كلاس جلدي
الكُلاسٌ الجِلْدِيّ (بالإنجليزية:Calcinosis cutis) أو التكلس الجلدي هو نوع من أنواع الكلاس حيث يترسب الكالسيوم في الجلد. عدة عوامل تتسبب في حدوث تلك الحالة. المصدر الأشهر على الإطلاق هو التَكَلُّسٌ الحَثَلِيّ Dystrophic calcification والذي يتكون في الأنسجة الرخوة استجابةً للإصابات. بالإضافة، يُرى التكلس الجلدي في متلازمة كرست.
| كلاس جلدي | |
|---|---|
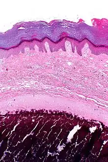
![]() صورة مجهرية للكلاس الجلدي. يظهر التكلس باللون الأرجواني (أسفل الصورة). باستخدام صبغة الهيماتوكسيلين والأيوسين. صورة مجهرية للكلاس الجلدي. يظهر التكلس باللون الأرجواني (أسفل الصورة). باستخدام صبغة الهيماتوكسيلين والأيوسين. | |
| معلومات عامة | |
| الاختصاص | طب الجلد |
| من أنواع | كلاس |

الأنواع
يمكن تقسيم الكلاس الجلدي إلى الأنواع التالية:[1]
- كلاس جلدي حَثَلِيّ
- كلاس جلدي نَقيلِيّ
- كلاس جلدي عِلاَجِيُّ المَنْشَأ
- كلاس جلدي مجهول السبب
- كلاس جلدي رضيّ
- كلاس صفني مجهول السبب
- الورم العظمي الجلدي
- عقيدة متكلسة تحت البشرة
- كلاس ورمي.
الأسباب
قد ينتج الكلاس نتيجة مجموعة متنوعة من الأسباب منها ما يلي:
- صدمات أو رضوض في المنطقة
- التهاب (لدغات البق، حب الشباب)
- الدوالي الوريدية
- العدوى
- الأورام (الخبيثة أو الحميدة)
- أمراض النسيج الضام
- فرط كالسيوم الدم
- فرط فوسفاتاز الدم
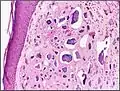
معرض الصور
الكلاس الجلدي في أنسجة بشرية.
المراجع
- James, William D.; Berger, Timothy G.; et al. (2006). Andrews' Diseases of the Skin: clinical Dermatology. Saunders Elsevier. ISBN 0-7216-2921-0. الوسيط
|CitationClass=تم تجاهله (مساعدة)
This article is issued from Wikipedia. The text is licensed under Creative Commons - Attribution - Sharealike. Additional terms may apply for the media files.
