قسطر بوابي
القسطرة البوابية هي عبارة عن قسطرة تحت الجلد تأمن مدخل دائم إلى الأوردة والشرايين، تتألف من حجرة صفيرة مبطنة بغشاء سيليكوني وخرطوم رفيع تصل نهايته عند الأذين الأيمن.[1] يتم وضعه عن طريق عملية جراحية، عن طريق حجرة القسطرة التي تكون موصولة بالدورة الدموية تتم عملية إعطاء الغذاء والأدوية.

قسطر بوابي بعد تجميعه مع الإبرة المغروزة.

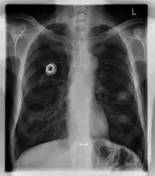
صورة أشعة للصدر تظهر القسطر المغروس.
مجالات الاستخدام
تستخدم القسطرة البوابية في الحالات التي يتطلب فيها بشكل دائم مدخل إلى الأوردة لغرض التغذية أول حقن الأدوية كما في حالات السرطانات.
مدة الاستخدام
يمكن استخدام القسطرة البوابية لمدة خمس سنوات أو أكثر.
انظر أيضا
مراجع
- "معلومات عن قسطر بوابي على موقع academic.microsoft.com". academic.microsoft.com. مؤرشف من الأصل في 7 أبريل 2020. الوسيط
|CitationClass=تم تجاهله (مساعدة)
- بوابة طب
في كومنز صور وملفات عن: قسطر بوابي
This article is issued from Wikipedia. The text is licensed under Creative Commons - Attribution - Sharealike. Additional terms may apply for the media files.