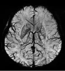
صورة الرنين المغناطيسي الموزنة بقابلية التمغنط
صورة الرنين المغناطيسي الموّزنة بقابلية التمغنط (Susceptibility weighted imaging (SWI ، بشكل عام تُسمّى BOLD venographic imaging -وهذا الاختصار يدل على أنها تعتمد على مستويات الأوكسوجين والدم في الأوردة-، تستخدم نوع من أنواع التباين في التصوير بالرنين المغناطيسي يختلف عن التباين التقليدي (كثافة البروتونات، T1 ، T2) ،تستخدم هذه التقنية تعويض التدفق لإلغاء أثر الدم المتحرك داخل الأوردة، التقاط الإشارة الراجعة على مدى وقت طويل، ونوع من أنواع السلاسل التصويرية يعتمد على التدرج الكهربائي في استخراج الصورة يُدعى gradient recalled echo (GRE) pulse sequence.[1] هذه الطريقة تستثمر الاختلاف بقابلية التمغنط بين الانسجة وتستخدم صورة الحالة (phase image) للكشف عن الاختلافات. تُدمج الصورة الكميّة (magnitude image) مع صورة الحالة (phase image) لإنتاج صورة كميّة مُحسّنة التباين التي تكون حساسة بشكل رائع للدم في الأوردة، النزيف و تخزين الحديد. نظراً لحساسيتها للدم في الأوردة تُستخدم هذه التقنية بشكل شائع عند المرضى المصابين بإصابات للدماغ نتيجة لضربات خارجية المصدر وتستخدم أيضاً لإستخراج صورة عالية الدقة لأوردة الدماغ ولها العديد من التطبيقات السريرية الأخرى. صورة الرنين المغناطيسي الموّزنة بقابلية التمغنط تُقدَّم كحزمة سريرية من شركة Philips و Siemens ولكن يُمكن أن تُشغل على أي آلة مُصنّعة على المجالات المغناطيسية بِقوة 1 تسلا، 1.5 تسلا، 3 تسلا وأعلى.

روابط خارجية
مراجع
- "معلومات عن صورة الرنين المغناطيسي الموزنة بقابلية التمغنط على موقع academic.microsoft.com". academic.microsoft.com. مؤرشف من الأصل في 07 أبريل 2020. الوسيط
|CitationClass=تم تجاهله (مساعدة)
Ashwal S, et al. (2008). "Susceptibility-weighted imaging and proton magnetic resonance spectroscopy in assessment of outcome after pediatric traumatic brain injury". Arch Phys Med Rehabil. 87 (12 Suppl 2): S50–8. doi:10.1016/j.apmr.2006.07.275. ببمد 17140880.
- بوابة طب