كيسة بيكر
كيسة بيكر أو كيس بيكر (بالإنجليزية: Baker's cyst) ويُعرف أيضا باسم الكيس المأبضي، هو انتفاخ حميد في العضلة النصف غشائية أو الجراب الزلالي الموجود خلف مفصل الركبة.[1][2][3] سُميت الكيسة علي اسم الجراح الذي وصفها لأول مرة، ويليام مورجان بيكر (1838-1896). ولا تُعتبر كيسة بيكر كيسة "حقيقية"، لوجد ممر تواصل مفتوح مع الكيس الزليلي.
| كيسة بيكر | |
|---|---|
![]() كيسة بيكر | |
| معلومات عامة | |
| الاختصاص | طب الروماتزم |
| من أنواع | اضطراب جيني |
الأسباب
تنشأ كيسة بيكر في البالغين عادة من أي شكل من أشكال التهاب مفاصل الركبة (مثل التهاب المفاصل الروماتويدي) أو تمزق الغضروف (وخاصة غضروف الهلالة). أما في الأطفال فأن كيسة بيكر لا تشير إلى مرض مفاصل كامن. وتنشأ كيسة بيكر بين أوتار الرأس الإنسي لعضلة الساق والعضلة النصف غشائية. خلف اللقمة الفخذية الإنسية.
يمكن أن يُنتج الكيس الزلالي لمفصل الركبة انتفاخًا خلفيًا في الحفرة المأبضية في ظروف معينة. وعندما يصبح هذا الانتفاخ كبيرًا بما فيه الكفاية، يصبح ملموسا وكيسيا. وتحافظ معظم كيسات بيكر على هذا التواصل المباشر مع التجويف الزلالي للركبة، ولكن في بعض الأحيان يقرص الكيس الجديد. يمكن لكيسة بيكر أن تنفجر وتنتج آلامًا حادة خلف الركبة وفي الساق وتورم في عضلات الساق.
التشخيص

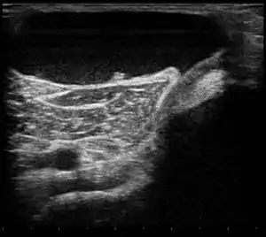
يتم تشخيص كيسة بيكر عن طريق الفحص، فمن السهل رؤية كيسة بيكر من الخلف في حالة وقوف المريض مع الفرد الكامل لركبتيه. كما أن كيسة بيكر سهلة اللمس للغاية عن ثني الركبة قليلا، ويتم تأكيد التشخيص عن طريق التصوير بالموجات فوق الصوتية، على الرغم من أنه يمكن شفط السائل الزلالي من الكيس بعناية إذا لزم الأمر وكان هناك أي اشتباه في تمدد الأوعية الدموية في الشرايين المأبضية، ويمكن أن تكشف صورة التصوير بالرنين المغناطيسي عن وجود كيسة بيكر.
يُعد الخثار الوريدي العميق من المضاعفات النادرة الشديدة الخطورة، والتي قد تحتاج إلى أن يتم استبعادها عن طريق اختبارات الدم والموجات فوق الصوتية. وقد يكون من الضروري إجراء تقييم سريع لاحتمال الإصابة بالخثار الوريدي العميق حيث يكون كيس بيكر ضاغطا على هياكل وعائية، مما يتسبب في وذمة الساق، الأمر الذي يؤدي إلى تهيئة الظروف لتطور داء الخثار الوريدي العميق.
يتسبب انفجار كيس بيكر عادةً في ألم في ربلة الساق وتورم واحمرار قد يحاكي التهاب الوريد الخثاري.
العلاج
لا تتطلب كيسة بيكر عادةً أي علاج ما لم تكن هناك أعراض. ومن النادر جدًا أن تظهر الأعراض بالفعل من الكيسة. ففي معظم الحالات يكون هناك اضطراب آخر في الركبة (كالتهاب المفاصل، والتمزق الغضروفي وما إلى ذلك) هو الذي يسبب المشكلة. يجب أن يتم توجيه المعالجة الأولية لتصحيح مصدر زيادة إنتاج السوائل. وفي كثير من الأحيان تكون الراحة ورفع الساق هو كل ما يتطلبه العلاج. وإذا لزم الأمر يمكن أن يتم شفط الكيس للحد من حجمه، ثم حقن كورتيكوستيرويد لتقليل الالتهاب. ويبقى الاستئصال الجراحي للكيسات التي تسبب قدرا كبيرا من عدم الراحة للمريض. ويتم علاج الكيس المنفجر بالراحة، ورفع الساق، وحقن كورتيكوستيرويد في الركبة.
الراحة والتمارين المحددة
يمكن أن تضيف العديد من الأنشطة مزيدا من الضغط على الركبة ومزيدا من الألم في حالة كيس بيكر. وباتالي فإن تجنب هذه الأنشطة مثل القرفصاء والركوع والرفع الثقيل والتسلق وحتى الجري يمكن أن يساعد على منع الألم. وعلى الرغم من ذلك فإن بعض التمارين يمكن أن تساعد في تخفيف الألم، وقد يُكلف أخصائي العلاج الطبيعي المريض بتمديد وتقوية عضلات الفخذ الرباعية و / أو الرباط الرضفي.
معرض صور
مراجع
- OMIM: 175750
- "معلومات عن كيسة بيكر على موقع emedicine.medscape.com". emedicine.medscape.com. مؤرشف من الأصل في 29 مارس 2019. الوسيط
|CitationClass=تم تجاهله (مساعدة) - Metathesaurus&code=C0032650 "معلومات عن كيسة بيكر على موقع ncim-stage.nci.nih.gov" تحقق من قيمة
|مسار أرشيف=(مساعدة). ncim-stage.nci.nih.gov. مؤرشف من Metathesaurus&code=C0032650 الأصل تحقق من قيمة|مسار=(مساعدة) في 13 ديسمبر 2019. الوسيط|CitationClass=تم تجاهله (مساعدة)




