فقاع شائع
الفقاع الشائع ، (باللاتينية: Pemphigus Vulgaris) ، مرض جلدي فقاعي مزمن من الأمراض الذاتية ، يتصف بظهور فقاعات تتوضع على جلد سليم ظاهرياً ، وهو مرض مميت إذا لم يعالج ، يصيب بالأعمار بين 30 إلى 60 سنة ، وهو من أمراض المناعة الذاتية. المرض نادر عامةً، ولكنه أكثر شيوعاً في الأشخاص ذوي العروق الهندية واليهودية، ويرجع ذلك لأسباب جينية.
| فقاع شائع Pemphigus vulgaris | |
|---|---|
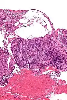
![]() صورة مجهرية للفقاع الشائع مع الصفة المميزة الشبيهة "بشاهد القبر". صورة مجهرية للفقاع الشائع مع الصفة المميزة الشبيهة "بشاهد القبر". | |
| معلومات عامة | |
| الاختصاص | طب الجلد |
| من أنواع | فقاع |
الإمراض
خلايا بناء البشرة تُسَمَّى الخلايا التقرُنية (الكيراتينية) Keratinocytes. هذه الخلايا مُلصَقة ببعضها البعض في بقاع لزجة خاصّة تسمّى الجسيمات الرابطة desmosomes. في الفقّاع الدارج، تتَّحِد الأضداد الذاتية " الجلوبولين المناعي (IgG) " إلى بروتين يُسمّى ديسموجلين 1 desmoglein، وبروتين آخر من نفس الفصيلة يسمى ديسموجلين desmoglein 3, الذي يُوجَد في الكُريّات الرابطة في الخلايا التقرُنية قرب قاع البشرة. ونتيجة لذلك تنفصل الخلايا التقرُنية عن بعضها البعض, ويمتلئ الحيز بينها بسوائل فتتشكل الفقاعات.
التظاهرات السريرية
يبدأ بشكل مخاتل بظهور تدريجي لفقاعات على الأغشية المخاطية, ثم تتمزق وتشكل مكانها ائتكالات ومناطق مسلوخة, ثم تظهر الفقاعات المعممة على الجسم, وتتصف بظهور بقاعات رخوة ذات محتوى مصلي تتوضع على جلد سليم ظاهرياً, ثن تتمزق وتترك في مكانها تآكلات مغطاة بجلبات.[1]
العلامات المميزة للمرض :
- علامة نيكولسكي الهامشية:عند الضغط بجوار الفقاعة يلاحظ تزحل البشرة.
- علامة نيكولسكي المباشرة : عند الضغط بعيداً عن الفقاعة بمكان سليم ظاهرياً من الجلد تتزحل البشرة.
المظهر التشريحي المرضي
- تشكل حويصلات بشروية فوق الطبقة القاعدية
- وجود خلايا بشروية منحلة الأشواك ورشاحة التهابية من الحمضات
- علامة شواهد القبور :حيث تتباعد الخلايا القاعدية كمظهر شواهد القبور.
- ترسبات شبكية (بشكل شبكة) لأضداد مناعية نوع IgG بين الخلايا البشروية الحرشفية.
التشخيص
يتم تشخيص المرض من خلال فحص الخلايا عبر اختبار صبغة التألق المناعي المباشر (direct immunofluorescent), والذي سيظهر انفصال الخلايا بعضها عن بعض. وغالباً يتم استخدام فحص آخر يطلق عليه اسم التألق المناعي غير المباشر (indirect immunofluorescent), ليتم الكشف عن الأجسام المضادة الجارية في الدم.
العلاج
الهدف الرئيسي من العلاج يهدف إلى تخفيف الألم، وتقليل عدد الفقاعات على الجلد والأنسجة، ومنع العدوة الميكروبية، بما أن المرض يستحيل الشفاء منه تماماً. لذلك، تستخدم أدوية الستيروئيدات القشرية (Corticosteroids) والتي تعتبر العلاج الطبي والرئيسي للسيطرة على المرض ولكن بما أن هذا الدواء له مضاعفات مع الاستخدام على المدى الطويل، قد يلجأ الأطباء إلى أدوية أخرى مثل: أزاثيوبرين، سايكلوفوسفامايد، دابسون، تيتراسيكلين، وغيرها...
المصادر
- كتاب الأمراض الجلدية والزهرية, منشورات جامعة دمشق
- بوابة طب
صور وملفات صوتية من كومنز
