عظم سمسمي
العظم السمسمي (باللاتينية: ossa sesamoidea) عظام مسطحة صغيرة تشبة بذور السمسم تقع بالقرب من الأربطة والمفاصل كما في عظام الرضفة في الركبة.[2][3][4]
| العظم السمسمي | |
|---|---|
| الاسم اللاتيني ossa sesamoidea | |
![]() مقطع سهمي في مفصل الركبة اليمنى. | |
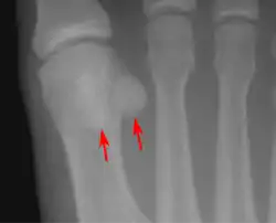
![]() العظام السمسمية عند الطرف البعيد لعظم مشط القدم الأول في القدم البشرية. العظام السمسمية عند الطرف البعيد لعظم مشط القدم الأول في القدم البشرية. | |
| تفاصيل | |
| نوع من | عظم ، وعظم قصير [1] |
| ترمينولوجيا أناتوميكا | 02.0.00.016 |
| FMA | 32672 |
| UBERON ID | 0001479 |
| ن.ف.م.ط. | D012716 |
المراجع
- معرف النموذج التأسيسي في التشريح: 32672 — تاريخ الاطلاع: 1 أغسطس 2019
- "معلومات عن عظم سمسمي على موقع meshb.nlm.nih.gov". meshb.nlm.nih.gov. مؤرشف من الأصل في 30 أغسطس 2019. الوسيط
|CitationClass=تم تجاهله (مساعدة) - "معلومات عن عظم سمسمي على موقع babelnet.org". babelnet.org. مؤرشف من الأصل في 10 ديسمبر 2019. الوسيط
|CitationClass=تم تجاهله (مساعدة) - "معلومات عن عظم سمسمي على موقع zthiztegia.elhuyar.eus". zthiztegia.elhuyar.eus. مؤرشف من الأصل في 10 ديسمبر 2019. الوسيط
|CitationClass=تم تجاهله (مساعدة)
- Gray's Anatomy (1918) (Bartleby)
- بوابة طب
- بوابة تشريح
This article is issued from Wikipedia. The text is licensed under Creative Commons - Attribution - Sharealike. Additional terms may apply for the media files.

