فرط تعظم باطن العظم الجبهي
فرط تعظم باطن العظم الجبهي (باللاتينية: Hyperostosis frontalis interna) هو تسمك حميد شائع يحدث في الجزء الداخلي من العظم الجبهي من الجمجمة. يحدث غالبا في النساء في سن اليأس وغالبا من يكون بدون أعراض. غالبا ما يكتشف بشكل عرضي خلال الفحوص بالأشعة السينية والأشعة المقطعية للجمجمة.[1]

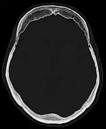
فرط تعظم باطن العظم الجبهي كما يظهر بواسطة الأشعة المقطعية.
| فرط تعظم باطن العظم الجبهي Hyperostosis frontalis interna | |
|---|---|
![]() فرط تعظم باطن العظم الجبهي في امرأة تبلغ من العمر 74 عاما فرط تعظم باطن العظم الجبهي في امرأة تبلغ من العمر 74 عاما | |
| معلومات عامة | |
| من أنواع | خلل تنسج عظمي غضروفي |
This article is issued from Wikipedia. The text is licensed under Creative Commons - Attribution - Sharealike. Additional terms may apply for the media files.
