كسر الرضفة
كسر الرضفة هو كسر في عظمة رأس الركبة،[1] تشمل الأعراض الألم والتورم والكدمات في الجزء الأمامي من الركبة.[1] وقد يكون الشخص غير قادر على المشي.[1] قد تشمل المضاعفات إصابة قصبة الساق أو عظم الفخذ أو ركبة.[3]
| كسر الرضفة | |
|---|---|
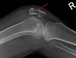
![]() كسر في الرضفة من منظور جانبي كسر في الرضفة من منظور جانبي | |
| معلومات عامة | |
| الاختصاص | جراحة العظام |
| الأنواع | مستقرة، نازحة، مسحوقة، مفتوحة[1] |
| الموقع التشريحي | رضفة |
| الأسباب | |
| الأسباب | صدمة في مقدمة الركبة[1] |
| المظهر السريري | |
| الأعراض | ألم وتورم وكدمات أمام الركبة[1] |
| المضاعفات | قصبة الساق أو عظم الفخذ أو الركبة[2] |
| الإدارة | |
| التشخيص | استنادًا إلى الأعراض، وبالأشعة السينية.[3] |
| العلاج | التجبير والجراحة |
عادةً ما يُنتج عن ضربة قوية في الجزء الأمامي من الركبة أو السقوط على الركبة.[1] في بعض الأحيان قد يحدث من تقلص قوي في عضلات الفخذ.[1] يغتمد التشخيص على الأعراض ويُأكد مع الأشعة السينية.[3] عند الأطفال قد يتطلب التصوير بالرنين المغناطيسي.[3]
قد يكون العلاج بالجراحة أو بدونها، اعتمادًا على نوع الكسر.[2] عادةً ما يمكن معالجة الكسر الغير مَخْلُوع من مكانه الصَّبِّ [الإنجليزية].[2] حتى بعض الكسور المخلوعة يمكن علاجها بالجبيرة طالما يستطيع الشخص أن يستقيم ساقه دون مساعدة.[2] عادةً ما يتم تثبيت الساق في وضع مستقيم للأسابيع الثلاثة الأولى ومن ثم يسمح بدراجات متزايدة من الانحناء.[2] تتطلب أنواع الكسور الأخرى الجراحة بشكل عام.[2][4]
تشكل كسور الرضفة حوالي 1% من جميع الكسور التي تُصيب العظام.[3] يتأثر الذكور أكثر من الإناث.[3] غالبًا ما يتأثر الأشخاص الذين هم في منتصف العمر.[3] نتائج العلاج جيدة بشكل عام.[2]
التشخيص

يستند التشخيص على الأعراض ويُأكّد بالأشعة السينية،[3] قد يتطلب التصوير بالرنين المغناطيسي عند الأطفال.[3]
علاج
قد يكون العلاج بالجراحة أو بدونها، وهذا يعتمد على نوع الكسر.[2]
العلاج يالجبيرة
يُمكن معالجة الكسرور الغير مَخْلُوع من مكانه بالصَّب.[2] حتى بعض الكسور النازحة عن مكانها يمكن علاجها بالجبيرة طالما يستطيع الشخص أن يستقيم ساقه دون مساعدة.[2] عادةً ما يُثبت الساق في وضع مستقيم للأسابيع الثلاثة الأولى ومن ثم يسمح بدراجات متزايدة من الانحناء.[2]
الجراحة
استئصال الرضفة (في حالات الكسر مَسحُون) هو إزالة الرضفة بأكملها، في حين أن استئصال الرضفة الجزئي هو إزالة جزء فقط من الرضفة، في حين أن أي أربطة أو أوتار كانت متصلة بالجزء الذي تمت إزالته متصلة بالجزء المتبقي. قد يتطلب الكسر أسلاك شد (في حالة كسر جزءين) لتوحيد العظام المكسورة. مع تقدُم تقنية التثبيت كسر الرضفة المسحوقة يُجري إعادة بنائها (عمليات صِيانة الرضفة).
المراجع
- "Patellar (Kneecap) Fractures". OrthoInfo - AAOS. January 2017. مؤرشف من الأصل في 16 أكتوبر 2017. اطلع عليه بتاريخ 16 أكتوبر 2017. الوسيط
|CitationClass=تم تجاهله (مساعدة) - Kakazu, R; Archdeacon, MT (يناير 2016). "Surgical Management of Patellar Fractures". The Orthopedic Clinics of North America. 47 (1): 77–83. doi:10.1016/j.ocl.2015.08.010. PMID 26614923. الوسيط
|CitationClass=تم تجاهله (مساعدة) - Abbasi, David. "Patella Fracture - Trauma". Orthobullets.com (باللغة الإنجليزية). مؤرشف من الأصل في 17 أكتوبر 2017. اطلع عليه بتاريخ 16 أكتوبر 2017. الوسيط
|CitationClass=تم تجاهله (مساعدة) - Melvin, JS; Mehta, S (أبريل 2011). "Patellar fractures in adults". The Journal of the American Academy of Orthopaedic Surgeons. 19 (4): 198–207. doi:10.5435/00124635-201104000-00004. PMID 21464213. الوسيط
|CitationClass=تم تجاهله (مساعدة)
- بوابة طب
