارجية Tunica Adventitia.
تكون الغلالة الوسطانية في الشرين رقيقة ولكن ما يوجد بها من عضلات ملساء يمكن ان تقفلها تماما ؛ في حين أن غلق العضلات لشرايين كبيرة ليس ممكنا. بهذا التحكم في الإغلاق يمكن مرور الدم في الشعيرات التالية ويعمل هذا التكم على خفض معدل مرور الدم في أنسجة هادئة.
يزداد احتكاك الدم في الشرينات ويقل معدل مرور الدم وضغط الدم فيها. أقل تغير في اتساع الشرينات في أي جزء من الجسم له تأثير كبير على ضغط الدم.
يبلغ اتساع الشرينات نحو 20 ميكرومتر . وبعض المختصين يعرّفونها بأنها الأوعية الدموية التي لها طبقة واحدة من الخلايا العضلية الملساء ، بعكس الشرايين الكبيرة التي تتكون من عدة طبقات من العضلات الملساء ؛ [2] ومع ذلك فتعتبر شرينات قبلها أكبر، ذات طبقتين أو ثلاثة من خلايا العضلات الملساء، تعتبر أيضا شرينات وليست شرايين.[3]
المراجع
- Maton, Anthea; Jean Hopkins; Charles William McLaughlin; Susan Johnson; Maryanna Quon Warner; David LaHart; Jill D. Wright (1993). Human Biology and Health. Englewood Cliffs, New Jersey: Prentice Hall. ISBN 0-13-981176-1. الوسيط
|CitationClass=تم تجاهله (مساعدة)
- بوابة تشريح
- بوابة طب
- بوابة علم وظائف الأعضاء

