كسر أرضية المحجر
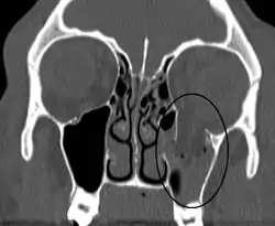
كسر أرضية الحجاج أو كسر أرضية المحجر أو الكسر الانفجاري (بالإنجليزية: Orbital Blow-out Fracture) والحجاج هو التجريف العظمي المحيط بالعين وينتج عن رض أمامي لكرة العين أو حادث سير أو أي حادث ناتج عن ارتطام الوجه بشئ صلب، وينتقل الرض بشكل إجباري لقاعدة الحجاج العظمي الضعيفة فتنكسر، ويمكن تشخيص كسور عظام الحجاج بعمل اشعة مقطعية أو عمل رنين مغناطيسي على الحجاج أو حتى الصورة الاشعاعيه البسيطه ذلك حتى نكتشف مكان الشرخ أو الكسر العظمي وكذلك معرفة عضلات العين المحشورة داخل هذا الكسر، وتؤدي بعض اصابات الحجاج إلى شرخ أو كسر في هذه العظام فتنحشر عضلات العين داخل هذا الشرخ أو الكسر وتصبح عاجزة عن تحريك العين واكثر العضلات تأثراً من اصابات عظام الحجاج هي العضلات السفلية ويؤدي احتباس العضلات السفلية داخل الكسور العظمية إلى عدم قدرة العين إلى الحركة إلى أعلى ويلاحظ على هؤلاء المرضى أنهم عندما ينظرون إلى أعلى فإن العين السليمة تتحرك إلى أعلى بينما العين المصابة فلا ترتفع، وقد يهبط بعض مكونات المحجر والشحم أو العضلة المستقيمة السفلية إلى جوف الجيب الفكي، الكسر يؤدي لغؤور العين وتحدد حركاتها وقد يحدث شفع بالابصار.[1][2][3]
| الكسر الانفجاري | |
|---|---|
![]() كسر انفجاري محجري في أرضية محجر العين الأيسر. كسر انفجاري محجري في أرضية محجر العين الأيسر. | |
| معلومات عامة | |
| الاختصاص | طب الطوارئ |
| من أنواع | مرض ملحقات العين |
المعالجة
إجراء جراحة لتحرير النسج العالقة وتعويض الجزء العظمي المفقود.
ملحوظه:- قد يحدث الحول الثانوي أيضا بعد عمليات حجاج العين المختلفة، ومن أهمها عملية تخفيف الضغط بالحجاج، وعمليات إصلاح كسور الحجاج، ويكون ذلك نتيجة لهبوط العضلات والأنسجة الرخوة داخل الجيوب الأنفية بطريقة غير منتظمة، أو التصاق العضلة المستقيمة السفلية بالنسيج المزروع، ويعتمد حدوث مثل هذا النوع من الحول على عدة عوامل منها، عمر المريض، ووقت إجراء الجراحة بالنسبة لحدوث الكسر، ونوع العملية المستخدمة، ونوع النسيج المستخدم في إصلاح الكسر، وفي أغلب الأحيان يتم الشفاء من الحول تلقائيا في غضون ستة أشهر بعد الجراحة. وعلاج هذا الحول يكون جراحياً بوضع شريحة بلاستيكية تفصل العضلات المحشورة عن العظام المكسورة حتى تستطيع التحرك بحرية.
مراجع
- "معلومات عن كسر أرضية المحجر على موقع meshb.nlm.nih.gov". meshb.nlm.nih.gov. مؤرشف من الأصل في 23 أكتوبر 2020. الوسيط
|CitationClass=تم تجاهله (مساعدة) - "معلومات عن كسر أرضية المحجر على موقع apps.who.int". apps.who.int. مؤرشف من الأصل في 5 نوفمبر 2018. الوسيط
|CitationClass=تم تجاهله (مساعدة) - "معلومات عن كسر أرضية المحجر على موقع emedicine.medscape.com". emedicine.medscape.com. مؤرشف من الأصل في 7 أكتوبر 2017. الوسيط
|CitationClass=تم تجاهله (مساعدة)
انظر أيضا
روابط خارجية
- CT Scans of Blowout Fracture from MedPix
- Blow out fracture current management trends
- http://www.hawal-eg.com/Types%20of%20Strabismus/Blowout%20Fracture.htm
- http://bu.edu.eg/portal/uploads/discussed_thesis/finalabsrtract/11195144.pdf
- بوابة طب
