فيروس كورونا البشري HKU1
فيروس كورونا البشري HKU1 هو من أبرز أنواع الفيروسات التاجية (فيروسات كورونا) التي نشأت من الفئران المصابة.[3] الأعراض التي ظهرت عند البشر بسبب الفيروس، تترواح بين أمراض الجهاز التنفسي مع أعراض نزلات البرد، ولكن يمكن أن تتطوّر الأعراض إلى حدوق الالتهاب الرئوي و التهاب القصيبات. اكتشف الفيروس أوّل مرة في يناير 2005، في مريضين في هونغ كونغ، ثم كشفت الأبحاث اللاحقة أن له انتشارًا عالميًا ونشأة سابقة.[4]
اضغط هنا للاطلاع على كيفية قراءة التصنيف فيروس كورونا البشري HKU1 | |
|---|---|
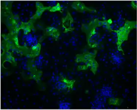
![]() يمكن رؤية الخلايا السنخية من النوع الثاني المصابة بفيروس HKU1 تسبب الانصهار بين الخلايا وتنتج التزامن . الجزء الأخضر هو تلطيخ بروتين البروتين الفيروسي ، والجزء الأزرق هو النواة | |
| المرتبة التصنيفية | نوع [1][2] |
| تصنيف الفيروسات | |
| المجموعة: | كورونا |
| النطاق: | |
| القسم: | فيروسات |
| الفصيلة: | فيروس كورونا بيتا |
| الجنس: | فيروسات |
| النوع: | فيروسات تاجية |
| الاسم العلمي | |
| HCOV - HKU1 | |
![]() هونغ كونغ المصدر الأول للفيروس | |
الأعراض
تشبه الأعراض أعراض الالتهاب الرئوي المتقدم وأعراض الأنفلونزا تقريبا وتشمل:[5]
- السعال
- بلغم
- حمى
- سيلان الأنف
- أوجاع في الصدر
- أوجاع في الحنجرة
العدوى
طريقة التكاثر
قبل أن يصيب الفيروس التاجي خلية، يحتاج بروتينه المرتفع بشكل عام إلى انقسامه بواسطة بروتيز الخلية المضيفة لفتح المجال الذي يتوسط اندماج الغشاء الخارجي للفيروس وغشاء الخلية لتسهيل العدوى. HKU1 ارتفاع البروتين وجود موقع على الانقسام S1 / S2،
طريقة الانتقال
ينتقل عن طريق الرذاذ المتاطير في الهواء و قد أظهرت الدراسات أيضًا أن الأطفال المصابين بفيروس HKU1 لديهم نسبة أعلى من تقلصات الحرارة مقارنة مع المصابين بفيروسات الجهاز التنفسي الأخرى [6]
الإكتشاف
أكتشف في يناير سنة 2005، وهو رجل يبلغ من العمر 71 عاما الذي كان قد عاد إلى هونغ كونغ من شنتشن ادخل إلى المستشفى وقد كان السعال ، البلغم و الحمى . وأوجاع في الصدر بالأشعة السينية وأكد الفحص الأعراض من التهاب رئوي . تم اختبار له إفرازات البلعوم لعدة فيروسات. سلبي، تم العثور على نوع جديد من فيروسات التاجية HKU1 بعد الاختبار.
خرج الرجل من المستشفى بعد خمسة أيام من دخوله وذلك لتخفيف الأعراض. في وقت لاحق، فحص الباحثون العينات ووجدوا أن امرأة أخرى تبلغ من العمر 35 عامًا تعاني من أعراض الالتهاب الرئوي لديها أيضًا الفيروس في إفرازات البلعوم الأنفي ليتم تأكيد هذه العينة من الفيروسات [7] .
نظرا لانخفاض معدل الكشف عن الفيروس، فإن معرفة الدوائر الأكاديمية لا تزال محدودة. أعلن الباحثون البرازيليون في عام 2011 أنه تم العثور على HCoV-HKU1 في عينة مسحة من البلعوم الأنفي للطفل مجمدة في عام 1995 ، وبذلك وصل سجل HCoV-HKU1 إلى عام 1995 ، واستخدم الباحثون تحليل الشجرة التطورية للاعتقاد بأن الفيروس قد يكون موجودًا مبكرًا الفروع الأخرى.[8]
مراجع
- النص الكامل متوفر في: http://talk.ictvonline.org/files/master-species-lists/m/msl/4911 — المحرر: اللجنة الدولية لتصنيف الفيروسات — العنوان : ICTV Master Species List 2013 v2
- النص الكامل متوفر في: https://talk.ictvonline.org/files/master-species-lists/m/msl/5208 — المحرر: اللجنة الدولية لتصنيف الفيروسات — العنوان : ICTV Master Species List 2014 v4
- Lim, Yvonne Xinyi; Ng, Yan Ling; Tam, James P.; Liu, Ding Xiang (2016-07-25). "Human Coronaviruses: A Review of Virus–Host Interactions". Diseases. 4 (3). doi:10.3390/diseases4030026. ISSN 2079-9721. PMID 28933406. مؤرشف من الأصل في 04 يونيو 2020. الوسيط
|CitationClass=تم تجاهله (مساعدة) - Lau, Susanna K. P.; Woo, Patrick C. Y.; Yip, Cyril C. Y.; Tse, Herman; Tsoi, Hoi-wah; Cheng, Vincent C. C.; Lee, Paul; Tang, Bone S. F.; Cheung, Chris H. Y. (2006-6). "Coronavirus HKU1 and Other Coronavirus Infections in Hong Kong". Journal of Clinical Microbiology. 44 (6): 2063–2071. doi:10.1128/JCM.02614-05. ISSN 0095-1137. PMID 16757599. مؤرشف من الأصل في 21 يوليو 2020. الوسيط
|CitationClass=تم تجاهله (مساعدة); تحقق من التاريخ في:|تاريخ=(مساعدة) - Lau, Susanna K. P.; Woo, Patrick C. Y.; Yip, Cyril C. Y.; Tse, Herman; Tsoi, Hoi-wah; Cheng, Vincent C. C.; Lee, Paul; Tang, Bone S. F.; Cheung, Chris H. Y. (2006-6). "Coronavirus HKU1 and Other Coronavirus Infections in Hong Kong". Journal of Clinical Microbiology. 44 (6): 2063–2071. doi:10.1128/JCM.02614-05. ISSN 0095-1137. PMID 16757599. مؤرشف من الأصل في 21 يوليو 2020. الوسيط
|CitationClass=تم تجاهله (مساعدة); تحقق من التاريخ في:|تاريخ=(مساعدة) - To, Kelvin K. W.; Hung, Ivan F. N.; Chan, Jasper F. W.; Yuen, Kwok-Yung (2013-06-14). "From SARS coronavirus to novel animal and human coronaviruses". Journal of Thoracic Disease (باللغة الإنجليزية). 5 (2): S103–S108. doi:10.3978/j.issn.2072-1439.2013.06.02. ISSN 2077-6624. مؤرشف من الأصل في 10 يونيو 2020. الوسيط
|CitationClass=تم تجاهله (مساعدة) - Woo, Patrick C. Y.; Lau, Susanna K. P.; Chu, Chung-ming; Chan, Kwok-hung; Tsoi, Hoi-wah; Huang, Yi; Wong, Beatrice H. L.; Poon, Rosana W. S.; Cai, James J. (2005-1). "Characterization and Complete Genome Sequence of a Novel Coronavirus, Coronavirus HKU1, from Patients with Pneumonia". Journal of Virology. 79 (2): 884–895. doi:10.1128/JVI.79.2.884-895.2005. ISSN 0022-538X. PMID 15613317. مؤرشف من الأصل في 21 يوليو 2020. الوسيط
|CitationClass=تم تجاهله (مساعدة); تحقق من التاريخ في:|تاريخ=(مساعدة) - 刘培林; Pei-lin, L. I. U.; 史蕾; Lei, S. H. I.; 顾大勇; Da-yong, G. U.; 胡龙飞; ${authorVo.authorNameEn} (2017-08-10). "人冠状病毒HCoV-HKU1研究进展". html.rhhz.net (باللغة cn). مؤرشف من الأصل في 7 أبريل 2020. اطلع عليه بتاريخ 21 يوليو 2020. الوسيط
|CitationClass=تم تجاهله (مساعدة)
روابط خارجية
أنواع من ويكي أنواع.
- بوابة علم الفيروسات
- بوابة طب
- بوابة كوفيد-19

_(%252Ball_claims_hatched).svg.png.webp)