عظم الكاحل
الكَاحِل[1] أو عظم الكاحل (بالإنجليزية: Talus bone) هو أحد عظام الرُصُغ يتمفصل مع عظمي الساق، وهما الشظية والظنبوب، يشكل الرصغ الجزء السفلي من مفصل الكاحل. ينقل وزن الجسم بالكامل من أسفل الساقين إلى القدم.



الرسم إلى اليمين نظرة من أعلى القدم، والرسم إلى اليسار نظرة من أسفل القدم :
A- عظم العقب (Calcaneus).
B- عظم الكاحل (Talus bone).
C- العظم النردي (Cuboid bone).
D- العظم الزورقي (Navicular bone).
E- عظم إسفيني وحشي (Lateral cuneiform bone).
F- عظم إسفيني أوسط ( Intermediate cuneiform bone).
G- عظم إسفيني إنسي ( Medial cuneiform bone). * العظام المبيّنة باللون الرمادي الداكن (الغامق) هي عظام مشط القدم (Metatarsal bones). * العظام المبيّنة باللون الرمادي الفاتح هي سُّلاَمَيات القدم (Phalanges of the foot).


تحتوي عظام الساق هذه على بروزين (الكعب الجانبي والوسيط) الذي يتمفصل مع الكاحل. في نهاية القدم، داخل عظم الرسغ، يتمفصل الكاحل مع العقدة (عظم الكعب)، مع عظم الزورق المنحني في المقدمة معًا، تشكل مفاصل القدم هذه مفصل الكاحل الحويصلي على شكل كرة ومقبس. الكأس هو ثاني أكبر عظام الرصغ، وهو أيضًا أحد العظام في جسم الإنسان حيث يغطي الغضروف المفصلي أعلى نسبة من مساحة سطحه.
كما أنه غير معتاد من حيث إمداد الدم إلى الوراء، أي أن الدم الشرياني يدخل العظم في الطرف البعيد. في البشر لا توجد عضلات مرتبطة بالكاحل على عكس معظم العظام، وبالتالي يعتمد موضعها على موضع العظام المجاورة.[2]
البنية الهيكلية
على الرغم من عدم إنتظام شكل الكاحل، إلا أنه يمكن تقسيمه إلى ثلاثة أجزاء. في المواجهة الأمامية، يحمل الرأس السطح المفصلي للعظم الزورقي، والرقبة، المنطقة الخشنة بين الجسم والرأس، بها قنوات وعائية صغيرة.
يتميز الجسم بالعديد من السطوح المفصلية البارزة مثل:[3]
- على جانبه العلوي يوجد تروكليا تالي، وهو شبه أسطواني، ويحيط به الجوانب المفصلية لكلا الجانبين، يمسك نقر الكاحل، وهو الهيكل الشبيه بالشوكة في الكاليولي، هذه الأسطح المفصلية الثلاثة في قبضة ثابتة، مما يضمن إستقرار مفصل الكاحل.[4]
ومع ذلك، نظرًا لأن العضلة الطرفية أوسع من الأمام منها في الخلف (حوالي 5-6 مم)، فإن الثبات في المفصل يختلف باختلاف موضع القدم مع ثني القدم الظهري (شد أصابع القدم لأعلى) تظل أربطة المفصل مشدودة مما يضمن إستقرار المفصل، ولكن مع إنحناء القدم الأخمصية (كما هو الحال عند الوقوف على أصابع القدم)، يؤدي عرض العضلة الضيقة إلى إنخفاض الإستقرار. يوجد خلف العضلة البكرة عملية خلفية ذات درنة وسطية وحديبة جانبية مفصولة بأخدود لوتر العضلة القابضة. بشكل إستثنائي، يشكل الجزء الجانبي من هذه الدرنات عظمًا مستقلاً يسمى ملحق الكاحل، قد تمثل الوسيط القريب من عظم الكعب.[5]
- على الجانب السفلي من العظم، توجد ثلاثة أسطح مفصلية تستخدم في المفصل مع العقدة.
- توجد عدة أسطح مفصلية متطورة مختلفة للتعبير عن الأربطة لأغراض وصفية.[3]
يتم تقسيم عظم الكاحل إلى ثلاثة أقسام: الرقبة والجسم والرأس.

الرأس
يربط عظم الكاحل في مفصل الكاحل الساق بالقدم. رأس الكاحل يبرز إلى الأمام ووسط سطحه المفصلي أو البحري الأمامي كبير وبيضاوي ومحدب. سطحه السفلي له وجهان، وأفضل ما يمكن رؤيته في حالة الطراوة. الوسط الذي يقع أمام الوجه العقبي الأوسط محدب، مثلث، أو شبه بيضاوي الشكل، ويستقر على الرباط الأخمصي العقبي. الجزء الجانبي، المسمى السطح المفصلي العقبي الأمامي، مسطح إلى حد ما، ويتمفصل مع الوجه على السطح العلوي للجزء الأمامي من العقدة.[6]
الرقبة
يتم توجيه عنق الكاحل بشكل أمامي، ويشمل على الجزء الضيق من العظم بين الجسم والرأس البيضاوي. السطوح العلوية والوسطى خشنة لإرتباط الأربطة، سطحه الجانبي مقعر ومستمر من الأسفل مع الأخدود العميق للرباط العظمي.[6]
الجسم
يتكون جسم الكاحل من عظم الكاحل. يقدم مع خمسة أسطح: أعلى، أدنى، وسطي، جانبي، خلفي:
- يظهر السطح العلوي من الجسم، من الخلف، سطحًا أملسًا للثقب، للتعبير عن القصبة. تكون العضلة الطرفية أعرض من الأمام من الخلف، محدبة من قبل للخلف، مقعرة قليلاً من جانب إلى آخر: في الأمام تكون متصلة بالسطح العلوي من عنق العظم. يقدم السطح السفلي منطقتين مفصليتين، السطوح العظمية الخلفية والوسطى، مفصولة عن بعضها بواسطة أخدود عميق.
- يمتد الأخدود بشكل غير مباشر للأمام وللجانب، ويصبح أعرض وأعمق تدريجيًا في المقدمة: في القدم المفصلية، يقع فوق أخدود مماثل على السطح العلوي للعقب، ويشكل معه قناة (الجيوب الرصمية) ممتلئة في حالة جديدة عن طريق الرباط الكاحل العقدي بين العظام. السطح المفصلي الخلفي العظمي كبير وذو شكل بيضاوي أو مستطيل. يتمفصل مع الوجه المقابل على السطح العلوي للعقبة، وهو مقعر بعمق في إتجاه محوره الطويل الذي يمتد للأمام وللجانب بزاوية حوالي 45 درجة مع المستوى المتوسط للجسم. السطح المفصلي الأوسط للعظم صغير، بيضاوي الشكل ومحدب قليلاً، يتمفصل مع السطح العلوي للقصبة القاتلة للعظم.
- يظهر السطح الإنسي في الجزء العلوي منه وجهًا مفصليًا على شكل كمثرى للكعب الإنسي، مستمرًا في الأعلى مع العضلة الطرفية. يوجد أسفل السطح المفصلي إنخفاضًا تقريبيًا لربط الجزء العميق من الرباط الدالي لمفصل الكاحل.
- يحمل السطح الجانبي وجهًا مثلثيًا كبيرًا، مقعرًا من الأعلى إلى الأسفل، للتعبير عن الكعب الجانبي، النصف الأمامي مستمر فوق مع العضلة الطرفية. وأمامه يوجد جزء خشن لتعلق الرباط الكاحلي الشظوي الأمامي. بين النصف الخلفي من الحد الجانبي للعضلة الطرفية والجزء الخلفي من قاعدة السطح المفصلي الشظوي يوجد وجه مثلث يتلامس مع الرباط الظنبوبي السفلي المستعرض أثناء انثناء مفصل الكاحل، يوجد تحت قاعدة هذا الوجه أخدود يتيح الإرتباط بالرباط الكاحلي الشظوي الخلفي.
- السطح الخلفي ضيق، ويمر عبر أخدود يمتد بشكل غير مباشر إلى الأسفل وإلى الوسط، وينقل وتر العضلة المرنة الطويلة. الأخدود الجانبي هو درنة بارزة، العملية الخلفية التي يتصل بها الرباط الكاحلي الخلفي، يتم فصل هذه العملية أحيانًا عن بقية الكاحل، ثم تُعرف باسم ملحق الكاحل. الوسيط إلى الأخدود هو درنة ثانية أصغر.
تطوير
خلال الشهر 7-8 داخل الرحم يتم تشكيل مركز تعظم في عظم الكاحل.[3]
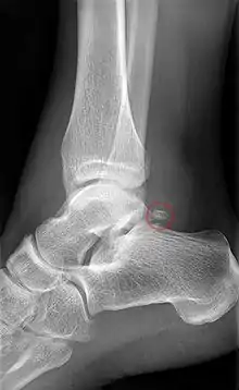
كسور
يفتقر عظم الكاحل إلى إمداد دم جيد. لهذا السبب، قد يستغرق التئام كسر عظم الكاحل وقتًا أطول من معظم العظام الأخرى. قد لا يتمكن الشخص المصاب بكسر الكاحل من المشي لعدة أشهر بدون عكازات، وسوف يرتدي جبيرة أو حذاءًا من نوع ما بعد ذلك.[7]
قد يكون من الصعب التعرف على إصابات الكاحل، وكسور العملية الجانبية على وجه الخصوص قد تكون غامضة إشعاعيًا. إذا لم يتم التعرف عليه وإدارته بشكل مناسب، فقد يؤدي كسر عظم الكاحل إلى مضاعفات طويلة الأمد.
توصلت مراجعة عام 2015 إلى إستنتاج مفاده أن كسور جسم الكاحل المعزولة قد تكون أكثر شيوعًا مما كان يعتقد سابقًا. غالبًا ما يكون لجسم الكاحل المكسور إزاحة يمكن تصورها بشكل أفضل بإستخدام التصوير المقطعي المحوسب. في حالة وجود كسر في الكاحل مصحوبًا بخلع، فإن استعادة المحاذاة المفصلية والمحورية ضرورية لتحسين وظيفة الكاحل والقدم الخلفية.[8]
تتخذ كسور الكاحل صورًا متعددة متفاوتة الخطورة. إذ قد تتراوح ما بين شروخ ضئيلة في العظام أو كسور تخترق الجلد. ويتوقف علاج كسر الكاحل على موضع الكسر في العظام وشدته. ويتطلب كسر الكاحل الشديد الخضوع لعملية جراحية لغرس صفائح أو مسامير أو قضبان في العظم المكسور للإبقاء عليه في وضع سليم خلال وقت الالتئام.
من الأسباب التي تؤدي الى كسور:
عادةً ما ينتج كسر الكاحل عن الإصابة بالتواء، ولكن يمكن أيضًا أن ينجم عن ضربة مباشرة في الكاحل. تتضمن الأسباب الأكثر شيوعًا لكسور الكاحل ما يلي:[9]
- حوادث السيارات. قد تتسبَّب إصابات السحق الشائعة في حوادث السيارات في حدوث كسور تتطلب تدخلًا جراحيًّا.
- السقطات. قد يؤدي التعثر والسقوط إلى كسر عظام كاحلك، كما قد يحدُث عند الهبوط على قدميك بعد القفز من ارتفاع بسيط.
- العثرات. في بعض الأحيان، قد يؤدي مجرد وضع قدمك بشكل خاطئ إلى الإصابة بالتواء يمكن أن يسبب كسرًا في العظام.
إلتواءالكاحل
يمثل التواء الكاحل إصابة تحدث عندما تقوم بلف، أو ثني أو إدارة كاحلك بطريقة غير مناسبة. قد يؤدي هذا الأمر إلى حدوث شد أو تمزق في الأشرطة القوية للنسيج (الأربطة) التي تساعد على ربط عظام الكاحل مع بعضها.
تساعد الأربطة على تثبيت المفاصل، ومنع الحركة المفرطة. يحدث التواء الكاحل عندما يتم إجبار الأربطة على الخروج عن نطاقها الطبيعي للحركة. تتضمن معظم حالات التواء الكاحل إصابات بالأربطة بالجانب الخارجي من الكاحل.
يعتمد علاج التواء الكاحل على مستوى شدة الإصابة. على الرغم من أن تدابير الرعاية الذاتية وأدوية الألم التي تُصرف دون وصفة طبية قد تكون كل ما تحتاجه، فقد يكون التقييم الطبي ضروريًا للكشف عن مدى تأذي كاحلك، ولتحديد العلاج المناسب.[10]
تختلف العلامات والأعراض للكاحل الملتوي، وذلك وفقًا لشدة الإصابة قد تشمل:
مثل النرد
صُنعت النرد في الأصل من كعب الحيوانات ذات الظلف، مما أدى إلى لقب "العظام" للنرد. تُعرف بالعامية بإسم "عظام المفصل"، وهي عبارة عن رباعي السطوح تقريبًا. لا يزال المنغوليون المعاصرون يستخدمون عظامًا للألعاب وقراءة الطالع، حيث ترتبط كل قطعة بمعنى رمزي.[11]

الحيوانات الأخرى
يبدو أن الكاحل مشتق من إندماج ثلاث عظام منفصلة في أقدام البرمائيات البدائية، الظنبوب، متمفصل مع الظنبوب، الوسط، بين قاعدتي الظنبوب والشظية، والوسط الرابع، يقع في الجزء الأوسط من الرسغ. لا تزال هذه العظام منفصلة جزئيًا في البرمائيات الحديثة، والتي لا تمتلك بالتالي عظمًا حقيقيًا. يشكل الكاحل مفصلًا أكثر مرونة في الثدييات مما هو عليه في الزواحف. يصل هذا إلى أقصى حد له في أرتوداكتيلس، حيث يكون السطح البعيد للعظم به عارضة ناعمة للسماح بحرية أكبر لحركة القدم، وبالتالي زيادة سرعة الجري.
معرض صور
المراجع
- القاموس الطبي الموحد.
- Melenevsky, Yulia; Mackey, Robert A.; Abrahams, R. Brad; Thomson, Norman B. (2015-05-01). "Talar Fractures and Dislocations: A Radiologist's Guide to Timely Diagnosis and Classification". RadioGraphics. 35 (3): 765–779. doi:10.1148/rg.2015140156. ISSN 0271-5333. مؤرشف من الأصل في 17 يناير 2021. الوسيط
|CitationClass=تم تجاهله (مساعدة) - Platzer (2004), p 216
- Lee F. (1992). Radiology of Skeletal Trauma (باللغة الإنجليزية). Churchill Livingstone. ISBN 978-0-443-08550-5. مؤرشف من الأصل في 18 يناير 2021. الوسيط
|CitationClass=تم تجاهله (مساعدة) - Thieme Atlas of Anatomy (2006), p 406
- Gray's Anatomy (1918)
- Vallier, Heather A. (2015-09). "Fractures of the Talus: State of the Art". Journal of Orthopaedic Trauma (باللغة الإنجليزية). 29 (9): 385–392. doi:10.1097/BOT.0000000000000378. ISSN 0890-5339. مؤرشف من الأصل في 28 أكتوبر 2020. الوسيط
|CitationClass=تم تجاهله (مساعدة); تحقق من التاريخ في:|تاريخ=(مساعدة) - "Talar Fractures and Dislocations: A Radiologist's Guide to Timely Diagnosis and Classification". Radiographics (Review). 35 (3): 765–79. 2015. doi:10.1148/rg.2015140156. PMID 25969933. الوسيط
|CitationClass=تم تجاهله (مساعدة) Section Conclusion: "Accurately detecting, classifying, and managing talar injuries can be a challenging endeavor due to the unique anatomic characteristics of the talus and subtle radiographic findings of the injuries.", page 778. - "كسر الكاحل - الأعراض والأسباب - Mayo Clinic (مايو كلينك)". www.mayoclinic.org. مؤرشف من الأصل في 26 أكتوبر 2020. اطلع عليه بتاريخ 18 يناير 2021. الوسيط
|CitationClass=تم تجاهله (مساعدة) - "التواء الكاحل - الأعراض والأسباب - Mayo Clinic (مايو كلينك)". www.mayoclinic.org. مؤرشف من الأصل في 22 يناير 2021. اطلع عليه بتاريخ 18 يناير 2021. الوسيط
|CitationClass=تم تجاهله (مساعدة) - Carole (2001). Mongolian Music, Dance, & Oral Narrative: Performing Diverse Identities (باللغة الإنجليزية). University of Washington Press. ISBN 978-0-295-98112-3. مؤرشف من الأصل في 30 يناير 2021. الوسيط
|CitationClass=تم تجاهله (مساعدة)



