كروماتين الأملاح والفلفل
في علم الأمراض، يشير كروماتين الأملاح والفلفل، أو نويات الأملاح والفلفل، والكروماتين المرقط، إلى نواة الخلية التي تبين الكروماتين الحبيبي (على المجهر الضوئي (light microscopy)).[1]

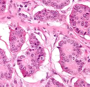
ورم الغدد الصم العصبية في الأمعاء الدقيقة بسبب كروماتين الأملاح والفلفل. صبغة الهيماتوكسيلين والأيوزين.
وعادةً ما تتم رؤية كروماتين الأملاح والفلفل في أورام الغدد الصماء مثل سرطان الغدة الدرقية النخاعية، وورم الغدد الصم العصبية tumour)s[2] وورم القواتم [3]
معرض صور
المراجع
- Chetty R, Asa SL (2004). "Pancreatic endocrine tumour with cytoplasmic keratin whorls. Is the term "rhabdoid" appropriate?". J. Clin. Pathol. 57 (10): 1106–10. doi:10.1136/jcp.2004.018309. PMC 1770450. PMID 15452172. الوسيط
|CitationClass=تم تجاهله (مساعدة) - Van Buren G, Rashid A, Yang AD; et al. (2007). "The development and characterization of a human midgut carcinoid cell line". Clin. Cancer Res. 13 (16): 4704–12. doi:10.1158/1078-0432.CCR-06-2723. PMID 17699847. الوسيط
|CitationClass=تم تجاهله (مساعدة); Explicit use of et al. in:|author=(مساعدة)صيانة CS1: أسماء متعددة: قائمة المؤلفون (link) - Shidham VB, Galindo LM (1999). "Pheochromocytoma. Cytologic findings on intraoperative scrape smears in five cases". Acta Cytol. 43 (2): 207–13. PMID 10097711. الوسيط
|CitationClass=تم تجاهله (مساعدة)
This article is issued from Wikipedia. The text is licensed under Creative Commons - Attribution - Sharealike. Additional terms may apply for the media files.

_histopathology.jpg.webp)
_histopathology.jpg.webp)