كسر جونز
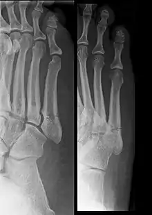
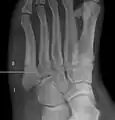
كسر جونز (بالإنجليزية: Jones fracture) هو كسر يصيب قاعدة المشطية الخامسة للقدم، وهي المشطية الواقعة عند قاعدة إصبع القدم الأصغر. ويشكو المصاب بهذا الكسر من ألم وتورم بهذه المنطقة مع صعوبة في المشي.
| كسر جونز | |
|---|---|
| معلومات عامة | |
| الاختصاص | طب الطوارئ |
| التاريخ | |
| سُمي باسم | روبرت جونز |

يظهر الكسر أقصى يمين الأشعة في قاعدة المشطية الخامسة
يعالج هذا الكسر بتجبيس القدم المصابة لمدة تتراوح بين أربعة وثمانية أسابيع، وتلتئم ثلاثة أرباع هذه الكسور بهذه الطريقة. وقد تحتاج بعض الكسور التثبيت الداخلي باستخدام شريحة أو سلك كيرشنر، وذلك في حالة عدم الالتئام بعد اشتخدام الجبس لفترة كافية، أو في حالة بعض الرياضيين المحترفين الذين لا تسمح ظروف احترافهم الرياضي لهم بالبقاء في الجبس لفترات طويلة.
أول من وصف هذا الكسر وصفًا علميًا هو جرّاح العظام البريطاني السير روبرت جونز في مقال نشره في "حوليات الجراحة" (بالإنجليزية: Annals of Surgery) سنة 1902، وكان جونز نفسه قد أصيب بهذا الكسر أثناء الرقص.[1]
معرض صور
المراجع
- Jones, Robert (Jun 1902). "I. Fracture of the Base of the Fifth Metatarsal Bone by Indirect Violence". Ann Surg. 35 (6): 697–700. PMC 1425723. PMID 17861128. الوسيط
|CitationClass=تم تجاهله (مساعدة)
- بوابة طب
This article is issued from Wikipedia. The text is licensed under Creative Commons - Attribution - Sharealike. Additional terms may apply for the media files.


