كسر الملاكم
كسر الملاكم هو الاسم الشائع لكسر في عنق العظام التي تشكل براجم اليد.[1][2][3] يحدث الكسر عادة في عنق العظم السنعي الخامس، الذي يشكل برجمة خنصر ولكن نفس الاسم يمكن أن يستعمل لكسر يحدث في أي من الأسناع. تعرف هذه الأذية أيضاً بكسر المتشاجر ; يمكن أن يسمى كسر في عنق السنع الرابع أو الخامس بكسر الحانة.
| كسر الملاكم | |
|---|---|
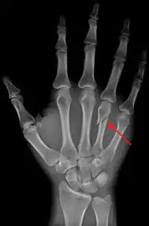
![]() DP (PA) right hand x-ray showing fracture at the neck of العظم السنعي الرابع DP (PA) right hand x-ray showing fracture at the neck of العظم السنعي الرابع | |
| معلومات عامة | |
| الاختصاص | طب الطوارئ |
| من أنواع | كسر العظم |
| التاريخ | |
| سُمي باسم | ملاكم |
الأسباب
يسبب عادة بتصادم كف مقبوض مع جمجمة أو عنصر قاسٍ غير متحرك كجدار. يميل برجم إصبع السبابة لقيادة بقية البراجم في لكمة قاسية وينضغط البرجم ويكسر عنق العظم السنعي.
العلاج
عدم تحريك الاصبع من 3-4 اسابيع يمكن علاج المريض بالجراحة أو بالجبس هذا حسب الحالة وتناول أطعمة ترمم الكسور.
رد مغلق و جبيرة ميزابة الزند في الحالات المتوسطة بالحالات المتقدمة نستعمل سلك كيرشنر
المراجع
- بوابة طب
- "معلومات عن كسر الملاكم على موقع apps.who.int". apps.who.int. مؤرشف من الأصل في 5 نوفمبر 2018. الوسيط
|CitationClass=تم تجاهله (مساعدة) - "معلومات عن كسر الملاكم على موقع babelnet.org". babelnet.org. مؤرشف من الأصل في 13 ديسمبر 2019. الوسيط
|CitationClass=تم تجاهله (مساعدة) - Metathesaurus&code=C0272682 "معلومات عن كسر الملاكم على موقع ncim-stage.nci.nih.gov" تحقق من قيمة
|مسار أرشيف=(مساعدة). ncim-stage.nci.nih.gov. مؤرشف من Metathesaurus&code=C0272682 الأصل تحقق من قيمة|مسار=(مساعدة) في 13 ديسمبر 2019. الوسيط|CitationClass=تم تجاهله (مساعدة)
كسر الملاكم في المشاريع الشقيقة
صور وملفات صوتية من كومنز
This article is issued from Wikipedia. The text is licensed under Creative Commons - Attribution - Sharealike. Additional terms may apply for the media files.
