فتق
الفتق (بالإنجليزية: Hernia) هو بروز عضو أو غطاء العضو من خلال جدار التجويف الذي عادة مايحتويه. والفتق الفجوي يحدث عندما تبرز المعدة في التجويف الصدرى من خلال فتحة المريء الموجودة في الحجاب الحاجز.
| الفتق | |
|---|---|
![]() الفتق الحجاب الحاجز الخلقي الفتق الحجاب الحاجز الخلقي | |
| معلومات عامة | |
| الاختصاص | جراحة عامة |
| التاريخ | |
| وصفها المصدر | الموسوعة السوفيتية الأرمينية ، وموسوعة ناتال |
إلى حد بعيد، إن أكثر أنواع الفتق شيوعا هو الفتق الذي يحدث في البطن، عندما يحدث ضعف في الجدار البطنى ويتطور إلى فتحة محددة أو خلل ومن خلالها يحدث الفتق ويبرز من خلالها انسجة دهنية أو الأعضاء الموجودة في البطن والمغطاة بالبريتون ونوع آخر من الفتق يتضمن القرص الفقرى ويسبب عرق النسا.
ويمكن للفتق أن يسبب ألماً في موقعه ويمكن أن يكون الفتق ظاهراً أو يحس بهِ عن طريق الجس باليد، وربما يسبب أعراض غامضة نتيجة للضغط على أعضاء أخرى في طريقه، وقد يؤدى إلى خلل وظيفي في هذا العضو. والأنسجة الدهنية عادةً ما تدخل الفتق أولا، ولكن يمكن أن يتبعها أو يصاحبها عضو.
وفى معظم الأحيان ينتج الفتق نتيجة زيادة الضغط في منطقة وجود العضو وعندها يحدث ضعف في الجدار.
- ضعف العضلات أو الأغشية عادة ما يكون بسبب عيب خلقي (وهو ما يفسر جزءا من نزوع حدوث الفتق في بعض الأسر)، ويزيد مع التقدم في السن (على سبيل المثال، ضمور الحلقة الليفية الخاصة بالقرص الفقري)، ولكنه قد يكون على أساس من الأمراض الأخرى، مثل متلازمة - دنلس إيهلرز أو متلازمة مارفان وتمدد العضلات أثناء الحمل، وفقدان الوزن في البُدناء، وما إلى ذلك، أو بسبب الندوب من الجراحة السابقة.
- وتسبب عدة ظروف على المدى البعيد في زيادة الضغط داخل التجويف البطنى مثل: (الحمل والاستسقاء والداء الرئوي الانسدادي المزمن وعسر التغوط وتضخم البروستاتا الحميد)، ولذلك يكثر حدوث الفتق. وزيادة الضغط داخل الجمجمة يمكن أن يسبب فتاق أجزاء من المخ إلى تجاويف الجمجمة أو عن طريق الثقبة العظمى الموجودة في قاعدة الجمجمة، وكذلك زيادة الضغط على الأقراص الفقرية، والذي ينتج عن رفع الأحمال الثقيلة أو رفعها بأسلوب غير لائق يزيد من احتمالات حدوث الفتق.
التصنيف
فتاق الرياضيين هو متلازمة تتصف بألم مزمن في المنطقة الأربية وتمدد في الفتحة السطحية الأربية على الرغم من ذلك لا يحدث فتق حقيقي.و هناك عدة أنواع من الفتوق منها:
- فتق حجابي
- فتق أربي
- فتق فخذي
- فتق جنب سري
- فتق سري
- فتق بوقي
- فتق شرسوفي
الفتق الاربى
مقالة مفصلة: فتق أربي


إلى حد بعيد الفتق الأكثر شيوعا (ما يصل إلى 75 ٪ من جميع الفتق البطني) هو ما يسمى بالفتق الإربي. ويتطلب للفهم مزيد من المعرفة لأجل تشريح القناة الاربية. وتقسم أنواع الفتق الإربي إلى نوعين النوع الأول وهو الأكثر شيوعا (مصور هنا 2/3) هو النوع غير المباشر وهو يحدث نتيجة ضعف في الفتحة الأربية الداخلية الخاصة بالقناة الاربية، والنوع الثاني هو الفتق الإربي المباشر (1/3)، وهنا تضغظ محتويات الفتق على الجدار الخلفى للقناة الأربية. الفتق الإربي هو النوع الأكثر شيوعا في كل من الرجل والمرأة. ولكن الفتق الفخذي يحدث في كثير من الأحيان في النساء أكثر من الرجال، ولكن النساء تصاب بالفتق الإربي أكثر من الفتق الفخذي.
الفتق الفخذي
الفتق الفخذي هو نوع نادر من الفتق. ويقدر أن واحدا فقط من كل 20 حول الفتق الفخذ الفتق الفخذي هي، والباقي الفتق الإربي. تظهر الفتق الفخذي في بعض الأحيان وجود تورم مؤلم في الجزء العلوي الداخلي من الفخذ أو أعلى الفخذ. يمكن في كثير من الأحيان مقطوع يتم صدهم أو سوف تختفي عند الاستلقاء. السعال أو اجهاد قد جعل مقطوع تظهر.
الاسباب
يحدث فتق الفخذي عادة عندما الأنسجة الدهنية أو جزء من الأمعاء، مثل الأمعاء، الوخزات من خلال في الفخذ في الجزء العلوي من الفخذ الداخلية الخاصة بك. فإنه يدفع من خلال نقطة ضعف في جدار العضلات المحيطة بها (جدار البطن) في قناة الفخذ. القناة هي قناة الفخذ من خلالها الأوعية الدموية والأعصاب تمر من وإلى المحطة الخاصة بك. على عكس الفتق الأربي، الفتق الفخذي يحدث الآن في كثير من الأحيان أكثر في النساء، وخاصة النساء المسنات. هذا هو بسبب شكل أوسع من الحوض الإناث. الفتق الفخذي نادرة في الأطفال. يمكن الفتق الفخذي تظهر فجأة في بعض الأحيان بسبب الضغط على البطن، مثل اجهاد في المرحاض إذا كان لديك إمساك، أو تحمل ودفع الأحمال الثقيلة. كما تم ربط لهم السمنة وجود الثابتة، والسعال الثقيلة. عندما تكون هناك حاجة لعملية جراحية؟
الفتق الفخذي يمكن إصلاحه باستخدام عملية جراحية لدفع انتفاخ العودة إلى المكان وتعزيز ضعف في جدار البطن. وخلافا لبعض الأنواع الأخرى من الفتق، الفتق الفخذي علاج ينصح دائما تقريبا على الفور بسبب وجود مخاطر أكبر من جراء المضاعفات النامية في هذه الحالات. المضاعفات التي يمكن أن تتطور نتيجة للفتق الفخذي ما يلي: إعاقة - حيث يصبح جزء من الأمعاء عالقا في قناة الفخذ، مما تسبب الغثيان والتقيؤ وآلام في المعدة، وكذلك وجود تورم مؤلم في الفخذ الخنق - حيث جزء من الأمعاء يصبح محاصرين ويتم قطع امدادات الدم قبالة؛ هذا يتطلب جراحة عاجلة في غضون ساعات للإفراج عن الأنسجة المحاصرين واستعادة امدادات الدم لذلك لا يموت سوف تتخلص من جراحة الفتق ومنع أي مضاعفات خطيرة، على الرغم من أن هناك فرصة منه العودة بعد العملية. ما يحدث أثناء الجراحة؟
هناك طريقتان أن إصلاح الفتق الفخذي يمكن القيام بها: الجراحة المفتوحة - حيث يتم قطع واحد للسماح للجراح لدفع المقطوع مرة أخرى في البطن ثقب المفتاح (بالمنظار) جراحة - تقنية أقل الغازية ولكن أكثر صعوبة حيث يتم إجراء عدة تخفيضات أصغر، مما يسمح للجراح لاستخدام مختلف أدوات خاصة لإصلاح فتق هناك مزايا وعيوب لكلا الأسلوبين. نوع من الجراحة كان لديك سيعتمد على الطريقة التي تناسبك وخبرة الجراح. يجب أن تكون قادرا على الذهاب إلى المنزل في نفس اليوم أو في اليوم التالي للجراحة. من المهم أن تتبع التعليمات في المستشفى على كيفية الاعتناء بنفسك. وهذا يشمل تناول نظام غذائي جيد لتجنب الإمساك، ورعاية الجرح وليس اجهاد نفسك قريبا جدا. معظم الناس تتماثل للشفاء الكامل من إصلاح الفتق الفخذي في غضون ستة أسابيع، على الرغم من أن العديد من الناس قادرون على العودة إلى القيادة والعمل والأنشطة الخفيفة في غضون أسبوعين. قراءة المزيد عن كيفية تنفيذ إصلاح الفتق الفخذي ويتعافى من إصلاح الفتق الفخذي. هل هناك أي مخاطر من العملية؟ إصلاح الفتق الفخذي هو عملية روتينية مع مخاطر قليلة جدا، على الرغم من أن حوالي 1٪ من الفتوق سيعود بعد العملية. وهناك شائعة أخرى من إصلاح الفتق الفخذي ما يلي: تطوير مقطوع تحت الجرح صعوبة في التبول إصابة أو تضييق الوريد الفخذي (الذي يمر من خلال قناة الفخذ) إصابة الأمعاء ضعف مؤقت في الساق إصابة في الأعصاب، مما يسبب الألم أو التنميل في منطقة الفخذ''
الفتق السري
مقالة مفصلة: فتق سري
الفتق السري شائع خاصة عند الرضع من أصل أفريقي،. وتحدث عندما تبرز محتويات البطن من خلال ضعف في الجدار البطني مكان وجود الحبل السري. هذه الفتوق في كثير من الأحيان ما يشفى من تلقاء نفسه. ويحدث الفتق السري في البالغين وخاصة في الحوامل عندما تكون في حملها الأول ومرضى السمنة. وقد يحدث معها تقاطع غير طبيعي في الخط الأبيض. ويسبب آلاماً شديدة.
الفتق الجراحي
مقالة مفصلة: فتق جراحي
والفتق الجراحي يحدث عندما يكون الضغط الجداري ناتج عن التئام غير كامل لعملية جراحية. وعندما تحدث في عمليات شق البطن النصفي عند الخط الأبيض تسمى فتق امامى. ويمكن لهذه أن تكون محبطة للغاية ويصعب علاجه، وإصلاح الأنسجة والتي تكون بالفعل ضعيفة.
فتق حجابي
مقالة مفصلة: فتق حجابي

وفى أعلى البطن، يحدث"الفتق الحجابي" عندما يبرز جزء من المعدة أو الأمعاء في جوف الصدر من خلال خلل في الحجاب الحاجز.
والفتق الفجوي نوع خاص ومختلف فمن خلال فتحة حجابية طبيعية وخاصة بالمريء عندما يلتقي بالمعدة تبرز المعدة من خلال هذه الفجوة. وهذا الفتق نوعان: النوع الأول انزلاقي وهنا تبرز الوصلة التي بين المريء والمعدة إلى التجويف الصدري والنوع الآخر غير انزلاقي (بجانب المريء) حيث يبرز جزء آخر من المعدة غير الجزء الخاص بالفتق الانزلاقي وتكون الوصلة ثابتة. والفتق غير الانزلاقي (بجانب المريء) من الممكن أن يكون خطيراً حيث يمكن للمعدة أن تلتف حول نفسها وتنسد. وينصح عادة بإصلاحه.
والفتق الحجابي الناتج عن عيب خلقي يعتبر مشكلة منفصلة حيث يحدث لمولود من كل 2000 مولود ويتطلب تدخل جراحي من جراح أطفال وقد تبرز بعض الأمعاء من خلال عدة اجزاء في الحجاب الحاجز، وقد يكون فتق خلفي جانبي (في مثلث بوكداليك، مما ينتج عنه فتق بوكداليك)، أو أمامي نصفي (في الشق بين فجوتي لارى ومورجاجنى، وينتج عنهُ فتق لارى ومرجاجنى أو فتق مورجاجنى).
انواع الفتق الاخرى
- فتق كوبر: فتق فخذي يتسم باثنين من الأكياس، الأول هو في قناة الفخذ، والثاني يمر من خلال خلل في النسيج السطحي يظهر تقريباً تحت الجلد.
- فتق ما فوق المعدة Epigastric : فتق من خلال الخط الأبيض وفوق السرة.
- فتق فجوي:يحدث نتيجة قصر طول المريء -عدم اكتمال استطالة المعدة- فتحرك المعدة إلى التجويف الصدري.
- فتق ليتر:ويتضمن رتج ميكل (Meckel's diverticulum). وقد أسماه عالم التشريح الفرنسي الكس ليتر (1658-1726)
- فتق قطنى(فتق بليشنر)Bleichner's Hernia: ويحدث هذا الفتق في المنطقة القطنية (ولا تخلط بينة وبين فتق القرص الفقري القطني)حيث يحتوى على:
- فتق بيتى:هو يحدث خلال مثلث بيتى (المثلث القطني السفلي) وقد سمى باسم الجراح الفرنسي جون لويس بيتى (1674-1750)
- فتق جرينفيلت:يحدث خلال مثلث جرينفلت -ليسشفت (المثلث القطني العلوي). والذي يحمل اسم الطبيب جوزيف جرينفلت (1840-1913).
- فتق مايدل: اثنان من حلقات الأمعاء الدقيقة داخل كيس الفتاق مع رقبة ضيقة. ويحرم جزء من الأمعاء داخل البطن من إمدادات الدم ويصبح في نهاية المطاف نخري.
- القناة السداسية : فتق القناة من خلال القنة السداسية.
- فتق البنطلون:ويجمع بين الفتق المباشر والغير مباشر، عندما يبرز كيس الفتق على أحد من جانبى الاوعية الدموية الفوق معدية السفلي.
- فتق جانب المرئ Paraesophageal hernia.
- فتق جانب السرة Paraumbilical hernia:نوع من الفتق السري يحدث في البالغين.
- فتق العجان Perineum:
وهى تبرز من خلال ضعف في العضلات والأنسجة الخاصة السفلية بالمنطفة العجانية Perineum
- فتق فوق بريتونى Properitoneal: نوع نادر من الفتق يحدث فوق البريتون. على سبيل المثال، عندما يبرز جزء من الفتق الأربي من الفتحة الأربية العميقة إلى التجويف البريتوني.
- فتق ريختر : فتق لا يحتوي سوى على جدار واحد من الأمعاء، والتي يمكن أن تؤدي إلى خنق الأمعاء مما يؤدي إلى نقص الأوكسجين أو ثقب دون التسبب في انسداد الأمعاء أو أي من علامات الإنذار. وسميت باسم الجراح الألماني أغسطس ريختر غوتليب (1742-1812).
- فتق انزلاقى : يحدث عندما يسحب عضو جزء كبير من الغشاء البريتوني، أو، بعبارة أخرى، فإن العضو هو جزء من كيس الفتق. والمثانة البولية والقولون يشاركان في كثير من الأحيان . يشير المصطلح أيضا في كثير من الأحيان إلى الفتق الانزلاقي المعدي.
- الفتق الوركي : هو فتق يحدث من خلال الفتحة الوركية الكبرى وويكون العرض الأكثر شيوعاً هو ألم في المنطقة الأليوية. قد يحدث أيضاً انسداد الأمعاء. هذا النوع من فتق ليست سوى سبب نادر من الألم العصبي الوركي.
- فتق سبيجيليان: المعروف أيضا باسم فتق جانبي بطني عفوي.
- فتق الرياضة : فتق يتميز بآلام مزمنة في الفخذ ووتمدد في الفتحة السطحية للقناة الأربية.
- فتق فالبو Velpeau: فتق في الفخذ أمام الأوعية الفخذية.
- الفتق Amyand:ويحتوي على الزائدة الدودية داخل كيس الفتق.
الخصائص
ويمكن تصنيف الفتوق وفقا لموقعها التشريحي:
- الفتق في البطن، * فتق حجابى وفتق فجوي على سبيل المثال (فتق معدى بجانب المريء)
- الفتق الحوضي، على سبيل المثال فتق القناة السداسية.
- فتق شرجي.
- الفتق من النواة اللبية للأقراص الفقرية.
- فتق داخل الجمجمة.
- فتق سبيجيليان.
ويمكن تصنيف كل من الفتق أعلاه من عدة جوانب:
- خلقياً أو مكتسباً: الفتق الخلقية تحدث قبل الولادة أو في السنة الأولى للحياة، والناجمة عن عيب خلقي، في حين الفتق المكتسب يحدث في وقت لاحق في الحياة. ومع ذلك، بناء على قواعد لوكاس مينر (الجدار الجانبى هو الأقل مقاومة)، وهذا قد يكون عيب خلقي تظهر أعراضه لاحقا. عندما يحدث ضمور أو زيادة توتر على سبيل المثال (زيادة الضغط في التجويف البطني أثناء الكحة في مرضى لديهم مرض الانسداد الرئوي المزمن)، سيزيد احتمالية الإصابة بالفتق.
- كاملة أو غير كاملة: على سبيل المثال، قد تبرز المعدة جزئياً أو كلياً في التجويف الصدري.
- داخلية أو خارجية : الخارجية منها تبرز إلى خارج الجسم الداخلية، في حين أن الفتق الداخلية تبرز من فراغ عادية لآخر (على سبيل المثال، الفتق المساريقي).
- فتق داخل الجدار intraparital: وهو فتق لا يصل إلى تحت الجلد ولكن إلى طبقة العضلات على سبيل المثال فتق سبيجليان ويسبب هذا النوع من الفتق نتوء أقل وضوحا وقد لا يظر أثناء الكشف الطبي.
- الثنائي: في هذه الحالة فيجب أن يحدث إصلاح فوري وأحيانا ستخدم ضاغطات صناعية كبيرة.
- غير القابل للإعادة (المعروف أيضا باسم المحصورة): محتويات الفتاق لا يمكن أن تعود إلى مكانها الطبيعي بإجراء بسيط.
إذا كان نوع الفتاق هو غير القابل للإعادة، الفتق يمكن أن يطور مضاعفات عدة (وبالتالي، يمكن أن تكون ذات مضاعفات أو ليست مصاحبة بمضاعفات) :
- الخنق: الضغط على محتويات الفتاق قد تعرضها لخطر نقص إمدادات الدم (خاصة الأوردة، لأن ضغطها منخفض، حساسة، ولأن الاحتقان الوريدي وارد الحدوث)، ويسبب فقر دم موضعي، ونخر في وقت لاحق، والغرغرينا، والتي قد تصبح قاتلة.
- انسداد: على سبيل المثال، عندما يبرز جزءاً من الأمعاء، فإن محتويات الأمعاء لم تعد قادرة على تمرير الانسداد. وهذا يؤدي إلى تشنجات، في وقت لاحق القيء وحالات بطء حركة الأمعاء، وغياب ريح البطن وعدم التغوط.
- اختلال وظيفي : تعقيد آخر قد يحدث، عندما يبدأ العضو البارز في إظهار خلل وظيفي على سبيل المثال: (الفتق الانزلاقي قد يسبب ألم يشبه حرق المعدة أو فتق القرص الفقري القطني قد يسبب عرق النسا).
الأسباب
تختلف أسباب الفتق الفجوي تبعاً لكل فرد. ومن بين أسباب متعددة الأسباب الميكانيكية والتي تشمل: رفع وزن ثقيل، ونوبات السعال الحادة، ضربات حادة في البطن، والملابس الضيقة والوضعيه الغير صحية في النوم.[1]
وعلاوة على ذلك، الظروف التي قد تزيد من الضغوط داخل تجويف البطن قد تسبب الفتق أو تفاقم الفتق القائم. وفيما يلي بعض الأمثلة على النحو التالي: السمنة، وتوتر خلال حركة الأمعاء أو التبول، وأمراض الرئة المزمنة، وأيضاً، السوائل في تجويف البطن.[2]
ويمكن للفتق أن يحدث بسبب ضعف العضلات نتيجة لسوء التغذية، أو بسبب التدخين، أو الإجهاد.
العلامات والأعراض
الأعراض قد لا تكون موجودة في بعض الفتق الإربي بينما في بعض الفتق الأخرى قد تكون موجودة، بما في ذلك الأربية، إن الأعراض والعلامات تختلف تبعاً لنوع من فتق. وفي حالة الفتق القابل للإعادة، يمكنك أن ترى النتوء في كثير من الأحيان، وتشعر بالنتوء في الفخذ أو في منطقة أخرى في البطن. عندما يقف، يصبح الانتفاخ أكثر وضوحاً. وبالإضافة إلى النتوء، تشمل الأعراض الأخرى ألم في الفخذ التي قد تشمل أيضا الإحساس الثقيل أو سحب، ولدى الرجال، هناك أحياناً ألم وتورم في كيس الصفن حول منطقة الخصيتين.[3]
قد يكون الفتق الغير قابل للإعدة أو المحصور سبب في بعض الآلام، ولكن الأعراض الأكثر صلة هي أنه لا يعود إلى تجويف البطن عندما يتم دفعهم وهي قد تكون مزمنة، غير مؤلم على الرغم من ذلك، ويمكن أن يؤدي إلى الاختناق. والقيء، أو الحمى والغثيان قد يحدث في هذه الحالات بسبب انسداد في الأمعاء. أيضا، قد يتتحول الوان الفتق إلى حمراء وردية أو داكنة.
الفتق المخنوق دائما ما يكون مؤلم أو قد يتبع الالم أي لمس أو ضغط. كما قد يحدث كذلك الغثيان والقيء بسبب انسداد في الأمعاء. المريض قد يواجه أيضا حمى.[4]
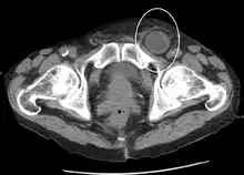
في تشخيص الفتق في البطن، التصوير هو الوسيلة الرئيسية لكشف الفتق الداخلية الفتق حجابي وغيرها، أو ان لم تكن متوقعة أو مشتبة في وجودها. الاشعة المقطعة ذات المجسات المتعددة (MDCT) يمكن أن تظهر على وجه الدقة موقع تشريحي للكيس الفتق، محتويات الكيس، واى مضاعفات. كما يقدم تفاصيل واضحة عن جدار البطن مما يتيح التعرف إلى أن جدار الفتق بدقة.[5]
عوامل الخطورة
عندما لا يتم إصلاح فتق، قد تصبح محصورة أو مخنوقة. عندما تختنق، هناك خطر من أن جزءا من الأمعاء تكون انحصرت في فتق مما يؤدى إلى قطع إمدادات الدم إلى الأنسجة. أيضا، عندما يحدث انسداد الأمعاء، فإنه يؤدي إلى ألم شديد، والتقيؤ والغثيان وعدم القدرة على حركة الأمعاء أو نقل الغاز. الرجال أكثر عرضة إلى الفتق الإربي يعانون أكثر من النساء، وأنها خطر على الخصيتين إذا انحصرتا داخل الفتق.[6] كما أن الضغوط الناجمة عن فتق في الأنسجة المحيطة قد تمتد إلى كيس الصفن يسبب الألم والتورم.
العلاج
إصلاح الفتق يشير إلى العملية الجراحية لتصحيح الفتق (انتفاخ الأعضاء الداخلية أو الأنسجة من خلال وجود عيب في جدار تجويف الجسم). ويمكن أن يحدث الفتق في العديد من الأماكن، بما في ذلك البطن والأربية و الحجاب الحاجز والمخ وفي موضع عملية سابقة . وهناك أساليب عديدة مختلفة للإصلاح الجراحي لحالات الفتق، بما في ذلك رفو الفتق ورأب الفتق وبضع الفتق. وغالبًا ما يتم إجراء إصلاح الفتق كإجراء إسعافي.
وقد يصحح الإصلاح الفتق الإربي أو الفتق الفخذي أو الفتق السري أو أنواع أخرى من الفتق.
ومن الصواب عموما إصلاح الفتق بسرعة من أجل منع حدوث مضاعفات مثل ضعف العضو المصاب، الغنغرينا، متلازمة تعدد خلل الأعضاء، والموت. ويمكن لمعظم الفتق البطني الإصلاح جراحيا، ونادرا ما يتطلب التعافى تغييرات طويلة الأجل في نمط الحياة. الفتق الغير مصاحبة لتعقيدات يمكن ان تصلح بالضغط واعادتها إلى مكانها وبعلاج ضعف العضلات أو الخلل الذي أدى إلى حدوث الفتق وتسمى العملية herniorrhaphy إذا حدثت مضاعفات، فإن الجراح يتحقق من صلاحية العضو المفتوق، ويستأصله إذا لزم الأمر.
التقنيات الحديثة لتقوية العضلات تشمل المواد الاصطناعية (الشبكة الصناعية) التي تجنب الإفراط في تمددالأنسجة الضعيفة أصلا (كما هو الحال في كبار السن، ولكن لا تزال هذة الاساليب مفيدة). يتم وضع الشبكة إما على الخلل (إصلاح الأمامي) أو أكثر من الأفضل أن يكون تحت الخلل (إصلاح الخلفي). وتستخدم في بعض الأحيان بعض الأدوات للحفاظ على الشبكة في مكانها. وتسمى هذه الطرق في كثير من الأحيان "الضغط الحر"، لانها على عكس الأساليب التقليدية القديمة، لا يتم سحب العضلات معا عن طريق الضغط.
اختبار الأدلة القائمة اقترح في البداية أن هذه الأساليب حرة الضغط لديهم أدنى نسبة من تكرارحدوث الفتق وفترة التئام أسرع مقارنة مع وسائل خياطة الجروح القديمة. ومع ذلك، استخدام شبكة الاصطناعية يصحبه وجود نسبة مرتفعة من حالات العدوى وقد أصبحت موضوعا للدراسة المعاهد الوطنية للصحة.[7]
دراسة واحدة حاولت التعرف على العوامل المتصلة بعدوى الشبكات، ووجدت أن اختلال الجهاز المناعي (مثل السكري) كان عاملا.[8] أصبحت الشبكة أيضا موضوع تقاضى ودعاوى القضائية.[9]
على نحو متزايد، يتم تنفيذ بعض الإصلاحات من خلال جراحة المناظير.
ويشار أيضا جراحة بالمنظار على أنها ذات حد ادنى من التدخل، الأمر الذي يتطلب شق واحد أو أكثر للكاميرا وأدوات لإدراجها، في مقابل فتح "التقليدية" أو "المجهرية" لعملية جراحية، الأمر الذي يتطلب إجراء شق كبير بما يكفي ل تدرج يد الجراح في جسم المريض. مصطلح الجراحة المجهرية مضلل يشير إلى الأجهزة المكبرة التي استخدمت خلال عملية جراحية مفتوحة.
يذهب الكثير من المرضى إلى مراكز جراحة اليوم الواحد ووتكون قادرة على العودة إلى العمل في غضون أسبوع أو اثنين، في حين تحظر الانشطة الصعبة لفترة أطول. المرضى الذين لديهم يتم إصلاح الفتق باستخدام شبكة يستردو صحتم في كثير من الأحيان في عدد من الأيام. وقدرت المضاعفات الجراحية إلى أن تصل إلى 10 ٪، ولكن يمكن معالجتها بسهولة. وهي تشمل التهابات موقع الجراحة، اصابة الأعصاب والاوعية الدموية، والإصابة إلى الأعضاء المجاورة، وتكرار الفتق.
عموما، استخدام الأجهزة الخارجية للحد من عودة الفتق دون إصلاح الخلل الأساسي (مثل دعامات، جذوع، والأحزمة، وما إلى ذلك)، لا ينصح به. الاستثناءات هي حالات الفتق الجراحى الغير مصاحبة بأى تعقيدات والتي تحدث بعد فترة قصيرة من اجراء العملية (ويجب أن تصلح بعد عدة أشهر، ليس قبل ذلك)أو المرضى الذين لا ينصح باجراء عمليات لهم أساسا
ومن الضروري أن لا يتم عمل اعمال شديدة مثل حمل اشياء ثقيلة حتى لا يعود الفتق.
المضاعفات
قد تنشأ مضاعفات ما بعد العملية، بما في ذلك رفض للشبكة التي تم استخدامها لإصلاح الفتق. في حال رفض شبكة، فإن من المرجح ان يتم ازالتها. يمكن الكشف عن رفض الشبكة بوضوح، فأحيانا تظهر كتورم والم ف مكان وجود الشبكة. الافرازالمستمر من مكان الندبة ممكن ان يحدث بعد ازالة الشبكة.
عند عدم معالجة الفتق تحدث مضاعفات ومنها:
التدليك
لا ينصح باجراء تدليك في حالات الفتق الغير قابل للإعادة.وكذلك في نفس الحالات المصاحبة بالتهابات. وبالنسبة للعمليات مؤخرا، ينبغي احترام بروتوكولات ما بعد الجراحة. بالنسبة لجراحات الفتق القديمة، ينصح التدليك.
التشخيص
الفتق الإربي


يعدّ الفتق الأكثر شيوعاً (حوالي 75٪ من الفتق في البطن). وينقسم الفتق الأربي إلى فتق إربي غير مباشر أكثر شيوعاً (ثلثي الحالات)، حيث يتم دخول القناة الإربية عبر نقطة ضعف خلقي عند مدخلها (الحلقة الأربية الداخلية)، وفتق إربي مباشر (ثلث الحالات)، حيث تُدفع محتويات الفتق من خلال نقطة ضعف في الجدار الخلفي للقناة الأربية. الفتق الأربي هو النوع الأكثر شيوعاً في كل من الرجال والنساء. في بعض الحالات المحددة، قد يتطلب تدخّل جراحي.
الفتق الفخذي
يحدث الفتق الفخذي أسفل الرباط الإربي، عندما تمر محتويات البطن عبر منطقة ضعيفة في الجدار الخلفي للقناة الفخذية. ويمكن أن يكون من الصعب تمييزها عن الفتق الإربي (خصوصاً عند الصعود رأسياً): ومع ذلك، فإنه عموماً يبدو أكثر دائريةً، وعلى النقيض من الفتق الإربي، هناك كثرة في شيوع الفتق الفخذي لدى الإناث. حالات الاختناق في الفتق الفخذي عالية. تقنيات الإصلاح بشكل عام متشابهة في حالتي الفتق الفخذي والفتق الإربي.
الفتق السُّري
يحدث عند نتوء محتويات البطن من خلال ضعف في موقع مرور الحبل السّري من خلال جدار البطن. الفتق السري في البالغين عادةً ما يكون مُكتسباً، وأكثر شيوعاً في النساء البدينات أو الحوامل. التصالب غير الطبيعي للألياف في الخط الأبيض قد يساهم في حدوث الفتق السُّري.
الفتق الجراحي
ثقب الفتق الجراحي يحدث نتيجة الالتئام غير الكامل للجروح. وعندما يحدث الفتق الجراحي عبر شقوق البطن المتوسطة في الخط الأبيض، يسمى الفتق البطني. ويمكن لهذه الحالات أن تكون مُحبطة للغاية وصعبة العلاج، لأن النسجة المستخدمة في الإصلاح موهنة.
الفتق الحجابي أو فتق الحجاب الحاجز

يحدث على مستوى أعلى في البطن، عندما يبرز جزء من المعدة أو الأمعاء إلى تجويف الصدر من خلال ضعف أو ثقب في الحجاب الحاجز. في حالات معينة من هذا النوع، يعمل الممر الطبيعي الذي يلتقي المريء من خلاله بالمعدة بمثابة "عيب أو ثقب" وظيفي، مما يتيح لجزء من المعدة أن "ينفتق" بشكل دوري إلى الصدر.
قد يكون الفتق الحجابي إمّا "انزلاقي"، عندما تدخل منطقة الالتقاء المريئي المعدي نفسها من خلال الثقب إلى الصدر، أو "غير انزلاقي" (المعروف أيضا باسم جانب المريئي)، وفي هذه الحالة تبقى منطقة الالتقاء المريئي المعدي نفسها ثابتة بينما جزء آخر من المعدة يتحرك نحو الأعلى من خلال هذا الثقب. والنوع الأخير هذا يمكن أن يكون خطيراً لأنه قد يتيح للمعدة الالتفاف والانسداد. وعادةً يُنصح بإجراء إصلاح لهذا النوع من الفتق.
الفتق الحجابي الخلقي مشكلة معروفة، وتحدث في ما يصل إلى 1 من كل 2000 ولادة، والتي تتطلب جراحة الأطفال. الأجهزة المعوية تنفتق من خلال عدة أجزاء من الحجاب الحاجز، من الجهة الخلفية الوحشية (في مثلث بوكدالك، مما أدى إلى فتق بوكدالك)، أو الجهة الأمامية الإنسية - خلف عظمة القصّ (في شق لاري/ ثقب مورغانيي، مما أدى إلى فتق مورغانيي- لاري، أو فتق مورغانيي).[10]
أنواع أخرى
بما أنّ العديد من الأجهزة أو أجزاء من الأجهزة يمكن أن ينفتق من خلال العديد من الفوهات، فإنه من الصعب جداً أن نكوّن قائمة شاملة لأنواع الفتق، مع جميع المرادفات. وتتناول المادة المذكورة أعلاه في الغالب "الفتق الحشوي"، حيث تنفتق الأنسجة داخل التجويف البطني. فيما يلي سرد أنواع الفتق الأخرى وأنواع غير عادية من الفتق الحشوي:
- فتق أمياند: يحتوي على الزائدة الدودية داخل كيس الفتق.
- فتق كوبر: فتق فخذي ذو اثنين من الأكياس، الأول في القناة الفخذية، والثاني من خلال ثقب في اللفافة السطحية ويظهر مباشرة تحت الجلد.
- فتق الدماغ: هو أحد الآثار الجانبية -التي قد تكون قاتلة- لارتفاع الضغط الشديد داخل الجمجمة. ويحدث عند تقلّص أو كبس جزء من الدماغ داخل الجمجمة.
- فتق فوق السّرة (فتق شرسوفي): فتق من خلال الخط الأبيض فوق السّرة.
- فتق الحجاب الحاجز: فتق بسبب قصر المريء - عدم كفاية الاستطالة - فترتفع المعدة إلى الصدر.
- فتق ليتر: الفتق الذي يحتوي على رتج ميكل. يُنسب لعالم التشريح الفرنسي ألكسيس ليتر (1658-1726).
- فتق قطني: فتق في منطقة أسفل الظهر (وينبغي عدم الخلط بينه وبين فتق القرص القطني)، يحتوي على:
- فتق بيتي: فتق من خلال مثلث بتي (المثلث القطني الأدنى). يُنسب للجراح الفرنسي جان لويس بيتي (1674-1750).
- فتق جرينفيلت: فتق من خلال مثلث جرينفيلت-ليشات (المثلث القطني الأعلى). يُنسب للطبيب جوزيف جرينفيلت (1840-1913).
- فتق ميدل: يحتوي على اثنتين من الحلقات المتجاورة من الأمعاء الدقيقة داخل كيس الفتق ذي الرقبة الضيقة. الجزء الداخل من الأمعاء في كيس الفتق يُحرم من إمدادات الدم ويصبح في نهاية المطاف نخري.
- فتق مورغانيي: حيث تمرّ محتويات البطن إلى الصدر من خلال وجود ضعف أو ثقب في الحجاب الحاجز.
- فتق المصراع: الفتق من خلال قناة المسدّة.
- فتق البنطلون (فتق حقيبة السرج): فتق مشترك يحتوي على إربي مباشر وغير مباشر معاً، عندما يبرز كيس الفتق على جانبي الأوعية الشرسوفية الدنيا.
- فتق مجاور للمريء.
- فتق مجاور للسرّة:نوع من الفتق السرّي يحدث في البالغين.
- فتق العجان: يبرز من خلال عضلات ولفافة السطح العجاني. قد يحصل بلا سبب لكن عادةً ما يحدث بعد استئصال بروستاتا العجان، أو استئصال بطني عجاني للمستقيم، أو اجتثاث الحوض.
- فتق الصفاق: فتق نادر يقع مباشرة فوق الصفاق، على سبيل المثال، عندما يبرز جزء من الفتق الإربي من الحلقة الأربية العميقة إلى المساحة أمام الصفاق.
- فتق ريختر: فتق يحتوي على جدار واحد فقط من جداريّ الأمعاء، ويمكن أن يؤدي إلى خنق الأمعاء وبالتالي إلى ثقبها بسبب نقص الأوكسجين دون أن يسبب انسداد الأمعاء أو أي من العلامات التحذيرية. ويُنسب للجراح الألماني أغسطس ريختر غوتليب (1742-1812).
- فتق انزلاقي: يحدث عندما ينسحب العضو على طول جزء من الغشاء البريتوني، أو، بعبارة أخرى، فإن العضو هو جزء من كيس الفتق. عادةً يحتوي على القولون والمثانة البولية. المصطلح أيضاً يستخدم بكثرة للإشارة إلى الفتق الانزلاقي في المعدة.
- الفتق الوركي: عبر الثقب الوركي الأكبر، وأكثر أعراضه شيوعاً هو وجود كتلة غير مريحة في منطقة الألوية. وقد يرافقه انسداد للأمعاء. وهذا النوع من الفتق يُشكّل سبب نادر للألم العصبي الوركي.
- فتق شبيغل، المعروف أيضاً باسم فتق بطني جانبي عفوي.
- فتق رياضي: يتميز بوجود ألم مزمن في الفخذ لدى الرياضيين وتوسّع في الحلقة الأربية السطحية.
- فتق فيلبو: فتق في الفخذ، أمام الأوعية الدموية الفخذية.
طرق العلاج
الجمالون
استخدام أجهزة خارجية للحفاظ على الفتق راجعاً دون إصلاح الثقب أو العيب الأساسي (مثل دعامات الفتق، الجذوع، والأحزمة، إلخ). فوائد ومميزات هذه الطريقة غير واضحة.[11]
الجراحة
يوصى بالإصلاح الجراحي لبعض أنواع الفتوق لمنع حدوث مضاعفات مثل انسداد الأمعاء أو خنق الأنسجة. مع ذلك فإن الفتوق السرّية والحجابية قد تُعالج بالمراقبة فقط أو عن طريق الأدوية.[12] معظم أنواع الفتق البطني يمكن إصلاحها جراحياً، ولكن الجراحة لها مضاعفاتها. الوقت اللازم للتعافي بعد العلاج يكون أقل إذا تم إصلاح الفتق عن طريق المنظار، لكن أحياناً يمكن إجراء جراحة مفتوحة بدون تخدير عام. يتم إصلاح الفتق البسيط (غير المعقد) بشكل أساسي عن طريق دفع الأنسجة أو الأعضاء إلى الوراء، أو "إرجاعها"، ومن ثم إصلاح الضعف في الأنسجة العضلية (عملية تسمى رفو الفتق). إذا حدثت مضاعفات، فعلى الجرّاح التحقق من صلاحية الانسجة أو الأعضاء، وإزالة جزء منه إذا لزم الأمر.
تقنيات تعزيز العضلات غالباً ما تحتوي على استخدام مواد اصطناعية (شبكة).[13] بحيث توضع الشبكة فوق الثقب (إصلاح الأمامي) أو تحت التقب (إصلاح الخلفي). في بعض الأحيان يتم استخدام الدبابيس أو المشابك للحفاظ على الشبكة في مكانها. غالبا ما تسمى هذه الأساليب بـ الإصلاحات "الخالية من الضغط أو الشدّ" لأنها على عكس بعض أساليب الخياطة (على سبيل المثال شولدايس)، لا تتضمن سحب العضلات معاً تحت الشدّ والضغط. ومع ذلك، هذه المصطلحات المستخدمة على نطاق واسع مضللة، لوجود العديد من طرق الخياطة الخالية من الشدّ التي لا تستخدم شبكة (على سبيل المثال ديزاردا، غوارنييري، ليبتون-إيسترن ... ).
تشير الدلائل إلى أن الطرق الخالية من الشدّ (مع أو بدون شبكة) غالباً ما تحمل نسبة أقل من احتمالية تكرار الفتق وفترة انتعاش أسرع بالمقارنة مع طرق الخياطة التي تستعمل الشدّ. ومع ذلك، من بين المضاعفات المحتملة، يبدو أن استخدام شبكة اصطناعية لديه احتمالية أعلى لحدوث ألم مزمن، وأحياناً التهاب.[14] وتيرة التصحيح الجراحي تتراوح بين 10 لكل 100.000 (في المملكة المتحدة) إلى 28 لكل 100.000 (في الولايات المتحدة).[11]
التعافي
يتم إصلاح الفتق لكثير من الناس من خلال مراكز الجراحة اليومية، وهم قادرون على العودة إلى العمل في غضون أسبوع أو اثنين، في حين تُحظر الأنشطة المكثفة لفترة أطول. الناس الذين تمّ إصلاح الفتق لديهم ووضع شبكة غالباً ما يتعافون في غضون عدد من الأيام، على الرغم من أن الألم يمكن أن يستمر لفترة أطول.المضاعفات الجراحية تشمل: الألم الذي يستمر لأكثر من ثلاثة أشهر، والتهابات موقع الجراحة وإصابات الأعصاب والأوعية الدموية، وإصابة الأعضاء المجاورة، وتكرار الفتق. الألم الذي يستمر أكثر من ثلاثة أشهر يحدث في حوالي 10٪ من الأشخاص بعد إصلاح الفتق.[11]
المضاعفات
المضاعفات قد تنشأ بعد العملية، بما في ذلك الرفض للشبكة التي تم استخدامها لإصلاح الفتق. في حال رفض شبكة، فمن المرجح جداً أنك سوف تحتاج لإزالتها. يمكن الكشف عن رفض الشبكة عن طريق تورّم واضح، موضعي في بعض الأحيان، وألم حول منطقة الشبكة. قد يستمر تصريف إفرازات من مكان الجرح لفترة من الوقت بعد أن تتم إزالة شبكة.
الفتق المعالج جراحياً يمكن أن يؤدي إلى مضاعفات، في حين أن الفتق غير المعالج قد يترافق مع مضاعفات منها:
- الالتهاب.
- عدم القابلية للإرجاع.
- عرقلة أيّ تجويف، مثل انسداد الأمعاء في الفتق المعوي.
- الخنق.
- تجمّع سوائل في كيس الفتق.
- النزف.
- مشاكل المناعة الذاتية.
- السجن، بحيث لا يمكن إرجاع الفتق أو صدّه في مكانه،[15] على الأقل ليس بدون جهد خارجي كبير.[16] وفي الفتوق المعوية، يزيد هذا بشكل كبير من خطر انسداد الأمعاء والخنق.
علم الأوبئة
حوالي 27٪ من الذكور و 3٪ من الإناث يعانوا من فتق في منطقة الفخذ في وقتٍ ما في حياتهم.[11] الفتق الأربي، والفخذي والبطني أدّوا إلى حوالي 51.000 حالة وفاة في عام 2013 و55000 في عام 1990.[17]
انظر أيضًا
- فتق سري
- فتق جراحي
- فتق فخذي
- فتق المستقيم هبوط المهبل الخلفي (الفتاق)
المراجع
- "Hiatal Hernia Symptoms, Causes And Relation To Acid Reflux And Heartburn". مؤرشف من الأصل في 15 سبتمبر 2011. اطلع عليه بتاريخ 2010/05/24. الوسيط
|CitationClass=تم تجاهله (مساعدة); تحقق من التاريخ في:|تاريخ الوصول=(مساعدة) - "Hernia Causes". مؤرشف من الأصل في 21 سبتمبر 2017. اطلع عليه بتاريخ 2010/05/24. الوسيط
|CitationClass=تم تجاهله (مساعدة); تحقق من التاريخ في:|تاريخ الوصول=(مساعدة) - "Symptoms". مؤرشف من الأصل في 8 نوفمبر 2013. اطلع عليه بتاريخ 2010/05/24. الوسيط
|CitationClass=تم تجاهله (مساعدة); تحقق من التاريخ في:|تاريخ الوصول=(مساعدة) - "Hernia Symptoms and Signs". مؤرشف من الأصل في 30 سبتمبر 2017. اطلع عليه بتاريخ 2010/05/24. الوسيط
|CitationClass=تم تجاهله (مساعدة); تحقق من التاريخ في:|تاريخ الوصول=(مساعدة) - [17] ^ لي هونغ كونغ، سج بارك، والبوسنة والهرسك يي.رسم مقطعى متعدد المجسات يكشف اختلاف الفتق البطنى. التصوير التشخيصي. 2010 ؛ 32 (5) :27 - 31.
- "Risk Factors". مؤرشف من الأصل في 17 أكتوبر 2010. اطلع عليه بتاريخ 2010/05/24. الوسيط
|CitationClass=تم تجاهله (مساعدة); تحقق من التاريخ في:|تاريخ الوصول=(مساعدة) - NCBI - WWW Error Blocked Diagnostic [وصلة مكسورة]
- http://www.uptodate.com/patients/content/topic.do؟topicKey = ~ AewAWy90g.DiQX
- "Kugel Mesh Patch Recall". مؤرشف من الأصل في 5 مارس 2012. الوسيط
|CitationClass=تم تجاهله (مساعدة) - Arráez-Aybar, L. A., González-Gómez, C. C., & Torres-García, A. J. (2009). Morgagni-Larrey parasternal diaphragmatic hernia in the adult. Rev Esp Enferm Dig, 101(5), 357-366.
- Fitzgibbons RJ, Jr; Forse, RA (19 February 2015). "Clinical practice. Groin hernias in adults". The New England Journal of Medicine. 372 (8): 756–63. doi:10.1056/NEJMcp1404068. PMID 25693015. الوسيط
|CitationClass=تم تجاهله (مساعدة) - Hernia - NHS.UK نسخة محفوظة 26 سبتمبر 2017 على موقع واي باك مشين.
- Effectiveness of mesh hernioplasty in incarcerated inguinal hernias. Kamtoh G, Pach R, Kibil W, Matyja A, Solecki R, Banas B, Kulig J. 2014 Sep;9(3):415-9. doi: 10.5114/wiitm.2014.43080
- Sohail MR, Smilack JD (June 2004). "Hernia repair mesh-associated Mycobacterium goodii infection". J. Clin. Microbiol. 42 (6): 2858–60. doi:10.1128/JCM.42.6.2858-2860.2004. PMC 427896. PMID 15184492. مؤرشف من الأصل في 10 ديسمبر 2019. الوسيط
|CitationClass=تم تجاهله (مساعدة) - Trudie A Goers; Washington University School of Medicine Department of Surgery; Klingensmith, Mary E; Li Ern Chen; Sean C Glasgow (2008). The Washington manual of surgery. Philadelphia: Wolters Kluwer Health/Lippincott Williams & Wilkins. ISBN 0-7817-7447-0. الوسيط
|CitationClass=تم تجاهله (مساعدة)صيانة CS1: أسماء متعددة: قائمة المؤلفون (link) - onlinedictionary.datasegment.com> incarcerated Citing: Webster 1913 نسخة محفوظة 20 نوفمبر 2008 على موقع واي باك مشين.
- GBD 2013 Mortality and Causes of Death, Collaborators (17 December 2014). "Global, regional, and national age-sex specific all-cause and cause-specific mortality for 240 causes of death, 1990-2013: a systematic analysis for the Global Burden of Disease Study 2013". Lancet. 385: 117–71. doi:10.1016/S0140-6736(14)61682-2. PMC 4340604. PMID 25530442. الوسيط
|CitationClass=تم تجاهله (مساعدة)
وصلات خارجية
- مصادر الفتق
- مدونة الفتق
- أعراض فتق
- فتق الرياضيين: خطأشائع في التشخيص
- فتق: مجلة عالم الفتق وجراحة جدار البطن.
صور
- بوابة طب
