علامة الوسادة الدهنية
علامة الوسادة الدهنية (بالإنجليزية: Fat pad sign) أو علامة الشراع (بالإنجليزية: Sail sign) هي علامة طبية تظهر في الأشعة المقطعية وتشير إلى كسر عظم مخفي. شكلة على شكل شراع.[1] سبب هذه العلامة هو إزاحة الوسادة الدهنية المحيطة بمفصل المرفق. قد تظهر علامة أمامية أو علامة خلفية أو تظهر كلتا العلامتين.

تظهر علامة الوسادة الدهنية الخلفية في حالة الكسر اللقمي لعظم العضد. أما عند البالغين، فتظهر في حالة كسر رأس الكعبرة. تحدث علامة الوسادة الدهنية في الكسور التي تحدث داخل المفاصل فقط.
لا توجد قيمة لعلامة الوسادة الدهنية في تقييم كسر مفصلي في المرفق. عادة ما تكون علامة الوسادة الدهنية الأمامية طبيعية، أما العلامة الخلفية التي تظهر في صورة بالأشعة السينية لمفصل المرفق فهي غير طبيعية. في هذه الحالة، فإن المريض سيكون عاجزا عن ثني المفصل ويحتاج تداخلا من قبل طبيب عظام وكسور.[2]
الفيزيولوجيا المرضية
يمكن ضغط الوسادة الدهنية الخلفية في الحفرة الزجية بواسطة الضغط على وتر العضلة ثلاثية الرؤوس العضدية، وبذا ستكون غير مرئية لتصوير جانبي للمرفق بالأشعة.[3] عندما يكون هناك كسر في طرف عظم العضد أو وجود أي مرض يصيب المرفق أو التهاب يحدث حول الغشاء الزليلي، فهذه ستزيح الوسادة الدهنية عن مكانها الطبيعي. تعد علامة الوسادة الدهنية الخلفية العلامة الواضحة الوحيدة لكسر، ولا سيما عند الأطفال.
صور أخرى
علامة الوسادة الدهنية الأمامية الطبيعية لذراع سليمة
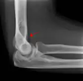
علامة الوسادة الدهنية الأمامية وكذلك الوسادة الدهنية الخلفية لطفل يعاني من كسر فوق اللقمة
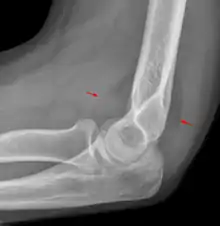
كسر رأس الكعبرة تظهر فيه علامة الوسادة الدهنية
المصادر
- Chapman S (1991). "The sail sign". Br J Hosp Med. 46 (6): 399–400. PMID 1760676. الوسيط
|CitationClass=تم تجاهله (مساعدة) - RSNA Publications Online نسخة محفوظة 02 يونيو 2008 على موقع واي باك مشين.
- Goswami, MD, Gaurav K. "The Fat Pad Sign". Radiology. مؤرشف من الأصل في 12 سبتمبر 2013. اطلع عليه بتاريخ 03 أكتوبر 2012. الوسيط
|CitationClass=تم تجاهله (مساعدة)
- بوابة طب