فيروس مضخم للخلايا
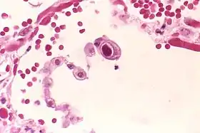
الفيروس المضخم للخلايا هو جنس فيروسي ينتمي لمجموعة الفيروسات الهربسية (الحلأ). يتوزع وجوده في كافة المناطق الجغرافية ويصيب جميع الفئات العمرية. يمكن للأمراض التي يسببها أن تكون قاتلة. كما يتضح من الاسم فإن الفيروس يقوم بتضخيم الخلية المصابة مما يعطيها شكلها المميز. يتكاثر الفيروس ببطء داخل الخلية مسببا انتفاخها وظهور أجسام ضمنية داخل نواة الخلية المصابة (أنظر الصورة).
| الفيروس المضخم للخلايا | |
|---|---|
| معلومات عامة | |
| من أنواع | فيروس موجه للعصب |
| الإدارة | |
| حالات مشابهة | فيروس هربس بيتا البشري 5 |
اضغط هنا للاطلاع على كيفية قراءة التصنيف الفيروس المضخم للخلايا | |
|---|---|
![]() | |
| المرتبة التصنيفية | جنس [2][3] |
| تصنيف الفيروسات | |
| المجموعة: | (dsDNA) I مجموعة |
| الرتبة: | Herpesvirales |
| الفصيلة: | فيروسات هربسية |
| الأسرة: | Betaherpesvirinae |
| الجنس: | فيروس مضخم للخلايا أو Cytomegalovirus |
| الاسم العلمي | |
| Cytomegalovirus[2][3] | |
| نوع نمطي | |
| الفيروس المضخم للخلايا البشري | |
الفسيولوجيا المرضية
معظم حالات الإصابة بالفيروس المضخم للخلايا غير واضحة (لا تظهر أعراض مرضية) ويمكنها البقاء داخل الجسم المصاب لفترات طويلة. في معظم الحالات يصاب الأصحاء بالفيروس بعد الولادة ولا تبدو عليهم أية أعراض. يتم طرح الفيروس بشكل مستمر عبر اللعاب والبول ومعظم السوائل الجسدية، كما ينتقل الفيروس من الأم إلى الجنين عبر المشيمة مسببا إنتانات خلقية. غالبا ما تظهر أعراض المرض عند ضعاف المناعة وكبار السن.
أمراض مرتبطة بالفيروس
- بعض المصابين تبدو عليهم إشارات داء وحيدات النواة الخمجي، عادة ما ينتج داء وحيدات النواة الخمجي عن الإصابة بفيروس إيشتاين بار ولكن بعض الحالات اللانموذجية يسببها الفيروس المضخم للخلايا. تتمثل أعراض داء وحيدات النواة الخمجي بالحمى والتهاب الحلق والتهاب الكبد.
- يؤدي انتقال الفيروس المضخم للخلايا من الأم إلى الجنين عبر المشيمة حدوث إنتانات خلقية تنتهي في كثير من الحالات لتشوه الجنين ووفاته بعد الولادة. بعض الخدج يبقون على قيد الحياة ولكن بعاهات وتشوهات خطيرة. إن الفيروس المضخم للخلايا هو حاليا المسبب الأول للطرش (صمم) الولادي.
- كما يلعب الفيروس المضخم للخلايا دورا هاما في التسبب بالإنتانات اللاحقة لنقل الدم والإنتانات اللاحقة لنقل الأعضاء. يشاهد هذا النوع من الإصابة لدى الأشخاص الذين لم يتعرضوا قبلا لهذا الفيروس والذين يعانون من ضعف في المناعة الجسدية.
انتقال الفيروس
يتم انتقال الفيروس من شخص إلى آخر عبر الاتصال المباشر وعبر السوائل الجسدية (انتقال الفيروس وليس المرض). من ناحية أخرى فإن أكثر طرق انتقال الأمراض التي يسببها الفيروس المضخم للخلايا شيوعاً هي:
- عبر الجماع.
- عبر المشيمة من الأم إلى الجنين.
- من خلال نقل الدم أو نقل الأعضاء.
تشخيص الإصابة
إن التشخيص السريري في أغلب الأحيان شديد الصعوبة وذلك لغياب الأعراض المرضية. يتم الكشف عن وجود الفيروس عبر الوسائل التالية:
- التحقق من وجود المولدات المضادة للفيروس في الدم.
- أخذ خزعة (عينة) من الخلايا المصابة ومشاهدة الخلايا الكبيرة ذات أجسام ضمنية داخل النواة.
- التحقق من وجود الدنا الخاص بالفيروس أصبح ممكناً.
العلاج
يوجد عدد من الأدوية الفعالة ضد الفيروس مثل قانسيكلوفير (بالإنجليزية: Ganciclovir) ، فال قانسيكلوفير (بالإنجليزية: Valganciclovir) ، فوسكارنت (بالإنجليزية: Foscarnet) . ويستخدم علاج سايتوغام (فيروس مضخم للخلايا) لما له من تأثير وقائي على المرضى المعرضين للإصابة. عقار سايتوغام هو عبارة عن أجسام مضادة للفيروس المضخم للخلايا يعطى عن طريق الحقن في الوريد للمرضى المعرضين للإصابة كحالات زرع الكلية والضعف المناعي والمصابين بالإيدز.
مراجع
- Mattes FM, McLaughlin JE, Emery VC, Clark DA, Griffiths PD (August 2000). "Histopathological detection of owl's eye inclusions is still specific for cytomegalovirus in the era of human herpesviruses 6 and 7". J. Clin. Pathol. 53 (8): 612–4. doi:10.1136/jcp.53.8.612. PMC 1762915. PMID 11002765. الوسيط
|CitationClass=تم تجاهله (مساعدة) - النص الكامل متوفر في: http://talk.ictvonline.org/files/master-species-lists/m/msl/4911 — المحرر: اللجنة الدولية لتصنيف الفيروسات — العنوان : ICTV Master Species List 2013 v2
- النص الكامل متوفر في: https://talk.ictvonline.org/files/master-species-lists/m/msl/5208 — المحرر: اللجنة الدولية لتصنيف الفيروسات — العنوان : ICTV Master Species List 2014 v4
وصلات خارجية
- - فيروس مضخم للخلايا
- - دراسة متعددة التقنيات لحركية فيروس المضخم للخلايا في الأشخاص ذوي الكفاءة المناعية وذوي النقص المناعي
- - أنواع العدوى الفيروسية الشائعة
- CDC information on cytomegalovirus
- CMV Seronegative vs. Leucodepleted blood components for at risk recipients.
- [ttp://www.aabb.org/Content/About_Blood/Facts_About_Blood_and_Blood_Banking/fabloodtrans.htm#6 Cytomegalovirus (CMV)]
- Learn about CMV prophylaxis and high risk transplants at Cytogam.com
- بوابة علم الفيروسات
- بوابة طب
صور وملفات صوتية من كومنز
أنواع من ويكي أنواع.
