كسر الفك السفلي
كسر الفك السفلي (بالإنجليزية: Mandibular fracture) أو يعرف بأنه كسر الفك، هو كسر يحصل خلال عظام الفك.[1][2][3] يحدث هذا النوع من الكسور بسبب التعرض لإصابة وعادة ما تكون مصاحبة برضّة الوجه.
| كسر الفك السفلي | |
|---|---|
| معلومات عامة | |
| الاختصاص | طب الرضوح |
| الموقع التشريحي | فك سفلي |
تتضمن أنواع كسر الفك السفلي الكسور في منطقة الارتفاق الذقني ورأد الفك وزاوية الفك وعنق اللقمة.
تشخيص المرض وعلاجه
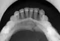
هي إصابة تحدث في الغالب للرياضيين وخاصة رياضيي الرياضات القتالية كالملاكمة. كما تحدث هذه الإصابة لعموم الأشخاص في حالات حوادث السيارات وحوادث السقوط على الوجه أو حالات تلقي ضربات مباشرة قوية للوجه. تشتهر هذه الإصابة بكون عملية التعافي منها وعودة الفك لحالته الطبيعية تحتاج أن يغلق فم المصاب بأسلاك حديدية تمر بين الأسنان وتخترق اللثة وتربط الأسنان العلوية بالسفلية مما يجعل من إمكانية دخول الطعام للفم أمراً مستحيلاً ويجبر المصاب على الاقتصار على السوائل كمصدر غذاء.
الصعوبات بعد إغلاق الفم
بعد إغلاق الفم، سيصعب فهم الكلام المنطوق من المصاب خاصة في الأسبوع الأول من عملية الإغلاق. كما أن اقتصار المصاب على السوائل يجعله يخسر بعضاً من وزنه في غالب الحالات. لكن المشكلة الحقيقية تكمن في الصعوبات الذي يواجهها المصاب في عملية الأكل.
مصادر الغذاء في فترة إغلاق الفم
هناك عدد من الأطعمة الممكن استخدامها كمصادر غذاء في فترة إغلاق الفم. ستتمكن من أكل أي شيء تستطيع إدخاله لفمك بدون فتحه. من أشهر الأطعمة الممكن استخدامها:
- الأطعمة المخلوطة: استخدام آلة الخلط الكهربائية لخلط أي وجبة تريدها. ستتمكن من فعل ذلك بعد إضافة الماء في الخلاط ثم الغذاء الذي تريده كاللحم والبطاطس.
- الكريمة الخفيفة وأي نوع من الحلاء الممكن شفطه.
- القلابة.
مدة إغلاق الفم
مدة إغلاق الفم تختلف بحسب طبيعة الإصابة. في بعض الحالات يبقى الفم مغلقاً لشهور وفي حالات أخرى أسابيع قليلة فقط.
معرض صور
المراجع
- Nair, M. K.; Nair, U. P. (2001). "Imaging of mandibular trauma: ROC analysis". Academic Emergency Medicine. 8 (7): 689–695. doi:10.1111/j.1553-2712.2001.tb00186.x. PMID 11435182. الوسيط
|CitationClass=تم تجاهله (مساعدة) - Wilson, William C (2007). Trauma: Emergency Resuscitation, Perioperative Anesthesia, Surgical Management (Volume 1). Google eBooks: Informa Healthcare. صفحات 417–418. ISBN 978-1-280-73024-5. مؤرشف من الأصل في 26 يناير 2020. الوسيط
|CitationClass=تم تجاهله (مساعدة) - Andersson, Lars (2012). Oral and Maxillofacial Surgery. John Wiley & Sons. ISBN 978-1-118-29256-3. الوسيط
|CitationClass=تم تجاهله (مساعدة)
- بوابة طب





