كسر كوليس
كسر كولِس (بالإنجليزية: Colles' fracture) هو كسر في النهاية البعيدة للكعبرة مع انزياح ظهري (خلفي) للمعصم واليد. يدعى هذا الكسر أحياناً بتشوه ظهر الشوكة أو تشوه الحربة بسبب الشكل الذي يأخذه مقدم الساعد. لمناقشة تفصيلية أكثر راجع كسر الكعبرة البعيد.
| Colles' fracture | |
|---|---|
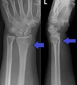
![]() صورة أشعة تظهر كسر كوليس صورة أشعة تظهر كسر كوليس | |
| تسميات أخرى | Colles fracture, Pouteau fracture[1] |
| معلومات عامة | |
| الاختصاص | طب الطوارئ, جراحة العظام |
| من أنواع | كسر رسغي |
| الأسباب | |
| الأسباب | Fall on an outstretched hand[2] |
| عوامل الخطر | هشاشة العظام[2] |
| المظهر السريري | |
| البداية المعتادة | Sudden[2] |
| الأعراض | Pain, swelling, deformity, رضة[2] |
| الإدارة | |
| التشخيص | تصوير شعاعي[2] |
| العلاج | Cast, surgery[3] |
| المآل | Recovery over 1 to 2 years[2] |
| الوبائيات | |
| انتشار المرض | ~15% lifetime risk[3] |
| التاريخ | |
| سُمي باسم | أبراهام كوليس |

صورة شعاعية تظهر كسر كولس
التشخيص
- الميلان الظهري.
- قصر الكعبرة.
- خسارة الانحراف الزندي
- التزوي الكعبري للمعصم.
- الخلع الظهري لشدفة التفتت البعيدة في موقع الكسر
- كسر مرافق في الناتئ الإبري للزند في أكثر من 60% من الحالات.
العلاج
الرد المغلق ثم التجبير بواسطة الجبس أو الجبيرة.
التاريخ
سمي نسبة إلى الطبيب الإيرلندي أبراهام كوليس.[4]
المراجع
- "Distal forearm 23-A2.2 CRIF". www2.aofoundation.org (باللغة الإنجليزية). مؤرشف من الأصل في 13 أكتوبر 2017. اطلع عليه بتاريخ 13 أكتوبر 2017. الوسيط
|CitationClass=تم تجاهله (مساعدة) - "Distal Radius Fractures (Broken Wrist)". orthoinfo.aaos.org. March 2013. مؤرشف من الأصل في 02 يوليو 2017. اطلع عليه بتاريخ 12 أكتوبر 2017. الوسيط
|CitationClass=تم تجاهله (مساعدة) - Blakeney, WG (18 November 2010). "Stabilization and treatment of Colles' fractures in elderly patients". Clinical Interventions in Aging. 5: 337–44. doi:10.2147/CIA.S10042. PMC 3010169. PMID 21228899. الوسيط
|CitationClass=تم تجاهله (مساعدة) - synd/2152 على قاموس من سمى هذا؟
- بوابة طب
This article is issued from Wikipedia. The text is licensed under Creative Commons - Attribution - Sharealike. Additional terms may apply for the media files.
