كسر مرضي
كسر مرضي[1] أو كسر أمراضي[1] أو كسر باثولوجي[1] (بالإنجليزية: Pathologic fracture) هو كسر في العظم بسبب مرض أدى إلى إضعاف بناء العظام.[2][3] هده العملية تعرف بهشاشة العظام، لكنها أيضا قد تكون بسبب حالات مرضية أخرى مثل: السرطان أو العدوى أو اضطراب العظام أو الكيس العظمي. عدد قليل من الحالات يكون عادةً مسؤول عن الكسر المرضي ومنها : هشاشة العظام أو لين العظام أ ومرض باجيت أو التهاب العظام أو تكون العظام الناقص أو أورام العظام الحميدة أو الأكياس العظمية أو أورام العظام الخبيثة الثانوية وأورام العظام الخبيثة الأولية. كسر الهشاشة هو نوع من أنواع الكسر المرضي الذي يظهر نتيجة للنشاطات اليومية مثل: السقوط عند الوقوف في مكان مرتفع أو منخفض. هناك 3 أجزاء للكسر يقال بأنها قياسية في كسر الهشاشة وهي : كسر العامود الفقري وكسر عنق عظم الفخد وكسر الكلس من المعصم. هذا التعريف ينشأ بسبب شخص عادي ينبغي أن يكون قادراً على الوقوف في مكان مرتفع بدون كسر أي من عظامه لذا فإن الكسر يوحي بضعف الهيكل العظمي. الكسر المرضي يكون بمثابة عصا الطباشير في العظام الطويلة ويظهر على شكل كسر مرضي يقارب 90° درجة على محور طويل من العظام. في كسر الضغط المرضي لكسور العامود الفقري سيظهر عادة انهيار كامل لجسم الفقرة في بعض الظروف حيث يتم استبعاد أمراض أخرى مثل السرطان والكسر المرضي يعتبر تشخيصاً لهشاشة عظام بغض النظرعن كثافة معدن العظم.
| كسر مرضي | |
|---|---|
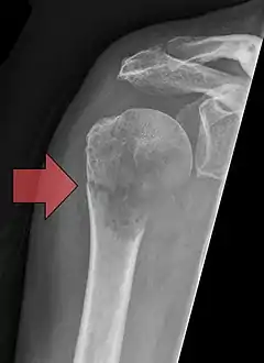
![]() كسر مرضي في العضد كسر مرضي في العضد | |
| معلومات عامة | |
| الاختصاص | طب الروماتزم |
| من أنواع | كسر العظم |
المراجع
- "Al-Qamoos القاموس - English Arabic dictionary / قاموس إنجليزي عربي". www.alqamoos.org. مؤرشف من الأصل في 1 ديسمبر 2017. اطلع عليه بتاريخ 28 نوفمبر 2017. الوسيط
|CitationClass=تم تجاهله (مساعدة) - Maheswari. Essential Orthopedics (الطبعة 3). Jaypee Publications. صفحة 4. الوسيط
|CitationClass=تم تجاهله (مساعدة);|access-date=بحاجة لـ|url=(مساعدة) - Cluett, Jonathan. "Pathologic Fracture - Definition, Causes and Treatment". Verywell. مؤرشف من الأصل في 12 أبريل 2016. الوسيط
|CitationClass=تم تجاهله (مساعدة)
- بوابة طب
