كثافة بعد المشبكي
كثافة بعد المشبكي (PSD) هي تخصص يتعلق بالكثافة البروتينية الملحقة بغشاء بعد المشبكي. وقد تم التعرف على كثافات بعد المشبكي بواسطة مجهر إلكتروني كمنطقة كثافة إلكترونية بغشاء خلايا بعد المشبكي العصبية. وتوجد كثافة بعد المشبكي بالقرب من المنطقة النشطة لقبل المشبكي وتضمن وجود المستقبلات على مقربة من أماكن إطلاق الناقلات العصبية قبل المشبكي. وتتنوع كثافات بعد المشبكي من حيث الحجم والتركيب بين مناطق المخ وقد تمت دراستها بشكل تفصيلي في نقاط الاشتباك العصبي الجلوتاميرجية. ولقد تم التعرف على مئات البروتينات في كثافة بعد المشبكي بما في ذلك مستقبلات الغلوتومات، والبروتينات المثبتة، والعديد من الجزيئات المرسلة للإشارات.
| Postsynaptic density | |
|---|---|
| الاسم اللاتيني densitas postsynaptica | |
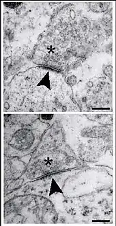
![]() Ultra-structural analysis of synapses in the brainstem of wild-type (WT)mice at embryonic day 18.5. Synapses of WT neurons in the pre-Bötzinger-complex area exhibit presynaptic vesicles (asterisks), a synaptic cleft and a distinct postsynaptic density (arrowheads). Scale bar, 250 nm. From Heupel et al., 2008 | |
| تفاصيل | |
| ترمينولوجيا هستولوجيكا | H2.00.06.2.00021 |
| ن.ف.م.ط. | D057907 |
الوظيفة
وقد تم اقتراح أن تقوم كثافة بعد المشبكي بالتركيز على مستقبلات الناقلات العصبية وتنظيمها في الشق المشبكي. كما تعمل كثافة بعد المشبكي كأجهزة لإرسال الإشارات. على سبيل المثال، يتم تنشيط الكناز والفسفات في كثافة بعد المشبكي وتحريرها منها لتغيير نشاط البروتينات الموجودة في العمود الفقري أو يتم نقلها للنواة كي تؤثر في تخليق البروتين. وتتشابه كثافة بعد المشبكي في بعض سماتها مع الموصل العصبي العضلي والموصلات الخلوية، حيث تمت نمذجة كثافة بعد المشبكي كموصل خلوي متخصص يسمح بإرسال سريع وغير متماثل للإشارات.
الشكل
ولطالما كانت بنية كثافة بعد المشبكي وتركيبها محل تركيز العديد من الدراسات الجزيئية للتكثفية البلاستيكية، نموذج خلوي للتعلم والذاكرة. كما يتراوح حجم كثافة بعد المشبكي ما بين 250 و500 نانومتر في القصر ومن 25 إلى 50 نانومتر في السماكة، بحسب حالة نشاط المشبك.
التركيب
العديد من البروتينات في كثافة بعد المشبكي تشارك في تنظيم الوظيفة المشبكية. ومن بين أهم هذه البروتينات، كثافة بعد المشبكي-95 (PSD95)، ونيروليجين (neuroligin) (جزيء التصاق خلوي)، ومستقبلات ميثيل الإسبرتات (NMDA receptors)، مستقبلات ميثيل الفوسفونيك (AMPA receptors)، والأكتين وثاني الكيناز الذي يعتمد على الكالسيوم/كالمودولين. وبزيادة حساسية تقنيات الكشف عن البروتين، كما هو الحال مع تحسينات تقنيات قياس الطيف الكتلي (mass spectrometry)، تم عزو العديد من البروتينات إلى كثافة بعد المشبكي. فالتقديرات الحالية أكبر من مئات من البروتينات التي وجدت في كثافات بعد المشبكي بين مناطق المخ وأثناء الحالات المختلفة للنشاط الإنمائي والمشبكي. كما تحتوي كثافات بعد المشبكي على جزيئات اندماج الخلايا ومجموعة متنوعة من بروتينات الإشارات الأخرى. ويحتوي العديد من بروتينات كثافة بعد المشبكي على مجالات نطيقة بعد المشبكي الكابتة للورم (PDZ).
وصلات خارجية
المراجع
نظرة عامة
- Kennedy MB (1997). "The postsynaptic density at glutamatergic synapses". Trends in Neuroscience. 20 (6): 264–268. doi:10.1016/S0166-2236(96)01033-8. PMID 9185308. الوسيط
|CitationClass=تم تجاهله (مساعدة) - Ziff EB (1997). "Enlightening the postsynaptic density". Neuron. 19 (6): 1163–74. doi:10.1016/S0896-6273(00)80409-2. PMID 9427241. الوسيط
|CitationClass=تم تجاهله (مساعدة) - Kennedy MB (2000). "Signal-processing machines at the postsynaptic density". Science. 290 (5492): 750–4. doi:10.1126/science.290.5492.750. PMID 11052931. الوسيط
|CitationClass=تم تجاهله (مساعدة)
التركيب والبنية
- Banker G, Churchill L, Cotman CW (1974). "PROTEINS OF THE POSTSYNAPTIC DENSITY". J. Cell Biol. 63 (2 Pt 1): 456–65. doi:10.1083/jcb.63.2.456. PMC 2110954. PMID 4419608. الوسيط
|CitationClass=تم تجاهله (مساعدة)صيانة CS1: أسماء متعددة: قائمة المؤلفون (link) - Cohen RS, Blomberg F, Berzins K, Siekevitz P (1977). "The structure of postsynaptic densities isolated from dog cerebral cortex: I. overall morphology and protein composition". J. Cell Biol. 74 (1): 181–203. doi:10.1083/jcb.74.1.181. PMC 2109867. PMID 194906. الوسيط
|CitationClass=تم تجاهله (مساعدة)صيانة CS1: أسماء متعددة: قائمة المؤلفون (link) - Blomberg F, Cohen RS, Siekevitz P (1977). "The structure of postsynaptic densities isolated from dog cerebral cortex: II. characterization and arrangement of some of the major proteins within the structure". J. Cell Biol. 74 (1): 204–25. doi:10.1083/jcb.74.1.204. PMC 2109869. PMID 406264. الوسيط
|CitationClass=تم تجاهله (مساعدة)صيانة CS1: أسماء متعددة: قائمة المؤلفون (link) - Walikonis RS, Jensen ON, Mann M, Provance DW, Mercer JA, Kennedy MB (2000). "Identification of proteins in the postsynaptic density fraction by mass spectrometry". J. Neurosci. 20 (11): 4069–80. PMID 10818142. الوسيط
|CitationClass=تم تجاهله (مساعدة)صيانة CS1: أسماء متعددة: قائمة المؤلفون (link) - Peng J, Kim MJ, Cheng D, Duong DM, Gygi SP, Sheng M (2004). "Semiquantitative proteomic analysis of rat forebrain postsynaptic density fractions by mass spectrometry". J. Biol. Chem. 279 (20): 21003–11. doi:10.1074/jbc.M400103200. PMID 15020595. الوسيط
|CitationClass=تم تجاهله (مساعدة)صيانة CS1: أسماء متعددة: قائمة المؤلفون (link) - Jordan BA, Fernholz BD, Boussac M; et al. (2004). "Identification and verification of novel rodent postsynaptic density proteins". Mol. Cell Proteomics. 3 (9): 857–71. doi:10.1074/mcp.M400045-MCP200. PMID 15169875. الوسيط
|CitationClass=تم تجاهله (مساعدة); Explicit use of et al. in:|مؤلف=(مساعدة)صيانة CS1: أسماء متعددة: قائمة المؤلفون (link) - Baron MK, Boeckers TM, Vaida B; et al. (2006). "An architectural framework that may lie at the core of the postsynaptic density". Science. 311 (5760): 531–5. doi:10.1126/science.1118995. PMID 16439662. الوسيط
|CitationClass=تم تجاهله (مساعدة); Explicit use of et al. in:|مؤلف=(مساعدة)صيانة CS1: أسماء متعددة: قائمة المؤلفون (link) - Collins MO, Husi H, Yu L; et al. (2006). "Molecular characterization and comparison of the components and multiprotein complexes in the postsynaptic proteome". J. Neurochem. 97 (Suppl 1): 16–23. doi:10.1111/j.1471-4159.2005.03507.x. PMID 16635246. الوسيط
|CitationClass=تم تجاهله (مساعدة); Explicit use of et al. in:|مؤلف=(مساعدة)صيانة CS1: أسماء متعددة: قائمة المؤلفون (link) - Alié Alexandre, Manuel Michaël (2010). "The backbone of the post-synaptic density originated in a unicellular ancestor of choanoflagellates and metazoans". BMC Evol. Biol. 10: 34. doi:10.1186/1471-2148-10-34. PMC 2824662. PMID 20128896. الوسيط
|CitationClass=تم تجاهله (مساعدة)
- بوابة تشريح
