قلب يميني
القلب اليميني هو عيب خلقي يكون فيه القلب في الجهة اليمنى من جسم الإنسان. يوجد نوعان أساسيان من القلب اليميني: القلب اليميني للتوقف الجنيني (dextrocardia of embryonic arrest) (يعرف أيضًا باسم القلب اليميني المنعزل[بحاجة لمصدر]) والقلب اليميني مقلوب الموضع (situs inversus). والقلب اليميني مقلوب الموضع ينقسم أيضًا مرة أخرى.
| قلب يميني | |
|---|---|
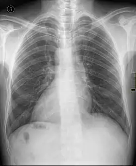
![]() أشعة سينية لشخص مصاب بالقلب اليميني و تظهر قمة القلب في اليمين أشعة سينية لشخص مصاب بالقلب اليميني و تظهر قمة القلب في اليمين | |
| معلومات عامة | |
| الاختصاص | علم الوراثة الطبية |
| من أنواع | مرض قلبي خلقي |
| التاريخ | |
| وصفها المصدر | الموسوعة السوفيتية الأرمينية |
القلب اليميني للتوقف الجنيني
وفي هذا النوع من أنواع القلب اليميني، يكون القلب في موضع أكثر يمنة في الصدر من الوضع الطبيعي. وغالبًا ما يكون مصحوبًا بعيوبٍ شديدةٍ في القلب وتشوهات تتضمن نقص التنسج الرئوي.[1]
القلب اليميني مقلوب الموضع
يشير توصيف القلب اليميني مقلوب الموضع إلى نوع القلب الذي يوجد بصورة طبق الأصل في الجانب الأيمن من جسم الإنسان. فعندما تكون كل الأعضاء الحشوية منعكسة بصورة طبق الأصل في الجانب الأيمن، فالمصطلح الذي ينبغي إطلاقه على تلك الحالة هو القلب اليميني مقلوب الموضع بالكامل.
ويُعتقَد أن حالة القلب اليميني قد تحدث بمعدلٍ يقرب من شخص من بين كل اثني عشر ألف شخص.[2]
تحدث متلازمة كارتاغينر (Kartagener’s syndrome) بمعدلٍ يقترب من شخصٍ واحدٍ من بين كل 25 مصابًا. ويؤثر ذلك الاضطراب على الجيوب و الأهداب الشُعَبية مما يسبب أعراض الجيوب الأنفية والشعب الهوائية التي لا يمكن علاجها بالأدوية. ومع وجود متلازمة كارتاغينر يستمر وجود تلك الأعراض طوال العام بدلاً من أن تكون موسمية فقط.
وبالرغم من أن إحصائيًا الأشخاص الذين لديهم قلب يميني مقلوب الوضع لا يعانون من أي مشكلات طبية بسبب الاضطرابات، إلا أن بعضهم يعد عرضةً لمشكلات الأمعاء والمريء والشعب الهوائية والقلب. وبعض تلك الحالات قد تكون مهددة الحياة إذا تركت دون فحص.
التشخيص
يمكن إجراء التشخيص الطبي لكلٍ من نوعي القلب اليميني الخلقي باستخدام جهاز رسم القلب الكهربائي ECG [1] أو التصوير.
القلب اليميني التقني
القلب اليميني التقنييشير إلى قراءة جهاز رسم القلب الكهربائي (ECG) التي لا تعتمد على الوضع الحقيقي لأعضاء المريض. ويحدث عادةً هذا العرض الواضح للقلب اليميني عن طريق تحريك الفني لاتجاهات الأطراف بغير قصد في اتجاه رقم 12 في جهاز رسم القلب الكهربائي. وعادةً ما يُظهِر ذلك انحرافًا شديدًا في المحور.
التحكم في المرض
يجب أن تكون اتجاهات جهاز رسم القلب الكهربائي في أوضاع منعكسة على الشخص الذي لديه قلب يميني. بالإضافة إلى ذلك، عندما يزال رجفان أحد المصابين بالقلب اليميني، يجب أن تكون السنادات في الوضع المنعكس أيضًا.[بحاجة لمصدر] ولذلك فيجب أن تكون السنادات في وضع اليسار العلوي واليمين السفلي، بدلاً من اليمين العلوي أو اليسار السفلي،
المراجع
- M. E. Abbott and J. C. Meakins (1915). "On the differentiation of two forms of congenital dextrocardia". Bulletin of the International Association of Medical Museums (5): 134–138. مؤرشف من الأصل في 2 سبتمبر 2020. الوسيط
|CitationClass=تم تجاهله (مساعدة) - Bohun CM, Potts JE, Casey BM, Sandor GG (2007). "A population-based study of cardiac malformations and outcomes associated with dextrocardia". Am. J. Cardiol. 100 (2): 305–9. doi:10.1016/j.amjcard.2007.02.095. PMID 17631088. مؤرشف من الأصل في 13 يناير 2019. الوسيط
|CitationClass=تم تجاهله (مساعدة)صيانة CS1: أسماء متعددة: قائمة المؤلفون (link)
