فقد البروتين الشحمي بيتا من الدم
فقد البروتين الشحمي بيتا من الدم (بالإنجليزية: Abetalipoproteinemia)، أو متلازمة باسن-كورنزويغ (بالإنجليزية: Bassen-Kornzweig syndrome)،[1] هو اضطراب نادر مسؤول عنه جين جسدي متنحي[2] يتداخل مع الامتصاص الطبيعي للدهون، والفيتامينات القابلة للذوبان في الدهون من الطعام. وذلك بسبب طفرة في البروتين الناقل للدهون الثلاثية، مما أدى إلى نقص في صميم البروتينات الشحمية بيتا-48 و بيتا-100، التي تستخدم في تصنيع، وتصدير الكيلومكرونات، والبروتين الدهني منخفض الكثافة جدا على التوالي. ولا ينبغي الخلط مع شذوذ البروتين الشحمي البيتا العائلي في الدم.
| فقد البروتين الشحمي بيتا من الدم | |
|---|---|
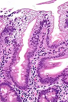
![]() صورة مجهرية تبين الخلايا المعوية الماصة والسيتوبلازم واضح (بسبب تراكم الدهون) وهو ما يميز فقد البروتين الشحمي بيتا من الدم، خزعة من الاثنا عشر مصبوغة بالهيماتوكسيلين واليوزين. صورة مجهرية تبين الخلايا المعوية الماصة والسيتوبلازم واضح (بسبب تراكم الدهون) وهو ما يميز فقد البروتين الشحمي بيتا من الدم، خزعة من الاثنا عشر مصبوغة بالهيماتوكسيلين واليوزين. | |
| معلومات عامة | |
| الاختصاص | علم الغدد الصم |
| من أنواع | اضطراب جيني ، واضطراب صبغي جسدي متنحي |
سمات المرض
يؤثر فقد البروتين الشحمي بيتا من الدم على امتصاص الدهون الغذائية، والكوليسترول، وبعض الفيتامينات. ولا يستطيع الناس الذين يعانون من هذا الاضطراب تصنيع بروتينات دهنية معينة (جزيئات تتكون من بروتينات متحدة مع كوليسترول، ودهون معينة تسمى الدهون الثلاثية)، مما يؤدي إلى نقص العديد من الفيتامينات، مثل: فيتامين أ، وفيتامين د، وفيتامين هـ، وفيتامين ك.[3] ومع ذلك، فإن العديد من الآثار التي لوحظت تكون بسبب نقص فيتامين هـ على وجه الخصوص.[3]

تظهر علامات وأعراض فقد البروتين الشحمي بيتا من الدم في الأشهر القليلة الأولى من الحياة (لأن ليباز البنكرياس يكون غير نشط في هذه الفترة). ويمكن أن يعاني المريض من الفشل في اكتساب الوزن، والفشل في النمو بالمعدل المتوقع، وإسهال، وتكون خلايا الدم الحمراء الشوكية غير طبيعية (كثرة الخلايا المهمازية)، ويكون البراز دهني كريه الرائحة (إسهال دهني).[3] وقد يحتوي البراز على قطع كبيرة من الدهون و/ أو الدم. قد تتطور أعراض هذا الاضطراب في وقت لاحق في مرحلة الطفولة، وغالبا ما يضعف وظيفة الجهاز العصبي. فقد يعاني المريض من ضعف التنسيق العضلي، وصعوبة في التوازن والحركة (ترنح)،[3][4] والتنكس التدريجي للشبكية (الطبقة الحساسة للضوء في العين الخلفية) التي يمكن أن تتطور إلى ما يقرب من العمى (بسبب نقص فيتامين أ، ريتينول).[3] وقد يعاني الكبار في الثلاثينيات أو الأربعينات من صعوبة متزايدة في التوازن، والمشي. العديد من علامات وأعراض فقد البروتين الشحمي بيتا من الدم ناجمة عن نقص الفيتامينات الحاد، وخاصة نقص فيتامين هـ، والتي عادة ما تؤدي إلى مشاكل في العين مع تنكس المسار الشوكي المخيخي، والمسار العمودي الظهري.
أعراض وعلامات
الأعراض
في كثير من الأحيان سوف تظهر الأعراض التي تشير إلى أن الجسم لا يمتص أو يصنع البروتينات الدهنية التي يحتاج إليها. عادة ما تظهر هذه الأعراض بشكل جماعي، وهذا يعني أنها تحدث معا، في كل وقت. وتأتي هذه الأعراض على النحو التالي:
- الفشل في النمو في مرحلة الطفولة[5]
- إسهال دهني/ براز شاحب، ودهني[5][6]
- براز كريهة الرائحة[5]
- براز مزبد[5]
- جاحظ البطن
- تخلف عقلي، وتأخر في النمو
- خلل في الأداء التنموي يتضح عند سن العاشرة
- ضعف العضلات
- خطاب مبهم
- انحراف العمود الفقري جانبيا
- ضعف الرؤية التدريجي
- مشكلات التوازن، والتنسيق
العلامات
- كثرة الخلايا المهمازية[5][7]
- التهاب الشبكية الصباغي
- نقص الكولسترول في الدم / انخفاض نسبة الكوليسترول في الدم[6]
التشخيص
يتم أولا أخذ عينة من البراز، ولطاخة من الدم، وعمل لوحة للدهون أثناء الصيام، على الرغم من أن هذه الاختبارات ليست تأكيدية.[8] وعلى الرغم من أن اختبار الوراثة ضروري للتشخيص، إلا أنه لا يتم عادة في البداية، لأن هذا المرض نادر الحدوث.
ويمكن رؤية كثرة الخلايا المهمازية على لطاخة الدم.[9] وبما أنه لا يوجد استيعاب للكيلومكرونات، فإن مستوياتها في البلازما تبقى منخفضة.
يؤدي عدم القدرة على امتصاص الدهون في اللفائفي إلى إسهال دهني، أو دهون في البراز. لذا يمكن التشخيص إكلينيكيا عند وجود براز رائحة كريهة. كما أن المستويات المنخفضة من الكيلوميكرون في البلازما أيضا مميزة.
ويكون هناك غياب لصميم البروتينات الشحمية ب. ويمكن رؤية فراغات تحتوي على دهون في الخلايا المعوية في خزعة الأمعاء. قد يؤدي هذا الاضطراب أيضا إلى تراكم الدهون في الكبد (تشحم كبدي). لأن الخلايا الظهارية في الأمعاء تفتقر إلى القدرة على وضع الدهون على الكيلوميكرونات، فتتراكم الدهون على سطح الخلية، مما يؤثر على وظيفة الخلايا الضرورية للامتصاص السليم.
وراثيا

وقد ارتبطت الطفرات في الجين المسئول عن بروتين نقل الدهون الثلاثية صغيرة الحجم مع هذه الحالة.[3] (نقص صميم البروتين الشحمي ب هو حالة ذات الصلة، ترتبط مع أوجه القصور في صميم البروتين الشحمي بيتا).[10] يوفر هذا الجين معلومات لصنع بروتين يسمى بروتين نقل الدهون الثلاثية صغيرة الحجم، وهو بروتين ضروري لتصنيع البروتينات الدهنية بيتا.[11] هذه البروتينات الدهنية ضرورية لامتصاص الدهون، والكوليسترول، والفيتامينات القابلة للذوبان في الدهون من الغذاء، كما أنها ضرورية لنقل هذه المواد بكفاءة في مجرى الدم.[12] تؤدي معظم الطفرات في هذا الجين إلى إنتاج بروتين نقل الدهون الثلاثية قصير بشكل غير طبيعي، مما يمنع التكوين الطبيعي للبروتينات الدهنية بيتا في الجسم.[13] وتورث هذه الطفرات في نمط وراثي متنحي، مما يعني أنه لابد من وجود نسختين من الجين الغير طبيعي لإنتاج المرض.[13]
العلاج
يتكون العلاج عادة من اتباع نظام غذائي صارم، ينطوي على كميات هائلة من فيتامين هـ،[4] يساعد فيتامين هـ الجسم على استعادة وإنتاج البروتينات الدهنية، التي يفتقر إليها الناس الذين يعانون من نقص البروتين الشحمي بيتا في الدم عادة. كما يساعد فيتامين هـ أيضا على الحفاظ على الجلد، والعينين أصحاء. وتشير الدراسات إلى أن العديد من الذكور المصابين سيواجهون مشاكل في الرؤية في وقت لاحق في الحياة. وعادة ما يعالج اضطراب التنسيق التنموي، وضعف العضلات بالعلاج الطبيعي أو العلاج المهني. كما أن التقليل من الأطعمة التي تحتوي على دهون ثلاثية أيضا مفيد.
سير المرض
إذا بدأ العلاج في مرحلة مبكرة من المرض، قد تتراجع العواقب العصبية وقد يمكن منع المزيد من التدهور.[14]
انظر أيضا
مراجع
- Bassen FA; Kornzweig AL (1950). "Malformation of the erythrocytes in a case of atypical retinitis pigmentosa". Blood. 5 (4): 381–87. PMID 15411425. مؤرشف من الأصل في 04 ديسمبر 2008. الوسيط
|CitationClass=تم تجاهله (مساعدة) - Benayoun, Liat; Granot, Esther; Rizel, Leah; Allon-Shalev, Stavit; Behar, Doron M.; Ben-Yosef, Tamar (April 2007). "Abetalipoproteinemia in Israel: Evidence for a founder mutation in the Ashkenazi Jewish population and a contiguous gene deletion in an Arab patient". Molecular Genetics and Metabolism. 90 (4): 453–7. doi:10.1016/j.ymgme.2006.12.010. PMID 17275380. الوسيط
|CitationClass=تم تجاهله (مساعدة) - "Abetalipoproteinemia - Genetics Home Reference". مؤرشف من الأصل في 10 مارس 2016. اطلع عليه بتاريخ 24 فبراير 2008. الوسيط
|CitationClass=تم تجاهله (مساعدة) - Hentati, F; El-Euch, G; Bouhlal, Y; Amouri, R (2012). "Ataxia with vitamin E deficiency and abetalipoproteinemia". Handbook of clinical neurology. 103: 295–305. doi:10.1016/B978-0-444-51892-7.00018-8. ISBN 9780444518927. PMID 21827896. الوسيط
|CitationClass=تم تجاهله (مساعدة) - Hasosah, MY; Shesha, SJ; Sukkar, GA; Bassuni, WY (2010). "Rickets and dysmorphic findings in a child with abetalipoproteinemia". Saudi medical journal. 31 (10): 1169–71. PMID 20953537. الوسيط
|CitationClass=تم تجاهله (مساعدة) - Moutzouri, E; Elisaf, M; Liberopoulos, EN (March 2011). "Hypocholesterolemia". Current Vascular Pharmacology. 9 (2): 200–12. doi:10.2174/157016111794519354. PMID 20626336. الوسيط
|CitationClass=تم تجاهله (مساعدة) - Cooper RA; Durocher JR; Leslie MH (July 1977). "Decreased fluidity of red cell membrane lipids in abetalipoproteinemia". J. Clin. Invest. 60 (1): 115–21. doi:10.1172/JCI108747. PMC 372349. PMID 874076. الوسيط
|CitationClass=تم تجاهله (مساعدة) - Demircioğlu, F; Oren, H; Yilmaz, S; Arslan, N; Gürcü, O; Irken, G (August 2005). "Abetalipoproteinemia: importance of the peripheral blood smear". Pediatric blood & cancer. 45 (2): 237. doi:10.1002/pbc.20360. PMID 15765527. الوسيط
|CitationClass=تم تجاهله (مساعدة) - Ozsoylu, S (Jan–Feb 2011). "Red cells in abetalipoproteinemia". The Turkish journal of pediatrics. 53 (1): 119. PMID 21534356. الوسيط
|CitationClass=تم تجاهله (مساعدة) - Hussain, M Mahmood; Rava, Paul; Walsh, Meghan; Rana, Muhammad; Iqbal, Jahangir (2012). "Multiple functions of microsomal triglyceride transfer protein". Nutrition & Metabolism. 9: 14. doi:10.1186/1743-7075-9-14. PMC 3337244. PMID 22353470. الوسيط
|CitationClass=تم تجاهله (مساعدة) - Mohamed, N; Mohamed Youssef, S; Mohamed Yahia, H; Afef, S; Awatef, J; Saber, H; Mohamed Fadhel, N; Sassolas, A; Mohamed Naceur, S (Apr 4, 2013). "Molecular characterization of Tunisian families with abetalipoproteinemia and identification of a novel mutation in MTTP gene". Diagnostic pathology. 8 (1): 54. doi:10.1186/1746-1596-8-54. PMC 3632489. PMID 23556456. الوسيط
|CitationClass=تم تجاهله (مساعدة) - Magnolo, Lucia; Najah, Mohamed; Fancello, Tatiana; Di Leo, Enza; Pinotti, Elisa; Brini, Ines; Gueddiche, Neji M.; Calandra, Sebastiano; Slimene, Naceur M.; Tarugi, Patrizia (2013). "Novel mutations in SAR1B and MTTP genes in Tunisian children with chylomicron retention disease and abetalipoproteinemia". Gene. 512 (1): 28–34. doi:10.1016/j.gene.2012.09.117. PMID 23043934. الوسيط
|CitationClass=تم تجاهله (مساعدة) - Pons, Véronique; Rolland, Corinne; Nauze, Michel; Danjoux, Marie; Gaibelet, Gérald; Durandy, Anne; Sassolas, Agnès; Lévy, Emile; Tercé, François; Collet, Xavier; Mas, Emmanuel (July 2011). "A severe form of abetalipoproteinemia caused by new splicing mutations of microsomal triglyceride transfer protein (MTTP)". Human Mutation. 32 (7): 751–9. doi:10.1002/humu.21494. PMID 21394827. الوسيط
|CitationClass=تم تجاهله (مساعدة) - Rader, DJ; Brewer HB, Jr (Aug 18, 1993). "Abetalipoproteinemia. New insights into lipoprotein assembly and vitamin E metabolism from a rare genetic disease". JAMA: the Journal of the American Medical Association. 270 (7الصفحات=865–9). doi:10.1001/jama.1993.03510070087042. PMID 8340987. الوسيط
|CitationClass=تم تجاهله (مساعدة)
وصلات خارجية
- فقد البروتين الشحمي بيتا من الدم على مرجع المكتبة الوطنية للطب الرئيسي لعلم الوراثة.
- AllRefer.com Bassen-Kornzweig syndrome
- David Alexander Leaf. "Abetalipoproteinemia:". Epocrates Online. مؤرشف من الأصل في 10 ديسمبر 2019. اطلع عليه بتاريخ 13 مايو 2013. الوسيط
|CitationClass=تم تجاهله (مساعدة)
- بوابة طب
- بوابة الكيمياء الحيوية
