علم الأمراض التشريحي
علم الأمراض التشريحي هو تخصص طبي يهتم بتشخيص المرض بناء على المعاينة الظاهرية والمجهرية والكيميائية والمناعية والجزيئية للاعضاء والانسجة وكامل الجسم (تشريح الجثة).[1][2][3]
.jpg.webp)
_HER2_expression.JPG.webp)


.jpg.webp)

علم الأمراض التشريحي مقسم إلى اختصاصات فرعية، الرئيسية منها هي: علم الأمراض الجراحي، علم الأمراض الخلوي، وعلم الأمراض العدلي للحصول على رخصة لممارسة علم الأمراض على الفرد أن يكمل كلية الطب ويحصل على ترخيص بممارسة الطب في برنامج يتضمن الإقامة وشهادة معتمدة (في الولايات المتحدة، من المجلس الأميركي لعلم الأمراض أو المجلس الأميركي التقويمي لعلم الأمراض) وهذه شروط مطلوبة في عادة للحصول على وظيفة أو امتيازات متعلقة بالمستشفى.
علم الأمراض التشريحي هو أحد فرعي علم الأمراض، حيث الفرع الآخر هو علم الأمراض السريري، أي تشخيص المرض من خلال التحليل المختبري لسوائل و/أو أنسجة الجسم. في كثير من الأحيان، يمارس علماء الأمراض كلا من علمي الأمراض التشريحية والسريرية معا في تركيبة تعرف بعلم الأمراض العام. التمييز بين علمي الأمراض التشريحية والسريرية هو غير واضح بشكل متزايد بسبب ادخال تقنيات جديدة تتطلب خبرات جديدة كما تتطلب تجهيز مرضى وأطباء مرسلين للمرضى بتقارير تشخيصية متكاملة. توجد تخصصات مماثلة في علم الأمراض البيطري.
مهارات وإجراءات
الإجراءات المستخدمة في علم الأمراض التشريحي تتضمن:
- الفحص الظاهري - فحص النسيج المريض بالعين المجردة. هذا مهم خاصة لقطع النسيج الكبيرة، لان المرض في كثير من الأحيان يمكن تحديده بصريا. وفي هذه الخطوة أيضا علماء الأمراض يختارون المناطق التي يتم معالجتهابالتشريح المرضي النسيجي. ويمكن أن تدعم العين بنظارات مكبرة أو مجهر مجسم، خاصة عند فحص مخلوقات طفلية.
- التشريح المرضي النسيجي - الفحص المجهري لمقاطع النسيج المصبوغة باستخدام تقنيات نسيجية. الصبغات القياسية هي الهيماتوكسيلين(haematoxylin)و الإيوسين(eosin),ويوجد العديد غيرهما. استخدام الشرائح المصبوغة بالهيماتوكسيلين والإيوسين لتزودنا بتشخيص معين بالاعتماد على الشكل (morphology)يعتبر المهارة الجوهرية في علم الأمراض التشريحي. علم صبغ مقاطع الانسجة يعرف بالكيمياء النسيجية.
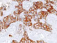
- الكيمياء النسيجية المناعية - استخدام الأجسام المضادة لكشف وجود ووفرة وموقع بروتينات معينة. هذه التقنية هو حاسم للتمييز بين الاضطرابات المرضية التي لها أشكال متشابهة، بالإضافة إلى تحديد الخصائص الجزيئية لسرطانات محددة.
- التهجين في الموقع - جزيئات DNA وRNA معينة يمكن تعريفها على مقاطع باستخدام هذه التقنية. عندما يتم تاشير المجس بصبغة مستشعة، التقنية تعرف ب FISH.
- علم الأمراض الخلوي - معاينة خلايا رخوة حرة مصبوغة ومنشورة على شرائح زجاجية باستخدام تقنيات علم الخلية.
- المجهر الإلكتروني - فحص النسيج بمجهر إلكتروني، الذي يسمح تكبير أكبر بكثير، مما يمكن رؤية العضيات بداخل الخلية. واستخدامها تم تقليله بشكل كبير واستبداله بالكيمياء النسيجية المناعية، ولكن استخدامه لا زال شائعا لمهام محددة، منها تشخيص امراض الكلية وتحديد متلازمة الهدب الغير متحرك ضمن استخدامات أخرى كثيرة.
- الورائة الخلوية للانسجة - اظهار الكروموسومات لتحديد العيوب الجينية مثل التعابر الكروموسومي.
- التدفق النمطي الظاهري المناعي - تحديد النمط الظاهري المناعي للخلايا باستخدام تقنيات التدفق الخلوي. وهو مفيد جدا لتشخيص الأنواع المختلفة لسرطان كريات الدم البيضاء وسرطان الغدد اللمفاوية.
التخصصات الفرعية
علم الأمراض الجراحي
علم الأمراض الجراحي هو الأهم والأكثر استهلاكا للوقت في الممارسة لكثير من علماء الأمراض التشريحي. علم الأمراض الجراحي يتضمن الفحص الظاهري والمجهري للعينات الجراحية، بالأضافة إلى الأنسجة المستأصلة المقدمة من غير الجراحين مثل أطباء الباطنية العامة والمختصين بالختصات الطبية الفرعية وأطباء الجلد أطباء الأشعة التدخلية. علم الأمراض الجراحي يتطلب بشكل متزايد تكنولوجيات ومهارات مرتبطة تقليديا بعلم الأمراض السريري مثل علم التشخيص الجزيئي.
علم أمراض الكلى
علم أمراض الكلى هو فرع متفرع من علم الأمراض التشريحي يهتم بتشخيص أمراض الكلى الطبية(عدا الأورام),متضمنة أمراض الكلى الأصلية والكلى المزروعة. علماء أمراض الكلى عادة يستخدمون تقنيات الاستشعاع المناعي والمجهر الإلكتروني بالإضافة إلى المجهر الضوئي، لعينات الكلية المستاصلة والكلى المستأصلة. عالم أمراض الكلي يقوم بمكاملة النتائج المجهرية من هذه التقنيات مع الأعراض السريرية للمريض ونتائجه الختبرية السريرية للوصول إلى تشخيص.
علم أمراض الفم والوجه والفكين
في الولايات المتحدة أطباء الأسنان المدربين في هذا التخصص الفرعي هم الذين يحصلون على شهادة من قبل مجلس احترافي ليمارسو علم أمراض الفم والوجه والفكين بدلا من الأطباء.
علم الأمراض الخلوية
علم الأمراض الخلوية هو فرع متفرع من علم الأمراض التشريحي يهتم بالفحص المجهري لخلايا منفردة كاملة تم الحصول عليهامن مسح أو عينات الشفط بأبر دقيقة. علماء علم الأمراض الخلوي مدربون للقيام بالشفط بواسطة الأبر الدقيقة لأعضاء سطحية وكتل واكياس، وعادة يكونون قادرين على تقديم تشخيص حالي في حضور المريض وطبيب استشاري. في حالة الفحوص الرقابية مثل مسح بابيناكيولو، تقنيو الخلاياغير الأطباء في كثير من الأحيان يستخدمون لأداء المراجعة الأولية، مع فحص فقط الحالات الموجبة أو الحالات غير المؤكدة من قبل عالم الأمراض. علم الأمراض الخلوي هو تخصص فرعي قابل للحصول على شهادة فيه في الولايات المتحدة.
علم الأمراض الجزيئي
علم الأمراض الجزيئي هو فرع ناشئ في علمي الأمراض التشريحي والسريريوالذي يركز على استخدام التقنيات المعتمدة على الحمض النووي مثل التهجين الموقعي، تفاعل بوليميرايز ترانسكريبتايز المعكوس reverse-transcriptase polymerase chain reaction,والمصفوفات المجهرية للحمض النووي للدراسات المتخصصة لامراض في الأنسجة والخلايا. علم الأمراض الجزيئي يشترك من بعض النواحي مع كلا علمي الأمراض التشريحي والسريري، وفي بعض الأحيان يعتبر كفرع تعابري.
علم أمراض تشريح الجثة
مقالة مفصلة: تشريح الجثة
علماء علم الأمراض التشريحي العام يدربون لأداء تشريح الجثث، والتي تستخدم لتحديد عناصر المرض التي ساهمت في موت الشخص تشريح الجثث مهم في التعليم الطبي المستمر للأطباء السريريين، وأيضا في الجهود المبذولة لتطوير وتقييم جودة العناية الطبية. Dieners (مساعد التشريح) هم غير الأطباء الذين يساعدون علماء الأمراض في التشريح الظاهري في تشريح الجثة. حقل جديد أسس والذي هو عالم أمراض مساعد استولى على دور (مساعدو المشرحة) Dieners وساهم بشكل كبير في التشخيص المبكر أوماقبل التشخيص للامراض صمن مختبر علم الأمراض. تشريح الجثث يمثل أقل من 10% من حمل العمل لعلماء الأمراض في الولايات المتحدة. على الرغم من ذلك فتريح الجثث هو شئ جوهري في المدركات العامة عن علماء الأمراض وهذا يعود في جزء منه إلى برامج التلفزيون مثل Quinsy, M.E. and Silent Witness(الشاهد الصامت).
علم الأمراض العدلي
علماء الأمراض العدلي يتلقون تدريبا خاصا في تحديد اسبب الوفاة ومعلومات ذات الصلة بالقضايا القانونية المرتبطة بجثث الأشخاص الذين ماتو فجأة دون سبب طبي معلوم، والذين يموتون بسبب أسباب غير طبيعية، بالإضافة إلى الذين يموتون نتيجة جرائم القتل أو ميتات مشتبه بها جنائيا. غالبية الحالات التي تواجه علماء علم الأمراض العدلي هي نتيجة أسباب طبيعية، في كثير من الأحيان ذات طبيعة مرضية معقدة. في كثير من الأحيان، يتم استخدام اختبارات إضافية مثل اختبارات السموم، الأنسجة، والاختبارات الجينية لمساعدة الطبيب الشرعي في تحديد سبب الوفاة. وبسبب هذا، من الضروري أن يكون لدى علماء علم الأمراض العدلي خلفية قوية في علم الأمراض التشريحي قبل أن يمتهنوا مهنتم. في كثير من الأحيان علماء علم الأمراض العدلي يستدعون ليشهدوا في المحكمة بالنتائج التي وصلو إليها في حالات القتل والوفيات المثيرة للشكوك. كما أنها تلعب دورا كبيرا في مجال الصحة العامة، مثل التحقيق في الوفيات في مكان العمل، وحالات الوفاة في الحجز، وكذلك وفيات الأطفال المفاجئة وغير المتوقعة. علماء علم الأمراض العدلي في كثير من الأحيان لديهم مجالات اهتمام خاصة ضمن ممارستهم، مثل الوفيات لأسباب مرضية قلبية، الوفيات نتيجة الأدوية، أو متلازمة موت الرضيع المفاجئ، وآخرون كثير.
التدريب ومنح الشهادات لعلماء علم الأمراض التشريحي
أستراليا
علم الأمراض التشريحي واحدة من البرامج التدريبية المتخصصة التي تقدمها الكلية الملكية لعلماء الأمراض الأستراليون (RCPA). الRCPA. لييتم تأهيلهم ليكونو زملاء للRCPA في مجال علم الأمراض التشريحي، يجب على المرشحين لهذا التأهيل أن يكملوا برامج طبية ما قبل التخرج أو بعد التخرج، وبعد ّلك أن يكملو على الأقل سنة واحدة من الخبرة الطبية السريرية (إقامة) كشرط أساسي كمسجل للتدريب. البرنامج التدريبي يكون 5 سنوات كحد أدنى، ويخدم في مختبرين على الأقل، والمرشحين يجب أن يعبروا امتحان علوم ملاضية أساسية(عادة في السنة الأولى),امتحان الجزء1 (في السنة الثالثة أو بعدها)و امتحان الجزء 2 (السنة الخامسة أو بعدها). الزملاءيمكنهم الاستمرار في التدريب للتخصصات الفرعية.
كندا
علم الأمراض التشريحي هو واحد من الشهادات المتخصصة التي تمنحها الكلية الملكية للأطباء والجراحين في كندا. الشهادات الأخرى ذات الصلة بعلم الأمراض تشمل علم الأمراض العام، علم الأمراض العدلي، علم أمراض الدم، علم الأمراض العصبية. المقدمون لاي من هذه الاختصاصات يجب أن يكملو أربع سنوات في كلية ال بعد الحصول على الشهادة في اي من علم الأمراض التشريحي أو علم الأمراض العام، من الشائع لعلماء الأمراض أن يبحثوا على تدريبات زمالة أخرى في تخصص فرعي في علم الأمراض التشريحي.
الولايات المتحدة الأميركية
علم الأمراض التشريحي هو واحد من اثنين من الشهادات الأولية التي يقدمها المجلس الأميركي لعلم الأمراض. والآخر هو علم الأمراض السريري. للحصول على شهادة في علم الأمراض التشريحي، يجب على المتدرب إكمال أربع سنوات في كلية الطب تليها ثلاث سنوات من التدريب في الأقامة. العديد من علماء الأمراض في الولايات المتحدة حاصلون على شهادة في كلا علم الأمراض التشريحي وعلم الأمراض السريري، مما يتطلب أربعة سنين إقامة . بعد الانتهاء من الإقامة، كثير من علماء الأمراض ينخرطون في سنوات أخرى من التدريب في زمالات للحصول على خبرة في تخصص فرعي من علم الأمراض التشريحي.
ضوابط ممارسة علم الأمراض التشريحي
- علم الأمراض التشريحي الأكاديمي يتم ممارسته في مراكز جامعية طبية من قبل علماء الأمراض الّين هم أيضا أعضاء في هيئة تدريس الكلية. على هذا النحو، في كثير من الأحيان يكون لديهم مسؤوليات متنوعة تتضمن تدريب مقيمي علم الأمراض، وتعليم طلاب كلية الطب، إجراء البحوث الأساسية، أو السريرية، أو الترجمية، و/أو أداء مهام إدارية، كل هذا بالإضافة إلى ممارسة علم المراض التشريحي التشخيصي. علماء الأمراض في الحالات الأكاديمية في كثير من الأحيان يتخصصون تخصصا فرعيا في مجال من محجالات علم الأمراض التشريحي ويمكنهم أن يكونوا استشاريين لعلماء الأمراض الآخرين في المجال المحدد لخبرتهم.
- الممارسة كمجموعة هي أكثر نماذج الممارسة الخاصة تقليدية. في هذا النوع، مجموعة من علماء الأمراض القدامى الذين يديرون شراكة بتوظيف علماء أمراض جديدي التخرج ويتعاقدون مع المستشفيات لتقديم خدمات تشخيصية، بالإضافة إلى الحصول على أعمال محلية من الأطباء السريريون الذين لهم عيادات خارجية. هذه المجموعة عادة يملكون مختبر لفحوص الأنسجة واحتبارات إضافية أخرى، وكذلك يمكن أن يتعاقدوا لإدارة مختبرات مملوكة للمستشفيات. كثير من الأطباء الذين يمارسون في هذا النوع مدربون وحاصلون على شهادات في كل من علم الأمراض التشريحي والسريري، والتي تتيح له الإشراف على مصارف الدم، مختبرات الكيمياء السريرية، ومختبرات علم الأحياء المجهرية الطبية أيضا.
- مؤسسات كبيرة تقدم حدمات تشخيصية في علم الأمراض ظهرت في السنوات الخيرة وأشهرها AmeriPath في الولايات المتحدة. في هذا النموذج علماء الأمراض هم موظفين أكثر منهم شركاء مستقلين. اهذا النموج تم نقده لكونه يقلل استقلالية الأطباء، ولكن المدافين عنه يقولون أن الحجم الأكبر لهذه المؤسسات يتيح لاقتصاديات وتخصصات أكبر، بالإضافة إلى مساحة كافية لدعم طرق اختبارت أكثر تخصصا.
- مجموعات متعددة التخصصات ، التي تتألف من الأطباء من تخصصات طبية، وكذلك أطباء أشعة وعلماء أمراض هو نموذج آخر من نماذج الممارسة. في بعض الحالات، قد تكون هذه المجموعات الكبيرة محكومة من قبل منظمة من منظمات الحفاظ على الصحة لكبيرة الرعاية. وفي حالات أخرى، هم في الأساس مجوعة ممارسين سريريين يستخدمون علماء الأمراض ليقدمو خدمات تشخيصية لهذه المجموعة. وهذه المجموعات يمكن ان تملك مختبرات خاصة، أو، في بعض الحالات يمكن أن يعملو ترتيبات مع مختبرات "pod labs" التي تسمح لمجموعات الأطباء السريريين كي يستأجرو مساحة، مع كون هذه المجموعات تستقبل مدفوعات تأمين لخدمات علم الأمراض. التغييرات المحتملة في تنظيمات الرعاية الصحية يمكن أن تنهي هذه الترتيبات في الولايات المتحدة.
وصلات خارجية
- PathMax، مجموعة من مصادر علم الأمراض عبر الإنترنيت
- MyBiopsy.org، معلومات عن أكثر من 25 نوعا من أكثر السرطانات شيوعا ووعلومات ذات صلة بالسرطان
- طبيب الطبيب The Doctor's doctor، موقع مفيد جدا للمرضى وعلماء الأمراض
- علم الأمراض عبر الإنترنت Pathologie online، مصادر في علم الأمراض عبر الإنترنت باللغة الألمانية
- الخطوط العريضة لعلم الأمراض Pathology Outlines، كتاب منهجي في علم الأمراض التشريحي عبر الإنترنت
- كلية علماء الأمراض الأميركيين
- المجلس الأمريكي لعلم الأمراض
- CYTOPATHNETمركز مصادر في علم الأمراض الخلوي عبر الإنترنت
- علم الأنسجة مجموعة فيكتوريا
- مجموعة فليكر: علم الأمراض ومختبرات طبية: صور عديدة توضح عمل علماء الأمراض.
- Pathtalk.org: مدونة إنترنت متعددة المؤلفين من وإلى علماءعلم الأمراض التشريحي، مع حالات تعليمية ومناقشات مرتبطة بالتخصصات.
- PathologyPics.com: قاعدة بيانات تفاعلية في علم الأنسجة ل علماء علم الأمراض التشريحي الممارسين وأيضا المتدربين.
مراجع
- "معلومات عن علم الأمراض التشريحي على موقع thes.bncf.firenze.sbn.it". thes.bncf.firenze.sbn.it. مؤرشف من الأصل في 10 ديسمبر 2019. الوسيط
|CitationClass=تم تجاهله (مساعدة) - "معلومات عن علم الأمراض التشريحي على موقع zthiztegia.elhuyar.eus". zthiztegia.elhuyar.eus. مؤرشف من الأصل في 10 ديسمبر 2019. الوسيط
|CitationClass=تم تجاهله (مساعدة) - "معلومات عن علم الأمراض التشريحي على موقع psh.techlib.cz". psh.techlib.cz. مؤرشف من الأصل في 10 ديسمبر 2019. الوسيط
|CitationClass=تم تجاهله (مساعدة)
- بوابة طب
- بوابة تشريح