فصال عظمي
التهاب المفصل التنكسي أو الداء المفصلي التنكسي أو الفُصال أو الفصال العظمي (بالإنجليزية: Osteoarthritis) يعتبر من أكثر أمراض العظام انتشاراً، وهو عبارة عن تلف غير قابل للتجدد يصيب الأنسجة الغضروفية المفصلية التي تعمل على تقليل الاحتكاك الناتج من حركة المفاصل الدائمة، وتعمل كوسادة لحماية العظام. تآكل هذه الطبقة الواقية بسبب المرض يؤدي إلى احتكاك الأنسجة العظمية، ويصحب الاحتكاك التهابات تصيب جوف المفصل وتتسبب في الآلام. بشكل عام فإن جميع المفاصل في الجسم معرضة لتغيرات وتلف في النسيج الغضروفي، ولكن أكثر المفاصل شيوعاً بالإصابة بهذا المرض مفاصل الركبة والورك لكونهما أكثر المفاصل تحملاً لوزن الإنسان.
| الفصال | |
|---|---|
![]() فصال في الركبة وتظهر النوابت العظمية على جانبي جوف المفصل وتآكل النسيج الغضروفي في اليسار، وتكاثف العظم في الوسط نتيجة التحميل الزائد على المفصل. فصال في الركبة وتظهر النوابت العظمية على جانبي جوف المفصل وتآكل النسيج الغضروفي في اليسار، وتكاثف العظم في الوسط نتيجة التحميل الزائد على المفصل. | |
| معلومات عامة | |
| الاختصاص | طب الأسرة ، وطب الروماتزم |
| من أنواع | التهاب المفاصل |
| المظهر السريري | |
| الأعراض | التهاب المفاصل [1] |
| الإدارة | |
| أدوية | إيبوبروفين ، وجلوكوزامين ، وفالديكوكسيب ، وفلوربيبروفين ، وكيتوبروفين ، وأوكسابروزين ، وميلوكسيكام ، وإندوميتاسين ، وديكلوفيناك ، وفينوبروفين ، وسولينداك ، وتولميتين ، وإتودولاك ، وديفلونيزال ، ونابروكسين ، وبيروكسيكام ، وسيليكوكسيب ، ونابوميتون ، وروفيكوكسيب ، وأسبرين ، وتولميتين ، وإتودولاك ، وبيروكسيكام ، وسولينداك ، وفينوبروفين ، وكيتوبروفين ، ونابوميتون ، وفلوربيبروفين
|

ينصح الأطباء بالحركة رغم المرض وصعوبته، وذلك لتلافي حالة الإعاقة الكاملة. تحتاج المفاصل المصابة للحركة والتمرين إذ أن "إراحتها" يتسبب في ضعف العضلات وتخاذلها مما يؤدي بعد ذلك إلى عدم القدرة على الحركة.
ينتج الفصال العظمي عن انهيار الغضروف المفصلي والعظم المجاور.[2] الأعراض الأكثر شيوعًا هي آلام المفاصل وتيبسها.[3][3][4][4][5] في البداية، قد تحدث الأعراض بعد التمرين فقط، ولكن مع مرور الوقت قد تصبح ثابتة.[4] قد تشمل الأعراض الأخرى تورم المفاصل ، وانخفاض نطاق الحركة، وعندما يتأثر الظهر، يحدث ضعف أو تخدر في الذراعين والساقين.[4] المفاصل الأكثر شيوعًا هي تلك القريبة من نهايات الأصابع، في قاعدة الإبهام والرقبة والظهر السفلي والركبة والوركين.[4] غالباً ما تتأثر المفاصل الموجودة على أحد جانبي الجسم أكثر من تلك الموجودة في الجانب الآخر.[4] عادة ما تظهر الأعراض على مر السنين.[4] يمكن أن تؤثر على العمل والأنشطة اليومية العادية.[4] بخلاف أنواع أخرى من التهاب المفاصل، تتأثر المفاصل عادة فقط.[4]
تشمل الأسباب إصابة المفاصل السابقة أو الأطراف غير الطبيعية والعوامل الموروثة.[3][4] تكون المخاطر أكبر لدى أولئك الذين يعانون من زيادة الوزن، أو لديهم ساق واحدة ذات أطول مختلف عن الأخري، أولديهم وظائف تؤدي إلى مستويات عالية من الضغط علي المفاصل .[3][4][5] يُعتقد أن هشاشة العظام ناجمة عن الإجهاد الميكانيكي للمفاصل والعمليات الالتهابية .[6] تتطور الحالة بسبب فقدان الغضروف ويتأثر العظم الأساسي.[4] بما أن الألم قد يجعل ممارسة التمارين صعباً، فقد يحدث فقدان للعضلات.[3][7] يعتمد التشخيص عادةً على العلامات والأعراض، مع التصوير الطبي والاختبارات الأخرى التي تُستخدم أحيانًا إما لدعم أو استبعاد مشكلات أخرى.[4] على النقيض من التهاب المفاصل الروماتويدي ، والذي هو في المقام الأول حالة التهابية، في هشاشة العظام ، لا تصبح المفاصل ساخنة أو حمراء.[4]
يشمل العلاج ممارسة الرياضة، والجهود المبذولة لتخفيف اجهاد المفاصل، ومجموعات الدعم، وأدوية الألم.[4][8] تشمل الجهود المبذولة لتخفيف الضغط علي المفاصل الراحة واستعمال العصا. فقدان الوزن قد يساعد في أولئك الذين يعانون من زيادة الوزن.[4] قد تشمل أدوية الألم الباراسيتامول (الأسيتامينوفين) وكذلك مضادات الالتهاب غير الستيروئيدية مثل النابروكسين أو الأيبوبروفين.[4][4][8] عادة لا يتم تشجيع استخدام الأفيون على المدى الطويل بسبب نقص المعلومات حول فوائده وكذلك مخاطر إدمانه والآثار الجانبية الأخرى.[4] إذا كان الألم يعوق الحياة الطبيعية على الرغم من العلاجات الأخرى، قد تساعد جراحة استبدال المفاصل. يدوم المفصل الصناعي عادة من 10 إلى 15 سنة.[9]
هشاشة العظام هي أكثر أشكال التهاب المفاصل شيوعا، حيث تؤثر على حوالي 237 مليون (3.3 ٪ من السكان).[10][11] من بين أولئك الذين تزيد أعمارهم عن 60 سنة، حوالي 10 ٪ من الذكور و 18 ٪ من الإناث تتأثر.[3] هو سبب حوالي 2 ٪ من السنوات التي عاشها مرضي مع العجز. في أستراليا، يتأثر حوالي 1.9 مليون شخص، [11][12] وفي الولايات المتحدة، يتأثر 30 إلى 53 مليون شخص.[13][14] يصبح أكثر شيوعا في كلا الجنسين مع تقدم السن.[4]
عوامل الخطر
ويعتقد أن الأضرار الناجمة عن الإجهاد الميكانيكي مع الإصلاح الذاتي غير الكافي بواسطة المفاصل هي السبب الرئيسي لالتهاب المفاصل العظمي.[15] قد تتضمن مصادر هذا الإجهاد اختلالات في العظام تسببها أسباب خلقيّة أو ممرضة ؛ الإصابة ميكانيكية مثل زيادة وزن الجسم وفقدان القوة في العضلات التي تدعم المفصل ؛ واختلال الأعصاب الطرفية ، مما يؤدي إلى حركات مفاجئة أو غير منسقة.[15] ومع ذلك، لم يتم العثور على أن ممارسة الجري، في غياب الإصابة، تزيد خطر الإصابة بالتهاب المفاصل في الركبة.[16] ولم يتم العثور على أن طقطقة الأصابع تلعب دورًا.[17]
ابتدائي
وقد أظهرت عدد من الدراسات أن هناك انتشار أكبر للمرض بين الأشقاء وخاصة التوائم المتماثلة ، مما يشير إلى وجود أساس وراثي.[18] على الرغم من أن وجود عامل وحيد غير كافٍ بشكل عام للتسبب في المرض، فإن نصف الاختلاف في الاستعداد للمرض ترجع للعوامل الوراثية.[19] مع تطور أسلاف الإنسان في وقت مبكر إلى ثنائي الأرجل، حدثت تغييرات في الحوض ومفصل الورك والعمود الفقري مما زاد من خطر الإصابة بالتهاب المفاصل.[20] بالإضافة إلى ذلك، فإن الاختلافات الجينية التي تزيد من المخاطر لم يتم اختيارها على الأرجح بسبب المشاكل التي تحدث عادة فقط بعد النجاح التناسلي.[21]
ويرتبط حدوث التهاب المفاصل بتاريخ الإصابة السابقة بالسمنة، خاصة فيما يتعلق بالركبتين.[22] وجد أن الارتباط بالسمنة قد لوحظ ليس فقط للركبتين ولكن أيضا للمفاصل التي لا تحمل وزنًا كما أن فقدان دهون الجسم يرتبط ارتباطًا وثيقًا بتخفيف الأعراض أكثر من فقدان وزن الجسم، فقد اقترح أنه قد يكون هناك رابطة تخص أيض الدهون في الجسم بدلا من التحميل الميكانيكي فقط.[23]
قد تلعب التغيرات في مستويات هورمون الجنس دورًا في تطور هشاشة العظام حيث أنها أكثر انتشارًا بين النساء بعد انقطاع الطمث مقارنةً بالرجال من نفس العمر.[24][25] وجدت دراسة أجريت على الفئران أن الهرمونات الطبيعية تكون واقية، في حين أن حقن هرمون الذكورة دايهيدروتيستستيرون يقلل من الحماية.[26]
مهني
وجد زيادة خطر الإصابة بالتهاب المفاصل في الركبة والورك بين أولئك الذين يعملون أعمال يدوية (على سبيل المثال، الرفع) ، والذين لديهم أعمال تتطلب جهدا بدنيا، والمشي، والتسلق في العمل (على سبيل المثال تسلق السلالم ).[5] مع التهاب مفصل الورك على وجه الخصوص، ويزداد خطر حدوث المرض مع مرور الوقت بين أولئك الذين يعملون في مناصب تتطلب وضع منحني أو ملتوي.[5] بالنسبة للالتهاب المفصلي للركبة على وجه الخصوص، يزداد خطر حدوثه بين أولئك الذين يعملون في وضع الركوع أو القرفصاء والعمل واقفا.[5] تعاني النساء والرجال من مخاطر مهنية متشابهة لحدوث هشاشة العظام.[5]
ثانوي


يحدث هذا النوع من هشاشة العظام بسبب عوامل أخرى ولكن علم الأمراض الناتج يكون هو نفسه بالنسبة لالتهاب المفاصل الأولي:
- الكابتونوريا
- خلقي اضطرابات من المفاصل
- داء السكري يضاعف خطر حدوث هشاشة العظام والأشخاص المصابين بداء السكري لديهم بدائل مشتركة في عمر أصغر من أولئك الذين لا يعانون من مرض السكري.[27]
- متلازمة إيهلرز- دانلوس
- داء هيموكروماتوزيز و [داء ويلسون]
- الأمراض الالتهابية (مثل داء بيرث ، [([مرض لايم]] ، وجميع أشكال التهاب المفاصل المزمن (على سبيل المثال، الكتلية الغضروفية ، النقرس ، التهاب المفاصل الروماتويدي). في حالة النقرس، تؤدي بلورات [حمض اليوريك] إلى تدهور الغضروف بوتيرة أسرع.
- الإصابة إلى المفاصل أو الأربطة (مثل الرباط الصليبي الأمامي، كنتيجة لحادث أو عمليات تقويم العظام.
- التهاب الرباط تدهوره أو عدم الاستقرار قد يكون أحد العوامل.
- متلازمة مارفان
- بدانة
- عدوى مفصلية
الأسباب
الرياضة بما في ذلك الركض لا تزيد من خطر الإصابة بفصال العظام في غياب الإصابات. بعض المحققين يعتقدون أن الضغط على المفاصل هو وراء فصال العظام مع مصادر عديدة ومتنوعة من الضغط، بما في ذلك اختلالات العظام الناجمة عن أسباب خلقية أو مرضية، الإصابات الميكانيكية، زيادة الوزن، فقدان قوة العضلات في دعم المفاصل وضعف الأعصاب الطرفية مما يؤدي إلى حركات مفاجئة وغير منسقة تزيد الضغط على المفاصل.
الأعراض

عادة يعاني المرضى من الألم وخشونة المفاصل. كما قد يشعر المرضى بطقطقة الركبة وأحياناً انقباضات لا إرادية للعضلات. نظرياً المرض قد يصيب أي مفصل بالجسم ولكنه عادةً ما يصيب اليدين والقدمين والعمود الفقري كما يصيب الركب والوركين.[28] وكما قد يؤدي المرض إلى انتفاخ المفاصل: اليدين مكونا حويصلات بوشار (Bouchard's nodes) وهيبرديين (Heberden's nodes)أو تورم الركبة.[29] يتمثل العَرَض الرئيسي في الألم، مما يؤدي إلى فقدان القدرة وتصلبها في كثير من الأحيان. عادة ما يكون الألم أسوأ بسبب النشاط المطول ويقل مع الراحة. الصلابة هي الأكثر شيوعًا في الصباح، وعادةً ما تستغرق أقل من ثلاثين دقيقة بعد بدء الأنشطة اليومية، ولكنها قد تعود بعد فترات من عدم النشاط. يمكن أن يتسبب الفصال العظمي في حدوث ضوضاء طقطقة (تسمى "crepitus") عند تحريك المفصل المصاب، خاصةً مفصل الكتف والركبة. قد يشكو الشخص أيضًا من قفل المفصل وعدم استقراره. تؤثر هذه الأعراض على أنشطتهم اليومية بسبب الألم والتصلب.[30] يشير بعض الأشخاص إلى زيادة الألم المصاحب لدرجة الحرارة الباردة، أو الرطوبة العالية، أو انخفاض الضغط الجوي، ولكن الدراسات كانت لها نتائج مختلطة.[31][32]
فيزيولوجيا المرض


في حين أن هشاشة العظام هو مرض المفاصل التنكسية التي قد تتسبب في فقدان الغضروف الكلي والتلف المورفولوجي للأنسجة المفصلية الأخرى، تحدث تغيرات كيميائية حيوية أكثر دقة في المراحل المبكرة لتطور التهاب المفاصل. المحتوى المائي للغضروف الصحي متوازن بشكل دقيق من خلال قوة الضغط التي تدفع الماء للخارج وضغط الماء التناضحي.[34][35] ألياف الكولاجين تمارس قوة الانضغاط، في حين أن تأثير Gibbs – Donnan و proteoglycans الغضروفي يخلق ضغط تناضحي يميل إلى سحب الماء.[35]
ومع ذلك، خلال بداية هشاشة العظام، تصبح مصفوفة الكولاجين غير منظمة أكثر، وهناك انخفاض في محتوى البروتيوغليكان داخل الغضروف. انهيار ألياف الكولاجين يؤدي إلى زيادة كمية الماء.[36][37][38][39][40] تحدث هذه الزيادة بسبب وجود خسارة كلية للبروتيوغليكان (وبالتالي انخفاض تناضحي ) ،[37][41] يفوقها فقدان الكولاجين.[35][41] بدون التأثيرات الوقائية للبروتيوغليكان، يمكن أن تصبح ألياف الكولاجين في الغضروف عرضة للتدهور، وبالتالي يتفاقم الانحطاط. يمكن أيضا حدوث التهاب الغشاء الزليلي (بطانة تجويف المفاصل) وكبسولة المفصل المحيطة، على الرغم من أنها خفيفة في كثير من الأحيان (مقارنة بالالتهاب الزليلي الذي يحدث في التهاب المفاصل الروماتويدي). يمكن أيضًا أن تتأثر البنى الأخرى داخل المفصل.[42] تصبح الأربطة داخل المفصل سميكة ومليئة بالتليف .[43] يمكن أن يكون الغضروف المفصلي غائبا تماما في الوقت الذي يخضع فيه الشخص لاستبدال مفصل. يمكن أن تتشكل عظام جديدة، تدعى عظميات ، على هوامش المفاصل، ربما في محاولة تحسين انسجام سطح الغضروف المفصلي في غياب الغضروف الهلالي. يزيد حجم العظام تحت الغضروف ويصبح أقل تمعدنًا .[44] كل هذه التغييرات يمكن أن تسبب مشاكل في الأداء. كان الألم في المفصل العظمي متعلقًا بزيادة سمك الغشاء الزليلي [45] وآفات العظام تحت الغضروفية.[46]
الإحصائيات
80% من الأشخاص فوق سن ال65 لديهم تغيرات مرضية في المفاصل كالتي في الصورة ولكن 25-30% فقط يعانون من أعراض المرض [47] والبقية لا يشعرون بشئ. ويقدر أن هناك أكثر من 21 مليون شخص يعاني من المرض في الولايات المتحدة الأمريكية ، أي نحو 7% من السكان.
غالبية المرضى يعانون من تشوه وخشونة في العمود الفقري، في المرتبة الثانية يصيب هذا المرض الركبة والحزام الصدري ومفصل الحوض.
التصنيف
- الفصال الأولي: سببه الرئيسي عدم اكتمال نمو النسيج الغضروفي لأسباب غير معروفة، أو عيوب خلقية في المفصل.
- الفصال الثانوي: له أسباب عديدة على رأسها زيادة إجهاد المفاصل (بسبب الوزن الزائد مثلاً) أو خلل في عمليات الأيض أو بسبب إصابات المفاصل أو التهابات في المفاصل أو لتقدم العمر.
نشوء المرض
إن نشوء وتطور المرض يحدث بشكل بطيء وتدريجي. في البداية يؤدي إلى نقص المرونة في غضروف المفاصل مع تغير في تركيب النسيج الوظيفي والألياف الكولاجينية. في صور الأشعة السينية يظهر واضحاً نقصاً في المادة الغضروفية، وهذا يؤدي إلى زيادة الاحتكاك بين حواف وأسطح المفصل مما يتسبب في بداية تآكل العظام وتكوّن نوابت عظمية على أطراف العظام وتكون مصحوبة بآلام تشتد أحياناً.
التشخيص
عادةً ما يتم تشخيص المرض عن طريق تاريخ المرض والأشعة السينية.[48][49] والتغيرات الملاحظة لدى المرض هي:
- تكون أكياس تحت غضروفية
- تقلص مساحة المفصل
- تكون نوابت عظمية[50]
وعادة التغيرات الملاحظة في الأشعة السينية لا تتواءم مع الصورة السريرية كون معظم المرضى لا يشعرون بأي آلام بالمفاصل. الاختبارات الأخرى تشمل التصوير بالرنين المغناطيسي وأخذ بزل المفصل وتنظير المفصل.[51] في عام 1990 ، قامت الكلية الأمريكية لأمراض الروماتيزم، باستخدام بيانات من دراسة متعددة المراكز، بتطوير مجموعة من المعايير لتشخيص هشاشة العظام على أساس تضخم الأنسجة الصلبة وتورم بعض المفاصل.[52] تم العثور على هذه المعايير لتكون حساسة بنسبة 92٪ و 98٪ محددة لالتهاب المفاصل العظمي اليدوي مقابل الكيانات الأخرى مثل التهاب المفاصل الروماتويدي .[53]
هشاشة العظام الشديدة وهشاشة العظام في المفصل الرسغي
رنين مغناطيسي علي الركبة يوضح هشاشة عظام وضيق في المسافة الداخلية للمفصل.
هشاشة العظام الابتدائية في الركبة اليسرى. يلاحظ وجود عظيمات، وضييق المساحة داخل المفصل (السهم)، وزيادة كثافة العظام تحت الغضروف (السهم).
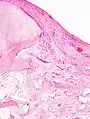
غضروف تالف . (أ) تآكل الغضروف (ب) تقرح الغضروف (ج) إصلاح الغضروف (د) تشكيل العظيمات (عظم تحفزي).
التشريح المرضي لمفصل الركبة في إحدى النساء المسنات.
التشريح المرضي لمفصل الركبة في إحدى النساء المسنات.
في المفصل الصحي، يتم تغليف نهايات العظام بغضروف ناعم. معا ، يتم حمايتها بواسطة كبسولة مشتركة مبطنة بغشاء زليلي ينتج السائل الزليلي. تحمي الكبسولة والسائل الغضروف والعضلات والأنسجة الضامة.
مع هشاشة العظام ، يصبح الغضروف متهالكًا. تنمو بروزات توتنهام من حافة العظم، ويزداد السائل الزليلي. في المجمل، يوجد شعور في المفصل بالصلابة والتقرح.
هشاشة عظام
انظر أيضاً
المراجع
- معرف أنطولوجية المرض: http://www.disease-ontology.org/?id=DOID:8398 — تاريخ الاطلاع: 30 نوفمبر 2020 — الرخصة: CC0
- Arden N, Blanco F, Cooper C, Guermazi A, Hayashi D, Hunter D, Javaid MK, Rannou F, Roemer FW, Reginster JY (2015). Atlas of Osteoarthritis. Springer. صفحة 21. ISBN 978-1-910315-16-3. مؤرشف من الأصل في 08 سبتمبر 2017. الوسيط
|CitationClass=تم تجاهله (مساعدة) - Glyn-Jones S, Palmer AJ, Agricola R, Price AJ, Vincent TL, Weinans H, Carr AJ (July 2015). "Osteoarthritis". Lancet. 386 (9991): 376–87. doi:10.1016/S0140-6736(14)60802-3. PMID 25748615. الوسيط
|CitationClass=تم تجاهله (مساعدة) - "Osteoarthritis". National Institute of Arthritis and Musculoskeletal and Skin Diseases. April 2015. مؤرشف من الأصل في 18 مايو 2015. اطلع عليه بتاريخ 13 مايو 2015. الوسيط
|CitationClass=تم تجاهله (مساعدة) - Vingård E, Englund M, Järvholm B, Svensson O, Stenström K, Brolund A, Hall C, Kedebring T, Kirkeskov L, Nordin M (1 September 2016). Occupational Exposures and Osteoarthritis: A systematic review and assessment of medical, social and ethical aspects. SBU Assessments (Report). Graphic design by Anna Edling. Stockholm: Swedish Agency for Health Technology Assessment and Assessment of Social Services (SBU). صفحة 1. 253 (in Swedish). مؤرشف من الأصل في 15 يونيو 2018. اطلع عليه بتاريخ 08 أبريل 2018. الوسيط
|CitationClass=تم تجاهله (مساعدة) - Berenbaum F (January 2013). "Osteoarthritis as an inflammatory disease (osteoarthritis is not osteoarthrosis!)". Osteoarthritis and Cartilage. 21 (1): 16–21. doi:10.1016/j.joca.2012.11.012. PMID 23194896. الوسيط
|CitationClass=تم تجاهله (مساعدة) - Conaghan P (2014). "Osteoarthritis – Care and management in adults". مؤرشف من الأصل (PDF) في 22 ديسمبر 2015. الوسيط
|CitationClass=تم تجاهله (مساعدة) - McAlindon TE, Bannuru RR, Sullivan MC, Arden NK, Berenbaum F, Bierma-Zeinstra SM, Hawker GA, Henrotin Y, Hunter DJ, Kawaguchi H, Kwoh K, Lohmander S, Rannou F, Roos EM, Underwood M (March 2014). "OARSI guidelines for the non-surgical management of knee osteoarthritis". Osteoarthritis and Cartilage. 22 (3): 363–88. doi:10.1016/j.joca.2014.01.003. PMID 24462672. الوسيط
|CitationClass=تم تجاهله (مساعدة) - Di Puccio F, Mattei L (January 2015). "Biotribology of artificial hip joints". World Journal of Orthopedics. 6 (1): 77–94. doi:10.5312/wjo.v6.i1.77. PMC 4303792. PMID 25621213. الوسيط
|CitationClass=تم تجاهله (مساعدة) - GBD 2015 Disease and Injury Incidence and Prevalence Collaborators (October 2016). "Global, regional, and national incidence, prevalence, and years lived with disability for 310 diseases and injuries, 1990-2015: a systematic analysis for the Global Burden of Disease Study 2015". Lancet. 388 (10053): 1545–1602. doi:10.1016/S0140-6736(16)31678-6. PMC 5055577. PMID 27733282. الوسيط
|CitationClass=تم تجاهله (مساعدة) - March L, Smith EU, Hoy DG, Cross MJ, Sanchez-Riera L, Blyth F, Buchbinder R, Vos T, Woolf AD (June 2014). "Burden of disability due to musculoskeletal (MSK) disorders". Best Practice & Research. Clinical Rheumatology. 28 (3): 353–66. doi:10.1016/j.berh.2014.08.002. PMID 25481420. الوسيط
|CitationClass=تم تجاهله (مساعدة) - Elsternwick (2013). "A problem worth solving". Arthritis and Osteoporosis Victoria. مؤرشف من الأصل في 28 أبريل 2015. الوسيط
|CitationClass=تم تجاهله (مساعدة) - "Arthritis-Related Statistics: Prevalence of Arthritis in the United States". Centers for Disease Control and Prevention, US Department of Health and Human Services. 9 November 2016. مؤرشف من الأصل في 29 ديسمبر 2016. الوسيط
|CitationClass=تم تجاهله (مساعدة) - Cisternas MG, Murphy L, Sacks JJ, Solomon DH, Pasta DJ, Helmick CG (May 2016). "Alternative Methods for Defining Osteoarthritis and the Impact on Estimating Prevalence in a US Population-Based Survey". Arthritis Care & Research. 68 (5): 574–80. doi:10.1002/acr.22721. PMC 4769961. PMID 26315529. الوسيط
|CitationClass=تم تجاهله (مساعدة) - Brandt KD, Dieppe P, Radin E (January 2009). "Etiopathogenesis of osteoarthritis". The Medical Clinics of North America. 93 (1): 1–24, xv. doi:10.1016/j.mcna.2008.08.009. PMID 19059018. الوسيط
|CitationClass=تم تجاهله (مساعدة) - Bosomworth NJ (September 2009). "Exercise and knee osteoarthritis: benefit or hazard?". Canadian Family Physician Medecin de Famille Canadien. 55 (9): 871–8. PMC 2743580. PMID 19752252. الوسيط
|CitationClass=تم تجاهله (مساعدة) - Deweber K, Olszewski M, Ortolano R (2011). "Knuckle cracking and hand osteoarthritis". Journal of the American Board of Family Medicine. 24 (2): 169–74. doi:10.3122/jabfm.2011.02.100156. PMID 21383216. الوسيط
|CitationClass=تم تجاهله (مساعدة) - Valdes AM, Spector TD (August 2008). "The contribution of genes to osteoarthritis". Rheumatic Diseases Clinics of North America. 34 (3): 581–603. doi:10.1016/j.rdc.2008.04.008. PMID 18687274. الوسيط
|CitationClass=تم تجاهله (مساعدة) - Spector TD, MacGregor AJ (2004). "Risk factors for osteoarthritis: genetics". Osteoarthritis and Cartilage. 12 Suppl A: S39–44. doi:10.1016/j.joca.2003.09.005. PMID 14698640. الوسيط
|CitationClass=تم تجاهله (مساعدة) - Hogervorst T, Bouma HW, de Vos J (August 2009). "Evolution of the hip and pelvis". Acta Orthopaedica. Supplementum. 80 (336): 1–39. doi:10.1080/17453690610046620. PMID 19919389. الوسيط
|CitationClass=تم تجاهله (مساعدة) - van der Kraan PM, van den Berg WB (April 2008). "Osteoarthritis in the context of ageing and evolution. Loss of chondrocyte differentiation block during ageing". Ageing Research Reviews. 7 (2): 106–13. doi:10.1016/j.arr.2007.10.001. PMID 18054526. الوسيط
|CitationClass=تم تجاهله (مساعدة) - Coggon D, Reading I, Croft P, McLaren M, Barrett D, Cooper C (May 2001). "Knee osteoarthritis and obesity". International Journal of Obesity and Related Metabolic Disorders. 25 (5): 622–7. doi:10.1038/sj.ijo.0801585. PMID 11360143. الوسيط
|CitationClass=تم تجاهله (مساعدة) - Pottie P, Presle N, Terlain B, Netter P, Mainard D, Berenbaum F (November 2006). "Obesity and osteoarthritis: more complex than predicted!". Annals of the Rheumatic Diseases. 65 (11): 1403–5. doi:10.1136/ard.2006.061994. PMC 1798356. PMID 17038451. الوسيط
|CitationClass=تم تجاهله (مساعدة) - Linn S, Murtaugh B, Casey E (May 2012). "Role of sex hormones in the development of osteoarthritis". RM&R. 4 (5 Suppl): S169–73. doi:10.1016/j.pmrj.2012.01.013. PMID 22632696. الوسيط
|CitationClass=تم تجاهله (مساعدة) - Tanamas SK, Wijethilake P, Wluka AE, Davies-Tuck ML, Urquhart DM, Wang Y, Cicuttini FM (June 2011). "Sex hormones and structural changes in osteoarthritis: a systematic review". Maturitas. 69 (2): 141–56. doi:10.1016/j.maturitas.2011.03.019. PMID 21481553. الوسيط
|CitationClass=تم تجاهله (مساعدة) - Ma HL, Blanchet TJ, Peluso D, Hopkins B, Morris EA, Glasson SS (June 2007). "Osteoarthritis severity is sex dependent in a surgical mouse model". Osteoarthritis and Cartilage. 15 (6): 695–700. doi:10.1016/j.joca.2006.11.005. PMID 17207643. الوسيط
|CitationClass=تم تجاهله (مساعدة) - King KB, Rosenthal AK (June 2015). "The adverse effects of diabetes on osteoarthritis: update on clinical evidence and molecular mechanisms". Osteoarthritis and Cartilage. 23 (6): 841–50. doi:10.1016/j.joca.2015.03.031. PMC 5530368. PMID 25837996. الوسيط
|CitationClass=تم تجاهله (مساعدة) - Vincent KR, Conrad BP, Fregly BJ, Vincent HK (May 2012). "The pathophysiology of osteoarthritis: a mechanical perspective on the knee joint". RM&R. 4 (5 Suppl): S3–9. doi:10.1016/j.pmrj.2012.01.020. PMC 3635670. PMID 22632700. الوسيط
|CitationClass=تم تجاهله (مساعدة) - "Swollen knee". Mayo Clinic. 2017. مؤرشف من الأصل في 20 يوليو 2017. الوسيط
|CitationClass=تم تجاهله (مساعدة) - Sinusas K (January 2012). "Osteoarthritis: diagnosis and treatment". American Family Physician. 85 (1): 49–56. PMID 22230308. مؤرشف من الأصل في 1 أغسطس 2019. الوسيط
|CitationClass=تم تجاهله (مساعدة) - de Figueiredo EC, Figueiredo GC, Dantas RT (December 2011). "Influence of meteorological elements on osteoarthritis pain: a review of the literature" [Influence of meteorological elements on osteoarthritis pain: a review of the literature]. Revista Brasileira de Reumatologia (باللغة البرتغالية). 51 (6): 622–8. doi:10.1590/S0482-50042011000600008. PMID 22124595. الوسيط
|CitationClass=تم تجاهله (مساعدة) - "Bunions: Symptoms and causes". Mayo Clinic. 8 November 2016. مؤرشف من الأصل في 21 أبريل 2017. اطلع عليه بتاريخ 20 أبريل 2017. الوسيط
|CitationClass=تم تجاهله (مساعدة) - "OpenStax CNX". cnx.org. مؤرشف من الأصل في 06 يناير 2016. اطلع عليه بتاريخ 14 أكتوبر 2015. الوسيط
|CitationClass=تم تجاهله (مساعدة) - Sanchez-Adams J, Leddy HA, McNulty AL, O'Conor CJ, Guilak F (October 2014). "The mechanobiology of articular cartilage: bearing the burden of osteoarthritis". Current Rheumatology Reports. 16 (10): 451. doi:10.1007/s11926-014-0451-6. PMC 4682660. PMID 25182679. الوسيط
|CitationClass=تم تجاهله (مساعدة) - Maroudas AI (April 1976). "Balance between swelling pressure and collagen tension in normal and degenerate cartilage". Nature. 260 (5554): 808–9. Bibcode:1976Natur.260..808M. doi:10.1038/260808a0. PMID 1264261. الوسيط
|CitationClass=تم تجاهله (مساعدة) - Bollet AJ, Nance JL (July 1966). "Biochemical Findings in Normal and Osteoarthritic Articular Cartilage. II. Chondroitin Sulfate Concentration and Chain Length, Water, and Ash Content". The Journal of Clinical Investigation. 45 (7): 1170–7. doi:10.1172/JCI105423. PMC 292789. PMID 16695915. الوسيط
|CitationClass=تم تجاهله (مساعدة) - Brocklehurst R, Bayliss MT, Maroudas A, Coysh HL, Freeman MA, Revell PA, Ali SY (January 1984). "The composition of normal and osteoarthritic articular cartilage from human knee joints. With special reference to unicompartmental replacement and osteotomy of the knee". The Journal of Bone and Joint Surgery. American Volume. 66 (1): 95–106. PMID 6690447. الوسيط
|CitationClass=تم تجاهله (مساعدة) - Chou MC, Tsai PH, Huang GS, Lee HS, Lee CH, Lin MH, Lin CY, Chung HW (April 2009). "Correlation between the MR T2 value at 4.7 T and relative water content in articular cartilage in experimental osteoarthritis induced by ACL transection". Osteoarthritis and Cartilage. 17 (4): 441–7. doi:10.1016/j.joca.2008.09.009. PMID 18990590. الوسيط
|CitationClass=تم تجاهله (مساعدة) - Grushko G, Schneiderman R, Maroudas A (1989). "Some biochemical and biophysical parameters for the study of the pathogenesis of osteoarthritis: a comparison between the processes of ageing and degeneration in human hip cartilage". Connective Tissue Research. 19 (2–4): 149–76. doi:10.3109/03008208909043895. PMID 2805680. الوسيط
|CitationClass=تم تجاهله (مساعدة) - Mankin HJ, Thrasher AZ (January 1975). "Water content and binding in normal and osteoarthritic human cartilage". The Journal of Bone and Joint Surgery. American Volume. 57 (1): 76–80. PMID 1123375. الوسيط
|CitationClass=تم تجاهله (مساعدة) - Venn M, Maroudas A (April 1977). "Chemical composition and swelling of normal and osteoarthrotic femoral head cartilage. I. Chemical composition". Annals of the Rheumatic Diseases. 36 (2): 121–9. doi:10.1136/ard.36.2.121. PMC 1006646. PMID 856064. الوسيط
|CitationClass=تم تجاهله (مساعدة) - Madry H, Luyten FP, Facchini A (March 2012). "Biological aspects of early osteoarthritis". Knee Surgery, Sports Traumatology, Arthroscopy. 20 (3): 407–22. doi:10.1007/s00167-011-1705-8. PMID 22009557. الوسيط
|CitationClass=تم تجاهله (مساعدة) - Englund M, Roemer FW, Hayashi D, Crema MD, Guermazi A (May 2012). "Meniscus pathology, osteoarthritis and the treatment controversy". Nature Reviews. Rheumatology. 8 (7): 412–9. doi:10.1038/nrrheum.2012.69. PMID 22614907. الوسيط
|CitationClass=تم تجاهله (مساعدة) - Li G, Yin J, Gao J, Cheng TS, Pavlos NJ, Zhang C, Zheng MH (2013). "Subchondral bone in osteoarthritis: insight into risk factors and microstructural changes". Arthritis Research & Therapy. 15 (6): 223. doi:10.1186/ar4405. PMC 4061721. PMID 24321104. الوسيط
|CitationClass=تم تجاهله (مساعدة) - Hill CL, Gale DG, Chaisson CE, Skinner K, Kazis L, Gale ME, Felson DT (June 2001). "Knee effusions, popliteal cysts, and synovial thickening: association with knee pain in osteoarthritis". The Journal of Rheumatology. 28 (6): 1330–7. PMID 11409127. الوسيط
|CitationClass=تم تجاهله (مساعدة) - Felson DT, Chaisson CE, Hill CL, Totterman SM, Gale ME, Skinner KM, Kazis L, Gale DR (April 2001). "The association of bone marrow lesions with pain in knee osteoarthritis". Annals of Internal Medicine. 134 (7): 541–9. doi:10.7326/0003-4819-134-7-200104030-00007. PMID 11281736. الوسيط
|CitationClass=تم تجاهله (مساعدة) - Davidson's Principles & practice of Medicine، ص.1083، الطبعة 21، ردمك 9780702030840 [وصلة مكسورة] نسخة محفوظة 1 فبراير 2014 على موقع واي باك مشين.
- Zhang W, Doherty M, Peat G, Bierma-Zeinstra MA, Arden NK, Bresnihan B, Herrero-Beaumont G, Kirschner S, Leeb BF, Lohmander LS, Mazières B, Pavelka K, Punzi L, So AK, Tuncer T, Watt I, Bijlsma JW (March 2010). "EULAR evidence-based recommendations for the diagnosis of knee osteoarthritis". Annals of the Rheumatic Diseases. 69 (3): 483–9. doi:10.1136/ard.2009.113100. PMID 19762361. مؤرشف من الأصل في 17 أكتوبر 2009. الوسيط
|CitationClass=تم تجاهله (مساعدة) - Bierma-Zeinstra SM, Oster JD, Bernsen RM, Verhaar JA, Ginai AZ, Bohnen AM (August 2002). "Joint space narrowing and relationship with symptoms and signs in adults consulting for hip pain in primary care". The Journal of Rheumatology. 29 (8): 1713–8. PMID 12180735. الوسيط
|CitationClass=تم تجاهله (مساعدة) - Osteoarthritis (OA): Joint Disorders في الطبعة المهنية لدليل ميرك للتشخيص والعلاج
- Phillips CR, Brasington RD (2010). "Osteoarthritis treatment update: Are NSAIDs still in the picture?". Journal of Musculoskeletal Medicine. 27 (2). مؤرشف من الأصل في 12 فبراير 2010. الوسيط
|CitationClass=تم تجاهله (مساعدة) - Kalunian KC (2013). "Patient information: Osteoarthritis symptoms and diagnosis (Beyond the Basics)". UpToDate. مؤرشف من الأصل في 22 سبتمبر 2010. اطلع عليه بتاريخ 15 فبراير 2013. الوسيط
|CitationClass=تم تجاهله (مساعدة) - Altman R, Alarcón G, Appelrouth D, Bloch D, Borenstein D, Brandt K, Brown C, Cooke TD, Daniel W, Gray R (November 1990). "The American College of Rheumatology criteria for the classification and reporting of osteoarthritis of the hand". Arthritis and Rheumatism. 33 (11): 1601–10. doi:10.1002/art.1780331101. PMID 2242058. الوسيط
|CitationClass=تم تجاهله (مساعدة)
- بوابة طب