غشاء ساقط
الغشاء الساقط. (بالإنجليزية: Decidua)، هو مصطلح لبطانة الرحم خلال فترة الحمل، التي تشكل جزء المشيمة، تتشكل تحت تأثير خلايا هرمون الإستروجين وأشكال مميزة جدا.[1][2]
| Decidua | |
|---|---|
![]() Diagrammatic sections of the uterine mucous membrane: A. The non-pregnant uterus. B. Decidua parietalis; the mucous membrane] in the pregnant uterus and not beneath the placenta. | |
![]() مَقطع عرضي في رَحم الحامِل في الشهر الثالث والرابع. مَقطع عرضي في رَحم الحامِل في الشهر الثالث والرابع. | |
| تفاصيل | |
| معرفات | |
| غرايز | ص |
| مصطلحات جنينية | E6.0.1.4.0.0.7 |
| ن.ف.م.ط. | A16.759.289 |
| ن.ف.م.ط. | D003656 |
التسميه
الكلمة مأخودة من كلمة (deciduus) اللاتينية، والتي تعني تسقط.
الخلفيه
بعد الإباضة ، في الثدييات، بطانة الرحم تتحول إلى البطانة الإفرازية كاستعداد لوجود الجنين . ان لم يتم الزرع، البطانة الإفرازية سيتم استيعابها ( دورة ودقي ) أو تسليطها ( الدورة الشهرية ) .
مع الزرع، البطانة الآن تدعي الساقط، حيث تتطور كذلك خلال فترة الحمل.
يتم تسليط الساقط أثناء عملية الولاده.
التركيب
وقد وصفت طبقات مختلفة من الساقط :
- الطبقة الخارجية المدمجة ( الطبقة المكتنزة )
- الطبقة المتوسطة ( الطبقة الإسفنجية )
- طبقة الحدود المتاخمة لعضل الرحم (الطبقة القاعديه)
هذا الجزء من الساقط الذي يتفاعل مع الأرومه الغاذيه هو الساقط القاعدي، وتسمي أيضا الساقط المشيمي.ماتبقي من الساقط يسمي الجداري أو الساقط الحقيقي.وهنالك أيضا الساقط المحفظي، حيث ينمو علي الجنين في الجانب اللمعي، يرفقه في بطانة الرحم والتي تحيط بالجنين جنبا إلي جنب مع الساقط القاعدي.
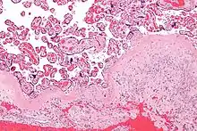
و الساقط لديه مظهر تشريحيا متميز، تظهر خلايا متعددة الأضلاع الساقطية كبيرة في سدى . هذه هي خلايا انسجة بطانة الرحم الموسع، التي تشبه ظهارة ( و يشار إليها باسم " شبيه الظهارة " ) . ويسمى تشكيل الساقط المتخصصة decidualization ، الذي هو صفه خاصة لبطانة الرحم يتم رؤيتها فقط في المشيمة الدموية "مشيمائية" .
عملية تكوين الساقط يشمل التفريق بين شكل المغزل في الخلايا الليفية انسجة الخلايا الإفرازية الساقطية، أي إنشاء المصفوفة خارج الخلية المحيطة بالخلايا الغنية في فبرونيكتين و laminin ( مماثلة ل خلايا الظهارية ) . الأوعية الدموية، وكذلك نفاذية الأوعية الدموية ، مما يعزز في بطانة الرحم الساقطيه. الكريات البيض سكانها متميز، مع وجود الكريات البيض بطانة الرحم الحبيبية كبيرة تكون غالبة، في حين أن الكريات البيض متعددة النوى وخلايا B هي سكانيا. وتسمى الخلايا الليمفاوية الحبيبية الكبيرة ( CD56 الساطع) " خلية الرحم NK " أو " الخلايا UNK " في الفئران، و " الخلايا القاتلة الطبيعية الساقطية " أو " الخلايا DNK " في البشر.منطقة تنكس فبريني حيث يتقابل الساقط و trophoblasts تدعي طبقة نيتابوخ . هذه الطبقة هي غائبة في ملتحم المشيمة .
الدور
يشارك الساقط في تبادل التغذية عن طريق واجهة الام الي الجنين، والغاز، والنفايات مع الحمل. كما أنه يحمي الحمل من الجهاز المناعي للأم . وعلاوة على ذلك، فإن الساقط عليه ان يسمح ل غزو مسيطر جدا من الأرومة الغاذية.في اضطرابات المشيمة الغازية مثل المشيمة الملتحمه، وجد أنه تكوين الساقط باستمرار يصبح معوز.
إنتاج الهرمون
الساقط تفرز الهرمونات ، عوامل النمو ، و السيتوكينات . لديها مستقبلات ل هرمون الاستروجين والبروجسترون ، وهرمون النمو، وغيرها.
من بين منتحاتها توجد هرمونات مرتبطة عادة مع أجهزة أخرى مثل الكورتيزول, GnRH , CRF ، البرولاكتين ، و ريلاكسين .البرولاكتين الساقطي ليست تحت السيطرة الدوبامين. البروتين الحمل 14 (PP- 14 )، وتسمى أيضا المشيمة البروتين 12 ، والانسولين الذي يشبه عامل النمو ملزم البروتين 1 ( IGFBP1 ) يبدو أن منتجات معينة من إفرازية وبطانة الساقطية.وتشمل العوامل الأخرى التي أصدرت انترلوكين 15 و عامل نمو بطانة الأوعية الدموية ( VEGF ) . التفاهم المعقول من الأدوار والتفاعل بين هذه الهرمونات والعوامل لم يتلقي بعد.


البعض
في حالة الحمل خارج الرحم ، و بطانة الرحم تصبح واقعا ساقطي مع ذلك . ويجوز للمرأة "تسلط" بطانة في شكل يلقي ساقطي، والذي قد يكون مخطئا كما الإجهاض ، عندما، في الواقع، خارج الرحم لا يزال مستمرا .
تفاعل ساقطي يمكن ملاحظتها في أنسجة الغشاء البريتوني والمبيض أثناء الحمل، ويمثل استجابة الأنسجة اللحمية ل هرمون البروجسترون .
الساقط في العقدة الليمفاوية يصبح مقلدا للنقيلي السرطاني.
علم الأمراض
عدوى طويلة الأمد لل الساقط، التهاب الساقط المزمن، ويرتبط مع ولادة ماقبل الأجل . == صور اضافيه ==

المراجع
1* Cunningham, F. Gary, ed. (2005). Williams obstetrics (22nd ed.). New York ; Toronto: McGraw-Hill Professional. (ردمك 9780071413152).
2* Wu, DC.; Hirschowitz, S.; Natarajan, S. (May 2005). "Ectopic decidua of pelvic lymph nodes: a potential diagnostic pitfall". Arch Pathol Lab Med 129 (5): e117–20. doi:10.1043/1543-2165(2005)129e117:EDOPLN2.0.CO;2 (inactive 2015-01-12). ببمد 15859655.
3* Edmondson, N.; Bocking, A.; Machin, G.; Rizek, R.; Watson, C.; Keating, S. (2009). "The prevalence of chronic deciduitis in cases of preterm labor without clinical chorioamnionitis". Pediatr Dev Pathol 12 (1): 16–21. doi:10.2350/07-04-0270.1 (inactive 2015-01-12). ببمد 18171100.
روابط خارجيه
1*Histologic picture at med.utah.edu
2*Gray's s12
3*Histology image: 19904loa – Histology Learning System at Boston University
مراجع
- بوابة المرأة
- بوابة تشريح
- بوابة صحة المرأة
- بوابة طب
- بوابة علم وظائف الأعضاء
- "معلومات عن غشاء ساقط على موقع l.academicdirect.org". l.academicdirect.org. مؤرشف من الأصل في 11 ديسمبر 2019. الوسيط
|CitationClass=تم تجاهله (مساعدة) - "معلومات عن غشاء ساقط على موقع meshb.nlm.nih.gov". meshb.nlm.nih.gov. مؤرشف من الأصل في 18 سبتمبر 2019. الوسيط
|CitationClass=تم تجاهله (مساعدة)

