كسر ضلعي
الكسر الضلعي هو كسر أو تحطم في واحد أو أكثر من العظام التي تشكل القفص الصدري. ونادراً ما يكسر الضلع الأول بسبب موقعه خلف عظم الترقوة والذي يجعله محمياً . ومع ذلك، إذا ما تم كسرها، يمكن أن تحدث أضراراً جسيمة في الضفيرة العضدية من الأعصاب والأوعية تحت الترقوة. الكسور في الضلعين الأول والثاني غالباً ما تكون مرتبطة مع إصابات في الرأس والوجه أكثر من ارتباطها بكسور في الأضلاع الأخرى. كسور الضلوع الوسطى هي الأكثر شيوعاً.[1] الكسور عادة ما تحدث من ضربات مباشرة أو غير مباشرة من إصابات السحق. أضعف جزء من الضلع هو فقط المنطقة الأمامية لزاويته، ولكن يمكن أن يحدث الكسر في أي مكان. الأضلاع الأكثر تعرضاً للكسر هي الضلع السابع والضلع العاشر. الكسور في الأضلاع السفلية قد تؤدي لمضاعفات محتملة كإصابة الحجاب الحاجز، والذي ينتج عنها فتق الحجاب الحاجز.[2] كسور الأضلاع غالباً ما تكون مؤلمة جداً لأن الأضلاع يجب أن تتحرك للسماح للتنفس. عندما يتم كسر العديد من الأضلاع في عدة أماكن ينتج عن ذلك صدر سائب، وتتحرك أجزاء العظم المنفصلة بصورة منفصلة عن باقي الصدر.
| كسر ضلعي | |
|---|---|
| معلومات عامة | |
| الاختصاص | طب الطوارئ |
| من أنواع | كسر العظم |
| الموقع التشريحي | ضلع |

الأسباب
يمكن ان تحدث كسور في الاضلاع دون صدمة مباشرة، وقد سجلت حالات بعد السعال المزمن وفي مختلف الألعاب الرياضية – على سبيل المثال، التجديف، الكارتينج والغولف – غالباً ما تكون لدى نخبة من الرياضيين. ويمكن أن تحدث أيضا كنتيجة من أمراض أخرى مثل السرطان أو العدوى (الكسر المرضي). كسور هشاشة الأضلاع يمكن أن تحدث نتيجة لبنية العظام المريضة، على سبيل المثال هشاشة العظام و النقائل السرطانية المتوضعة.
التشخيص





وكثيراً ما يشار إلى كسور الأضلاع بالأعراض التالية:[3]
- ألم عند التنفس أو مع الحركة.
- جزء من جدار الصدر يتحرك بصورة مستقلة عن بقية الصدر ( الصدر السائب).
- صوت مزعج أثناء التنفس أو الحركة
- حيث أن آلية الإصابة تشير إلى تأثير قوة كبيرة على الأضلاع
- لأن جدار صدر الأطفال أكثر مرونة من البالغين، تكون أضلاعهم أكثر عرضة للانثناء منه للكسر، وبالتالي وجود كسور في أضلاع الأطفال هو دليل على وجود قدر كبير من القوة وقد يشير إلى إصابات صدرية حادة مثل كدمة رئوية.[4] الكسور في الأضلاع تعتبر أيضاً علامة على إصابة أكثر خطورة عند كبار السن.[4]
العلاج
لا يوجد علاج محدد لكسور الأضلاع، ولكن يمكن اتخاذ تدابير داعمة مختلفة. في كسور الأضلاع البسيطة، قد يسبب الألم تقليل الحركة وكبت السعال، وهذا قد يساهم في تشكيل التهاب صدري ثانوي. مسكنات ألم كافية يمكن أن تجنبنا هذه المشكلة. الصدر السائب Flail chest هو إصابة مهددة للحياة، وكثيراً ما تتطلب فترة من التنفس الصناعي المساعد.[5] الصدر السائب والكسور الضلع الأول هي إصابات عالية الطاقة ويجب أن يتبعها تحقيق في الأضرار اللاحقة بالأحشاء خلفها مباشرة (على سبيل المثال كدمة في الرئة) أو في منطقة أبعد ( على سبيل المثال إصابة العمود الفقري الرقبي). الكسور العفوية عند الرياضيين عموماً تتطلب وقفاً لأسبابها، على سبيل المثال: إجازة من التجديف، مع المحافظة على اللياقة البدنية القلبية الوعائية. الخيارات العلاجية المتاحة للتثبيت الداخلي/ إصلاح كسور الأضلاع تشمل:
- الابتكار الحاد ريبلوك Acute Innovations RibLoc وهو صفيحة على شكل حرف U من التيتانيوم والتي صممت ليكون قياسها مماثل لسماكة الضلع وتستخدم المسامير والتي تثبت أمام وخلف الصفيحة وتوفر التثبيت دون الحاجة لثقب العظام للمسامير وبدون تعريض الحزمة العبية الوعائية لأي أذية. هذه الصفائح يمكن أن تحيط لتتناسب مع جزء الضلع الذي تم تصفيحه وتأتي بأطوال مختلفة.
- جوديت Judetو/أو صفائح/ دعامات سانكيزSanchezهي صفيحة معدنية مع شرائط تربط حول الضلع ثم يتم تثبيها أكثر باستخدام الغرز الجراحية.[6]
- نظام تثبيت سينثيس ماتريكس ريب SynthesMatrixRIB وله خياران:
- لوحة معدنية محاطة سابقاً والتي تستخدم مسامير لتثبيت اللوحة إلى الضلع، و/أو جبيرة داخل النقي والتي يتم إدخالها داخل الضلع وتثبت بمجموعه من المسامير.[7]
- لوحة قفل أمامية وهي لوحات معدنية والتي تمتلك ثقوب للمسامير في جميع أنحاء اللوحة. توضع اللوحة فوق الضلع وتثبت بالمسامير إلى العظم بالاتجاه المرغوب به. قد يتم ثني الصفائح لتطابق محيط الضلع.[8]
- استخدام صفيحة على شكل U [9]
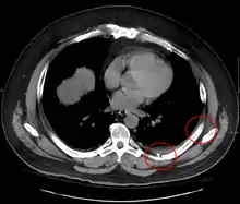
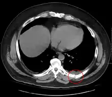
معرض صور
المراجع
- Nanni, Christina (2012). PET-CT: Rare Findings and Diseases. Springer. صفحة 257. ISBN 978-3-642-24698-2. الوسيط
|CitationClass=تم تجاهله (مساعدة) - Marx, John (2010). Rosen's Emergency Medicine - Concepts and Clinical Practice, 2 ..., Volumes 1-2. Mosby. صفحة 187. ISBN 978-0-323-04572-0. الوسيط
|CitationClass=تم تجاهله (مساعدة)صيانة CS1: تجاهل خطأ ردمك (link) - "Broken or bruised ribs". NHS.UK. 2015. مؤرشف من الأصل في 17 أكتوبر 2017. اطلع عليه بتاريخ August 2015. الوسيط
|CitationClass=تم تجاهله (مساعدة); تحقق من التاريخ في:|تاريخ الوصول=(مساعدة) - 1. Wanek S, Mayberry JC (January 2004). "Blunt thoracic trauma: Flail chest, pulmonary contusion, and blast injury". Critical Care Clinics 20 (1): 71–81.doi:10.1016/S0749-0704(03)00098-8. ببمد 14979330
- Paul, Pauline; Williams, Beverly (2009-01-01). Brunner & Suddarth's Textbook of Canadian Medical-surgical Nursing (باللغة الإنجليزية). Lippincott Williams & Wil. صفحة 637. ISBN 9780781799898. مؤرشف من الأصل في 17 ديسمبر 2019. الوسيط
|CitationClass=تم تجاهله (مساعدة) - Fitzpatrick, D. C.; Denard, P. J.; Phelan, D.; Long, W. B.; Madey, S. M.; Bottlang, M. (2010). "Operative stabilization of flail chest injuries: review of literature and fixation options". European Journal of Trauma and Emergency Surgery. 36 (5): 427–433. doi:10.1007/s00068-010-0027-8. PMC 3150812. PMID 21841954. الوسيط
|CitationClass=تم تجاهله (مساعدة) - Mathison, Douglas (2014). Master Techniques in Surgery: Thoracic Surgery: Transplantation, Tracheal Resections, Mediastinal Tumors, Extended Thoracic Resections. Walters-Kluwer Health. ISBN 978-1-46988-903-0. مؤرشف من الأصل في 26 يناير 2020. اطلع عليه بتاريخ 15 أغسطس 2015. الوسيط
|CitationClass=تم تجاهله (مساعدة)كسر ضلعي في كتب جوجل - Browner, Bruce D. (2009-01-01). Skeletal Trauma: Basic Science, Management, and Reconstruction (باللغة الإنجليزية). Elsevier Health Scien. صفحة 1418. ISBN 1416022201. مؤرشف من الأصل في 8 مايو 2016. الوسيط
|CitationClass=تم تجاهله (مساعدة) - de Jong, M. B.; Kokke, M. C.; Hietbrink, F.; Leenen, L. P. H. (2014). "Surgical Management of Rib Fractures: Strategies and Literature Review". Scandinavian Journal of Surgery. 103 (2): 120–125. doi:10.1177/1457496914531928. PMID 24782038. الوسيط
|CitationClass=تم تجاهله (مساعدة)
- بوابة طب
صور وملفات صوتية من كومنز


