كبد دهني
تدهن الكبد، والمعروف أيضا باسم مرض الكبد الدهني (FLD)، هو حالة غير نهائية قابلة للشفاء ثانية حيث تتجمع حويصلات كبيرة من الدهون الثلاثية في داخل خلايا الكبد عن طريق عملية التشحم وانحلال الدهون (أي تراكم الدهون غير طبيعية داخل الخلية). وعلى الرغم من وجود أسباب متعددة لهذا المرض يمكن اعتباره أحد الأمراض التي تحدث في جميع أنحاء العالم بسبب الإفراط في تناول الكحول، وأيضا أولئك الذين يعانون من السمنة المفرطة (مع أو بدون آثار مقاومة الانسولين). كما يرتبط مع الأمراض الأخرى التي تؤثر على عملية التمثيل الغذائي للدهون.[1] ومن الصعب شكليا التمييز بين الكبد الدهني الناتج عن الإفراط في الكحول، من الكبد الدهني غير الكحولي، فكلاهما فيه تغيراتٌ حويصلية دهنية كبيرة وصغيرة في مراحل المرض المختلفة.
| كبد دهني | |
|---|---|
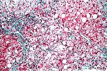
![]() صورة مجهرية تظهر كبد دهني (تبدل دهني ضخم الحويصلات), كما يظهر في مرض الكبد الدهني اللاكحولي. صبغة ثلاثي الألوان. صورة مجهرية تظهر كبد دهني (تبدل دهني ضخم الحويصلات), كما يظهر في مرض الكبد الدهني اللاكحولي. صبغة ثلاثي الألوان. | |
| معلومات عامة | |
| الاختصاص | طب الجهاز الهضمي |

وقد يصاحب تراكم الدهون التهاب تدريجي للكبد (التهاب الكبد) ،يسمى التهاب الكبد المصاحب للتدهن. ويمكن تصنيف المرض من حيث تناول الكحوليات إلى تدهن الكبد الكحولي(AFLD) أو غير الكحولي (NAFLD)، وأيضا إلى اكثرالأشكال حدة كمافى التهاب الكبدالمصاحب للتدهن بسبب الكحول (كجزء من امراض الكبد الكحولية) والتهاب الكبد الناتج عن سبب اخر غير الكحوليات (NASH).
الأسباب
تدهن الكبد يعد غالبا كأحد اعراض تناول الكحوليات بإفراط أو بعض الأمراض المرتبطة بعملية الايض (داء السكري وارتفاع ضغط الدم والبدانة ودسليبيدميا(اختلال نسبة الدهون في الدم)])، ولكن يمكن أيضا أن تكون بسبب أي من الأسباب الأخرى:
- الأسباب الأيضية
- غياب البروتين الدهنى من نوع بيتا وامراض تخزين الجليكوجين(النشا الحيوانى) مرض كريستين ويبر، [[مرض ولمان/3}، والكبد الدهني الحاد من الحمل، او اختلال التمثيل الايضى للدهون]]
- التغذوية
- سوء التغذية، والتغذية بالحقن الإجمالي، انخفاض شديد في الوزن، متلازمة ريفريدنج(اعادة التغذية)، تحويلة اللفائفى الصائم (عملية لتغيير مسار الطعام في الأمعاء)، المعدة الالتفافية، وجود التردب في جزء الصائم من الأمعاء مع النمو الزائد للبكتريا
- المخدرات والسموم
- اميودارون، الميثوتركسات، ديليتيزام، العلاج المضاد للفيروسات نشطة للغاية، جلايكورتيكود، تاموكسيفين الهيباتوتوكسين البيئى (على سبيل المثال، والفوسفور، وتسمم الفطر)
- آخر
- مرض التهاب الأمعاء وفيروس نقص المناعة والتهاب الكبد سي خصوصا النمط الوراثي 3، ونقص الفا انتى تريبسن1 [2]
المرضية

التغيرات الدهنية ثثمثل في تراكم الدهون الثلاثية في السيتوبلازم (الدهون محايدة). في البداية، تتواجد في خلايا الكبد فجوات صغيرة من الدهون (الليبوزومات) حول النواة (تغيير حويصلات دهنية صغيرة). في هذه المرحلة خلايا الكبد تمتلئ بقطرات الدهون المتعددة التي لا تحل محل النواة مركزية الموقع. ولكن حجم الحويصلات يزيد في المراحل المتأخرة مما يدفع النواة إلى جانب أو طرف الخلية، مما يعطي الخلية شكل الخاتم أحادي الفص، وهذا هو التغير الدهني كبير الحويصلات. وهذه الحويصلات يتم رسمها وتبدو بصريا "فارغة" لتحلل الدهون أثناء معالجة الأنسجة. قد تتجمع فجوات كبيرة وتتنتج اكياس دهنية والتي لا رجعة فيها. ويعد تشحم الدهون ذات الحويصلات الدهنية الكبيرة الأكثر شيوعا، وعادة ما يرتبط مع الكحول، ومرض السكري والسمنة والقشرية. ولكن الكبد الدهني الحاد أثناء الحمل ومتلازمة راي أمثلةٌ لأمراض كبدية حادة سببها التغير الدهني صغير الحويصلات. " يتم تشخيص التغير الدهني للكبد عندما تزيد نسبة الدهون في الكبد عن 5 - 10 % من وزن الكبد. "
والعيوب في التمثيل الغذائي للدهون مسؤولة عن التسبب في تدهن الكبد FLD الذي قد يكون ناجما عن خلل في استهلاك الطاقة والاحتراق مما أدى إلى تخزين الدهون أو يمكن أن يكون نتيجة لمقاومة الأنسولين، حيث يصبح نقل الأحماض الدهنية من الأنسجة الدهنية للكبد بمعدل أكبر.[1][3] ويبدو أن ضعف أو تثبيط جزيئات المستقبلات (PPAR - α، PPAR - γ وSREBP1) التي تسيطر على الانزيمات المسؤولة عن الأكسدة وصناعة الأحماض الدهنية يساهم في تراكم الدهون. بالإضافة إلى أن الإدمان الكحولي يدمر الميتوكوندريا وغيرها من عناصر البنية الخلوية، مما يضعف آلية الطاقة الخلوية بدرجةٍ أكبر. من ناحية أخرى قد يبدأ تدهن الكبد غير الكحولي كفائض الطاقة غير المستهلكة في خلايا الكبد. ويعتبر التدهن الكبدى قابل للشفاء وإلى حد ما غير تقدمي إذا كان هناك وقف أو إزالة للسبب الكامن وراء المرض.

ويرافق التدهن الكبدى أحيانا التهاب شديد وهي الحالة التي يشار إليها على انها التهاب الكبد الدهني، وتطور مرض التهاب التدهن الكبدى سواء الكحولى أو غير الكحولى يعتمد على دوام أو مدى قوة السبب الرئيسى له. والتغيرات المرضية في كلٍ من الحالتين مماثلة. ولكن تختلف الاستجابة الالتهابية اختلافا واسعا بين الحالتين، ولا تتطابق دائما مع درجة تراكم الدهون. قد يمثل (بقاء المادة الدهنية)، وبداية التهاب الكبد الدهنى مراحل متتالية في تقدم مرض التدهن FLD.[4]
وغالبا ما يتطور الكبد إلى حالات متقدمة من المرض إذا كان هناك التهابات شديدة ونسبة عالية من التدهن وأيضا تنتفخ الخلايا الكبدية ويحدث النخر الكبدي (موت الخلايا)بدرجات متفاوتة في هذه المرحلة. ويؤدى موت خلايا الكبد ورد الفعل نتيجة الالتهابات إلى تنشيط الخلايا النجمية التي تلعب دورا محوريا في التليف الكبدي. ويختلف مدى التليف على نطاق واسع. ويعد تليف المنطقة الحول جيبية هو الأكثر شيوعا، وخاصة في البالغين، وينتشر التليف في المنطقة 3 حول العروق الكبدية النهائية.[5]
وقد يتطور ذلك إلى مرض تشمع الكبد وذلك بفعل كميات الدهون ودرجات الالتهاب والعوامل الأخرى المثيرة لذلك. والتحول إلى التشمع الكبدي أمرٌ موثقٌ جيدا في حالات التدهن الكبدي الكحولي، ولكن التليف الكبدي في التدهن الكبدي غير الكحولي أقل وضوحا من هذا.
التشخيص
| تدفق الرسم البياني للتشخيص وتعديل من [6] | |||||||||||||||||||||||||||||||||||||||||||||||||||||||||||||||||||||||||||||||||||||||||||||||||||||||||||||||||||||||||||||||||||||||||||||||||||||||||||||||||||||||||||||||||||||||||||||||||||||||||||||||||||||||||||||
|---|---|---|---|---|---|---|---|---|---|---|---|---|---|---|---|---|---|---|---|---|---|---|---|---|---|---|---|---|---|---|---|---|---|---|---|---|---|---|---|---|---|---|---|---|---|---|---|---|---|---|---|---|---|---|---|---|---|---|---|---|---|---|---|---|---|---|---|---|---|---|---|---|---|---|---|---|---|---|---|---|---|---|---|---|---|---|---|---|---|---|---|---|---|---|---|---|---|---|---|---|---|---|---|---|---|---|---|---|---|---|---|---|---|---|---|---|---|---|---|---|---|---|---|---|---|---|---|---|---|---|---|---|---|---|---|---|---|---|---|---|---|---|---|---|---|---|---|---|---|---|---|---|---|---|---|---|---|---|---|---|---|---|---|---|---|---|---|---|---|---|---|---|---|---|---|---|---|---|---|---|---|---|---|---|---|---|---|---|---|---|---|---|---|---|---|---|---|---|---|---|---|---|---|---|---|---|---|---|---|---|---|---|---|---|---|---|---|---|---|---|---|
| |||||||||||||||||||||||||||||||||||||||||||||||||||||||||||||||||||||||||||||||||||||||||||||||||||||||||||||||||||||||||||||||||||||||||||||||||||||||||||||||||||||||||||||||||||||||||||||||||||||||||||||||||||||||||||||
| ‡ المعايير الخاصة بمرض الكبد الدهني غير الكحولي: استهلاك الايثانول أقل من 20غ/يوم للمرأة و30غ/يوم للرجل [7] | |||||||||||||||||||||||||||||||||||||||||||||||||||||||||||||||||||||||||||||||||||||||||||||||||||||||||||||||||||||||||||||||||||||||||||||||||||||||||||||||||||||||||||||||||||||||||||||||||||||||||||||||||||||||||||||
معظم الأفراد لا يظهرون أي اعراض ويتم اكتشاف ذلك عادة بالمناسبة بسبب خلل أو تغيرات في اختبارات وظائف الكبد أو تضخم الكبد الناتج عن حالة صحية أخرى ليس لها صلة. وجد ارتفاع مؤشرات الكيمياء الحيوية الكبدية في 50 % من الذين يعانون من التدهن البسيط. " غالبا ما يكون مستوى الإنزيم "ALT" أعلى من مستوى الإنزيم "AST" في النوع غير الكحولي، والعكس من ذلك في النوع الكحولي (نسبة الإنزيم "AST" إلى الإنزيم "ALT" هي أكبر من الضعف).
غالبا ما يتم الحصول على الفحوصات الأشعية خلال عملية تقييم الحالة. الموجات فوق الصوتية تكشف عن كبد "مشرق" (أي درجة لونه افتح) وزيادة في صدى الموجات الصوتية. والتصوير الطبي يمكن ان يساعد في تشخيص الكبد الدهني ؛ يمكن تشخيص وتحديد درجة التشحم الكبدي عن طريق استخدام تقنية (CAP) والموجودة في الفايبروسكان؛ الكبد الدهني لديه كثافة اقل من الطحال على الصور المقطعية) والدهون تبدو مشرقة (ذات لون افتح) في صور الرنين المغناطيسيT1 المرجحة (الرنين المغناطيسي). ولكن لا توجد أشعةٌ طبيةٌ تفرق بين التدهن البسيط والتهاب الكبد الدهني الكحولي المتقدم. فيجب حينئذٍ أخذ عينة من الكبد شدة المرض.
المُعالَجَة
يتوقف علاج الكبد الدهني على أسبابه الرئيسية، ويقوم علاج هذا السبب بعكس مسار المرض إذا تم تطبيقه في مرحلة مبكرة.
المضاعفات
10 ٪ من التشمع الناتج من التدهن الكبدى الكحولى FLD تتطور إلى سرطان الكبد. وسرطان الكبد في حالات التدهن الغير كحولى لم يتم بعد رصد نسبتها، ولكن العلاقة بينهم راسخة.[8]
علم الأوبئة
انتشار هذا المرض في عموم السكان تتراوح بين 10 ٪ إلى 24 ٪ في البلدان المختلفة.[9] ولكن هذه الحالة تم ملاحظتها في 75% من الأشخاص الذين يعانون من السمنة، وسيتطور 35% منهم إلى التدهن الكبدي الغير كحولي "، برغم عدم وجود دليل على الاستهلاك الملحوظ للكحوليات. التدهن الكبدي هو السبب الأكثر شيوعا لاختلال اختبار وظائف الكبد في الولايات المتحدة. "تدهن الكبد يحدث في 33 ٪ من الاميركيين الأوروبية، و45 ٪ من الاميركيين من أصل أسباني، و24 ٪ من الأميركيين من أصل أفريقي." [10]
انظر أيضًا
المراجع
- Reddy JK, Rao MS (2006). "Lipid metabolism and liver inflammation. II. Fatty liver disease and fatty acid oxidation". Am. J. Physiol. Gastrointest. Liver Physiol. 290 (5): G852–8. doi:10.1152/ajpgi.00521.2005. PMID 16603729. الوسيط
|CitationClass=تم تجاهله (مساعدة) - [6] ^ فالنتي لام، ف Dongiovanni، وPiperno، سورة Fracanzani، Maggioni م، ص Rametta، ف لوريا، ماجستير كازيراغي وهاء Suigo، ص Ceriani وهاء Remondini، ف Trombini، Fargion س. الطفرات الجينينة في الفا انتى تريبسن في مرض التدهن الكبدى الغير كحولى لها علاقة كبيرة بتغير نعدلات عملي الايض للحديد وليس لتدمير الكبد. طب الكبد أكتوبر 2006 ؛ 44 (4) :857 - 64. http://www.ncbi.nlm.nih.gov/pubmed/17006922 نسخة محفوظة 2014-07-21 على موقع واي باك مشين.
- Medina J, Fernández-Salazar LI, García-Buey L, Moreno-Otero R (2004). "Approach to the pathogenesis and treatment of nonalcoholic steatohepatitis". Diabetes Care. 27 (8): 2057–66. doi:10.2337/diacare.27.8.2057. PMID 15277442. الوسيط
|CitationClass=تم تجاهله (مساعدة)صيانة CS1: أسماء متعددة: قائمة المؤلفون (link) - Day CP, James OF (1998). "Steatohepatitis: a tale of two "hits"?". Gastroenterology. 114 (4): 842–5. doi:10.1016/S0016-5085(98)70599-2. PMID 9547102. الوسيط
|CitationClass=تم تجاهله (مساعدة) - Zafrani ES (2004). "Non-alcoholic fatty liver disease: an emerging pathological spectrum". Virchows Arch. 444 (1): 3–12. doi:10.1007/s00428-003-0943-7. PMID 14685853. الوسيط
|CitationClass=تم تجاهله (مساعدة) - Bayard M, Holt J, Boroughs E (2006). "Nonalcoholic fatty liver disease". American family physician. 73 (11): 1961–8. PMID 16770927. الوسيط
|CitationClass=تم تجاهله (مساعدة)صيانة CS1: أسماء متعددة: قائمة المؤلفون (link) - Adams LA, Angulo P, Lindor KD (2005). "Nonalcoholic fatty liver disease". CMAJ : Canadian Medical Association journal = journal de l'Association medicale canadienne. 172 (7): 899–905. doi:10.1503/cmaj.045232. PMC 554876. PMID 15795412. الوسيط
|CitationClass=تم تجاهله (مساعدة)صيانة CS1: أسماء متعددة: قائمة المؤلفون (link) - Qian Y, Fan JG (2005). "Obesity, fatty liver and liver cancer". Hbpd Int. 4 (2): 173–7. PMID 15908310. الوسيط
|CitationClass=تم تجاهله (مساعدة) - Angulo P (2002). "Nonalcoholic fatty liver disease". N. Engl. J. Med. 346 (16): 1221–31. doi:10.1056/NEJMra011775. PMID 11961152. الوسيط
|CitationClass=تم تجاهله (مساعدة) - DeNoon J. دانيال. مرض الكبد الدهني : الجينات تؤثر على المخاطر WebMD. 26 سبتمبر 2008. نسخة محفوظة 09 سبتمبر 2017 على موقع واي باك مشين.
وصلات خارجية
- الجمعية الأميركية لدراسة أمراض الكبد
- مؤسسة الكبد الأمريكية
- 00474 على النص التشعبي التعاوني للأشعة (CHORUS)
- الصورة في رحلة في علم الأمراض
- تدهن الكبد
- بوابة طب
